相关产品推荐更多 >
万千商家帮你免费找货
0 人在求购买到急需产品
- 详细信息
- 文献和实验
- 技术资料
- 应用范围:
产品信息以Bioss网站为准
- 规格:
50ul/100ul/200ul
| 规格: | 50ul | 产品价格: | ¥1180.0 |
|---|---|---|---|
| 规格: | 100ul | 产品价格: | ¥1980.0 |
| 规格: | 200ul | 产品价格: | ¥2800.0 |
| 产品编号 | bs-13535R |
| 英文名称 | GPR40 Rabbit pAb |
| 中文名称 | G蛋白偶联受体40抗体 |
| 英文别名 | GPCR GPR40; FFA1R; FFAR 1; FFAR1; FFAR1_HUMAN; Free fatty acid receptor 1; G protein coupled receptor 40; G-protein coupled receptor 40; GPR 40; GPCR 40. |
| 产品应用 | IHC-P=1:100-500, IHC-F=1:100-500, IF=1:100-500 Not yet tested in other applications. |
| 交叉反应 | Human (Mouse, Rat, Dog, Pig) |
| 抗体来源 | Rabbit |
| 免疫原 | KLH conjugated synthetic peptide derived from human GPR40 |
| 亚型 | IgG |
| 性状 | Liquid |
| 纯化方法 | affinity purified by Protein A |
| 克隆类型 | Polyclonal |
| 理论分子量 | 32 kDa |
| 浓度 | 1mg/ml |
| 储存液 | 0.01M TBS (pH7.4) with 1% BSA, 0.02% Proclin300 and 50% Glycerol. |
| 研究领域 | Signal Transduction > Signaling Pathway > G Protein Signaling > GPCR |
| 亚细胞定位 | Cell membrane. |
| 组织特异性 | Expressed abundantly in pancreatic beta cells. |
| 相似性 | Belongs to the G-protein coupled receptor 1 family. |
| 功能 | Receptor for medium and long chain saturated and unsaturated fatty acids. Binding of the ligand increase intracellular calcium concentration and amplify glucose-stimulated insulin secretion. The activity of this receptor is mediated by G-proteins that activate phospholipase C. Seems to act through a G(q) and G(i)-mediated pathway. |
| 保存条件 | Shipped at 4℃. Store at -20℃ for one year. Avoid repeated freeze/thaw cycles. |
| 注意事项 | This product as supplied is intended for research use only, not for use in human, therapeutic or diagnostic applications. |
| 背景资料 | G protein coupled receptors provide attractive targets for drug therapy due to the sheer size and diversity of ligands within this receptor family. G protein-coupled receptor 40 (GPR40) functions as a cell-surface receptor for long-chain free fatty acids (FFAs). FFAs provide an important energy source, but also function as signaling molecules in various pathways, notably the process of insulin secretion. In pancreatic tissue, the interaction of long chain FFAs with GPR40 amplifies glucose-stimulated insulin secretion from beta cells, suggesting a possible role for GPR40 in the treatment of diabetes associated with insulin-deficiency. Specifically, the Arg211His polymorphism in the GPR40 gene may contribute to the variation of insulin secretory capacity in Japanese men. Also, GPR40 may be involved in the control of breast cancer cell growth by fatty acids and, therefore, provide a link between fat and cancer. |
| 应用 | 推荐稀释比例 |
| {IHC-P} | {1:100-500} |
| {IHC-F} | {1:100-500} |
| {IF} | {1:100-500} |

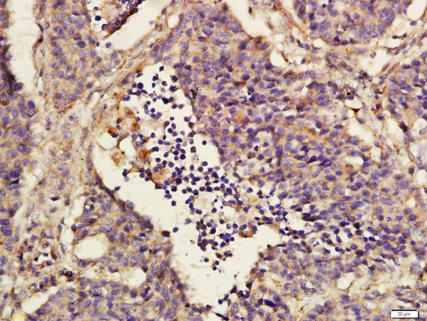
Antigen retrieval: citrate buffer ( 0.01M, pH 6.0 ), Boiling bathing for 15min; Block endogenous peroxidase by 3% Hydrogen peroxide for 30min; Blocking buffer (normal goat serum,C-0005) at 37℃ for 20 min;
Incubation: Anti-GPR40 Polyclonal Antibody, Unconjugated(bs-13535R) 1:200, overnight at 4°C, followed by conjugation to the secondary antibody(SP-0023) and DAB(C-0010) staining
风险提示:丁香通仅作为第三方平台,为商家信息发布提供平台空间。用户咨询产品时请注意保护个人信息及财产安全,合理判断,谨慎选购商品,商家和用户对交易行为负责。对于医疗器械类产品,请先查证核实企业经营资质和医疗器械产品注册证情况。
文献和实验[IF={{ 4.8 }}] {Xiaoyu Zhu. et al. Chaihu Guizhi Decoction Prevents Cognitive, Memory Impairments and Sensorimotor Gating Deficit Induced by N-methyl-d-aspartate Receptor Antibody in Mice. J ETHNOPHARMACOL. 2024 Sep;:118806} {WB} {Mouse}
= NAL), appears to form upon oxidative cyclization of the nonfluorescent 2:1 lysine-HNE Michael adduct-Schiff base cross-link (Scheme 1). Polyclonal antibody (PAb) to the NAL-HNE fluorophore was raised in rabbit and found to be highly specific
于100mL亚硒酸盐肮氨酸(SC)增菌液内,于36±1℃培养18~24h。5.2 分离取增菌液1环,划线接种于一个亚硫酸铋琼脂平板和一个DHL琼脂平板。两种增菌液可同时划线接种在同一个平板上。于36±1℃分别培养18~24h(DHL)或40~48h(BS),观察各个平板上生长的菌落,沙门氏菌Ⅰ、Ⅱ、Ⅳ、Ⅴ、Ⅵ和沙门氏菌Ⅲ在各个平板上的菌落特征见表1。表1 沙门氏菌属各群在各种选择性琼脂平板上的菌落特征5.3 生化试验 5.3.1 自选择性琼脂平板上直接挑取数个可疑菌落,分别接种三糖铁琼脂。在三糖
sapiens chromosome 5 clone ... 40 2.1 gi|19310326|gb|AC105250.3| Homo sapiens BAC clone RP11-39C1... 40 2.1 gi|37537322|dbj|BS000055.1| Pan troglodytes chromosome 22 c... 40 2.1 gi|37537321|dbj|BS000054.1| Pan troglodytes chromosome 22 c... 40 2.1 gi
技术资料暂无技术资料 索取技术资料








