相关产品推荐更多 >

phospho-ERK1/ERK2(phospho-T183/Y185) Rabbit pAb, Cy5 conjugated(bs-1522R-Cy5)-100ul
¥2980
Histone H3 (Di Methyl K4) Rabbit pAb(bs-3770R)-50ul/100ul/200ul
¥1180
HSC82 Rabbit pAb(bs-17398R)-50ul/100ul/200ul
¥1180
Chordin Rabbit pAb(bs-11831R)-50ul/100ul/200ul
¥1180
DC-SIGN Rabbit pAb, BF555 conjugated(bs-10053R-BF555)-100ul
¥2980
万千商家帮你免费找货
0 人在求购买到急需产品
- 详细信息
- 文献和实验
- 技术资料
- 应用范围:
产品信息以Bioss网站为准
- 规格:
50ul/100ul/200ul
| 规格: | 50ul | 产品价格: | ¥1180.0 |
|---|---|---|---|
| 规格: | 100ul | 产品价格: | ¥1980.0 |
| 规格: | 200ul | 产品价格: | ¥2800.0 |
| 产品编号 | bs-15445R |
| 英文名称 | HECT E3 ubiquitin ligase Rabbit pAb |
| 中文名称 | HECT E3泛素链接酶抗体 |
| 英文别名 | CEB1; CEBP1; Cyclin E binding protein 1; Cyclin-E-binding protein 1; E3 ISG15--protein ligase HERC5; HECT domain and RCC1 like domain containing protein 5; HECT domain and RCC1-like domain-containing protein 5; Hect domain and RLD 5; HECT E3 ubiquitin ligase; HERC5; HERC5_HUMAN; Herc6. |
| 产品应用 | IHC-P=1:100-500, IHC-F=1:100-500, ICC/IF=1:100-500, IF=1:100-500 Not yet tested in other applications. |
| 交叉反应 | Human, Rat |
| 抗体来源 | Rabbit |
| 免疫原 | KLH conjugated synthetic peptide derived from human HECT E3 ubiquitin ligase |
| 亚型 | IgG |
| 性状 | Liquid |
| 纯化方法 | affinity purified by Protein A |
| 克隆类型 | Polyclonal |
| 理论分子量 | 117 kDa |
| 浓度 | 1mg/ml |
| 储存液 | 0.01M TBS (pH7.4) with 1% BSA, 0.02% Proclin300 and 50% Glycerol. |
| 亚基 | Binds to CCNA1, CCNB1, CCND1 and CCNE1. Interacts with UBE2L6. Interacts with IRF3, this interaction is marginal in resting cells but enhanced upon viral infection. |
| 亚细胞定位 | Cytoplasm, perinuclear region. Note=Associated with the polyribosomes, probably via the 60S subunit. |
| 组织特异性 | Expressed in testis and to a lesser degree in brain, ovary and placenta. Found in most tissues at low levels. |
| 翻译后修饰 | ISGylated (Probable). |
| 相似性 | Contains 1 HECT (E6AP-type E3 ubiquitin-protein ligase) domain. Contains 5 RCC1 repeats. |
| 功能 | Major E3 ligase for ISG15 conjugation. Acts as a positive regulator of innate antiviral response in cells induced by interferon. Makes part of the ISGylation machinery that recognizes target proteins in a broad and relatively non-specific manner. Catalyzes ISGylation of IRF3 which results in sustained activation, it attenuates IRF3-PIN1 interaction, which antagonizes IRF3 ubiquitination and degradation, and boosts the antiviral response. Catalyzes ISGylation of influenza A viral NS1 which attenuates virulence; ISGylated NS1 fails to form homodimers and thus to interact with its RNA targets. Catalyzes ISGylation of papillomavirus type 16 L1 protein which results in dominant-negative effect on virus infectivity. Physically associated with polyribosomes, broadly modifies newly synthesized proteins in a cotranslational manner. In an interferon-stimulated cell, newly translated viral proteins are primary targets of ISG15. |
| 保存条件 | Shipped at 4℃. Store at -20℃ for one year. Avoid repeated freeze/thaw cycles. |
| 注意事项 | This product as supplied is intended for research use only, not for use in human, therapeutic or diagnostic applications. |
| 背景资料 | HECT E3 ubiquitin ligase is a member of the HERC family of ubiquitin ligases and encodes a protein with a HECT domain and five RCC1 repeats. Pro-inflammatory cytokines upregulate expression of this gene in endothelial cells. The protein localizes to the cytoplasm and perinuclear region and functions as an interferon-induced E3 protein ligase that mediates ISGylation of protein targets. The gene lies in a cluster of HERC family genes on chromosome 4. |
| 应用 | 推荐稀释比例 |
| {IHC-P} | {1:100-500} |
| {IHC-F} | {1:100-500} |
| {ICC/IF} | {1:100-500} |
| {IF} | {1:100-500} |

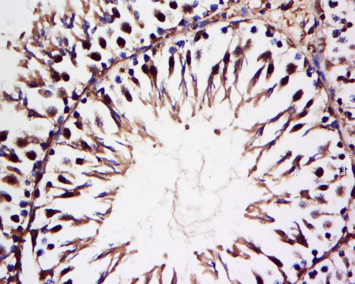
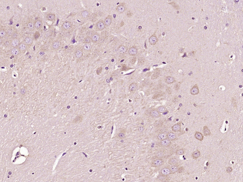
Antigen retrieval: citrate buffer ( 0.01M, pH 6.0 ), Boiling bathing for 15min; Block endogenous peroxidase by 3% Hydrogen peroxide for 30min; Blocking buffer (normal goat serum,C-0005) at 37℃ for 20 min;
Incubation: Anti-CEB1 Polyclonal Antibody, Unconjugated(bs-15445R) 1:200, overnight at 4°C, followed by conjugation to the secondary antibody(SP-0023) and DAB(C-0010) staining


风险提示:丁香通仅作为第三方平台,为商家信息发布提供平台空间。用户咨询产品时请注意保护个人信息及财产安全,合理判断,谨慎选购商品,商家和用户对交易行为负责。对于医疗器械类产品,请先查证核实企业经营资质和医疗器械产品注册证情况。
文献和实验Studies of the Ubiquitin Proteasome System
Assays of E1 and E2 Activity Basic Protocol 1: Thiolester Formation Between Rabbit E1 and Ubiquitin Basic Protocol 2: Thiolester Formation Between E2 and Ubiquitin Binding of Ubiquitin‐Proteasome Proteins Basic Protocol 3: Binding of E2s to E3s Alternate
Assays for RING Family Ubiquitin Ligases
through an enzymatic cascade of three discrete steps, which results in covalent attachment of ubiquitin to the substrate. The first two steps in this cascade involve the activating and conjugating enzymes, E1 and E2. The third and final step is performed by the E3
Overview of Protein Microarrays
gluconeogenesis. Cell 136:1073‐1084. Lu, J.‐Y., Lin, Y.‐Y., Qian, J., Tao, S.‐C., Zhu, J., Pickart, C., and Zhu, H. 2008. Functional dissection of a HECT ubiquitin E3 Ligase. Mol. Cell
技术资料暂无技术资料 索取技术资料






