相关产品推荐更多 >
万千商家帮你免费找货
0 人在求购买到急需产品
- 详细信息
- 文献和实验
- 技术资料
- 提供商:
北京永欣康泰科技发展有限公司
- 服务名称:
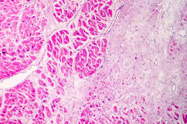
肝硬化动物模型
一、模型建立
(一)、化学性肝硬化模型
1.大鼠:可用 60%CC1橄榄油溶液以3ml/kg给雌性 Sprague Dawley大鼠皮下注射,每周2次,共12 周;或用液状石蜡配制15%CCl,溶液,按 0.75ml/ kg腹腔注射,每周3次,共6周;用橄榄油将CCI配成 40% 的溶液,首次按体重5ml/kg皮下注射,以后以3ml/kg注射,3天一次,共42天;30%CCl溶液 20ml/kg,每周2次,共7周。
2.小鼠:40%CCl4橄榄油4ml,一次性口服可诱发小鼠肝小叶中央坏死,CCL油剂皮下注射1~3ml/kg,每周2次,肝硬化可在12~15周形成。
3.家兔:模型用CCl4 12ml/kg一次性口服,可诱发兔肝小叶中央坏死,用CC110ml/kg一次性口服,可诱发兔急性中毒性肝坏死。
(二)、酒精性肝硬化模型
大鼠常规喂养同时灌入乙醇(56%)、橄榄油等的混合液,白酒大鼠灌胃初始剂量为8g/kg,每2周增加 2g,直到16g/kg,维持 16周。
(三)、免疫性肝硬化模型
人血清清蛋白大鼠皮下注射致敏后,皮下注射前列腺素E1(PGE1)200μg/次,2次/d,随后尾静脉攻击注射2次/周,第1、3次为8mg,其余为4mg/次,共9次,30天可形成肝纤维化。亦可使用猪血清或牛血清。
二、模型评价
肝功能试验
HE染色

检测平台
| 服务项目 | 服务承诺 | 服务周期 | 样本种类 |
| 病理切片、免疫组化 | 染色结果照片 | 2-3周 | 组织 |
| Western blotting | 胶片 | 1-2周 | 蛋白样本或组织 |
| 流式细胞服务 | 散点图、分析数据、设备信息等 | 1-2周 | 血样、骨髓等 |
| 细胞凋亡检测 | 凋亡图、数据分析 | 细胞 | |
| RT-PCR | 扩增图 | 1-2周 | RNA或组织 |
| 血压监测(无创式) | 实时血压数据 | 大、小鼠 |


动物模型更新速度较慢,如店铺内模型为满足您的科研需求,请扫描二维码联系我们,定制专属服务动物模型
风险提示:丁香通仅作为第三方平台,为商家信息发布提供平台空间。用户咨询产品时请注意保护个人信息及财产安全,合理判断,谨慎选购商品,商家和用户对交易行为负责。对于医疗器械类产品,请先查证核实企业经营资质和医疗器械产品注册证情况。
文献和实验张贵阳, 杨卫平, 陈皓,. 肝硬化动物模型构建的研究进展[J]. 外科理论与实践, 2008, 13(03): 266-269.
知识,提高公众对乳腺癌的关注。 图 1. 2020 年全球范围乳腺癌年龄标准化发病率预估 动物模型是疾病研究及治疗方法探索中必不可少的工具,一个理想的乳腺癌动物模型应与人乳腺癌的肿瘤分子特性及生物行为学等方面存在共性,以便于发病机制的研究及治疗新药的开发。但从癌症的分型来看,单一的动物模型对乳腺癌表型模拟程度有限,因此在实际研究中还需结合具体需求选择合适的动物模型,才能更好地达到研究目的。接下来小编将带大家一起了解一下不同的乳腺癌模型特点及如何选择合适的模型。 乳腺癌动物模型主流的乳腺癌小鼠
肝硬化是关于医学检验职称的生化检验知识,医学|教育网搜集整理了相关内容与考生分享,希望给予大家帮助! 肝硬化与病毒性肝炎、慢性酒精中毒、中毒性肝损伤有密切关系,在肝硬化的基础上有发生肝癌可能性。 肝硬化时可发生糖代谢异常,如肝糖原的减少,线粒体代谢障碍,使得乳酸、丙酮酸及α~酮戊二酸增多。脂类代谢中胆固醇酯的合成障碍,肝硬化晚期胆固醇的合成亦发生障碍。在蛋白质代谢方面,白蛋白、纤维蛋白原等的合成减少,氨基酸代谢及尿素合成异常,导致尿中出现氨基酸和血氨升高。
(一)高蛋白 蛋白质中许多氨基酸,如蛋氨酸、胱氨酸、色氨酸、苏氨酸和赖氨酸等都有抗脂肪肝作用,高蛋白可提供胆碱、蛋氨酸等抗脂肪肝因子,使脂肪变为脂蛋白,有利于将其顺利运出肝脏,防止脂肪浸润。并且蛋白质有较高的食物特殊动力作用,可刺激新陈代谢,适当提高蛋白质的质量,有利于减轻体重;蛋白质每天供给90~120g。 (二)适量热能 过高热能使脂肪合成增多,加速脂肪肝病变,应适当控制热能。对正常体重者,轻工作时为0.13MJ(30kcal)/Kg,体重超重者供给0.











