相关产品推荐更多 >
万千商家帮你免费找货
0 人在求购买到急需产品
- 详细信息
- 技术资料
- 应用范围:
产品信息以Bioss网站为准
- 规格:
50ul/100ul/200ul
| 规格: | 50ul | 产品价格: | ¥1180.0 |
|---|---|---|---|
| 规格: | 100ul | 产品价格: | ¥1980.0 |
| 规格: | 200ul | 产品价格: | ¥2800.0 |
| 产品编号 | bs-7841R |
| 英文名称 | NUDC Rabbit pAb |
| 中文名称 | 细胞核分离基因C蛋白抗体 |
| 英文别名 | HNUDC; MNUDC; MNUDC protein; NPD011; Nuclear distribution gene C(A.nidulans) homolog; Nuclear distribution gene C homolog; Nuclear distribution gene C homolog(A. nidulans); Nuclear distribution protein C homolog; Nuclear migration protein nudC; nudC; NUDC_HUMAN; OTTHUMP00000004405; SIG 92; SIG92. |
| 产品应用 | IHC-P=1:100-500, IHC-F=1:100-500, IF=1:100-500 Not yet tested in other applications. |
| 交叉反应 | Human, Rat (Mouse, Dog, Pig, Cow, Horse, Rabbit) |
| 抗体来源 | Rabbit |
| 免疫原 | KLH conjugated synthetic peptide derived from human NUDC |
| 亚型 | IgG |
| 性状 | Liquid |
| 纯化方法 | affinity purified by Protein A |
| 克隆类型 | Polyclonal |
| 理论分子量 | 36 kDa |
| 浓度 | 1mg/ml |
| 储存液 | 0.01M TBS (pH7.4) with 1% BSA, 0.02% Proclin300 and 50% Glycerol. |
| 研究领域 | Cell Biology > Cell Cycle > Cell Division > Spindle Neuroscience > Neurology process > Neurogenesis |
| 亚基 | Binds PLK1. Binds PAFAH1B1 (By similarity). Part of a complex containing PLK1, NUDC, dynein and dynactin. |
| 亚细胞定位 | Cytoplasm, cytoskeleton. Nucleus. Note=In a filamentous pattern adjacent to the nucleus of migrating cerebellar granule cells. Colocalizes with tubulin and dynein and with the microtubule organizing center. Distributed throughout the cytoplasm of non-migrating cells. A small proportion is nuclear, in a punctate pattern. |
| 组织特异性 | Ubiquitous. Highly expressed in fetal liver, kidney, lung and brain. Highly expressed in adult pancreas, kidney, skeletal muscle, liver, lung, placenta, prostate, brain and heart. |
| 翻译后修饰 | Reversibly phosphorylated on serine residues during the M phase of the cell cycle. Phosphorylation on Ser-274 and Ser-326 is necessary for correct formation of mitotic spindles and chromosome separation during mitosis. Phosphorylated by PLK and other kinases. |
| 相似性 | Belongs to the nudC family.
Contains 1 CS domain. |
| 功能 | Plays a role in neurogenesis and neuronal migration (By similarity). Necessary for correct formation of mitotic spindles and chromosome separation during mitosis. Necessary for cytokinesis and cell proliferation. |
| 保存条件 | Shipped at 4℃. Store at -20℃ for one year. Avoid repeated freeze/thaw cycles. |
| 注意事项 | This product as supplied is intended for research use only, not for use in human, therapeutic or diagnostic applications. |
| 背景资料 | This gene encodes a nuclear distribution protein that plays an essential role in mitosis and cytokinesis. The encoded protein is involved in spindle formation during mitosis and in microtubule organization during cytokinesis. Pseudogenes of this gene are found on chromosome 2. [provided by RefSeq, Feb 2012]. |
| 应用 | 推荐稀释比例 |
| {IHC-P} | {1:100-500} |
| {IHC-F} | {1:100-500} |
| {IF} | {1:100-500} |

Paraformaldehyde-fixed, paraffin embedded (rat brain); Antigen retrieval by boiling in sodium citrate buffer (pH6.0) for 15min; Block endogenous peroxidase by 3% hydrogen peroxide for 20 minutes; Blocking buffer (normal goat serum) at 37°C for 30min; Antibody incubation with (NUDC) Polyclonal Antibody, Unconjugated (bs-7841R) at 1:200 overnight at 4°C, followed by operating according to SP Kit(Rabbit) (sp-0023) instructionsand DAB staining.

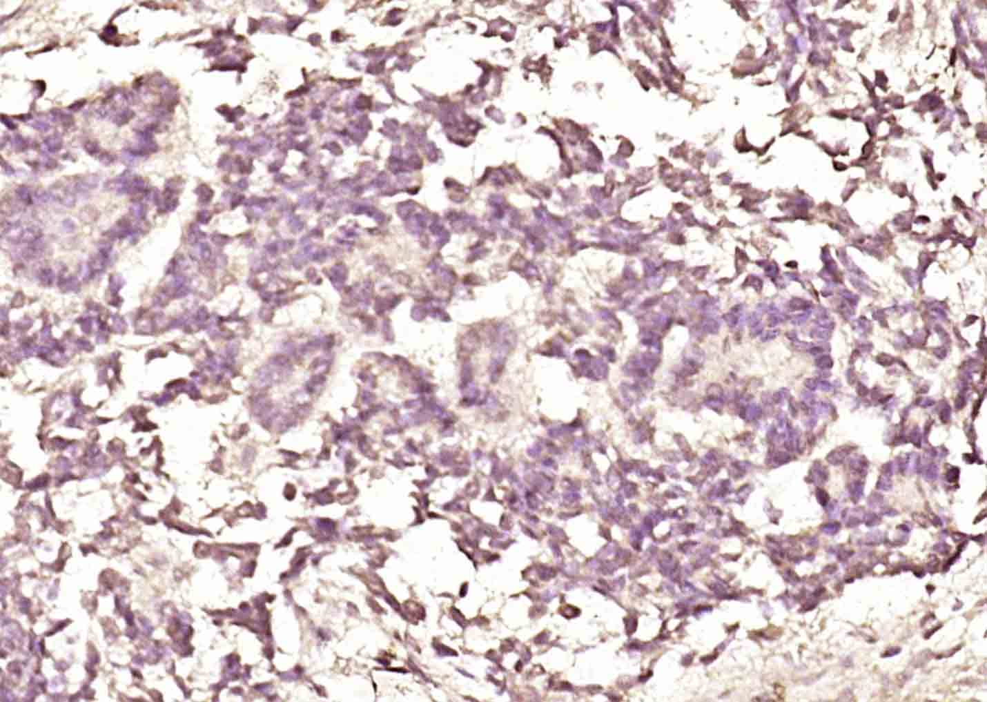
Paraformaldehyde-fixed, paraffin embedded (human renal carcinoma); Antigen retrieval by boiling in sodium citrate buffer (pH6.0) for 15min; Block endogenous peroxidase by 3% hydrogen peroxide for 20 minutes; Blocking buffer (normal goat serum) at 37°C for 30min; Antibody incubation with (NUDC) Polyclonal Antibody, Unconjugated (bs-7841R) at 1:200 overnight at 4°C, followed by operating according to SP Kit(Rabbit) (sp-0023) instructionsand DAB staining.
风险提示:丁香通仅作为第三方平台,为商家信息发布提供平台空间。用户咨询产品时请注意保护个人信息及财产安全,合理判断,谨慎选购商品,商家和用户对交易行为负责。对于医疗器械类产品,请先查证核实企业经营资质和医疗器械产品注册证情况。
技术资料暂无技术资料 索取技术资料
NUDC Rabbit pAb(bs-7841R)-50ul/100ul/200ul
¥1180 - 2800







