相关产品推荐更多 >
万千商家帮你免费找货
0 人在求购买到急需产品
- 详细信息
- 技术资料
- 应用范围:
产品信息以Bioss网站为准
- 规格:
50ul/100ul/200ul
| 规格: | 50ul | 产品价格: | ¥1180.0 |
|---|---|---|---|
| 规格: | 100ul | 产品价格: | ¥1980.0 |
| 规格: | 200ul | 产品价格: | ¥2800.0 |
| 产品编号 | bs-15093R |
| 英文名称 | C20orf134 Rabbit pAb |
| 中文名称 | 20号染色体开放阅读框134抗体 |
| 英文别名 | C20orf134; CT134_HUMAN; Putative uncharacterized actin family protein C20orf134. |
| 产品应用 | IHC-P=1:100-500, IHC-F=1:100-500, IF=1:100-500 Not yet tested in other applications. |
| 交叉反应 | Rat (Human, Mouse) |
| 抗体来源 | Rabbit |
| 免疫原 | KLH conjugated synthetic peptide derived from human C20orf134 |
| 亚型 | IgG |
| 性状 | Liquid |
| 纯化方法 | affinity purified by Protein A |
| 克隆类型 | Polyclonal |
| 理论分子量 | 27 kDa |
| 浓度 | 1mg/ml |
| 储存液 | 0.01M TBS (pH7.4) with 1% BSA, 0.02% Proclin300 and 50% Glycerol. |
| 亚基 | Associates with the U5 snRNP particle. Component of the U4/U6-U5 tri-snRNP complex composed of the U4, U6 and U5 snRNAs and at least PRPF3, PRPF4, PRPF6, PRPF8, PRPF31, SNRNP200, TXNL4A, SNRNP40, DDX23, CD2BP2, PPIH, NHP2L1, EFTUD2, SART1 and USP39, LSm proteins LSm2-8 and Sm proteins. Interacts with ARAF1. Identified in the spliceosome C complex. Interacts with AR and NR3C1, but not ESR1, independently of the presence of hormones. |
| 亚细胞定位 | Nucleus, nucleoplasm. Nucleus speckle. Note=Localized in splicing speckles. |
| 组织特异性 | Widely expressed. |
| 相似性 | Belongs to the actin family. |
| 功能 | Involved in pre-mRNA splicing as component of the U4/U6-U5 tri-snRNP complex, one of the building blocks of the spliceosome. Enhances dihydrotestosterone-induced transactivation activity of AR, as well as dexamethasone-induced transactivation activity of NR3C1, but does not affect estrogen-induced transactivation. |
| 保存条件 | Shipped at 4℃. Store at -20℃ for one year. Avoid repeated freeze/thaw cycles. |
| 注意事项 | This product as supplied is intended for research use only, not for use in human, therapeutic or diagnostic applications. |
| 背景资料 | C20orf134 is a 245 amino acid secreted protein that belongs to the Actin family and is encoded by a gene which maps to human chromosome 20. Comprising approximately 2% of the human genome, chromosome 20 contains nearly 63 million bases that encode over 600 genes, some of which are associated with Creutzfeldt-Jakob disease, amyotrophic lateral sclerosis, spinal muscular atrophy, ring chromosome 20 epilepsy syndrome and Alagille syndrome. Additionally, chromosome 20 contains a region with numerous genes which are thought important for seminal production and may be potential targets for male contraception. |
| 应用 | 推荐稀释比例 |
| {IHC-P} | {1:100-500} |
| {IHC-F} | {1:100-500} |
| {IF} | {1:100-500} |

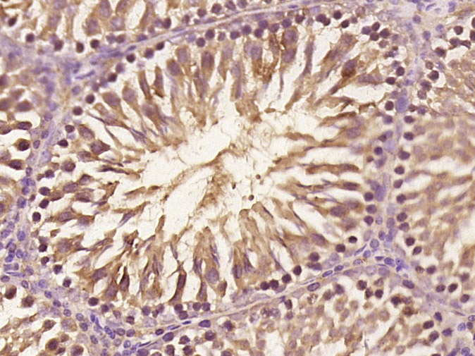
Paraformaldehyde-fixed, paraffin embedded (rat testis tissue); Antigen retrieval by boiling in sodium citrate buffer (pH6.0) for 15min; Block endogenous peroxidase by 3% hydrogen peroxide for 20 minutes; Blocking buffer (normal goat serum) at 37°C for 30min; Antibody incubation with (C20orf134) Polyclonal Antibody, Unconjugated (bs-15093R) at 1:400 overnight at 4°C, followed by operating according to SP Kit(Rabbit) (sp-0023) instructionsand DAB staining.
风险提示:丁香通仅作为第三方平台,为商家信息发布提供平台空间。用户咨询产品时请注意保护个人信息及财产安全,合理判断,谨慎选购商品,商家和用户对交易行为负责。对于医疗器械类产品,请先查证核实企业经营资质和医疗器械产品注册证情况。
技术资料暂无技术资料 索取技术资料
C20orf134 Rabbit pAb(bs-15093R)-50ul/100ul/200ul
¥1180 - 2800








