相关产品推荐更多 >

HSPA12A Rabbit pAb, BF555 conjugated(bs-18076R-BF555)-100ul
¥2980
KIF1B Rabbit pAb(bs-11033R)-50ul/100ul/200ul
¥1180
phospho-STAT3 (Tyr705) Mouse mAb(bsm-33301M)-50ul/100ul/200ul/200ug
¥1180
SUZ12 Recombinant Rabbit mAb(bsm-52749R)-50ul/100ul
¥1400
CHST10 Rabbit pAb, AP conjugated(bs-13929R-AP)-100ul
¥2980
万千商家帮你免费找货
0 人在求购买到急需产品
- 详细信息
- 文献和实验
- 技术资料
- 应用范围:
产品信息以Bioss网站为准
- 规格:
50ul/100ul/200ul
| 规格: | 50ul | 产品价格: | ¥1180.0 |
|---|---|---|---|
| 规格: | 100ul | 产品价格: | ¥1980.0 |
| 规格: | 200ul | 产品价格: | ¥2800.0 |
| 产品编号 | bs-11381R |
| 英文名称 | A2LD1 Rabbit pAb |
| 中文名称 | A2LD1蛋白抗体 |
| 英文别名 | A2ld1; GGACT_HUMAN; AIG2-like domain-containing protein 1; gamma-glutamylaminecyclotransferase; GGACT. |
| 产品应用 | WB=1:500-2000, IHC-P=1:100-500, IHC-F=1:100-500, IF=1:100-500 Not yet tested in other applications. |
| 交叉反应 | Human, Mouse, Rat (Dog, Horse, Rabbit) |
| 抗体来源 | Rabbit |
| 免疫原 | KLH conjugated synthetic peptide derived from human A2LD1 |
| 亚型 | IgG |
| 性状 | Liquid |
| 纯化方法 | affinity purified by Protein A |
| 克隆类型 | Polyclonal |
| 理论分子量 | 17 kDa |
| 浓度 | 1mg/ml |
| 储存液 | 0.01M TBS (pH7.4) with 1% BSA, 0.02% Proclin300 and 50% Glycerol. |
| 亚基 | Monomer. |
| 相似性 | Belongs to the gamma-glutamylcyclotransferase family. |
| 功能 | Contributes to degradation of proteins cross-linked by transglutaminases. Degrades the cross-link between a lysine and a glutamic acid residue from two proteins that have been cross-linked by transglutaminases. Catalyzes the formation of 5-oxoproline from L-gamma-glutamyl-L-epsilon-lysine. Inactive with L-gamma-glutamyl-alpha-amino acid substrates such as L-gamma-glutamyl-L-alpha-cysteine and L-gamma-glutamyl-L-alpha-alanine. |
| 保存条件 | Shipped at 4℃. Store at -20℃ for one year. Avoid repeated freeze/thaw cycles. |
| 注意事项 | This product as supplied is intended for research use only, not for use in human, therapeutic or diagnostic applications. |
| 背景资料 | A2LD1 is a 153 amino acid protein belonging to the gamma-glutamylcyclotransferase family. A2LD1 contains two exons, with only the second exon coding, and spans 2.2 kb. Consisting of a monomer subunit, A2LD1 participates in acyltransferase and gamma-glutamylcyclotransferase activities. A2LD1 assists with the breakdown of proteins cross-linked by transglutaminases. A2LD1 also catalyzes the formation of 5-oxoproline from L-gamma-glutamyl-L-epsilon-lysine, but is inactive with L-gamma-glutamyl-alpha-amino acid substrates, such as L-gamma-glutamyl-L-alpha-cysteine and L-gamma-glutamyl-L-alpha-alanine. A2LD1 is encoded by a gene that maps to human chromosome 13q32.3. |
| 应用 | 推荐稀释比例 |
| {WB} | {1:500-2000} |
| {IHC-P} | {1:100-500} |
| {IHC-F} | {1:100-500} |
| {IF} | {1:100-500} |

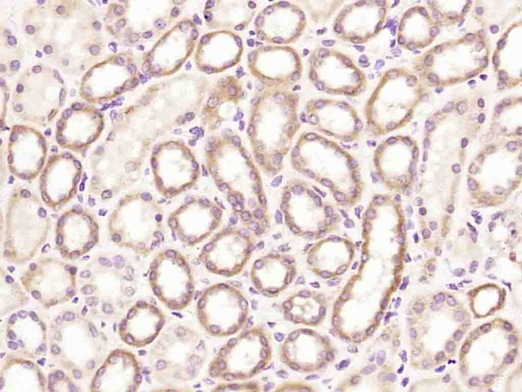
Antigen retrieval: citrate buffer ( 0.01M, pH 6.0 ), Boiling bathing for 15min; Block endogenous peroxidase by 3% Hydrogen peroxide for 30min; Blocking buffer (normal goat serum,C-0005) at 37℃ for 20 min;
Incubation: Anti-A2LD1 Polyclonal Antibody, Unconjugated(bs-11381R) 1:200, overnight at 4°C, followed by conjugation to the secondary antibody(SP-0023) and DAB(C-0010) staining


Liver (Mouse) Lysate at 40 ug
Primary: Anti- A2LD1 (bs-11381R) at 1/1000 dilution
Secondary: IRDye800CW Goat Anti-Rabbit IgG at 1/20000 dilution
Predicted band size: 17 kD
Observed band size: 17 kD
风险提示:丁香通仅作为第三方平台,为商家信息发布提供平台空间。用户咨询产品时请注意保护个人信息及财产安全,合理判断,谨慎选购商品,商家和用户对交易行为负责。对于医疗器械类产品,请先查证核实企业经营资质和医疗器械产品注册证情况。
文献和实验= NAL), appears to form upon oxidative cyclization of the nonfluorescent 2:1 lysine-HNE Michael adduct-Schiff base cross-link (Scheme 1). Polyclonal antibody (PAb) to the NAL-HNE fluorophore was raised in rabbit and found to be highly specific
GE Healthcare Benzamidine Sepharose™ 6B is p-aminobenzamidine covalently attached to Sepharose 6B by the epoxy coupling method. p-Aminobenzamidine (PAB), is a synthetic inhibitor of trypsin-like serine protease. Trypsin and trypsin
Nucleic Acid Programmable Protein Arrays: Versatile Tools for Array‐Based Functional Protein Studies
.g., Sigma) 50 mg/ml bis‐sulfosuccinimdylsuberate (BS3 ;Pierce, cat. no. PI 21580) in dimethylsulfoxide (DMSO) 5 mg/ml
技术资料暂无技术资料 索取技术资料






