相关产品推荐更多 >

GPR49/LGR5 Rabbit pAb, FITC conjugated(bs-20747R-FITC)-100ul
¥2980
Parvalbumin Recombinant Mouse mAb(bsm-60264M)-50ul/100ul/25ul
¥800
FOS B Rabbit pAb(bs-1170R)-50ul/100ul/200ul
¥1180
phospho-CREM (Ser271 + Ser274) Rabbit pAb, FITC conjugated(bs-4066R-FITC)-100ul
¥2980
ACOT13 Rabbit pAb(bs-42157R)-50ul/100ul/200ul
¥1180
万千商家帮你免费找货
0 人在求购买到急需产品
- 详细信息
- 文献和实验
- 技术资料
- 应用范围:
产品信息以Bioss网站为准
- 规格:
50ul/100ul/200ul
| 规格: | 50ul | 产品价格: | ¥1180.0 |
|---|---|---|---|
| 规格: | 100ul | 产品价格: | ¥1980.0 |
| 规格: | 200ul | 产品价格: | ¥2800.0 |
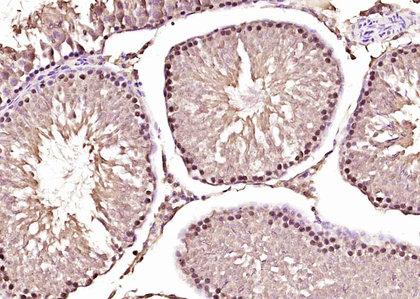
| 产品编号 | bs-9081R |
| 英文名称 | AKIRIN1 Rabbit pAb |
| 中文名称 | AKIRIN1蛋白抗体 |
| 英文别名 | AKIRIN 1; C1orf108; FLJ12666; OTTHUMP00000008669; RP11-781D11.2; STRF2; AKIR1_HUMAN. |
| 产品应用 | IHC-P=1:100-500, IHC-F=1:100-500, IF=1:100-500 Not yet tested in other applications. |
| 交叉反应 | Rat (Human, Mouse, Dog, Horse, Sheep) |
| 抗体来源 | Rabbit |
| 免疫原 | KLH conjugated synthetic peptide derived from human AKIRIN1 |
| 亚型 | IgG |
| 性状 | Liquid |
| 纯化方法 | affinity purified by Protein A |
| 克隆类型 | Polyclonal |
| 理论分子量 | 22 kDa |
| 浓度 | 1mg/ml |
| 储存液 | 0.01M TBS (pH7.4) with 1% BSA, 0.02% Proclin300 and 50% Glycerol. |
| 研究领域 | Epigenetics and Nuclear Signaling > Nuclear Signaling Pathways > NFkB pathway |
| 亚细胞定位 | Nuclear |
| 组织特异性 | Widely expressed with the highest expression in heart, liver, placenta and peripheral blood leukocytes. |
| 相似性 | Belongs to the akirin family. |
| 保存条件 | Shipped at 4℃. Store at -20℃ for one year. Avoid repeated freeze/thaw cycles. |
| 注意事项 | This product as supplied is intended for research use only, not for use in human, therapeutic or diagnostic applications. |
| 背景资料 | AKIRIN1 is dispensable in the mouse, and neither knockout mice nor cells derived from them have obvious distinctive phenotypes. In contrast, Akirin2 is required for development in the mouse and knockout of both Akirin homologs in mice show that Akirin2 is required downstream of toll-like receptor (TLR), TNF-alpha and IL-1beta signaling, and for the production of IL-6. Akirin2 is functionally closer to the single gene in Drosophila, as the homozygous null D. melanogaster Akirin mutants show a similar, mid-to-early embryonic death.The highly conserved, nuclear-localized AKIRIN1 and Akirin2 proteins critically regulate the transcription of NF-kB dependent genes and are required for defense against Gram-negative bacteria in the immune deficiency and NF-kB pathways. |
| 应用 | 推荐稀释比例 |
| {IHC-P} | {1:100-500} |
| {IHC-F} | {1:100-500} |
| {IF} | {1:100-500} |


风险提示:丁香通仅作为第三方平台,为商家信息发布提供平台空间。用户咨询产品时请注意保护个人信息及财产安全,合理判断,谨慎选购商品,商家和用户对交易行为负责。对于医疗器械类产品,请先查证核实企业经营资质和医疗器械产品注册证情况。
文献和实验= NAL), appears to form upon oxidative cyclization of the nonfluorescent 2:1 lysine-HNE Michael adduct-Schiff base cross-link (Scheme 1). Polyclonal antibody (PAb) to the NAL-HNE fluorophore was raised in rabbit and found to be highly specific
GE Healthcare Benzamidine Sepharose™ 6B is p-aminobenzamidine covalently attached to Sepharose 6B by the epoxy coupling method. p-Aminobenzamidine (PAB), is a synthetic inhibitor of trypsin-like serine protease. Trypsin and trypsin
Nucleic Acid Programmable Protein Arrays: Versatile Tools for Array‐Based Functional Protein Studies
.g., Sigma) 50 mg/ml bis‐sulfosuccinimdylsuberate (BS3 ;Pierce, cat. no. PI 21580) in dimethylsulfoxide (DMSO) 5 mg/ml
技术资料暂无技术资料 索取技术资料






