万千商家帮你免费找货
0 人在求购买到急需产品
- 详细信息
- 文献和实验
- 技术资料
- 库存:
大量
- 供应商:
上海晶抗生物工程有限公司
- 物种来源:
人、大鼠、小鼠
- 运输方式:
干冰运输或活细胞运输
- 规格:
详见说明书
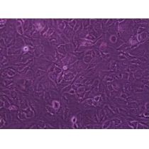
细胞特性:
1)组织来源于实验动物的正常主动脉组织。
2)细胞鉴定:波形蛋白(Vimentin)免疫荧光染色为阳性。
3)经鉴定细胞纯度高于90%。
4)不含有 HIV-1、 HBV、HCV、支原体、细菌、酵母和真菌。
5)细胞生长方式:长梭形细胞,不规则细胞,贴壁培养。
推荐培养基:
我们推荐使用MLl原代成纤维细胞培养体系(产品编号:PriMed-MLL-003)作为体外培养原代腹腔主动脉外膜成纤维细胞的培养基。
大鼠原代腹腔主动脉外膜成纤维细胞
产品使用:
1)本产品仅能用于科研
2)本产品未通过直接用于活体动物和人的审核
3)本产品未通过用于活体诊断的审核
产品编号:RAT/MIC/RAB-MLL-c012
产品规格:>5×105细胞数
产品价格:3600/3600/4050
包装规格:1ml冻存细胞悬液或T-25培养瓶
细胞详述:
腹腔主动脉是人体的大动脉,直接延续于发自左心室的主动脉,胸腔主动脉,沿脊柱左侧下行,主要负责腹腔脏器和腹壁的血液供应。主动脉是由内膜、中层弹力层和外膜构成,三层紧密贴合在一起。其中,外膜是专门的支持组织,外膜成纤维是外膜的主要成分,在血管炎症反应、血管重塑等方面发挥重要作用。
大鼠原代腹腔主动脉外膜成纤维细胞
产品的运输和保存:
视天气状况和运输距离远近,公司与客户协商后选择下述方式中的一种进行。
1)1mL冻存细胞悬液装于1.8ml的冻存管中,置于装满干冰的泡沫保温盒中进行运输;收到细胞后请尽快解冻复苏细胞进行培养,如无法立刻进行复苏操作,冻存细胞可在-80℃的条件下保存1个月。
2)T-25培养瓶充满完全培养基后进行常温运输;收到细胞后请镜下观察细胞生长状态,如铺瓶率超过85%请立即进行传代操作,如悬浮的细胞较多,请将培养瓶至于培养箱中静置过夜以帮助未死亡的悬浮细胞能够再次贴壁。
风险提示:丁香通仅作为第三方平台,为商家信息发布提供平台空间。用户咨询产品时请注意保护个人信息及财产安全,合理判断,谨慎选购商品,商家和用户对交易行为负责。对于医疗器械类产品,请先查证核实企业经营资质和医疗器械产品注册证情况。
文献和实验最 好为 3~5 毫米,然后用丝线扎紧。 切勿将灌注针放在左心室内,这样由于主动脉瓣的关闭,灌注液很难进入主动脉,而是沿着心室的切口流出,致使灌注失败。另外,灌注针插入成功后,一定要用剪刀剪开右心耳而不是右心室,这是灌流液的出口。剪开心尖的位置一定要掌握好,不能偏右使灌注针插入右心室。 五、注意事项 1. 针头大小与动物的种类有关,同时针头一定要磨钝。2. 检查灌注泵的运作情况,一定排出管子的气泡和空气,防止空气栓塞。3. 经腹腔暴露胸腔,先清楚升主动脉外面的脂肪组织和心外膜组织。4. 将针头经左心室插入升主动脉
材料与方法: 材料 : 培养皿、培养瓶、烧瓶、试管,玻璃针等。 眼科剪、眼科镊、手术刀片。 5%CO2孵箱、PH计。 恒温水浴箱。 PMi1640培养基,D-Hank’s缓冲液 、胎牛血清,内皮生长因子(ECGF),青霉素,链霉素,戊巴比妥钠等。 方法: 1、取材:4~6wWistar大鼠, 大剂量2%戊巴比妥钠麻醉处死,将处死后的大鼠浸入75%酒精中,放入超净台。在无菌状态下剪开胸腹腔,分离胸主动脉,用2ml注射器从主动脉弓处向胸主动脉注入D-Hank’s液,驱除残血,取主动脉
处死Wis-tar大鼠,无菌条件下分离全段主动脉,立即置于含青霉素100u/ml,链霉素100mg/ml的无菌生理盐水中。每次取材2~3只大鼠。贴壁法原代培养:超净工作台上,清除结缔组织,剥除动脉外膜。纵向剖开血管,用眼科弯镊钝性刮除内膜面,以去除内皮细胞,剩余血管中膜组织较薄、透明、韧性好。用含青、链霉素的生理盐水反复冲洗,去除脂滴、血凝块等杂质及可能残留的内皮细胞和外膜成纤维细胞,然后将一次取材的2~3条血管的中膜组织混合在一起,置于无菌培养皿中。滴加少许培养液使组织保持湿润,用眼科弯剪
技术资料暂无技术资料 索取技术资料










