相关产品推荐更多 >
万千商家帮你免费找货
0 人在求购买到急需产品
- 详细信息
- 技术资料
- 应用范围:
产品信息以Bioss网站为准
- 规格:
50ul/100ul/200ul
| 规格: | 50ul | 产品价格: | ¥1180.0 |
|---|---|---|---|
| 规格: | 100ul | 产品价格: | ¥1980.0 |
| 规格: | 200ul | 产品价格: | ¥2800.0 |
| 产品编号 | bs-22560R |
| 英文名称 | ZNT8 Rabbit pAb |
| 中文名称 | 锌转运体8抗体 |
| 英文别名 | SLC30A8; solute carrier family 30(zinc transporter), member 8; Solute carrier family 30 member 8; Zinc transporter 8; zinc transporter ZnT-8; ZnT-8; ZNT 8; ZNT8_HUMAN. |
| 产品应用 | IHC-P=1:100-500, IHC-F=1:100-500, IF=1:100-500 Not yet tested in other applications. |
| 交叉反应 | Rat (Human, Mouse) |
| 抗体来源 | Rabbit |
| 免疫原 | KLH conjugated synthetic peptide derived from human ZNT8 |
| 亚型 | IgG |
| 性状 | Liquid |
| 纯化方法 | affinity purified by Protein A |
| 克隆类型 | Polyclonal |
| 理论分子量 | 41 kDa |
| 浓度 | 1mg/ml |
| 储存液 | 0.01M TBS (pH7.4) with 1% BSA, 0.02% Proclin300 and 50% Glycerol. |
| 研究领域 | Metabolism > Pathways and Processes > Cofactors, Vitamins / minerals > Vitamins / minerals Signal Transduction > Metabolism > Vitamins / Minerals |
| 亚基 | Homodimer (By similarity). |
| 亚细胞定位 | Cell membrane; Multi-pass membrane protein (Probable). Cytoplasmic vesicle, secretory vesicle membrane; Multi-pass membrane protein (Probable). Note=Associated with insulin and glucagon secretory granules (By similarity). |
| 组织特异性 | In the endocrine pancreas, expressed in insulin-producing beta cells. Expressed at relatively high levels in subcutaneous fat tissue from lean persons; much lower levels in visceral fat, whether from lean or obese individuals, and in subcutaneous fat tissue from obese individuals. Expressed in peripheral blood mononuclear cells, including T-cells and B-cells, with great variation among individuals ranging from negative to strongly positive. |
| 相似性 | Belongs to the cation diffusion facilitator (CDF) transporter (TC 2.A.4) family. SLC30A subfamily. |
| 功能 | Facilitates the accumulation of zinc from the cytoplasm into intracellular vesicles, being a zinc-efflux transporter. May be a major component for providing zinc to insulin maturation and/or storage processes in insulin-secreting pancreatic beta-cells |
| 保存条件 | Shipped at 4℃. Store at -20℃ for one year. Avoid repeated freeze/thaw cycles. |
| 注意事项 | This product as supplied is intended for research use only, not for use in human, therapeutic or diagnostic applications. |
| 背景资料 | ZNT8 is a zinc efflux transporter involved in the accumulation of zinc in intracellular vesicles. This gene is expressed at a high level only in the pancreas, particularly in islets of Langerhans. The encoded protein colocalizes with insulin in the secretory pathway granules of the insulin-secreting INS-1 cells. Allelic variants of this gene exist that confer susceptibility to diabetes mellitus, noninsulin-dependent (NIDDM). Several transcript variants encoding different isoforms have been found for this gene.[provided by RefSeq, Mar 2010]. |
| 应用 | 推荐稀释比例 |
| {IHC-P} | {1:100-500} |
| {IHC-F} | {1:100-500} |
| {IF} | {1:100-500} |

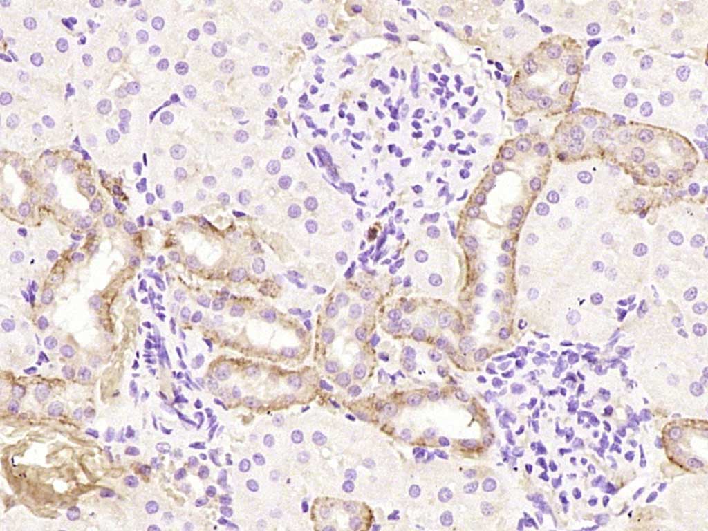
Paraformaldehyde-fixed, paraffin embedded (rat kidney); Antigen retrieval by boiling in sodium citrate buffer (pH6.0) for 15min; Block endogenous peroxidase by 3% hydrogen peroxide for 20 minutes; Blocking buffer (normal goat serum) at 37°C for 30min; Antibody incubation with (ZNT8) Polyclonal Antibody, Unconjugated (bs-22560R) at 1:200 overnight at 4°C, followed by operating according to SP Kit(Rabbit) (sp-0023) instructionsand DAB staining.
风险提示:丁香通仅作为第三方平台,为商家信息发布提供平台空间。用户咨询产品时请注意保护个人信息及财产安全,合理判断,谨慎选购商品,商家和用户对交易行为负责。对于医疗器械类产品,请先查证核实企业经营资质和医疗器械产品注册证情况。
技术资料暂无技术资料 索取技术资料
ZNT8 Rabbit pAb(bs-22560R)-50ul/100ul/200ul
¥1180 - 2800







