相关产品推荐更多 >

MBP Rabbit pAb(bs-0380R)-50ul/100ul/200ul
¥1180
Histone H3 (mono methyl K9) Mouse mAb, HRP conjugated(bsm-33116M-HRP)-100ul
¥2980
CHD3 Rabbit pAb, HRP conjugated(bs-8162R-HRP)-100ul
¥2980
KLF2 Rabbit pAb, APC conjugated(bs-2772R-APC)-100ul
¥2980
TGF-beta 3 Rabbit pAb, HRP conjugated(bs-20413R-HRP)-100ul
¥2980
万千商家帮你免费找货
0 人在求购买到急需产品
- 详细信息
- 文献和实验
- 技术资料
- 应用范围:
产品信息以Bioss网站为准
- 规格:
50ul/100ul/200ul
| 规格: | 50ul | 产品价格: | ¥1180.0 |
|---|---|---|---|
| 规格: | 100ul | 产品价格: | ¥1980.0 |
| 规格: | 200ul | 产品价格: | ¥2800.0 |
| 产品编号 | bs-14064R |
| 英文名称 | phospho-CRMP2 (Thr509) Rabbit pAb |
| 中文名称 | 磷酸化二氢嘧啶酶样2(CRMP2/DPYL2)抗体 |
| 英文别名 | CRMP2(phospho T509); p=CRMP2(phospho T509); CRMP2(phospho T509); CRMP-2(phospho Thr509); p-CRMP2(Thr509); Collapsin response mediator protein 2; Collapsin response mediator protein hCRMP 2; CRAM; CRMP 2; CRMP-2; CRMP2; DHPRP 2; DHPRP2; Dihydr pyrimidinase 2; Dihydropyrimidinase 2; Dihydropyrimidinase like 2; Dihydropyrimidinase like 2 long form; Dihydropyrimidinase related protein 2; Dihydropyrimidinase-related protein 2; DPYL 2; DPYL2; DPYL3_HUMAN; DPYSL 2; Dpysl2; DRP 2; DRP-2; DRP2; Musunc 33; Musunc33; N2A3; TOAD 64; TOAD64; ULIP 2 protein; ULIP-2; Ulip2; Unc-33-like phosphoprotein 2. |
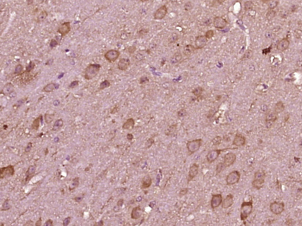
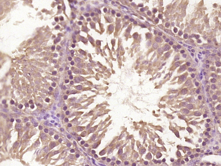
| 产品应用 | WB=1:500-2000, IHC-P=1:100-500, IHC-F=1:100-500, IF=1:100-500 Not yet tested in other applications. |
| 交叉反应 | Human, Mouse, Rat (Chicken, Dog, Pig, Cow, Horse, Rabbit, Sheep) |
| 抗体来源 | Rabbit |
| 免疫原 | KLH conjugated Synthesised phosphopeptide derived from human CRMP-2 around the phosphorylation site of Thr509 |
| 亚型 | IgG |
| 性状 | Liquid |
| 纯化方法 | affinity purified by Protein A |
| 克隆类型 | Polyclonal |
| 理论分子量 | 62 kDa |
| 浓度 | 1mg/ml |
| 储存液 | 0.01M TBS (pH7.4) with 1% BSA, 0.02% Proclin300 and 50% Glycerol. |
| 研究领域 | Neuroscience > Neurology process > Growth and Development > Axonal Guidance Proteins Neuroscience > Neurology process > Neurodegenerative disease > Alzheimer's disease Neuroscience > Neurology process > Neurogenesis |
| 亚基 | Homotetramer, and heterotetramer with CRMP1, DPYSL2, DPYSL4 or DPYSL5 (By similarity). Interacts with synaptic vesicle protein 2 and SH3A domain of intersectin (By similarity). |
| 亚细胞定位 | Cytoplasm. Cell projection, growth cone. Note=Colocalizes with synaptic vesicle protein 2 in the central region of the growth cone. |
| 组织特异性 | Mainly expressed in heart and skeletal muscle. Also strongly expressed in fetal brain and spinal cord. |
| 翻译后修饰 | Phosphorylation on Ser-522 by DYRK2 promotes subsequent phosphorylation on Thr-509, Thr-514 and Ser-518 by GSK3. |
| 相似性 | Belongs to the DHOase family. |
| 功能 | Necessary for signaling by class 3 semaphorins and subsequent remodeling of the cytoskeleton. Plays a role in axon guidance, neuronal growth cone collapse and cell migration (By similarity). |
| 保存条件 | Shipped at 4℃. Store at -20℃ for one year. Avoid repeated freeze/thaw cycles. |
| 注意事项 | This product as supplied is intended for research use only, not for use in human, therapeutic or diagnostic applications. |
| 背景资料 | Collapsin response mediator proteins (CRMPs) are cytosolic phosphoproteins involved in neuronal differentiation and axonal guidance. CRMP2 was previously shown to mediate the repulsive effect of Sema3A on axons and to participate in axonal specification. The CRMPs appear to play a complex role in axon growth as well as microtubule dynamics and axon induction. CRMPs localize to the lamellipodia and filopodia of axonal growth cones, suggesting a role in axon guidance. Moreover, CRMP2 is upregulated after axotomy, and appears to increase the formation of axon-type processes from hippocampal neurons. CRMP2 has been reported to bind tubulin dimers directly and modulate microtubule assembly. CRMPs have also been implicated in the pathogenesis of a paraneoplastic neurologic syndrome. Interaction studies have implicated phospholipase D2 (PLD2), the cytosolic tyrosine kinase Fes, and intersectin in CRMP function. Hyperphosphorylation of CRMP2 is an early event in the progression of Alzheimer's disease. |
| 应用 | 推荐稀释比例 |
| {WB} | {1:500-2000} |
| {IHC-P} | {1:100-500} |
| {IHC-F} | {1:100-500} |
| {IF} | {1:100-500} |



Primary: Anti-P-CRMP2 (Thr509)(bs-14064R)at 1/300 dilution
Secondary: IRDye800CW Goat Anti-Rabbit IgG at 1/20000 dilution
Predicted band size:62kD
Observed band size: 62kD

风险提示:丁香通仅作为第三方平台,为商家信息发布提供平台空间。用户咨询产品时请注意保护个人信息及财产安全,合理判断,谨慎选购商品,商家和用户对交易行为负责。对于医疗器械类产品,请先查证核实企业经营资质和医疗器械产品注册证情况。
文献和实验v468. chapter 4 WNT 细胞通路 检测细胞GSK3活性与表达水平
4 ). 2. Other antibodies used were b-catenin (phospho-Thr41/Ser37/Ser33) (#9561; Cell Signaling Technology), b-catenin (#9562;Cell Signaling Technology), CRMP2 (pT514/509) (#PB-043; Kinasource, Dundee, Scotland) and CRMP2 (#AB-042;Kinasource). 3. Blocking buffer
(Ser473)(193H12)Rabbit mAb,1:300,稀释,二抗是驴抗兔,1:2000,我是实验室的新手,刚呆俩月,受 此挫折,一头雾水,请过来人或者有经验的同学帮忙解答怎样解决,非常感谢! 碧峤 pAkt有两个位点,Ser473和Thr308,其中Ser473相对容易显色。如果显色失败,可能的原因:1 上样量过少,我们一般都是30μg;2 一抗孵育时间过短,我们一般24h~48h;3 一抗是否工作有待排除 米宝
antibody dilution buffer: TBS-T supplemented with2% (w/v) BSA. 6. Antibodies: Phospho-b-catenin Ser33/Ser37/Thr41, phospho-glycogen synthase Ser641, and glycogen synthase (CellSignaling Technologies, Beverly, MA); b-catenin and GSK-3b(BD PharMingen, San
技术资料暂无技术资料 索取技术资料






