相关产品推荐更多 >

C3orf32 Rabbit pAb, AP conjugated(bs-15174R-AP)-100ul
¥2980
IL17RB Rabbit pAb, Biotin conjugated(bs-23929R-Bio)-100ul
¥2980
AMPK alpha-1 Rabbit pAb(bs-10344R)-50ul/100ul/200ul
¥1180
E2F5 Rabbit pAb, APC conjugated(bs-1734R-APC)-100ul
¥2980
phospho-AQP2 (Ser256) Rabbit pAb, PE conjugated(bs-12507R-PE)-100ul
¥2980
万千商家帮你免费找货
0 人在求购买到急需产品
- 详细信息
- 文献和实验
- 技术资料
- 应用范围:
产品信息以Bioss网站为准
- 规格:
50ul/100ul/200ul
| 规格: | 50ul | 产品价格: | ¥1180.0 |
|---|---|---|---|
| 规格: | 100ul | 产品价格: | ¥1980.0 |
| 规格: | 200ul | 产品价格: | ¥2800.0 |
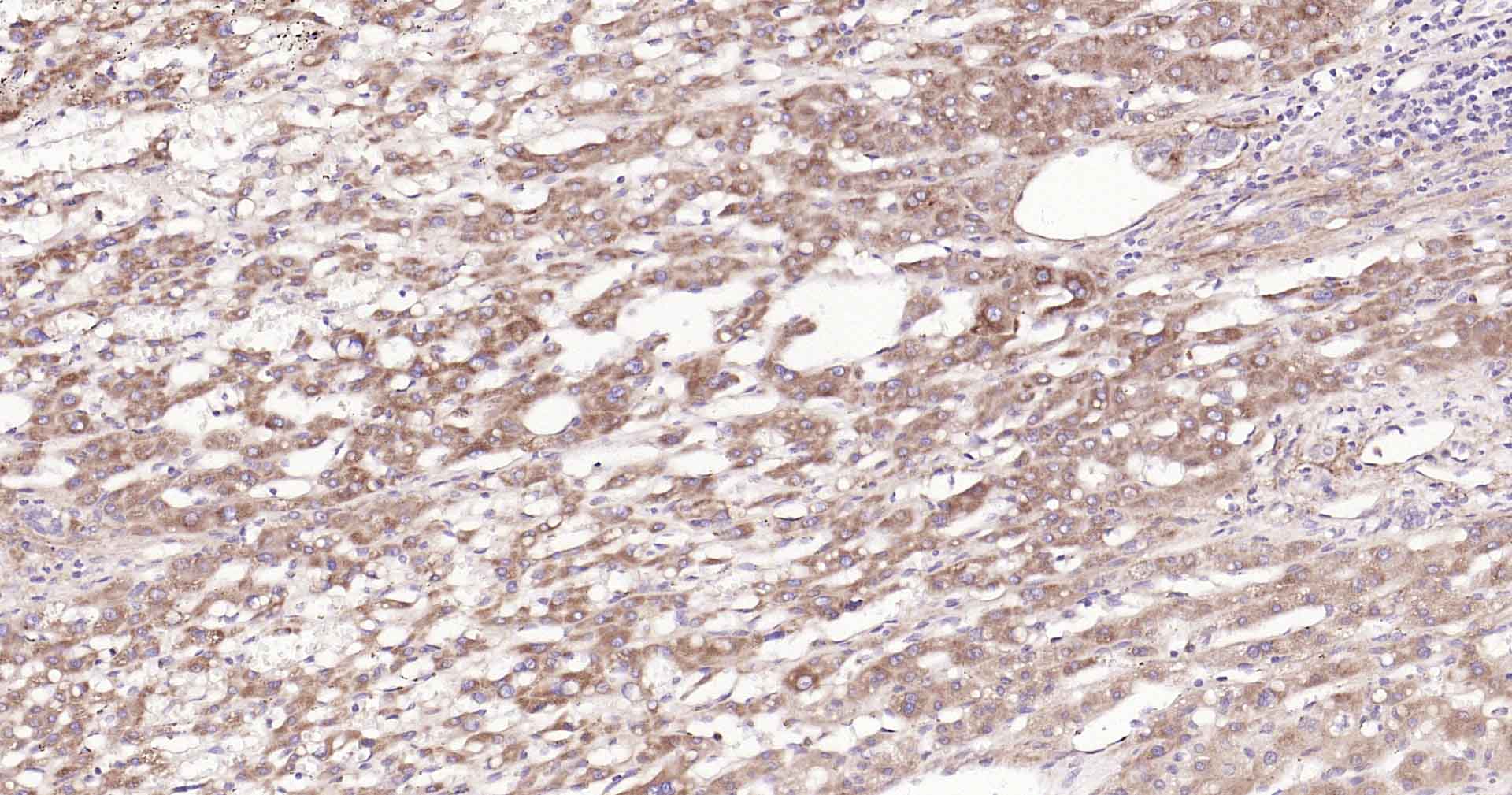
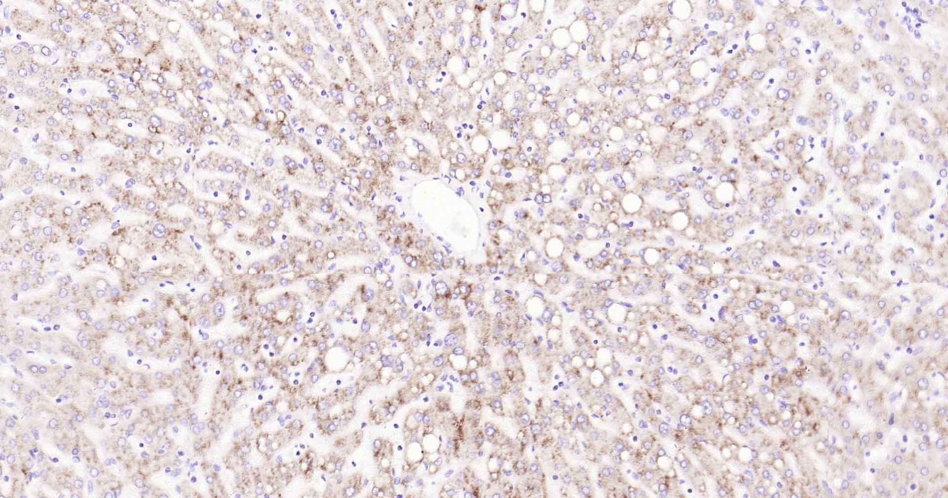
| 产品编号 | bs-2399R |
| 英文名称 | CYP7A1 Rabbit pAb |
| 中文名称 | 细胞色素P450 7A1抗体/胆固醇7a羟化酶抗体 |
| 英文别名 | Cholesterol 7 alpha hydroxylase; Cholesterol 7 alpha monooxygenase; cholesterol 7 alpha-monooxygenase; Cholesterol 7-alpha-hydroxylase; Cholesterol 7-alpha-monooxygenase; CP7A; CYP 7; CYP7; CYPVII; Cytochrome P450 7A1; cytochrome P450, family 7, subfamily A, polypeptide 1; Cytochrome P450, subfamily VIIA(cholesterol 7 alpha monooxygenase); CP7A1_HUMAN. |
| 产品应用 | IHC-P=1:100-500, IHC-F=1:100-500, IF=1:100-500 Not yet tested in other applications. |
| 交叉反应 | Human (Mouse, Rat, Pig, Rabbit, GuineaPig) |
| 抗体来源 | Rabbit |
| 免疫原 | KLH conjugated synthetic peptide derived from human CYP7A1 |
| 亚型 | IgG |
| 性状 | Liquid |
| 纯化方法 | affinity purified by Protein A |
| 克隆类型 | Polyclonal |
| 理论分子量 | 55 kDa |
| 浓度 | 1mg/ml |
| 储存液 | 0.01M TBS (pH7.4) with 1% BSA, 0.02% Proclin300 and 50% Glycerol. |
| 研究领域 | Cancer > Cancer Metabolism > Metabolic signaling pathway > Metabolism of lipids and lipoproteins Cardiovascular > Lipids / Lipoproteins > Lipid Metabolism > Cholesterol Metabolism Cardiovascular > Lipids / Lipoproteins > Lipid Metabolism > Cytochromes Metabolism > Pathways and Processes > Metabolic signaling pathways > Lipid and lipoprotein metabolism > Cholesterol Metabolism Metabolism > Pathways and Processes > Metabolic signaling pathways > Lipid and lipoprotein metabolism > Lipases Metabolism > Pathways and Processes > Metabolic signaling pathways > Lipid and lipoprotein metabolism > Lipid metabolism Metabolism > Pathways and Processes > Mitochondrial Metabolism > Cytochromes Metabolism > Types of disease > Cancer Signal Transduction > Metabolism > Lipid metabolism |
| 亚细胞定位 | Endoplasmic reticulum membrane; Peripheral membrane protein. Microsome membrane; Peripheral membrane protein. |
| 组织特异性 | Detected in liver. |
| 相似性 | Belongs to the cytochrome P450 family. |
| 功能 | Catalyzes a rate-limiting step in cholesterol catabolism and bile acid biosynthesis by introducing a hydrophilic moiety at position 7 of cholesterol. Important for cholesterol homeostasis. |
| 保存条件 | Shipped at 4℃. Store at -20℃ for one year. Avoid repeated freeze/thaw cycles. |
| 注意事项 | This product as supplied is intended for research use only, not for use in human, therapeutic or diagnostic applications. |
| 背景资料 | This gene encodes a member of the cytochrome P450 superfamily of enzymes. The cytochrome P450 proteins are monooxygenases which catalyze many reactions involved in drug metabolism and synthesis of cholesterol, steroids and other lipids. This endoplasmic reticulum membrane protein catalyzes the first reaction in the cholesterol catabolic pathway in the liver, which converts cholesterol to bile acids. This reaction is the rate limiting step and the major site of regulation of bile acid synthesis, which is the primary mechanism for the removal of cholesterol from the body. Polymorphisms in the promoter of this gene are associated with defects in bile acid synthesis. [provided by RefSeq, Feb 2010]. |
| 应用 | 推荐稀释比例 |
| {IHC-P} | {1:100-500} |
| {IHC-F} | {1:100-500} |
| {IF} | {1:100-500} |


风险提示:丁香通仅作为第三方平台,为商家信息发布提供平台空间。用户咨询产品时请注意保护个人信息及财产安全,合理判断,谨慎选购商品,商家和用户对交易行为负责。对于医疗器械类产品,请先查证核实企业经营资质和医疗器械产品注册证情况。
文献和实验[IF={{ 7.943 }}] {Shen X et al. Low-dose PCB126 compromises circadian rhythms associated with disordered glucose and lipid metabolism in mice. Environ Int. 2019 Jul;128:146-157.} {WB} {Mouse}
[IF={{ 5.5 }}] {Zhong D et al. Ganoderma Lucidum Polysaccharide Peptide Alleviates Hepatoteatosis via Modulating Bile Acid Metabolism Dependent on FXR-SHP/FGF.(2018)Cell Physiol Biochem.49(3):1163-1179.} {IHC,WB} {Mouse}
[IF={{ 4.9 }}] {Xingtong Chen. et al.Animal Model Screening for Hyperlipidemic ICR Mice..INTERNATIONAL JOURNAL OF MOLECULAR SCIENCES.2025 Feb 27;26(5):2142.} {IF} {Mouse}
[IF={{ 4.546 }}] {Li Mei. et al. Therapeutic mechanisms of the medicine and food homology formula Xiao-Ke-Yin on glucolipid metabolic dysfunction revealed by transcriptomics, metabolomics and microbiomics in mice. CHIN MED-UK. 2023 Dec;18(1):1-24} {IHC} {Mouse}
[IF={{ 4.292 }}] {Shinkichi Kosaka. et al. Bird’s eye view analysis of in situ cholesterol metabolic pathways in breast cancer patients and its clinicopathological significance in their subtypes. J Steroid Biochem. 2022 Jul;221:106103} {IHC} {Human}
= NAL), appears to form upon oxidative cyclization of the nonfluorescent 2:1 lysine-HNE Michael adduct-Schiff base cross-link (Scheme 1). Polyclonal antibody (PAb) to the NAL-HNE fluorophore was raised in rabbit and found to be highly specific
GE Healthcare Benzamidine Sepharose™ 6B is p-aminobenzamidine covalently attached to Sepharose 6B by the epoxy coupling method. p-Aminobenzamidine (PAB), is a synthetic inhibitor of trypsin-like serine protease. Trypsin and trypsin
Nucleic Acid Programmable Protein Arrays: Versatile Tools for Array‐Based Functional Protein Studies
.g., Sigma) 50 mg/ml bis‐sulfosuccinimdylsuberate (BS3 ;Pierce, cat. no. PI 21580) in dimethylsulfoxide (DMSO) 5 mg/ml
技术资料暂无技术资料 索取技术资料






