相关产品推荐更多 >

Anti-BAFF & IL-17A Reference Antibody (Tibulizumab Biosimilar)(BIO0947SM)-1mg/5mg/100ug
¥2160
PSG3 Rabbit pAb, HRP conjugated(bs-19454R-HRP)-100ul
¥2980
CD44 Rabbit pAb, PE-Cy5 conjugated(bs-4916R-PE-Cy5)-100ul
¥2980
GPM6B Rabbit pAb, Cy7 conjugated(bs-11847R-Cy7)-100ul
¥2980
GPM6B Rabbit pAb, PerCP-Cy5.5 conjugated(bs-11847R-PerCP-Cy5.5)-100ul
¥2980
万千商家帮你免费找货
0 人在求购买到急需产品
- 详细信息
- 文献和实验
- 技术资料
- 应用范围:
产品信息以Bioss网站为准
- 规格:
50ul/100ul/200ul
| 规格: | 50ul | 产品价格: | ¥1180.0 |
|---|---|---|---|
| 规格: | 100ul | 产品价格: | ¥1980.0 |
| 规格: | 200ul | 产品价格: | ¥2800.0 |
| 产品编号 | bs-10741R |
| 英文名称 | Beta neoendorphin Rabbit pAb |
| 中文名称 | β-新内啡肽抗体 |
| 英文别名 | prodynorphin; proenkephalin-B; beta neoendorphin; beta-neoendorphin; PDYN_HUMAN. |
| 产品应用 | IHC-P=1:100-500, IHC-F=1:100-500, IF=1:100-500 Not yet tested in other applications. |
| 交叉反应 | Human, Mouse, Rat (Dog, Pig, Cow, Horse, Rabbit, Sheep, GuineaPig) |
| 抗体来源 | Rabbit |
| 免疫原 | KLH conjugated synthetic peptide derived from human Beta neoendorphin |
| 亚型 | IgG |
| 性状 | Liquid |
| 纯化方法 | affinity purified by Protein A |
| 克隆类型 | Polyclonal |
| 理论分子量 | 1 kDa |
| 浓度 | 1mg/ml |
| 储存液 | 0.01M TBS (pH7.4) with 1% BSA, 0.02% Proclin300 and 50% Glycerol. |
| 研究领域 | Neuroscience > Neurotransmitter > Neuropeptides > Opioids |
| 亚细胞定位 | Secreted. |
| 翻译后修饰 | The N-terminal domain contains 6 conserved cysteines thought to be involved in disulfide bonding and/or processing. |
| 相似性 | Belongs to the opioid neuropeptide precursor family. |
| 功能 | Leu-enkephalins compete with and mimic the effects of opiate drugs. They play a role in a number of physiologic functions, including pain perception and responses to stress. Dynorphin peptides differentially regulate the kappa opioid receptor. Dynorphin A(1-13) has a typical opiod activity, it is 700 times more potent than Leu-enkephalin. Leumorphin has a typical opiod activity and may have anti-apoptotic effect. |
| 保存条件 | Shipped at 4℃. Store at -20℃ for one year. Avoid repeated freeze/thaw cycles. |
| 注意事项 | This product as supplied is intended for research use only, not for use in human, therapeutic or diagnostic applications. |
| 背景资料 | The protein encoded by this gene is a preproprotein that is proteolytically processed to form the secreted opioid peptides beta-neoendorphin, dynorphin, leu-enkephalin, rimorphin, and leumorphin. These peptides are ligands for the kappa-type of opioid receptor. Dynorphin is involved in modulating responses to several psychoactive substances, including Cocaine. Multiple alternatively spliced transcript variants encoding the same protein have been found for this gene. [provided by RefSeq, Jul 2010] |
| 应用 | 推荐稀释比例 |
| {IHC-P} | {1:100-500} |
| {IHC-F} | {1:100-500} |
| {IF} | {1:100-500} |

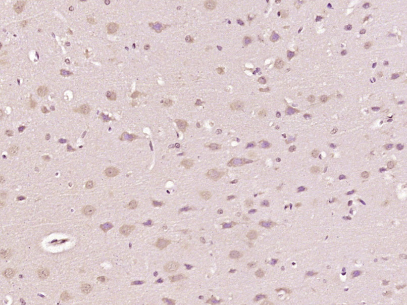
Paraformaldehyde-fixed, paraffin embedded (Rat brain); Antigen retrieval by boiling in sodium citrate buffer (pH6.0) for 15min; Block endogenous peroxidase by 3% hydrogen peroxide for 20 minutes; Blocking buffer (normal goat serum) at 37°C for 30min; Antibody incubation with (Beta neoendorphin) Polyclonal Antibody, Unconjugated (bs-10741R) at 1:400 overnight at 4°C, followed by operating according to SP Kit(Rabbit) (sp-0023) instructionsand DAB staining.

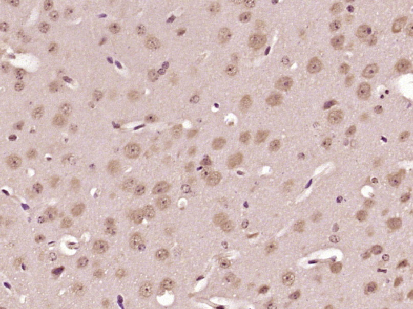
Paraformaldehyde-fixed, paraffin embedded (Mouse brain); Antigen retrieval by boiling in sodium citrate buffer (pH6.0) for 15min; Block endogenous peroxidase by 3% hydrogen peroxide for 20 minutes; Blocking buffer (normal goat serum) at 37°C for 30min; Antibody incubation with (Beta neoendorphin) Polyclonal Antibody, Unconjugated (bs-10741R) at 1:400 overnight at 4°C, followed by operating according to SP Kit(Rabbit) (sp-0023) instructionsand DAB staining.

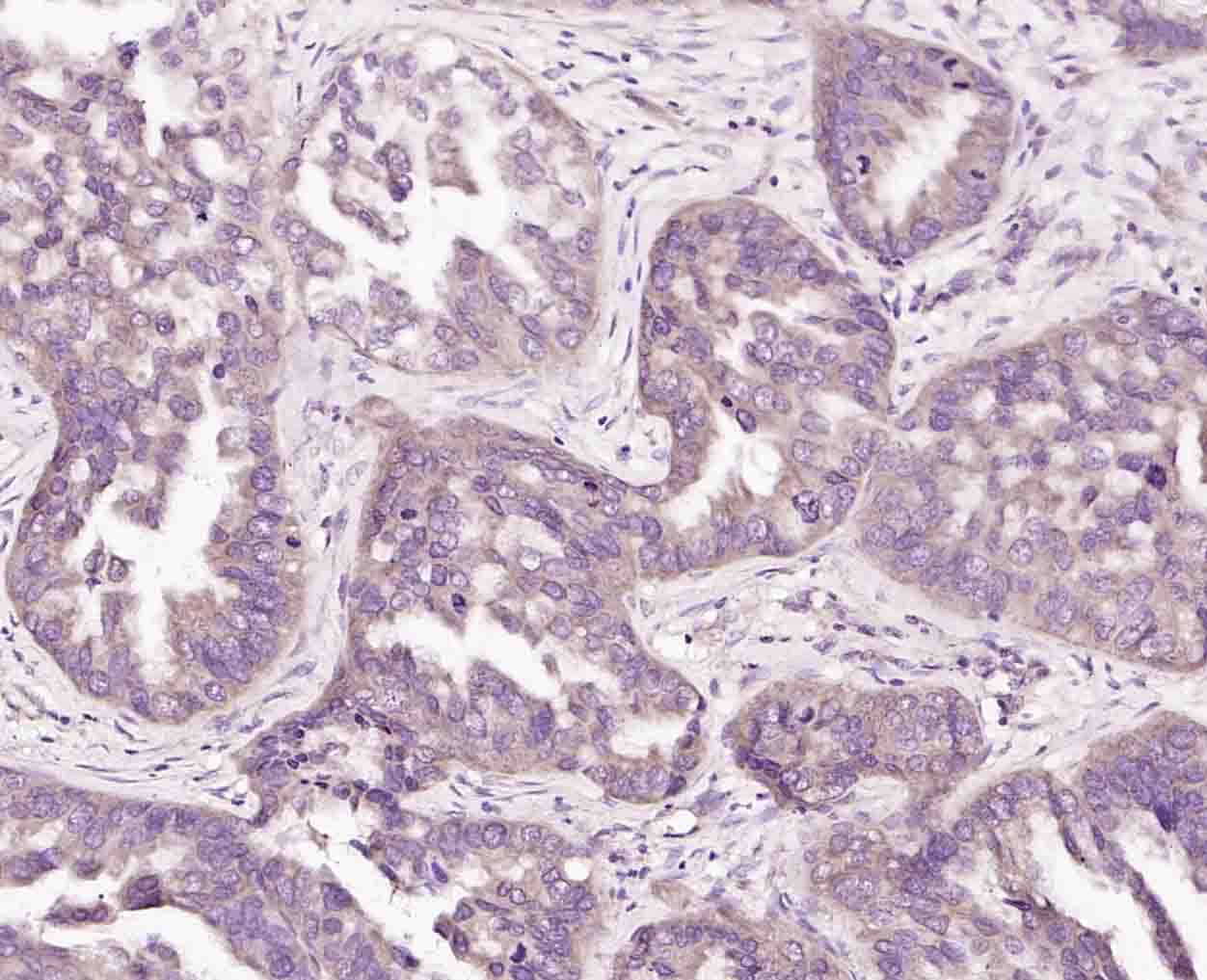
Paraformaldehyde-fixed, paraffin embedded (human lung carcinoma); Antigen retrieval by boiling in sodium citrate buffer (pH6.0) for 15min; Block endogenous peroxidase by 3% hydrogen peroxide for 20 minutes; Blocking buffer (normal goat serum) at 37°C for 30min; Incubation with (Beta neoendorphin) Polyclonal Antibody, Unconjugated (bs-10741R) at 1:200 overnight at 4°C, followed by operating according to SP Kit(Rabbit) (sp-0023) instructionsand DAB staining.

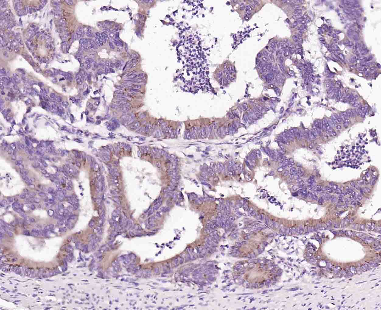
Paraformaldehyde-fixed, paraffin embedded (human colon carcinoma); Antigen retrieval by boiling in sodium citrate buffer (pH6.0) for 15min; Block endogenous peroxidase by 3% hydrogen peroxide for 20 minutes; Blocking buffer (normal goat serum) at 37°C for 30min; Incubation with (Beta neoendorphin) Polyclonal Antibody, Unconjugated (bs-10741R) at 1:200 overnight at 4°C, followed by operating according to SP Kit(Rabbit) (sp-0023) instructionsand DAB staining.
风险提示:丁香通仅作为第三方平台,为商家信息发布提供平台空间。用户咨询产品时请注意保护个人信息及财产安全,合理判断,谨慎选购商品,商家和用户对交易行为负责。对于医疗器械类产品,请先查证核实企业经营资质和医疗器械产品注册证情况。
文献和实验相关实验
Generation of Spatio‐Temporally Controlled Targeted Somatic Mutations in the Mouse
of CreERT2. J. Immunol. 182:5633‐5640. Huelsken, J., Vogel, R., Erdmann, B., Cotsarelis, G., and Birchmeier, W. 2001. Beta‐Catenin controls hair follicle morphogenesis and stem
技术资料暂无技术资料 索取技术资料
Beta neoendorphin Rabbit pAb(bs-10741R)-50ul/100ul/200ul
¥1180 - 2800






