相关产品推荐更多 >

Angiopoietin-1 Recombinant Rabbit mAb(bsm-61282R)-50ul/100ul/25ul
¥800
IL13 Rabbit pAb, HRP conjugated(bs-0560R-HRP)-100ul
¥2980
PRY/PTPN13LY Rabbit pAb(bs-19449R)-50ul/100ul/200ul
¥1180
MAPK6 Rabbit pAb, AP conjugated(bs-12405R-AP)-100ul
¥2980
CTDSPL Rabbit pAb, PerCP-Cy7 conjugated(bs-8241R-PerCP-Cy7)-100ul
¥2980
万千商家帮你免费找货
0 人在求购买到急需产品
- 详细信息
- 询价记录
- 文献和实验
- 技术资料
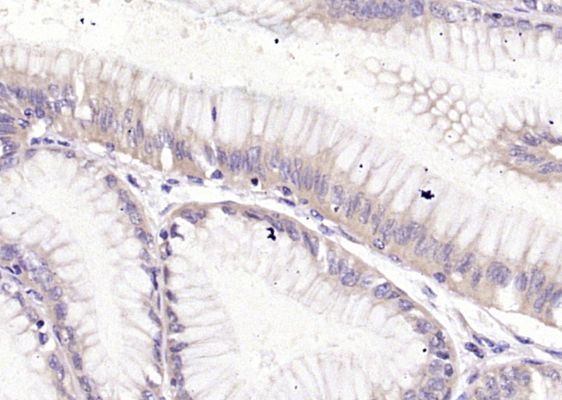
- 应用范围:
产品信息以Bioss网站为准
- 规格:
50ul/100ul/200ul
| 规格: | 50ul | 产品价格: | ¥1180.0 |
|---|---|---|---|
| 规格: | 100ul | 产品价格: | ¥1980.0 |
| 规格: | 200ul | 产品价格: | ¥2800.0 |
| 产品编号 | bs-6664R |
| 英文名称 | HRH2 Rabbit pAb |
| 中文名称 | 组胺受体H2抗体 |
| 英文别名 | Gastric receptor 1; Gastric receptor Iv H2R; HGNC:5183; HH2R; Histamine H2 receptor; Histamine receptor H2; HRH2; HRH2_HUMAN. |
| 产品应用 | WB=1:500-2000, IHC-P=1:100-500, IHC-F=1:100-500, IF=1:100-500 Not yet tested in other applications. |
| 交叉反应 | Human, Mouse (Rat, Dog, Rabbit) |
| 抗体来源 | Rabbit |
| 免疫原 | KLH conjugated synthetic peptide derived from human HRH2 |
| 亚型 | IgG |
| 性状 | Liquid |
| 纯化方法 | affinity purified by Protein A |
| 克隆类型 | Polyclonal |
| 理论分子量 | 40 kDa |
| 浓度 | 1mg/ml |
| 储存液 | 0.01M TBS (pH7.4) with 1% BSA, 0.02% Proclin300 and 50% Glycerol. |
| 亚细胞定位 | Cell membrane; Multi-pass membrane protein. |
| 相似性 | Belongs to the G-protein coupled receptor 1 family. |
| 功能 | The H2 subclass of histamine receptors mediates gastric acid secretion. Also appears to regulate gastrointestinal motility and intestinal secretion. Possible role in regulating cell growth and differentiation. The activity of this receptor is mediated by G proteins which activate adenylyl cyclase and, through a separate G protein-dependent mechanism, the phosphoinositide/protein kinase (PKC) signaling pathway (By similarity). |
| 保存条件 | Shipped at 4℃. Store at -20℃ for one year. Avoid repeated freeze/thaw cycles. |
| 注意事项 | This product as supplied is intended for research use only, not for use in human, therapeutic or diagnostic applications. |
| 背景资料 | The HRH2 subclass of histamine receptors mediates gastric acid secretion. Also appears to regulate gastrointestinal motility and intestinal secretion. Possible role in regulating cell growth and differentiation. The activity of this receptor is mediated by G proteins which activate adenylyl cyclase and, through a separate G protein-dependent mechanism, the phosphoinositide/protein kinase (PKC) signaling pathway. |
| 应用 | 推荐稀释比例 |
| {WB} | {1:500-2000} |
| {IHC-P} | {1:100-500} |
| {IHC-F} | {1:100-500} |
| {IF} | {1:100-500} |


Small intestine (Mouse) Lysate at 40 ug
Primary: Anti- HRH2 (bs-6664R) at 1/1000 dilution
Secondary: IRDye800CW Goat Anti-Rabbit IgG at 1/20000 dilution
Predicted band size: 40 kD
Observed band size: 40 kD
风险提示:丁香通仅作为第三方平台,为商家信息发布提供平台空间。用户咨询产品时请注意保护个人信息及财产安全,合理判断,谨慎选购商品,商家和用户对交易行为负责。对于医疗器械类产品,请先查证核实企业经营资质和医疗器械产品注册证情况。
- 作者
- 内容
- 询问日期
文献和实验= NAL), appears to form upon oxidative cyclization of the nonfluorescent 2:1 lysine-HNE Michael adduct-Schiff base cross-link (Scheme 1). Polyclonal antibody (PAb) to the NAL-HNE fluorophore was raised in rabbit and found to be highly specific
GE Healthcare Benzamidine Sepharose™ 6B is p-aminobenzamidine covalently attached to Sepharose 6B by the epoxy coupling method. p-Aminobenzamidine (PAB), is a synthetic inhibitor of trypsin-like serine protease. Trypsin and trypsin
Nucleic Acid Programmable Protein Arrays: Versatile Tools for Array‐Based Functional Protein Studies
.g., Sigma) 50 mg/ml bis‐sulfosuccinimdylsuberate (BS3 ;Pierce, cat. no. PI 21580) in dimethylsulfoxide (DMSO) 5 mg/ml
技术资料暂无技术资料 索取技术资料






