相关产品推荐更多 >

Integrin Alpha V Rabbit pAb, FITC conjugated(bs-1310R-FITC)-100ul
¥2980
Aldolase A Rabbit pAb, HRP conjugated(bs-2406R-HRP)-100ul
¥2980
C5a anaphylatoxin Rabbit pAb(bs-10476R)-50ul/100ul/200ul
¥1180
ICAM4 Rabbit pAb, BF647 conjugated(bs-7637R-BF647)-100ul
¥2980
CD200R Rabbit pAb, RBITC conjugated(bs-7351R-RBITC)-100ul
¥2980
万千商家帮你免费找货
0 人在求购买到急需产品
- 详细信息
- 文献和实验
- 技术资料
- 应用范围:
产品信息以Bioss网站为准
- 规格:
50ul/100ul
| 规格: | 50ul | 产品价格: | ¥1400.0 |
|---|---|---|---|
| 规格: | 100ul | 产品价格: | ¥2500.0 |
| 产品编号 | bsm-52594R |
| 英文名称 | AGR2 Recombinant Rabbit mAb |
| 中文名称 | 前梯度同源蛋白2重组兔单抗 |
| 英文别名 | HAG2; AG2 protein; hAG2; Secreted cement gland protein XAG2 homolog; AG 2; AG 2 protein; AG-2; AG2; AG2 protein; AGR 2; AGR2; AGR2_HUMAN; Anterior gradient 2 homolog(Xenopus laevis); anterior gradient 2 homolog; Anterior gradient protein 2 homolog; GOB 4; GOB4; HAG 2; hAG-2; hAG2; HAG2/R; HPC 8; HPC8; secreted cement gland homolog; Secreted cement gland protein XAG 2 homolog; Secreted cement gland protein XAG-2 homolog; Secreted cement gland protein XAG2 homolog; XAG 2; XAG2. |
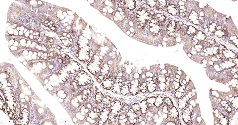
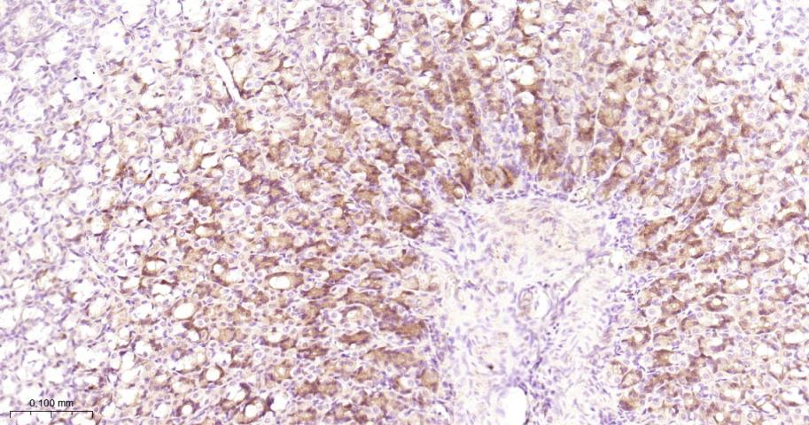
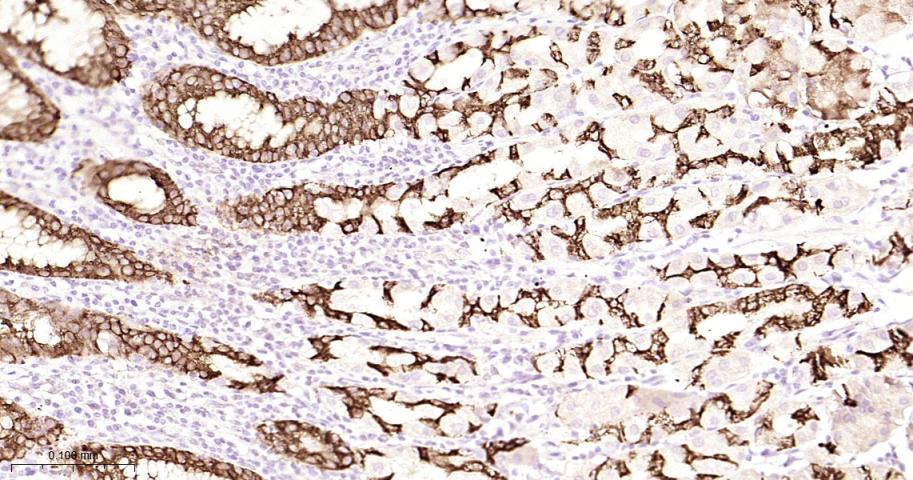
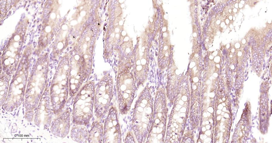
| 产品应用 | WB=1:500-2000, IHC-P=1:100-500, IHC-F=1:100-500, ICC/IF=1:50-200, IF=1:100-500, Flow-Cyt=1:20-100 Not yet tested in other applications. |
| 交叉反应 | Human, Mouse, Rat |
| 抗体来源 | Rabbit |
| 免疫原 | A synthesized peptide derived from human AGR2 |
| 亚型 | IgG |
| 性状 | Liquid |
| 纯化方法 | affinity purified by Protein A |
| 克隆类型 | Recombinant |
| 理论分子量 | 20 kDa |
| 浓度 | 1mg/ml |
| 储存液 | 0.01M TBS (pH7.4) with 1% BSA, 0.02% Proclin300 and 50% Glycerol. |
| 研究领域 | Cancer > Tumor biomarkers Signal Transduction > Cytoskeleton / ECM > Extracellular Matrix > ECM Proteins > MUC |
| 亚基 | Interacts with LYPD3 and DAG1 (alphaDAG1). Interacts with MUC2; disulfide-linked. |
| 亚细胞定位 | Secreted. Endoplasmic reticulum. |
| 组织特异性 | Expressed strongly in trachea, lung, stomach, colon, prostate and small intestine. Expressed weakly in pituitary gland, salivary gland, mammary gland, bladder, appendix, ovary, fetal lung, uterus, pancreas, kidney, fetal kidney, testis, placenta, thyroid gland and in estrogen receptor (ER)-positive breast cancer cell lines. |
| 相似性 | Belongs to the AGR family. |
| 功能 | Required for MUC2 post-transcriptional synthesis and secretion. May play a role in the production of mucus by intestinal cells (By similarity). Proto-oncogene that may play a role in cell migration, cell differentiation and cell growth. |
| 保存条件 | Shipped at 4℃. Store at -20℃ for one year. Avoid repeated freeze/thaw cycles. |
| 注意事项 | This product as supplied is intended for research use only, not for use in human, therapeutic or diagnostic applications. |
| 背景资料 | AGR2 is a member of the anterior gradient homolog family. It is the human ortholog of XAG-2, the secreted Xenopus laevis Anterior Gradient protein. In X. laevis, it is involved in cement gland differentiation and neural marker gene expression. AGR2 is a secretory protein encoded by two different AGR2 transcripts. It interacts with LYPD3 and ?dystroglycan (DAG-1). AGR2 is ubiquitously expressed with up-regulated expression in prostate cancer, breast cancer, lung cancer, renal carcinomas and endometrial carcinomas. AGR2 expression is positively correlated with that of the estrogen receptor (ER) and is negatively correlated with that of the epidermal growth factor receptor (EGFR). AGR2 may serve as a potential therapeutic marker for various cancers. |
| 应用 | 推荐稀释比例 |
| {WB} | {1:500-2000} |
| {IHC-P} | {1:100-500} |
| {IHC-F} | {1:100-500} |
| {ICC/IF} | {1:50-200} |
| {IF} | {1:100-500} |
| {Flow-Cyt} | {1:20-100} |









风险提示:丁香通仅作为第三方平台,为商家信息发布提供平台空间。用户咨询产品时请注意保护个人信息及财产安全,合理判断,谨慎选购商品,商家和用户对交易行为负责。对于医疗器械类产品,请先查证核实企业经营资质和医疗器械产品注册证情况。
文献和实验到 PVDF 膜上,同时减少蛋白不必要降解,这对于最终获得清晰、可信结果也是需要考虑因素。抗体信息:1.ACC1, Recombinant Rabbit monoclonal IgG. HuaAn. HuaAn biotechnology , inc.2.ATGL, Mouse mAb IgG1, Cat#:RT1058. HuaAn biotechnology , inc.3.p-PERK(Thr981), Rabbit Polyclonal IgG primary antibodies, Cat
抗凝血酶III(Antithrombin,AT-III)的生理功能与临床应用
: Unconjugated S0B3117 Antithrombin III Recombinant Rabbit mAb (SDT-294-303) 来源 : Rabbit 标记 : Unconjugated S0B0106 Antithrombin III Recombinant Rabbit mAb (SDT-294-211) 来源 : Rabbit
The OP9-DL1 System: Generation of T-Lymphocytes from Embryonic or Hematopoietic Stem Cells In Vitro
al. 2006b ). MATERIALS Reagents Anti-CD24 monoclonal antibody (mAb) (J11d clone) (for Protocol 3) Use either culture supernatant that contains anti-CD24 mAb or purified anti-CD24 mAb (see Step 55). BDPharmLyse (red blood cell lysing
技术资料暂无技术资料 索取技术资料






