相关产品推荐更多 >
万千商家帮你免费找货
0 人在求购买到急需产品
- 详细信息
- 文献和实验
- 技术资料
- 库存:
大量
- 细胞类型:
肿瘤细胞/正常细胞
- 组织来源:
详见说明
- 相关疾病:
详询
- 物种来源:
小鼠
- 细胞形态:
正常
- 器官来源:
详询人员
- 运输方式:
快递运输
- 年限:
长期保持
- 生长状态:
良好
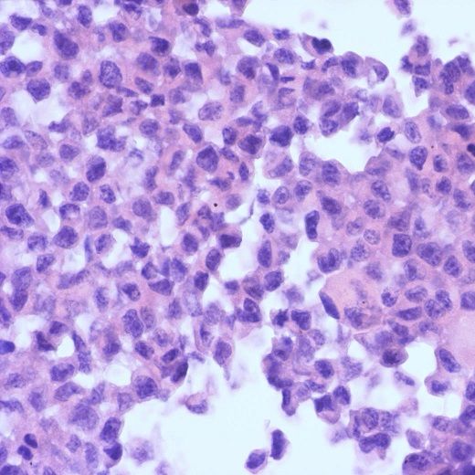
细胞名称:EMT6小鼠乳腺癌细胞
组织来源:乳腺
培养条件:1640 +10% FBS
形 态:贴壁
PubMed=4647494; DOI=10.1093/jnci/49.3.735
Rockwell S.C., Kallman R.F., Fajardo L.F.
Characteristics of a serially transplanted mouse mammary tumor and its tissue-culture-adapted derivative.
J. Natl. Cancer Inst. 49:735-749(1972)
PubMed=31220119; DOI=10.1371/journal.pone.0218412
Almeida J.L., Dakic A., Kindig K., Kone M., Letham D.L.D., Langdon S., Peat R., Holding-Pillai J., Hall E.M., Ladd M., Shaffer M.D., Berg H., Li J.-L., Wigger G., Lund S., Steffen C.R., Fransway B.B., Geraghty B., Natoli M., Bauer B.A., Gollin S.M., Lewis D.W., Reid Y.A.
Interlaboratory study to validate a STR profiling method for intraspecies identification of mouse cell lines.
PLoS ONE 14:E0218412-E0218412(2019)
风险提示:丁香通仅作为第三方平台,为商家信息发布提供平台空间。用户咨询产品时请注意保护个人信息及财产安全,合理判断,谨慎选购商品,商家和用户对交易行为负责。对于医疗器械类产品,请先查证核实企业经营资质和医疗器械产品注册证情况。
文献和实验*发表【中文论文】请标注:由上海盖宁生物科技有限公司提供;
*发表【英文论文】请标注:From Shanghai Gaining Biotechnology Co., Ltd.
1.乳腺单纯癌:由管内癌发展而来,为乳腺癌最常涂片所见:癌细胞巨大,多为裸核;核仁多且巨大,畸形大多染成深蓝色,细胞大小,形态染色均不一致。 2.乳腺腺癌:癌细胞呈典型的腺体样排列。细胞呈锥形,核位于细胞一侧,呈扭曲、折叠、凹陷等畸形改变,核煺我增多,粗颗粒状,分布不均;核仁多而形态不规则,胞质丰富,略嗜碱性,胞质及核内可见多量弥散的小空泡。 3.乳腺髓样癌:此型细胞成分极丰富与单纯癌一起称为实体癌,医学教|育网搜集整理癌细胞一般中等大小,圆形、胞质中等量。核染色质致密,网状。核仁
我养的细胞都是乳腺癌细胞,以下几种:1、MCF-7 是一种很好养的人乳腺癌细胞,培养基用DMEM或RPMI1640均可, 10-15%的小牛血清就能长得很好。一般两到三天传一代。传代也很常规。吸出培养基,加入0.25%的胰酶1ml,轻轻晃动培养瓶,使胰酶流遍瓶壁,以去除残余的培养基。再加入2ml胰酶(25ml培养瓶)静置消化2-5min,待细胞缩起变圆,将胰酶吸出加入培养基3ml吹打成单细胞悬液分瓶即可。我一般都不用缓冲液冲洗,而直接用胰酶冲洗一下以去除剩余血清的作用,感觉效果还不错
wrwy 因实验急需MCF7,SKBR3乳腺癌细胞,哪位好心人能交换,本实验有T47D,231.293等细胞。谢谢。 msniu 我有MCF-7,站内联系 chenrongjun2011 本人在广州做实验,需要用到SKBR3,能否相赠一点,请加QQ1765730072或电话15915836004 本文由丁香园论坛提供,想了解更多有用的、有意思的前沿资讯以及酷炫的实验
技术资料暂无技术资料 索取技术资料










