相关产品推荐更多 >

ITM2A Rabbit pAb, Cy5.5 conjugated(bs-9705R-Cy5.5)-100ul
¥2980
OCT2 Rabbit pAb(bs-5017R)-50ul/100ul/200ul
¥1180
Myosin light chain (phospho S20) Rabbit pAb, PE-Cy5.5 conjugated(bs-7052R-PE-Cy5.5)-100ul
¥2980
NAF1 Rabbit pAb(bs-19000R)-50ul/100ul/200ul
¥1180
Anti-human Hepcidin / HAMP (LY2787106 Biosimilar)(BIO0614SM)-1mg/5mg/20mg
¥3200
万千商家帮你免费找货
0 人在求购买到急需产品
- 详细信息
- 文献和实验
- 技术资料
- 应用范围:
产品信息以Bioss网站为准
- 规格:
50ul/100ul/200ul
| 规格: | 50ul | 产品价格: | ¥1180.0 |
|---|---|---|---|
| 规格: | 100ul | 产品价格: | ¥1980.0 |
| 规格: | 200ul | 产品价格: | ¥2800.0 |
| 产品编号 | bs-5959R |
| 英文名称 | CASC5 Rabbit pAb |
| 中文名称 | 肿瘤易感性候选基因5抗体 |
| 英文别名 | Protein D40/AF15q14; AF15Q14; ALL1 fused gene from chromosome 15q14; Blinkin bub linking kinetochore protein; Cancer susceptibility candidate 5; Cancer susceptibility candidate gene 5 protein; Cancer/testis antigen 29; CT29; D40; hKNL 1; hSpc105; KIAA1570; Kinetochore null 1 homolog; Kinetochore null protein 1; KNL1; CASC5_HUMAN. |
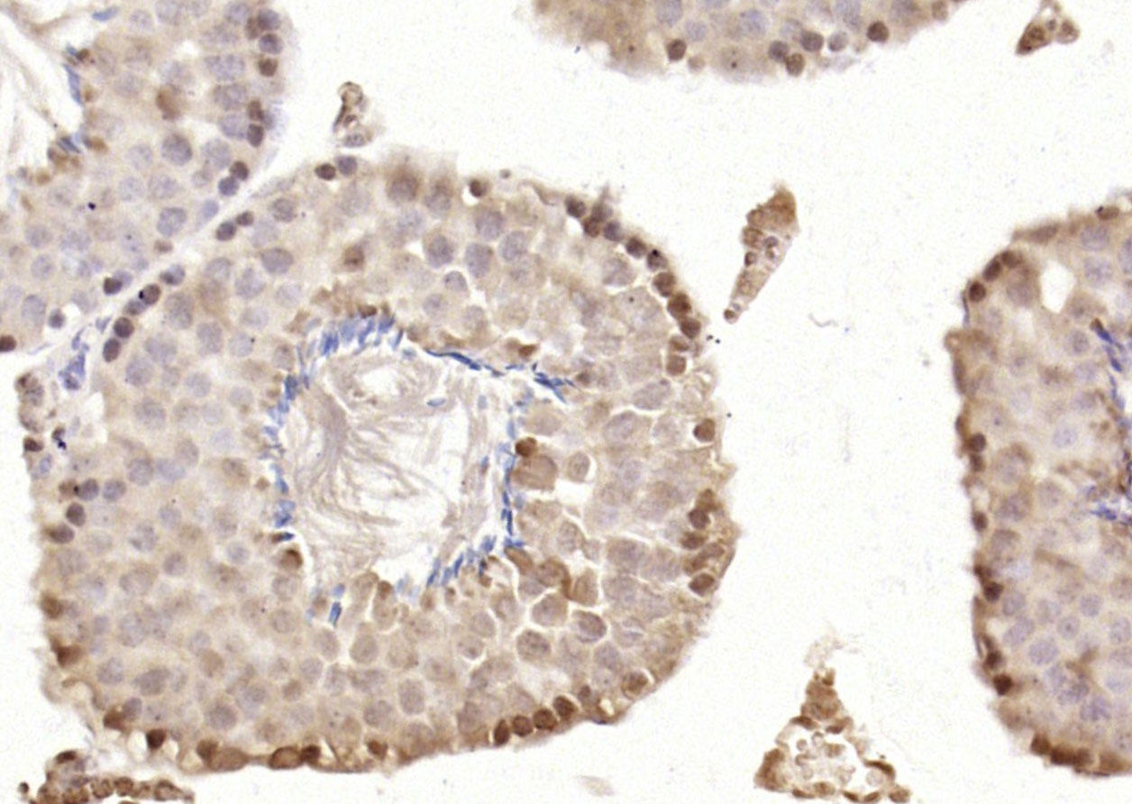
| 产品应用 | WB=1:500-2000, IHC-P=1:100-500, IHC-F=1:100-500, IF=1:100-500 Not yet tested in other applications. |
| 交叉反应 | Human, Mouse (Rat, Dog, Cow, Horse, Rabbit) |
| 抗体来源 | Rabbit |
| 免疫原 | KLH conjugated synthetic peptide derived from human CASC5 |
| 亚型 | IgG |
| 性状 | Liquid |
| 纯化方法 | affinity purified by Protein A |
| 克隆类型 | Polyclonal |
| 理论分子量 | 265 kDa |
| 浓度 | 1mg/ml |
| 储存液 | 0.01M TBS (pH7.4) with 1% BSA, 0.02% Proclin300 and 50% Glycerol. |
| 研究领域 | Cancer > Oncoproteins/suppressors > Oncoproteins Cell Biology > Cell Cycle > Cell Division > Centromere Stem Cells > Germline Stem Cells > Spermatogonial Stem Cells |
| 亚基 | Interacts with DSN1, MIS12, BUB1, BUB1B, NSL1 and ZWINT. |
| 亚细胞定位 | Nucleus. Chromosome, centromere, kinetochore. |
| 组织特异性 | Highly expressed in testis, where it is localized in germ cells, in particular in spermatocytes and in the pre-acrosome of round spermatids. Detected in the acrosome of ejaculated spermatozoa. Detected in adult thymus, bone marrow, colon, small intestine, appendix and placenta, and in fetal liver and thymus. |
| 功能 | Performs two crucial functions during mitosis: it is essential for spindle-assembly checkpoint signaling and for correct chromosome alignment. Required for attachment of the kinetochores to the spindle microtubules. Directly links BUB1 and BUB1B to kinetochores. Part of the MIS12 complex, which may be fundamental for kinetochore formation and proper chromosome segregation during mitosis. Acts in coordination with CENPK to recruit the NDC80 complex to the outer kinetochore. |
| 保存条件 | Shipped at 4℃. Store at -20℃ for one year. Avoid repeated freeze/thaw cycles. |
| 注意事项 | This product as supplied is intended for research use only, not for use in human, therapeutic or diagnostic applications. |
| 背景资料 | Part of the MIS12 complex, which may be fundamental for kinetochore formation and proper chromosome segregation during mitosis. Four known isoforms exist. |
| 应用 | 推荐稀释比例 |
| {WB} | {1:500-2000} |
| {IHC-P} | {1:100-500} |
| {IHC-F} | {1:100-500} |
| {IF} | {1:100-500} |

K562(Human) Cell Lysate at 30 ug
Primary: Anti- CASC5 (bs-5959R) at 1/1000 dilution
Secondary: IRDye800CW Goat Anti-Rabbit IgG at 1/20000 dilution
Predicted band size: 265 kD
Observed band size: 265 kD

风险提示:丁香通仅作为第三方平台,为商家信息发布提供平台空间。用户咨询产品时请注意保护个人信息及财产安全,合理判断,谨慎选购商品,商家和用户对交易行为负责。对于医疗器械类产品,请先查证核实企业经营资质和医疗器械产品注册证情况。
文献和实验[IF={{ 0 }}] {Lu, Zhimin, and Alfred WK Yung. "BIOMARKERS FOR CANCER CHARACTERIZATION AND TREATMENT." U.S. Patent No. 20,150,073,033. 12 Mar. 2015.} {IP} {=""}
= NAL), appears to form upon oxidative cyclization of the nonfluorescent 2:1 lysine-HNE Michael adduct-Schiff base cross-link (Scheme 1). Polyclonal antibody (PAb) to the NAL-HNE fluorophore was raised in rabbit and found to be highly specific
GE Healthcare Benzamidine Sepharose™ 6B is p-aminobenzamidine covalently attached to Sepharose 6B by the epoxy coupling method. p-Aminobenzamidine (PAB), is a synthetic inhibitor of trypsin-like serine protease. Trypsin and trypsin
Nucleic Acid Programmable Protein Arrays: Versatile Tools for Array‐Based Functional Protein Studies
.g., Sigma) 50 mg/ml bis‐sulfosuccinimdylsuberate (BS3 ;Pierce, cat. no. PI 21580) in dimethylsulfoxide (DMSO) 5 mg/ml
技术资料暂无技术资料 索取技术资料






