相关产品推荐更多 >
万千商家帮你免费找货
0 人在求购买到急需产品
- 详细信息
- 文献和实验
- 技术资料
- 库存:
库存充足
- 细胞类型:
肿瘤细胞/正常细胞
- 组织来源:
详见说明
- 相关疾病:
详询
- 物种来源:
人源
- 器官来源:
详询人员
- 运输方式:
快递托运
- 年限:
永久
- 生长状态:
优良
特别提醒:该产品仅限于实验室科学研究使用,不得用于其他用途
提供STR鉴定报告

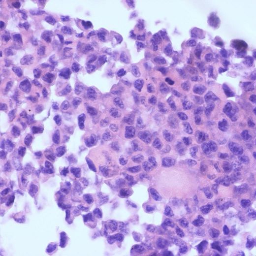
细胞名称:OCI-Ly3 人弥漫大 B 细胞淋巴瘤细胞
组织来源:淋巴
培养条件:RPMI-1640 +10% FBS
形 态:悬浮;淋巴母细胞样
PubMed=25485619; DOI=10.1038/nbt.3080
Klijn C., Durinck S., Stawiski E.W., Haverty P.M., Jiang Z.-S., Liu H.-B., Degenhardt J., Mayba O., Gnad F., Liu J.-F., Pau G., Reeder J., Cao Y., Mukhyala K., Selvaraj S.K., Yu M.-M., Zynda G.J., Brauer M.J., Wu T.D., Gentleman R.C., Manning G., Yauch R.L., Bourgon R., Stokoe D., Modrusan Z., Neve R.M., de Sauvage F.J., Settleman J., Seshagiri S., Zhang Z.-M.
A comprehensive transcriptional portrait of human cancer cell lines.
Nat. Biotechnol. 33:306-312(2015)
PubMed=25877200; DOI=10.1038/nature14397
Yu M., Selvaraj S.K., Liang-Chu M.M.Y., Aghajani S., Busse M., Yuan J., Lee G., Peale F.V., Klijn C., Bourgon R., Kaminker J.S., Neve R.M.
A resource for cell line authentication, annotation and quality control.
Nature 520:307-311(2015)
风险提示:丁香通仅作为第三方平台,为商家信息发布提供平台空间。用户咨询产品时请注意保护个人信息及财产安全,合理判断,谨慎选购商品,商家和用户对交易行为负责。对于医疗器械类产品,请先查证核实企业经营资质和医疗器械产品注册证情况。
文献和实验
*发表【中文论文】请标注:由上海盖宁生物科技有限公司提供;
*发表【英文论文】请标注:From Shanghai Gaining Biotechnology Co., Ltd.
化,其他已知细胞松弛素 B还可抑制糖的输送,可以考虑细胞松弛素 B与细胞膜间的相互作用。此外还分离出数种具有类似结构和功能的物质,分别命名为细胞松弛素 A、 C、 D、 E、 F。
细胞色素b563 cytochrome b563 亦称细胞色素 b6 。存在于高等植物至藻类的叶绿体中,与类囊体膜结合紧密。含有原正铁血红素,氧化还原 (β带)和 434nm(γ带或 So- ret带)。为发动光合磷酸化的环状电子传递系统的一个成分,可被光化系统Ⅰ所还原和氧化。
B 细胞抗原受体 B细胞抗原受体(BCR)具有抗原结合特异性,在同一个体内,其多样性高达109 ~1012 ,构成容量巨大的BCR库,赋予个体识别各种抗原、产生特异性抗体的巨大潜能。 在成熟B细胞表面,Iga、Igp总是和BCR共同表达,形成BCR-Igα/Igβ复合体,前者识别抗原,后者转导BCR接受的抗原刺激信号。 (一)BCR分子 BCR主要包括mlgM和mlgD,由两条重链
技术资料暂无技术资料 索取技术资料










