相关产品推荐更多 >

EXOC6 Rabbit pAb(bs-14662R)-50ul/100ul/200ul
¥1180
phospho-CD130/gp130 (Ser782) Rabbit pAb(bs-10122R)-50ul/100ul/200ul
¥1180
SPR Rabbit pAb, BF680 conjugated(bs-11784R-BF680)-100ul
¥2980
CD97 Rabbit pAb, PE conjugated(bs-2522R-PE)-100ul
¥2980
S100-A8 / MRP8 Rabbit pAb, APC conjugated(bs-2696R-APC)-100ul
¥2980
万千商家帮你免费找货
0 人在求购买到急需产品
- 详细信息
- 文献和实验
- 技术资料
- 应用范围:
产品信息以Bioss网站为准
- 规格:
50ul/100ul/200ul
| 规格: | 50ul | 产品价格: | ¥1180.0 |
|---|---|---|---|
| 规格: | 100ul | 产品价格: | ¥1980.0 |
| 规格: | 200ul | 产品价格: | ¥2800.0 |
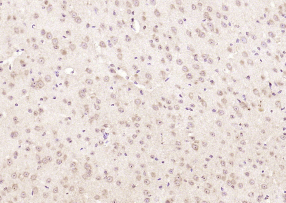
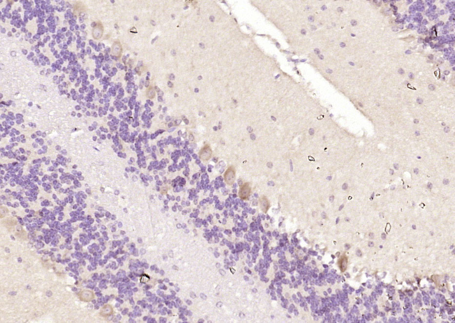
| 产品编号 | bs-7594R |
| 英文名称 | Ankyrin-1 Rabbit pAb |
| 中文名称 | 红细胞蛋白Ank1抗体 |
| 英文别名 | ANK; ANK-1; Ank1; ANK1_HUMAN; Ankyrin erythroid; Ankyrin 1, erythrocytic; Ankyrin R; Ankyrin-1; Ankyrin-R; Erythrocyte ankyrin; SPH1; SPH2. |
| 产品应用 | IHC-P=1:100-500, IHC-F=1:100-500, IF=1:100-500 Not yet tested in other applications. |
| 交叉反应 | Mouse (Human, Rat, Dog, Pig, Cow, Horse) |
| 抗体来源 | Rabbit |
| 免疫原 | KLH conjugated synthetic peptide derived from human Ankyrin erythroid |
| 亚型 | IgG |
| 性状 | Liquid |
| 纯化方法 | affinity purified by Protein A |
| 克隆类型 | Polyclonal |
| 理论分子量 | 206 kDa |
| 浓度 | 1mg/ml |
| 储存液 | 0.01M TBS (pH7.4) with 1% BSA, 0.02% Proclin300 and 50% Glycerol. |
| 研究领域 | Cardiovascular > Blood Cardiovascular > Blood > Blood Cell Antigens > RBC Antigens Cardiovascular > Vasculature > Smooth muscle cell (SMC) > Cytoskeleton Signal Transduction > Cytoskeleton / ECM > Cell Adhesion > Cell Adhesion Molecules > Vascular |
| 亚基 | Interacts with a number of integral membrane proteins and cytoskeletal proteins. Interacts (via N-terminus) with SPTB/spectrin (beta chain). Interacts (via N-terminus ANK repeats) with SLC4A1/erythrocyte membrane protein band 3 (via cytoplasmic N-terminus). Also interacts with TTN/titin. Isoform Mu17 interacts with OBSCN isoform 3/obscurin. |
| 亚细胞定位 | Isoform Er1: Cytoplasm, cytoskeleton. Isoform Mu17: Membrane. Cytoplasm, myofibril, sarcomere, M line. Isoform Mu18: Sarcoplasmic reticulum. Isoform Mu19: Sarcoplasmic reticulum. Isoform Mu20: Sarcoplasmic reticulum. |
| 组织特异性 | Isoform Mu17, isoform Mu18, isoform Mu19 and isoform Mu20 are expressed in skeletal muscle. Isoform Br21 is expressed in brain. |
| 翻译后修饰 | Regulated by phosphorylation. Palmitoylated. |
| 相似性 | Contains 23 ANK repeats. Contains 1 death domain. Contains 1 ZU5 domain. |
| 功能 | Attaches integral membrane proteins to cytoskeletal elements; binds to the erythrocyte membrane protein band 4.2, to Na-K ATPase, to the lymphocyte membrane protein GP85, and to the cytoskeletal proteins fodrin, tubulin, vimentin and desmin. Erythrocyte ankyrins also link spectrin (beta chain) to the cytoplasmic domain of the erythrocytes anion exchange protein; they retain most or all of these binding functions. Isoform Mu17 together with obscurin in skeletal muscle may provide a molecular link between the sarcoplasmic reticulum and myofibrils. |
| 保存条件 | Shipped at 4℃. Store at -20℃ for one year. Avoid repeated freeze/thaw cycles. |
| 注意事项 | This product as supplied is intended for research use only, not for use in human, therapeutic or diagnostic applications. |
| 背景资料 | Ankyrins are a family of proteins that link the integral membrane proteins to the underlying spectrin-actin cytoskeleton and play key roles in activities such as cell motility, activation, proliferation, contact and the maintenance of specialized membrane domains. Multiple isoforms of ankyrin with different affinities for various target proteins are expressed in a tissue-specific, developmentally regulated manner. Most ankyrins are typically composed of three structural domains: an amino-terminal domain containing multiple ankyrin repeats; a central region with a highly conserved spectrin binding domain; and a carboxy-terminal regulatory domain which is the least conserved and subject to variation. Ankyrin 1, the prototype of this family, was first discovered in the erythrocytes, but since has also been found in brain and muscles. Mutations in erythrocytic ankyrin 1 have been associated in approximately half of all patients with hereditary spherocytosis. Complex patterns of alternative splicing in the regulatory domain, giving rise to different isoforms of ankyrin 1 have been described. Truncated muscle-specific isoforms of ankyrin1 resulting from usage of an alternate promoter have also been identified. [provided by RefSeq, Dec 2008]. |
| 应用 | 推荐稀释比例 |
| {IHC-P} | {1:100-500} |
| {IHC-F} | {1:100-500} |
| {IF} | {1:100-500} |


风险提示:丁香通仅作为第三方平台,为商家信息发布提供平台空间。用户咨询产品时请注意保护个人信息及财产安全,合理判断,谨慎选购商品,商家和用户对交易行为负责。对于医疗器械类产品,请先查证核实企业经营资质和医疗器械产品注册证情况。
文献和实验= NAL), appears to form upon oxidative cyclization of the nonfluorescent 2:1 lysine-HNE Michael adduct-Schiff base cross-link (Scheme 1). Polyclonal antibody (PAb) to the NAL-HNE fluorophore was raised in rabbit and found to be highly specific
GE Healthcare Benzamidine Sepharose™ 6B is p-aminobenzamidine covalently attached to Sepharose 6B by the epoxy coupling method. p-Aminobenzamidine (PAB), is a synthetic inhibitor of trypsin-like serine protease. Trypsin and trypsin
Nucleic Acid Programmable Protein Arrays: Versatile Tools for Array‐Based Functional Protein Studies
.g., Sigma) 50 mg/ml bis‐sulfosuccinimdylsuberate (BS3 ;Pierce, cat. no. PI 21580) in dimethylsulfoxide (DMSO) 5 mg/ml
技术资料暂无技术资料 索取技术资料






