相关产品推荐更多 >
万千商家帮你免费找货
0 人在求购买到急需产品
- 详细信息
- 技术资料
- 免疫原:
KLH conjugated synthetic(具体详情咨询我们)
- 亚型:
IgG
- 形态:
Lyophilized or Liquid
- 保存条件:
Store at -20 °C
- 克隆性:
多克隆
- 标记物:
有各种标记抗体需要可以联系我公司
- 适应物种:
Hu Mo Pig Cow Hor Sheep等
- 宿主:
Rabbit
- 应用范围:
WB=1:100-500,Elisa=1:500-1000,IHC-P=1:100-500,IHC-F=1:100-500,Flow Cyt=1μg|Test,IF=1:100-502,
- 浓度:
1mg/ml
- 靶点:
详询
- 抗体英文名:
NALP3|CIAS1
- 抗体名:
细胞凋亡诱导蛋白NALP3抗体
- 规格:
100ul
英文名称NALP3/CIAS1
中文名称细胞凋亡诱导蛋白NALP3抗体
别 名LRR and PYD domains-containing protein 3; AGTAVPRL; AII/AVP antibody Angiotensin/vasopressin receptor AII/AVP like; Angiotensin/vasopressin receptor AII/AVP-like; C1orf7; Caterpiller protein 1.1; CIAS 1; CIAS1; CLR1.1; Cold autoinflammatory syndrome 1; Cold autoinflammatory syndrome 1 protein; Cryopyrin; Familial cold autoinflammatory syndrome; FCAS; FCU; Muckle-Wells syndrome; MWS; NACHT; NACHT LRR and PYD containing protein 3; NALP 3; NALP3; NALP3_HUMAN; NLRP3; PYPAF 1; PYPAF1 antibody PYRIN containing APAF1 like protein 1; PYRIN-containing APAF1-like protein 1.
文献引用:
Specific References (6) | bs-10021R has been referenced in 6 publications.
[IF=5.29] Zendedel, Adib, et al. "Activation and Regulation of NLRP3 Inflammasome by Intrathecal Application of SDF-1a in a Spinal Cord Injury Model." Molecular Neurobiology (2015): 1-13. WB ; Rat.
PubMed:25972240
[IF=4.21] Zhou, Tianwei E., et al. "Choroidal Involution Is Associated with a Progressive Degeneration of the Outer Retinal Function in a Model of Retinopathy of Prematurity: Early Role for IL-1β." The American Journal of Pathology (2016). IHC-F ; Rat.
PubMed:27768863
[IF=4.29] Fernandez, Melissa Victoria, et al. "Ion efflux and influenza infection trigger NLRP3 inflammasome signaling in human dendritic cells." Journal of leukocyte biology 99.5 (2016): 723-734. WB ; Human.
PubMed:26574023
[IF=5.26] Debye, Berthold, et al. "Neurodegeneration and NLRP3 inflammasome expression in the anterior thalamus of SOD1 (G93A) ALS mice." Brain Pathology (2016). IF(IHC-P) ; Mouse.
PubMed:27880990
[IF=5.40] Heitzer, Marius, et al. "Administration of 17β-Estradiol Improves Motoneuron Survival and Down-regulates Inflammasome Activation in Male SOD1 (G93A) ALS Mice." Molecular Neurobiology: 1-15. WB ; Mouse.
PubMed:27957680
[IF=5.40] Zendedel, Adib, et al. "Estrogen Attenuates Local Inflammasome Expression and Activation after Spinal Cord Injury." Molecular Neurobiology (2017): 1-12. WB, IF(IHC-P) ; Rat.
说 明 书50ul 100ul 200ul
研究领域肿瘤 心血管 细胞生物 免疫学 信号转导 细胞凋亡 转录调节因子
抗体来源Rabbit
克隆类型Polyclonal
交叉反应 Human, Mouse, Rat, Dog,
产品应用WB=1:500-2000 ELISA=1:500-1000 IHC-P=1:400-800 IHC-F=1:400-800 ICC=1:100-500 IF=1:200-800 (石蜡切片需做抗原修复)
not yet tested in other applications.
optimal dilutions/concentrations should be determined by the end user.
分 子 量114kDa
细胞定位细胞核 细胞浆 分泌型蛋白
性 状Lyophilized or Liquid
浓 度1mg/ml
免 疫 原KLH conjugated synthetic peptide derived from human Cryopyrin:15-120/1036
亚 型IgG
纯化方法affinity purified by Protein A
储 存 液0.01M TBS(pH7.4) with 1% BSA, 0.03% Proclin300 and 50% Glycerol.
保存条件Store at -20 °C for one year. Avoid repeated freeze/thaw cycles. The lyophilized antibody is stable at room temperature for at least one month and for greater than a year when kept at -20°C. When reconstituted in sterile pH 7.4 0.01M PBS or diluent of antibody the antibody is stable for at least two weeks at 2-4 °C.
PubMedPubMed
产品介绍background:
May function as an inducer of apoptosis. Interacts selectively with ASC and this complex may function as an upstream activator of NF-kappa-B signaling. Inhibits TNF-alpha induced activation and nuclear translocation of RELA/NF-KB p65. Also inhibits transcriptional activity of RELA. Activates caspase-1 in response to a number of triggers including bacterial or viral infection which leads to processing and release of IL1B and IL18.
Function:
May function as an inducer of apoptosis. Interacts selectively with ASC and this complex may function as an upstream activator of NF-kappa-B signaling. Inhibits TNF-alpha induced activation and nuclear translocation of RELA/NF-KB p65. Also inhibits transcriptional activity of RELA. Activates caspase-1 in response to a number of triggers including bacterial or viral infection which leads to processing and release of IL1B and IL18.
Subcellular Location:
Cytoplasm.
Tissue Specificity:
Expressed in blood leukocytes. Strongly expressed in polymorphonuclear cells and osteoblasts. Undetectable or expressed at a lower magnitude in B- and T-lymphoblasts, respectively. High level of expression detected in chondrocytes. Detected in non-keratinizing epithelia of oropharynx, esophagus and ectocervix and in the urothelial layer of the bladder.
DISEASE:
Defects in NLRP3 are the cause of familial cold autoinflammatory syndrome type 1 (FCAS1) [MIM:120100]; also known as familial cold urticaria. FCAS are rare autosomal dominant systemic inflammatory diseases characterized by episodes of rash, arthralgia, fever and conjunctivitis after generalized exposure to cold.
Defects in NLRP3 are a cause of Muckle-Wells syndrome (MWS) [MIM:191900]; also known as urticaria-deafness-amyloidosis syndrome. MWS is a hereditary periodic fever syndrome characterized by fever, chronic recurrent urticaria, arthralgias, progressive sensorineural deafness, and reactive renal amyloidosis. The disease may be severe if generalized amyloidosis occurs.
Defects in NLRP3 are the cause of chronic infantile neurologic cutaneous and articular syndrome (CINCA) [MIM:607115]; also known as neonatal onset multisystem inflammatory disease (NOMID). CINCA is a rare congenital inflammatory disorder characterized by a triad of neonatal onset of cutaneous symptoms, chronic meningitis and joint manifestations with recurrent fever and inflammation.
Similarity:
Belongs to the NLRP family.
Contains 1 DAPIN domain.
Contains 9 LRR (leucine-rich) repeats.
Contains 1 NACHT domain.
SWISS:
Q96P20
Gene ID:
114548
Database links:
Entrez Gene: 114548 Human
Entrez Gene: 216799 Mouse
Entrez Gene: 287362 Rat
Omim: 606416 Human
SwissProt: Q96P20 Human
SwissProt: Q8R4B8 Mouse
Unigene: 159483 Human
Unigene: 54174 Mouse
Important Note:
This product as supplied is intended for research use only, not for use in human, therapeutic or diagnostic applications.
Sample:
Raji (human)cell Lysate at 40 ug
MCF-7 (human)cell Lysate at 40 ug
siha (human)cell Lysate at 40 ug
Primary: Anti- NALP3'CIAS1 (bs-10021R)at 1/300 dilution
Secondary: IRDye800CW Goat Anti-Rabbit IgG at 1/20000 dilution
Predicted band size: 114kD
Observed band size: 114 kD
Sample:
Raji Cell (Human) Lysate at 30 ug
MDA-MB-231 Cell (Human) Lysate at 30 ug
Primary: Anti- CIAS1 (bs-10021R) at 1/300 dilution
Secondary: IRDye800CW Goat Anti-Rabbit IgG at 1/20000 dilution
Predicted band size: 114kD
Observed band size: 114kD
Tissue/cell: mouse embryo tissue; 4% Paraformaldehyde-fixed and paraffin-embedded;
Antigen retrieval: citrate buffer ( 0.01M, pH 6.0 ), Boiling bathing for 15min; Block endogenous peroxidase by 3% Hydrogen peroxide for 30min; Blocking buffer (normal goat serum,C-0005) at 37℃ for 20 min;
Incubation: Anti-Cryopyrin/CIAS1/NALP3 Polyclonal Antibody, Unconjugated(bs-10021R) 1:200, overnight at 4°C, followed by conjugation to the secondary antibody(SP-0023) and DAB(C-0010) staining
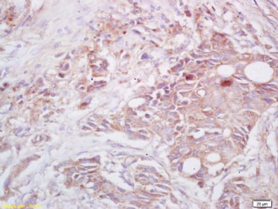
Paraformaldehyde-fixed, paraffin embedded (Human liver cancer); Antigen retrieval by boiling in sodium citrate buffer (pH6.0) for 15min; Block endogenous peroxidase by 3% hydrogen peroxide for 20 minutes; Blocking buffer (normal goat serum) at 37°C for 30min; Antibody incubation with (NALP3/CIAS1) Polyclonal Antibody, Unconjugated (bs-10021R) at 1:400 overnight at 4°C, followed by operating according to SP Kit(Rabbit) (sp-0023) instructionsand DAB staining.
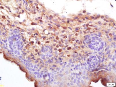
Tissue/cell: human lung carcinoma; 4% Paraformaldehyde-fixed and paraffin-embedded;
Antigen retrieval: citrate buffer ( 0.01M, pH 6.0 ), Boiling bathing for 15min; Block endogenous peroxidase by 3% Hydrogen peroxide for 30min; Blocking buffer (normal goat serum,C-0005) at 37℃ for 20 min;
Incubation: Anti-Cryopyrin/CIAS1/NALP3 Polyclonal Antibody, Unconjugated(bs-10021R) 1:200, overnight at 4°C, followed by conjugation to the secondary antibody(SP-0023) and DAB(C-0010) staining
This image was generously provided by Adib Zendedel, PhD from RWTH Aachen University. Formalin-fixed and paraffin embedded rat spinal cord tissue labeled with Rabbit Anti-Cryopyrin Polyclonal Antibody, Unconjugated (bs-10021R) at 1:300 followed by conjugation to a secondary antibody
Paraformaldehyde-fixed, paraffin embedded (Human liver cancer); Antigen retrieval by boiling in sodium citrate buffer (pH6.0) for 15min; Block endogenous peroxidase by 3% hydrogen peroxide for 20 minutes; Blocking buffer (normal goat serum) at 37°C for 30min; Antibody incubation with (NALP3/CIAS1) Polyclonal Antibody, Unconjugated (bs-10021R) at 1:400 overnight at 4°C, followed by a conjugated Goat Anti-Rabbit IgG antibody (bs-0295G-AF488) for 90 minutes, and DAPI for nuclei staining.
中文名称细胞凋亡诱导蛋白NALP3抗体
别 名LRR and PYD domains-containing protein 3; AGTAVPRL; AII/AVP antibody Angiotensin/vasopressin receptor AII/AVP like; Angiotensin/vasopressin receptor AII/AVP-like; C1orf7; Caterpiller protein 1.1; CIAS 1; CIAS1; CLR1.1; Cold autoinflammatory syndrome 1; Cold autoinflammatory syndrome 1 protein; Cryopyrin; Familial cold autoinflammatory syndrome; FCAS; FCU; Muckle-Wells syndrome; MWS; NACHT; NACHT LRR and PYD containing protein 3; NALP 3; NALP3; NALP3_HUMAN; NLRP3; PYPAF 1; PYPAF1 antibody PYRIN containing APAF1 like protein 1; PYRIN-containing APAF1-like protein 1.
文献引用:
Specific References (6) | bs-10021R has been referenced in 6 publications.
[IF=5.29] Zendedel, Adib, et al. "Activation and Regulation of NLRP3 Inflammasome by Intrathecal Application of SDF-1a in a Spinal Cord Injury Model." Molecular Neurobiology (2015): 1-13. WB ; Rat.
PubMed:25972240
[IF=4.21] Zhou, Tianwei E., et al. "Choroidal Involution Is Associated with a Progressive Degeneration of the Outer Retinal Function in a Model of Retinopathy of Prematurity: Early Role for IL-1β." The American Journal of Pathology (2016). IHC-F ; Rat.
PubMed:27768863
[IF=4.29] Fernandez, Melissa Victoria, et al. "Ion efflux and influenza infection trigger NLRP3 inflammasome signaling in human dendritic cells." Journal of leukocyte biology 99.5 (2016): 723-734. WB ; Human.
PubMed:26574023
[IF=5.26] Debye, Berthold, et al. "Neurodegeneration and NLRP3 inflammasome expression in the anterior thalamus of SOD1 (G93A) ALS mice." Brain Pathology (2016). IF(IHC-P) ; Mouse.
PubMed:27880990
[IF=5.40] Heitzer, Marius, et al. "Administration of 17β-Estradiol Improves Motoneuron Survival and Down-regulates Inflammasome Activation in Male SOD1 (G93A) ALS Mice." Molecular Neurobiology: 1-15. WB ; Mouse.
PubMed:27957680
[IF=5.40] Zendedel, Adib, et al. "Estrogen Attenuates Local Inflammasome Expression and Activation after Spinal Cord Injury." Molecular Neurobiology (2017): 1-12. WB, IF(IHC-P) ; Rat.
说 明 书50ul 100ul 200ul
研究领域肿瘤 心血管 细胞生物 免疫学 信号转导 细胞凋亡 转录调节因子
抗体来源Rabbit
克隆类型Polyclonal
交叉反应 Human, Mouse, Rat, Dog,
产品应用WB=1:500-2000 ELISA=1:500-1000 IHC-P=1:400-800 IHC-F=1:400-800 ICC=1:100-500 IF=1:200-800 (石蜡切片需做抗原修复)
not yet tested in other applications.
optimal dilutions/concentrations should be determined by the end user.
分 子 量114kDa
细胞定位细胞核 细胞浆 分泌型蛋白
性 状Lyophilized or Liquid
浓 度1mg/ml
免 疫 原KLH conjugated synthetic peptide derived from human Cryopyrin:15-120/1036
亚 型IgG
纯化方法affinity purified by Protein A
储 存 液0.01M TBS(pH7.4) with 1% BSA, 0.03% Proclin300 and 50% Glycerol.
保存条件Store at -20 °C for one year. Avoid repeated freeze/thaw cycles. The lyophilized antibody is stable at room temperature for at least one month and for greater than a year when kept at -20°C. When reconstituted in sterile pH 7.4 0.01M PBS or diluent of antibody the antibody is stable for at least two weeks at 2-4 °C.
PubMedPubMed
产品介绍background:
May function as an inducer of apoptosis. Interacts selectively with ASC and this complex may function as an upstream activator of NF-kappa-B signaling. Inhibits TNF-alpha induced activation and nuclear translocation of RELA/NF-KB p65. Also inhibits transcriptional activity of RELA. Activates caspase-1 in response to a number of triggers including bacterial or viral infection which leads to processing and release of IL1B and IL18.
Function:
May function as an inducer of apoptosis. Interacts selectively with ASC and this complex may function as an upstream activator of NF-kappa-B signaling. Inhibits TNF-alpha induced activation and nuclear translocation of RELA/NF-KB p65. Also inhibits transcriptional activity of RELA. Activates caspase-1 in response to a number of triggers including bacterial or viral infection which leads to processing and release of IL1B and IL18.
Subcellular Location:
Cytoplasm.
Tissue Specificity:
Expressed in blood leukocytes. Strongly expressed in polymorphonuclear cells and osteoblasts. Undetectable or expressed at a lower magnitude in B- and T-lymphoblasts, respectively. High level of expression detected in chondrocytes. Detected in non-keratinizing epithelia of oropharynx, esophagus and ectocervix and in the urothelial layer of the bladder.
DISEASE:
Defects in NLRP3 are the cause of familial cold autoinflammatory syndrome type 1 (FCAS1) [MIM:120100]; also known as familial cold urticaria. FCAS are rare autosomal dominant systemic inflammatory diseases characterized by episodes of rash, arthralgia, fever and conjunctivitis after generalized exposure to cold.
Defects in NLRP3 are a cause of Muckle-Wells syndrome (MWS) [MIM:191900]; also known as urticaria-deafness-amyloidosis syndrome. MWS is a hereditary periodic fever syndrome characterized by fever, chronic recurrent urticaria, arthralgias, progressive sensorineural deafness, and reactive renal amyloidosis. The disease may be severe if generalized amyloidosis occurs.
Defects in NLRP3 are the cause of chronic infantile neurologic cutaneous and articular syndrome (CINCA) [MIM:607115]; also known as neonatal onset multisystem inflammatory disease (NOMID). CINCA is a rare congenital inflammatory disorder characterized by a triad of neonatal onset of cutaneous symptoms, chronic meningitis and joint manifestations with recurrent fever and inflammation.
Similarity:
Belongs to the NLRP family.
Contains 1 DAPIN domain.
Contains 9 LRR (leucine-rich) repeats.
Contains 1 NACHT domain.
SWISS:
Q96P20
Gene ID:
114548
Database links:
Entrez Gene: 114548 Human
Entrez Gene: 216799 Mouse
Entrez Gene: 287362 Rat
Omim: 606416 Human
SwissProt: Q96P20 Human
SwissProt: Q8R4B8 Mouse
Unigene: 159483 Human
Unigene: 54174 Mouse
Important Note:
This product as supplied is intended for research use only, not for use in human, therapeutic or diagnostic applications.
Sample:
Raji (human)cell Lysate at 40 ug
MCF-7 (human)cell Lysate at 40 ug
siha (human)cell Lysate at 40 ug
Primary: Anti- NALP3'CIAS1 (bs-10021R)at 1/300 dilution
Secondary: IRDye800CW Goat Anti-Rabbit IgG at 1/20000 dilution
Predicted band size: 114kD
Observed band size: 114 kD
Sample:
Raji Cell (Human) Lysate at 30 ug
MDA-MB-231 Cell (Human) Lysate at 30 ug
Primary: Anti- CIAS1 (bs-10021R) at 1/300 dilution
Secondary: IRDye800CW Goat Anti-Rabbit IgG at 1/20000 dilution
Predicted band size: 114kD
Observed band size: 114kD
Tissue/cell: mouse embryo tissue; 4% Paraformaldehyde-fixed and paraffin-embedded;
Antigen retrieval: citrate buffer ( 0.01M, pH 6.0 ), Boiling bathing for 15min; Block endogenous peroxidase by 3% Hydrogen peroxide for 30min; Blocking buffer (normal goat serum,C-0005) at 37℃ for 20 min;
Incubation: Anti-Cryopyrin/CIAS1/NALP3 Polyclonal Antibody, Unconjugated(bs-10021R) 1:200, overnight at 4°C, followed by conjugation to the secondary antibody(SP-0023) and DAB(C-0010) staining
Paraformaldehyde-fixed, paraffin embedded (Human liver cancer); Antigen retrieval by boiling in sodium citrate buffer (pH6.0) for 15min; Block endogenous peroxidase by 3% hydrogen peroxide for 20 minutes; Blocking buffer (normal goat serum) at 37°C for 30min; Antibody incubation with (NALP3/CIAS1) Polyclonal Antibody, Unconjugated (bs-10021R) at 1:400 overnight at 4°C, followed by operating according to SP Kit(Rabbit) (sp-0023) instructionsand DAB staining.
Tissue/cell: human lung carcinoma; 4% Paraformaldehyde-fixed and paraffin-embedded;
Antigen retrieval: citrate buffer ( 0.01M, pH 6.0 ), Boiling bathing for 15min; Block endogenous peroxidase by 3% Hydrogen peroxide for 30min; Blocking buffer (normal goat serum,C-0005) at 37℃ for 20 min;
Incubation: Anti-Cryopyrin/CIAS1/NALP3 Polyclonal Antibody, Unconjugated(bs-10021R) 1:200, overnight at 4°C, followed by conjugation to the secondary antibody(SP-0023) and DAB(C-0010) staining
This image was generously provided by Adib Zendedel, PhD from RWTH Aachen University. Formalin-fixed and paraffin embedded rat spinal cord tissue labeled with Rabbit Anti-Cryopyrin Polyclonal Antibody, Unconjugated (bs-10021R) at 1:300 followed by conjugation to a secondary antibody
Paraformaldehyde-fixed, paraffin embedded (Human liver cancer); Antigen retrieval by boiling in sodium citrate buffer (pH6.0) for 15min; Block endogenous peroxidase by 3% hydrogen peroxide for 20 minutes; Blocking buffer (normal goat serum) at 37°C for 30min; Antibody incubation with (NALP3/CIAS1) Polyclonal Antibody, Unconjugated (bs-10021R) at 1:400 overnight at 4°C, followed by a conjugated Goat Anti-Rabbit IgG antibody (bs-0295G-AF488) for 90 minutes, and DAPI for nuclei staining.
风险提示:丁香通仅作为第三方平台,为商家信息发布提供平台空间。用户咨询产品时请注意保护个人信息及财产安全,合理判断,谨慎选购商品,商家和用户对交易行为负责。对于医疗器械类产品,请先查证核实企业经营资质和医疗器械产品注册证情况。
技术资料暂无技术资料 索取技术资料
细胞凋亡诱导蛋白NALP3抗体免疫组化
¥1380










