相关产品推荐更多 >

Integrin Alpha 3 + Beta 1 Rabbit pAb, Cy3 conjugated(bs-1057R-Cy3)-100ul
¥2980
BMAL1 Rabbit pAb, HRP conjugated(bs-22927R-HRP)-100ul
¥2980
LRCH1 Rabbit pAb(bs-20546R)-50ul/100ul/200ul
¥1180
ZC3HAV1L/C7orf39 Rabbit pAb, HRP conjugated(bs-18531R-HRP)-100ul
¥2980
HSP90 beta Recombinant Rabbit mAb(bsm-61128R)-50ul/100ul/25ul
¥800
万千商家帮你免费找货
0 人在求购买到急需产品
- 详细信息
- 文献和实验
- 技术资料
- 应用范围:
产品信息以Bioss网站为准
- 规格:
50ul/100ul/200ul
| 规格: | 50ul | 产品价格: | ¥1180.0 |
|---|---|---|---|
| 规格: | 100ul | 产品价格: | ¥1980.0 |
| 规格: | 200ul | 产品价格: | ¥2800.0 |
| 产品编号 | bs-7741R |
| 英文名称 | CDC10 Rabbit pAb |
| 中文名称 | 细胞周期调控因子10抗体 |
| 英文别名 | Cdc3p; Cell division control protein 3; SEPT7A; CDC10; CDC10 protein homolog; CDC3; Cell division cycle 10; Septin7; Septin-7; Septin 7; SEPT7_HUMAN. |
| 产品应用 | IHC-P=1:100-500, IHC-F=1:100-500, IF=1:100-500 Not yet tested in other applications. |
| 交叉反应 | Rat (Human, Mouse, Cow, Zebrafish) |
| 抗体来源 | Rabbit |
| 免疫原 | KLH conjugated synthetic peptide derived from human Septin 7 |
| 亚型 | IgG |
| 性状 | Liquid |
| 纯化方法 | affinity purified by Protein A |
| 克隆类型 | Polyclonal |
| 理论分子量 | 50 kDa |
| 浓度 | 1mg/ml |
| 储存液 | 0.01M TBS (pH7.4) with 1% BSA, 0.02% Proclin300 and 50% Glycerol. |
| 研究领域 | Cell Biology > Cell Cycle > Cell Division > Cytokinesis |
| 亚基 | Septins polymerize into heterooligomeric protein complexes that form filaments, and associate with cellular membranes, actin filaments and microtubules. GTPase activity is required for filament formation. Filaments are assembled from asymmetrical heterotrimers, composed of SEPT2, SEPT6 and SEPT7 that associate head-to-head to form a hexameric unit. Within the trimer, directly interacts with SEPT6, while interaction with SEPT2 seems indirect. In the absence of SEPT6, forms homodimers. Interacts directly with CENPE and links CENPE to septin filaments composed of SEPT2, SEPT6 and SEPT7. Interacts with SEPT5 and SEPT8. Interacts with SEPT9 and SEPT11. |
| 亚细胞定位 | Cytoplasm. Chromosome, centromere, kinetochore. Cytoplasm, cytoskeleton, spindle. Cleavage furrow. Midbody. Cytoplasm, cytoskeleton, cilium axoneme. Note=Distributed throughout the cytoplasm in prometaphase cells. Associated with the spindle during metaphase. Associated with the central spindle and at the cleavage furrow in anaphase cells. Detected at the midbody in telophase. Associated with actin stress fibers. |
| 组织特异性 | Widely expressed. |
| 相似性 | Belongs to the septin family. |
| 功能 | Filament-forming cytoskeletal GTPase. Required for normal organization of the actin cytoskeleton. Required for normal progress through mitosis. Involved in cytokinesis. Required for normal association of CENPE with the kinetochore. Plays a role in ciliogenesis and collective cell movements. |
| 保存条件 | Shipped at 4℃. Store at -20℃ for one year. Avoid repeated freeze/thaw cycles. |
| 注意事项 | This product as supplied is intended for research use only, not for use in human, therapeutic or diagnostic applications. |
| 背景资料 | This gene encodes a protein that is highly similar to the CDC10 protein of Saccharomyces cerevisiae. The protein also shares similarity with Diff 6 of Drosophila and with H5 of mouse. Each of these similar proteins, including the yeast CDC10, contains a GTP-binding motif. The yeast CDC10 protein is a structural component of the 10 nm filament which lies inside the cytoplasmic membrane and is essential for cytokinesis. This human protein functions in gliomagenesis and in the suppression of glioma cell growth, and it is required for the association of centromere-associated protein E with the kinetochore. Alternative splicing results in multiple transcript variants. Several related pseudogenes have been identified on chromosomes 5, 7, 9, 10, 11, 14, 17 and 19. [provided by RefSeq, Jul 2011]. |
| 应用 | 推荐稀释比例 |
| {IHC-P} | {1:100-500} |
| {IHC-F} | {1:100-500} |
| {IF} | {1:100-500} |

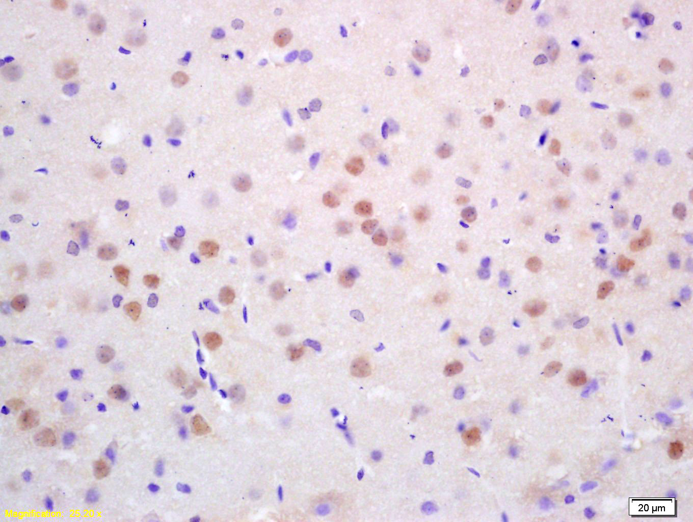
Antigen retrieval: citrate buffer ( 0.01M, pH 6.0 ), Boiling bathing for 15min; Block endogenous peroxidase by 3% Hydrogen peroxide for 30min; Blocking buffer (normal goat serum,C-0005) at 37℃ for 20 min;
Incubation: Anti-CDC10/Septin 7 Polyclonal Antibody, Unconjugated(bs-7741R) 1:200, overnight at 4°C, followed by conjugation to the secondary antibody(SP-0023) and DAB(C-0010) staining
风险提示:丁香通仅作为第三方平台,为商家信息发布提供平台空间。用户咨询产品时请注意保护个人信息及财产安全,合理判断,谨慎选购商品,商家和用户对交易行为负责。对于医疗器械类产品,请先查证核实企业经营资质和医疗器械产品注册证情况。
文献和实验[IF={{ 1.977 }}] {Jie Li. et al. MicroRNA-127-3p regulates myoblast proliferation by targeting Sept7. Biotechnol Lett. 2020 Sep;42(9):1633-1644} {WB} {Mouse}
【公告】丁香通试用中心:10月免费试用装精选(10月18日有更新)
200ul低吸附盒装吸头 进口TS3000转染试剂 纳米微粒 非脂质体 其他推荐: 单组分TMB显色液 Peroxidase Conjugated Goat Anti-Rabbit IgG (Min Hu, Ms) 二抗 96通道个人型半自动移液系统 小动物气体麻醉机,大小鼠气体吸入式麻醉机 四通道实时荧光定量PCR检测系统 Tanon-5200化学发光成像系统(包邮) 优质微晶纤维素MCC(进口) 罗恩1-10ml电动移液器 EpiScript逆转录酶 western
Testing Rabbit Bleeds By Elisa
at 1/10 (50 ul/well). Remove primary antibody and rinse wells 4Xs with TBST. Incubate in secondary antibody (1/5000 Goat anti-rabbit conjugated to AP) diluted in Blocking Buffer for 1 hr at RT (50 ul/well). Remove secondary antibody
家兔(Rabbit,Oryctolagus curiculus)
家兔(Rabbit,Oryctolagus curiculus) 一、生物学特性和解剖生理特点 1.家兔属于哺乳纲、啮齿目、兔科、草食性哺乳动性。 2.家兔体小力弱、胆小怕惊、怕热、怕潮,喜欢安静、清洁、干燥、凉爽的环境,不能忍受污秽的条件。 3.是食草类(Herbivorous)单胃动物。饲养原则是以青粗食米为主,精饲料为辅。喜欢独居,白天活动少,都处于假眠或休息状态,夜间活动大,吃食多。有啃木、扒土的习惯
技术资料暂无技术资料 索取技术资料






