相关产品推荐更多 >
万千商家帮你免费找货
0 人在求购买到急需产品
- 详细信息
- 文献和实验
- 技术资料
- 应用范围:
产品信息以Bioss网站为准
- 规格:
50ul/100ul/200ul
| 规格: | 50ul | 产品价格: | ¥1180.0 |
|---|---|---|---|
| 规格: | 100ul | 产品价格: | ¥1980.0 |
| 规格: | 200ul | 产品价格: | ¥2800.0 |
| 产品编号 | bs-17422R |
| 英文名称 | Histone H3.1 Rabbit pAb |
| 中文名称 | 组蛋白H3.1抗体 |
| 英文别名 | H3 histone family, member A; H3 histone family, member B; H3 histone family, member C; H3 histone family, member D; H3 histone family, member E; H3 histone family, member F; H3 histone family, member G; H3 histone family, member H; H3 histone family, member I; H3 histone family, member J; H3 histone family, member K; H3 histone family, member L; H3.1; H3.f; H3/A; H3/c; H3/d; H3/f; H3/h; H3/i; H3/j; H3/k; H3/l; H31_HUMAN; H3F1K; H3FA; H3FB; H3FC; H3FD; H3FF; H3FH; H3FI; H3FJ; H3FK; H3FL; HIST1 cluster H3A; HIST1 cluster H3B; HIST1 cluster H3C; HIST1 cluster H3D; HIST1 cluster H3E; HIST1 cluster H3F; HIST1 cluster H3G; HIST1 cluster H3I; HIST1 cluster H3J; HIST1H3A; HIST1H3B; HIST1H3C; HIST1H3E; HIST1H3F; HIST1H3G; HIST1H3H; HIST1H3I; HIST1H3J; histone 1, H3a; histone 1, H3b; Histone 1, H3c; Histone 1, H3e; histone 1, H3f; histone 1, H3g; histone 1, H3h; histone 1, H3i; histone 1, H3j; histone cluster 1, H3a; histone cluster 1, H3b; Histone cluster 1, H3c; Histone cluster 1, H3e; histone cluster 1, H3g; histone cluster 1, H3h; histone cluster 1, H3i; histone cluster 1, H3j; Histone gene cluster 1 H3A; Histone gene cluster 1 H3B; Histone gene cluster 1 H3E; Histone gene cluster 1 H3F; Histone gene cluster 1 H3G; Histone gene cluster 1, H3; Histone gene cluster 1, H3C; Histone gene cluster 1, H3D; Histone gene cluster 1, H3I; Histone gene cluster 1, H3IH; Histone H3.1; Histone H3/a; Histone H3/b; Histone H3/c; Histone H3/d; Histone H3/f; Histone H3/h; Histone H3/i; Histone H3/j; Histone H3/k; Histone H3/l |
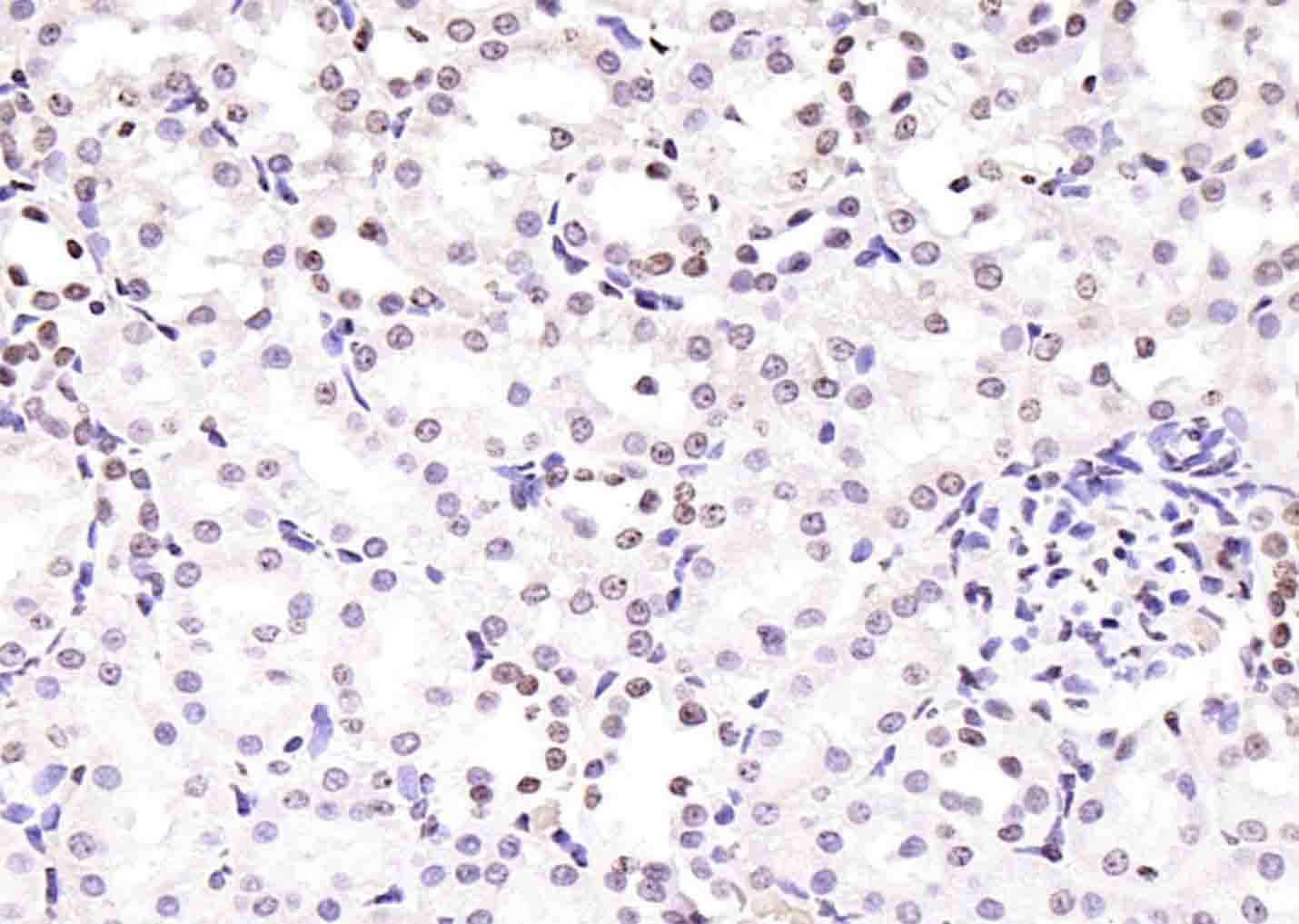
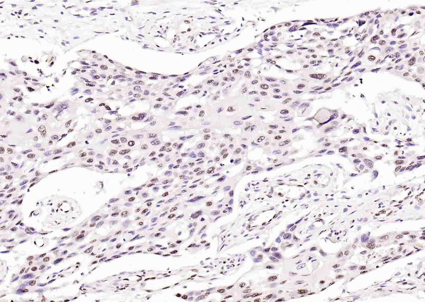
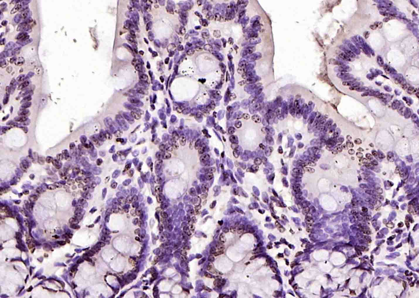
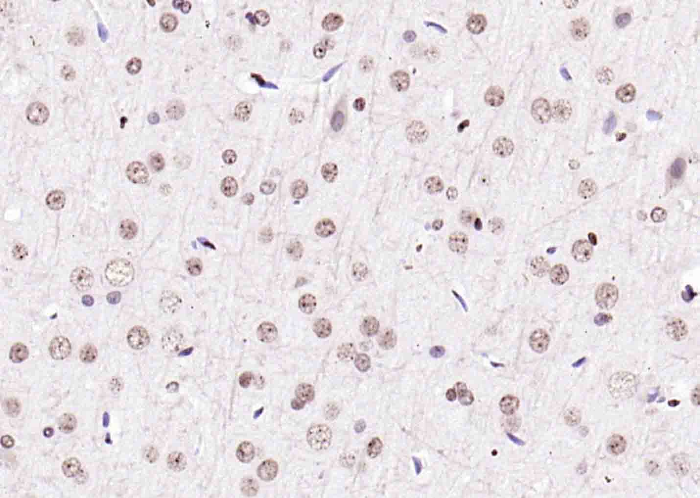
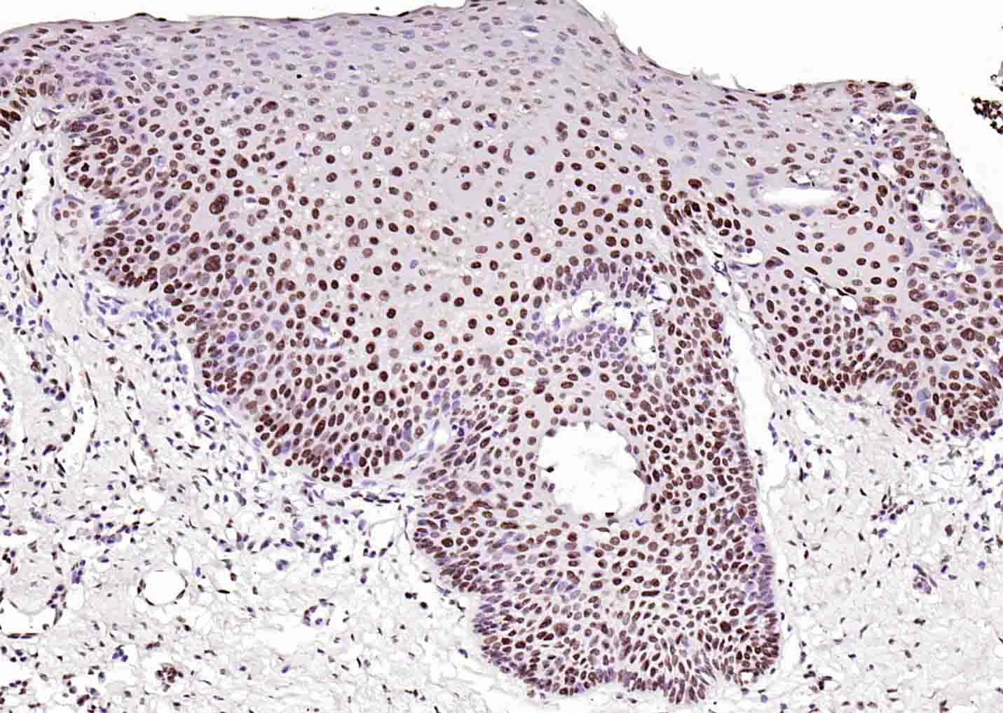
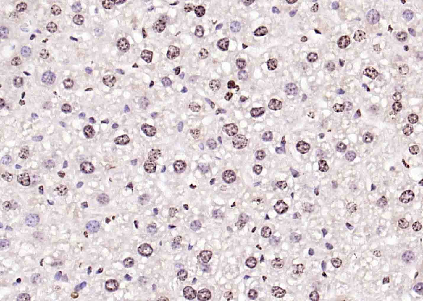
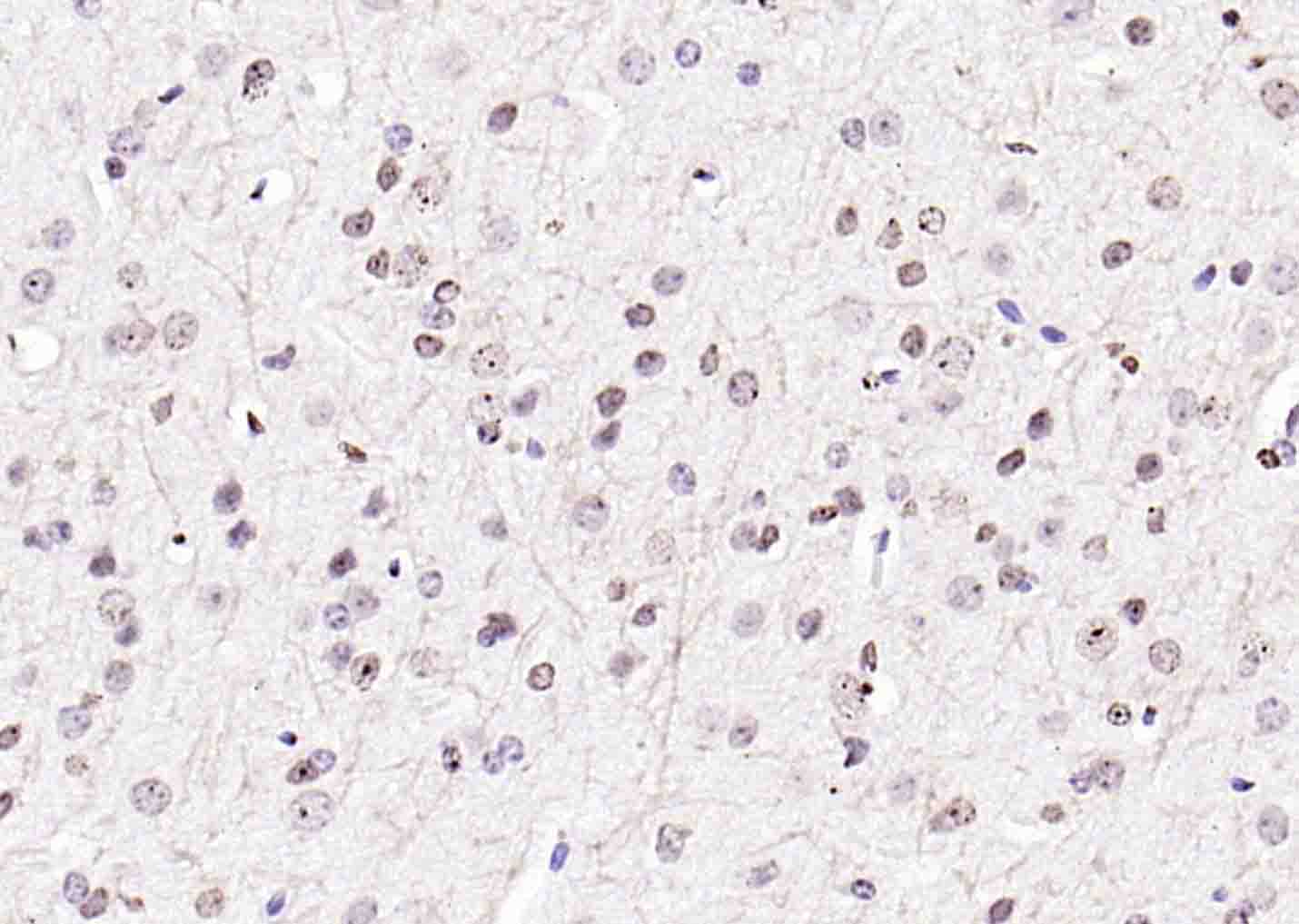
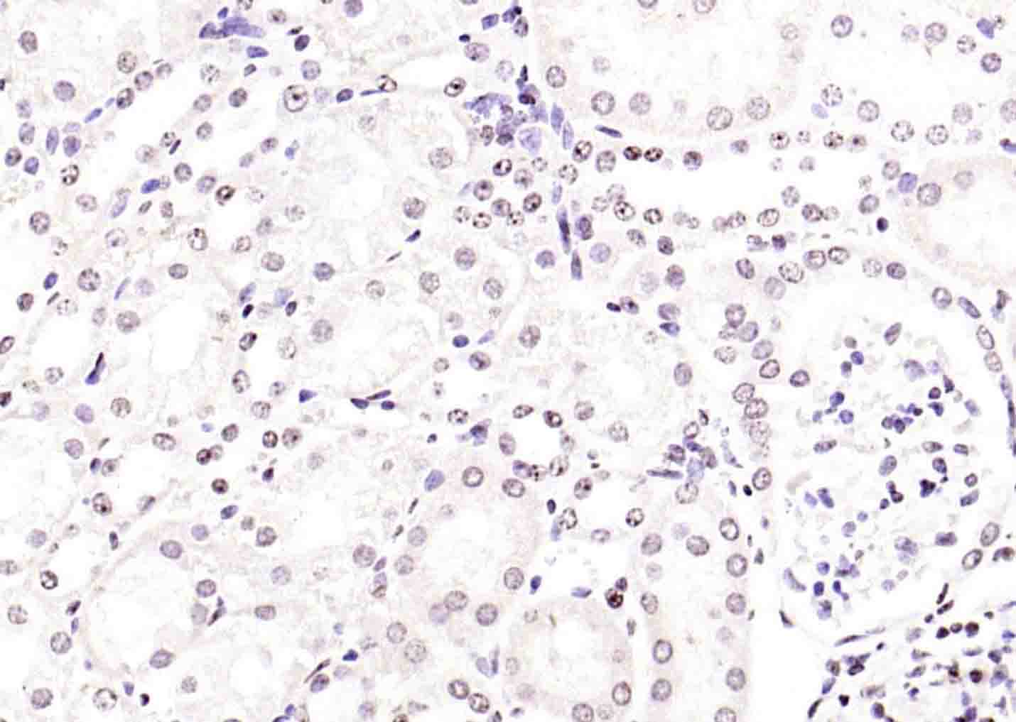
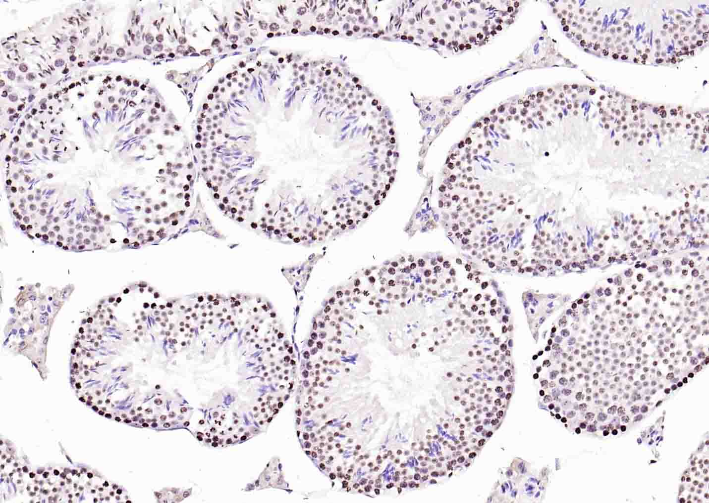
| 产品应用 | WB=1:500-2000, IHC-P=1:100-500, IHC-F=1:100-500, IF=1:100-500 Not yet tested in other applications. |
| 交叉反应 | Human, Mouse, Rat (Pig, Cow, Horse, Rabbit, Sheep, Chimpanzee) |
| 抗体来源 | Rabbit |
| 免疫原 | KLH conjugated synthetic peptide derived from human Histone H3.1 |
| 亚型 | IgG |
| 性状 | Liquid |
| 纯化方法 | affinity purified by Protein A |
| 克隆类型 | Polyclonal |
| 理论分子量 | 15 kDa |
| 浓度 | 1mg/ml |
| 储存液 | 0.01M TBS (pH7.4) with 1% BSA, 0.02% Proclin300 and 50% Glycerol. |
| 研究领域 | Epigenetics and Nuclear Signaling > ChIP assays > ChIP antibodies Epigenetics and Nuclear Signaling > Histones > H3 > Methylated |
| 亚基 | The nucleosome is a histone octamer containing two molecules each of H2A, H2B, H3 and H4 assembled in one H3-H4 heterotetramer and two H2A-H2B heterodimers. The octamer wraps approximately 147 bp of DNA. Interacts with GCN5, whereby H3S10ph increases histone-protein interactions. Interacts with PDD1 and PDD3. |
| 亚细胞定位 | Nucleus. Chromosome. Note=Localizes to both the large, transcriptionally active, somatic macronucleus (MAC) and the small, transcriptionally inert, germ line micronucleus (MIC). |
| 组织特异性 | Expressed in testicular cells.Expressed during S phase, then expression strongly decreases as cell division slows down during the process of differentiation. |
| 翻译后修饰 | Phosphorylated to form H3S10ph. H3S10ph promotes subsequent H3K14ac formation by GCN5. H3S10ph is only found in the mitotically dividing MIC, but not in the amitotically dividing MAC. H3S10ph is correlated with chromosome condensation during mitotic or meiotic micronuclear divisions.
Acetylation of histone H3 leads to transcriptional activation. H3K14ac formation by GCN5 is promoted by H3S10ph. H3K9acK14ac is the preferred acetylated form of newly synthesized H3. Acetylation occurs almost exclusively in the MAC. Methylated to form H3K4me. H3K4me is only found in the transcriptionally active MAC. Methylated to form H3K9me in developing MACs during conjugation, when genome-wide DNA elimination occurs. At this stage, H3K9me specifically occurs on DNA sequences being eliminated (IES), probably targeted by small scan RNAs (scnRNAs) bound to IES, and is required for efficient IES elimination. H3K9me is required for the interaction with the chromodomains of PDD1 and PDD3. The full-length protein H3S (slow migrating) is converted to H3F (fast migrating) by proteolytic removal of the first 6 residues. H3F is unique to MIC, and processing seems to occur regularly each generation at a specific point in the cell cycle. |
| 相似性 | Belongs to the histone H3 family. |
| 功能 | Core component of nucleosome. Nucleosomes wrap and compact DNA into chromatin, limiting DNA accessibility to the cellular machineries which require DNA as a template. Histones thereby play a central role in transcription regulation, DNA repair, DNA replication and chromosomal stability. DNA accessibility is regulated via a complex set of post-translational modifications of histones, also called histone code, and nucleosome remodeling. H3 is deposited into chromatin exclusively through a DNA replication-coupled pathway that can be associated with either DNA duplication or DNA repair synthesis during meiotic homologous recombination. |
| 保存条件 | Shipped at 4℃. Store at -20℃ for one year. Avoid repeated freeze/thaw cycles. |
| 注意事项 | This product as supplied is intended for research use only, not for use in human, therapeutic or diagnostic applications. |
| 背景资料 | Modulation of the chromatin structure plays an important role in the regulation of transcription in eukaryotes. The nucleosome, made up of four core histone proteins (H2A, H2B, H3 and H4), is the primary building block of chromatin. The N-terminal tail of core histones undergoes different posttranslational modifications including acetylation, phosphorylation and methylation. These modifications occur in response to cell signal stimuli and have a direct effect on gene expression. In most species, the histone H2B is primarily acetylated at lysines 5, 12, 15 and 20. Histone H3 is primarily acetylated at lysines 9, 14, 18 and 23. Acetylation at lysine 9 appears to have a dominant role in histone deposition and chromatin assembly in some organisms. Phosphorylation at Ser10 of histone H3 is tightly correlated with chromosome condensation during both mitosis and meiosis. |
| 应用 | 推荐稀释比例 |
| {WB} | {1:500-2000} |
| {IHC-P} | {1:100-500} |
| {IHC-F} | {1:100-500} |
| {IF} | {1:100-500} |











Lane 1: Mouse Testis tissue lysates
Lane 2: Mouse Thymus tissue lysates
Lane 3: Rat Thymus tissue lysates
Lane 4: Human HeLa cell lysates
Lane 5: Human SH-SY5Y cell lysates
Lane 6: Human 293T cell lysates
Lane 7: Human U251 cell lysates
Primary: Anti-Histone H3.1 (bs-17422R) at 1/1000 dilution
Secondary: IRDye800CW Goat Anti-Rabbit IgG at 1/20000 dilution
Predicted band size: 15 kDa
Observed band size: 17 kDa
风险提示:丁香通仅作为第三方平台,为商家信息发布提供平台空间。用户咨询产品时请注意保护个人信息及财产安全,合理判断,谨慎选购商品,商家和用户对交易行为负责。对于医疗器械类产品,请先查证核实企业经营资质和医疗器械产品注册证情况。
文献和实验[IF={{ 7.5 }}] {Hai-Yi Zhang. et al. Metabolic disruption exacerbates intestinal damage during sleep deprivation by abolishing HIF1α-mediated repair. CELL REP. 2024 Nov;43:} {WB} {Mouse}
[IF={{ 7.109 }}] {Wu Yutong. et al. Reduced osteoclast-derived apoptotic bodies in bone marrow characterizes the pathological progression of osteoporosis. CELL DEATH DISCOV. 2023 Apr;9(1):1-9} {WB} {Mouse}
[IF={{ 7.032 }}] {Mengmeng Liang. et al. Osteoclast-derived small extracellular vesicles induce osteogenic differentiation via inhibiting ARHGAP1. Mol Ther-Nucl Acids. 2021 Mar;23:1191} {WB} {Mouse}
[IF={{ 6.953 }}] {Jinshan Wu. et al. Protection by Hosta ventricosa polysaccharides against oxidative damage induced by t-BHP in HepG2 cells via the JNK/Nrf2 pathway. Int J Biol Macromol. 2022 May;208:453} {WB} {Human}
[IF={{ 4.85 }}] {Yutong Wu. et al. Osteoclast-derived extracellular miR-106a-5p promotes osteogenic differentiation and facilitates bone defect healing. CELL SIGNAL. 2022 Dec;:110549} {WB} {Mouse}
Competing Chromosomal Proteins from Drosophila Polytene Chromosomes Using Modified Histone Peptides
to chromatin, by its histone tail interaction or by other interactions, then you would not expect to see loss of binding upon peptide competition. A good positive control for the assay is to use H3K9 dimethylated peptide to compete HP1 from the pericentric
INTRODUCTION In cells and tissues, the histone proteins that constitute the nucleosomes can present multiple post-translational modifications, such as lysine acetylation, lysine and arginine methylation, serine phosphorylation
Gregory, R.I., Randall, T.E., Johnson, C.A., Khosla, S., Hatada, I., O'Neill, L.P., Turner, B.M., and Feil, R. 2001. DNA methylation is linked to deacetylation of histone H3, but not H4, on the imprinted genes Snrpn and U2af1-rs1. Mol. Cell. Biol. 21: 5426
技术资料暂无技术资料 索取技术资料









