相关产品推荐更多 >

FARP1 Rabbit pAb, PE conjugated(bs-13144R-PE)-100ul
¥2980
Clusterin Recombinant Rabbit mAb(bsm-60757R)-50ul/100ul/25ul
¥800
GCP4 Rabbit pAb(bs-13320R)-50ul/100ul/200ul
¥1180
phospho-EDG1 (Thr236) Rabbit pAb(bs-14504R)-50ul/100ul/200ul
¥1180
Insulin Receptor alpha Rabbit pAb, Cy5 conjugated(bs-0047R-Cy5)-100ul
¥2980
万千商家帮你免费找货
0 人在求购买到急需产品
- 详细信息
- 文献和实验
- 技术资料
- 应用范围:
产品信息以Bioss网站为准
- 规格:
50ul/100ul/200ul
| 规格: | 50ul | 产品价格: | ¥1180.0 |
|---|---|---|---|
| 规格: | 100ul | 产品价格: | ¥1980.0 |
| 规格: | 200ul | 产品价格: | ¥2800.0 |
| 产品编号 | bs-8686R |
| 英文名称 | BRMS1 Rabbit pAb |
| 中文名称 | 乳腺癌转移抑制基因1抗体 |
| 英文别名 | Breast cancer metastasis suppressor 1; Breast cancer metastasis-suppressor 1; BRMS-1; BRMS1_HUMAN; DKFZp564A063; MGC95128; AV003220; AW554636. |
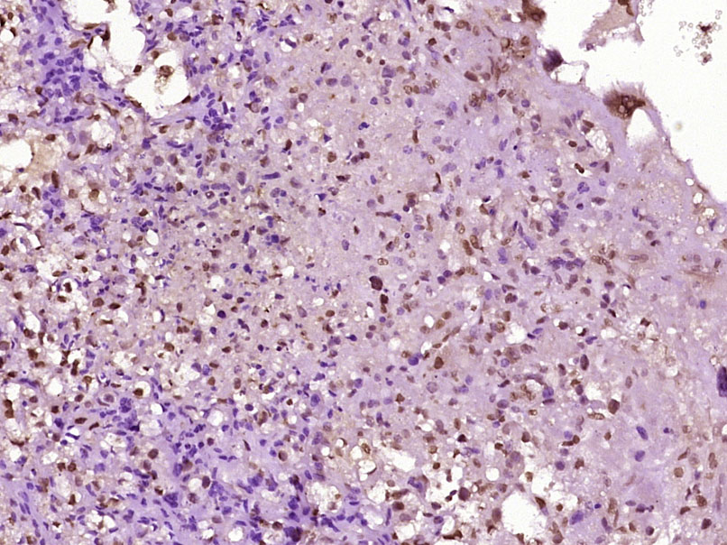
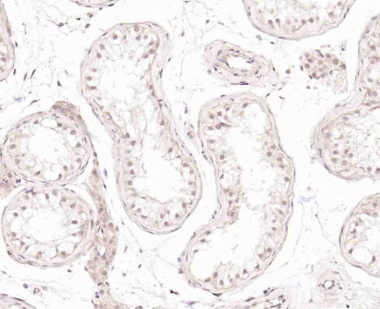
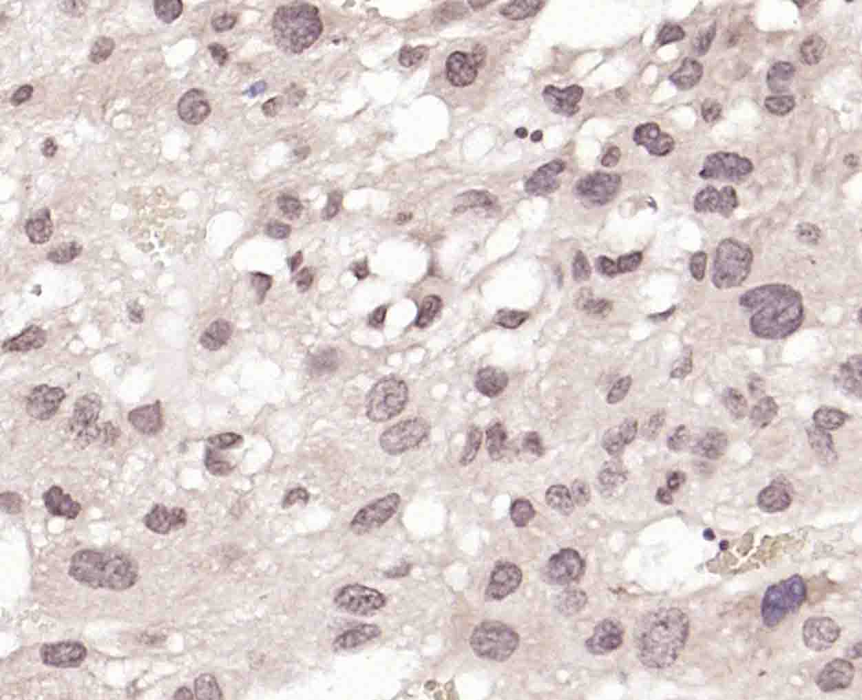
| 产品应用 | WB=1:500-2000, IHC-P=1:100-500, IHC-F=1:100-500, IF=1:100-500 Not yet tested in other applications. |
| 交叉反应 | Human, Mouse, Rat (Dog, Pig, Horse) |
| 抗体来源 | Rabbit |
| 免疫原 | KLH conjugated synthetic peptide derived from human BRMS1 |
| 亚型 | IgG |
| 性状 | Liquid |
| 纯化方法 | affinity purified by Protein A |
| 克隆类型 | Polyclonal |
| 理论分子量 | 28 kDa |
| 浓度 | 1mg/ml |
| 储存液 | 0.01M TBS (pH7.4) with 1% BSA, 0.02% Proclin300 and 50% Glycerol. |
| 研究领域 | Epigenetics and Nuclear Signaling > Transcription > Cancer susceptibility > Tumor Suppressors |
| 亚基 | Belongs to the BRMS1 family. |
| 亚细胞定位 | Nucleus. Cytoplasm. Predominantly nuclear. |
| 组织特异性 | Expression levels are higher in term placentas than in early placentas. Low levels of expression observed in normal pregnancies and in molar pregnancies. |
| 翻译后修饰 | Ubiquitinated by a cullin-RING-based BCR (BTB-CUL3-RBX1) E3 ubiquitin-protein ligase complex containing SPOP, leading to proteasomal degradation. |
| 相似性 | Belongs to the BRMS1 family. |
| 功能 | Transcriptional repressor. Down-regulates transcription activation by NF-kappa-B by promoting the deacetylation of RELA at 'Lys-310'. Promotes HDAC1 binding to promoter regions. Down-regulates expression of anti-apoptotic genes that are controlled by NF-kappa-B. Promotes apoptosis in cells that have inadequate adherence to a substrate, a process called anoikis, and may thereby inhibit metastasis. May be a mediator of metastasis suppression in breast carcinoma. |
| 保存条件 | Shipped at 4℃. Store at -20℃ for one year. Avoid repeated freeze/thaw cycles. |
| 注意事项 | This product as supplied is intended for research use only, not for use in human, therapeutic or diagnostic applications. |
| 背景资料 | Breast cancer metastasis-suppressor 1 (BRMS1) is 246 amino acid protein that acts as a mediator of metastasis suppression in several types of cancer including ovarian, lung, bladder, and murine mammary. BRMS1 mRNA is expressed in various tissues, including ovary, prostate, testis, and colon, but the protein is primarily detected in term placenta. BRMS1 suppresses metastasis without inhibiting tumorigenicity by modifying several metastasis-associated phenotypes. BRMS1 may participate in transcriptional regulation by binding to the mSin3/histone deacetylase complex. The expression of BRMS1 in certain cells increases connexin Cx43 expression and reduces connexin Cx32 expression. This produces a gap junction that increases intercellular communication, similar to those found in normal breast tissue. BRMS1 is stabilized by Hsp90 and may inhibit NF-ⅹB activity. |
| 应用 | 推荐稀释比例 |
| {WB} | {1:500-2000} |
| {IHC-P} | {1:100-500} |
| {IHC-F} | {1:100-500} |
| {IF} | {1:100-500} |



HepG2(Human) Cell Lysate at 30 ug
Primary: Anti-BRMS1 (bs-8686R) at 1/1000 dilution
Secondary: IRDye800CW Goat Anti-Rabbit IgG at 1/20000 dilution
Predicted band size: 28 kD
Observed band size: 28 kD



风险提示:丁香通仅作为第三方平台,为商家信息发布提供平台空间。用户咨询产品时请注意保护个人信息及财产安全,合理判断,谨慎选购商品,商家和用户对交易行为负责。对于医疗器械类产品,请先查证核实企业经营资质和医疗器械产品注册证情况。
文献和实验= NAL), appears to form upon oxidative cyclization of the nonfluorescent 2:1 lysine-HNE Michael adduct-Schiff base cross-link (Scheme 1). Polyclonal antibody (PAb) to the NAL-HNE fluorophore was raised in rabbit and found to be highly specific
GE Healthcare Benzamidine Sepharose™ 6B is p-aminobenzamidine covalently attached to Sepharose 6B by the epoxy coupling method. p-Aminobenzamidine (PAB), is a synthetic inhibitor of trypsin-like serine protease. Trypsin and trypsin
Nucleic Acid Programmable Protein Arrays: Versatile Tools for Array‐Based Functional Protein Studies
.g., Sigma) 50 mg/ml bis‐sulfosuccinimdylsuberate (BS3 ;Pierce, cat. no. PI 21580) in dimethylsulfoxide (DMSO) 5 mg/ml
技术资料暂无技术资料 索取技术资料






