相关产品推荐更多 >

protein C light chain Rabbit pAb(bs-10486R)-50ul/100ul/200ul
¥1180
XBP1 Rabbit pAb(bs-23973R)-50ul/100ul/200ul
¥1180
phospho-MEF2A (Ser408) Rabbit pAb, HRP conjugated(bs-3268R-HRP)-100ul
¥2980
Beta catenin Rabbit pAb, PE-Cy7 conjugated(bs-1165R-PE-Cy7)-100ul
¥2980
KIF15 Rabbit pAb(bs-10693R)-50ul/100ul/200ul
¥1180
万千商家帮你免费找货
0 人在求购买到急需产品
- 详细信息
- 文献和实验
- 技术资料
- 应用范围:
产品信息以Bioss网站为准
- 规格:
50ul/100ul/200ul
| 规格: | 50ul | 产品价格: | ¥1180.0 |
|---|---|---|---|
| 规格: | 100ul | 产品价格: | ¥1980.0 |
| 规格: | 200ul | 产品价格: | ¥2800.0 |
| 产品编号 | bs-4222R |
| 英文名称 | PSME3 Rabbit pAb |
| 中文名称 | 蛋白酶体激活因子PA28γ抗体 |
| 英文别名 | PA28G; 11S regulator complex gamma subunit; 11S regulator complex subunit gamma; Activator of multicatalytic protease subunit 3; Ki antibody Ki antigen; Ki nuclear autoantigen; Ki, PA28 gamma; PA28 gamma; PA28gamma; Proteasome(prosome, macropain) activator subunit 3(PA28 gamma; Ki); Proteasome(prosome, macropain) activator subunit 3; Proteasome activator 28 gamma; Proteasome activator 28 subunit gamma; Proteasome activator complex subunit 3; Proteasome activator subunit 3; PSME3; PSME3_HUMAN; |
| 产品应用 | IHC-P=1:200-500, IHC-F=1:200-500, IF=1:200-500 Not yet tested in other applications. |
| 交叉反应 | Human, Mouse, Rat (Chicken, Dog, Pig, Cow, Horse, Rabbit) |
| 抗体来源 | Rabbit |
| 免疫原 | KLH conjugated synthetic peptide derived from human PSME3 |
| 亚型 | IgG |
| 性状 | Liquid |
| 纯化方法 | affinity purified by Protein A |
| 克隆类型 | Polyclonal |
| 理论分子量 | 28 kDa |
| 浓度 | 1mg/ml |
| 储存液 | 0.01M TBS (pH7.4) with 1% BSA, 0.02% Proclin300 and 50% Glycerol. |
| 研究领域 | Cancer > Cell cycle > Cell cycle inhibitors > p53 pathway Cancer > Oncoproteins/suppressors > Tumor suppressors > p53 pathway Cell Biology > Proteolysis / Ubiquitin > Proteasome / Ubiquitin > Proteasome Immunology > Immune System Diseases > Autoimmune |
| 亚基 | Homoheptamer; the stability of the heptamer is essential for the specific activation of the trypsine-like subunit and inhibition of the chymotrypsin-like and postglutamyl-preferring (PGPH) subunits of the proteasome. Interacts with p53/TP53 and MDM2. Interacts with MAP3K3 (By similarity). Associates with the proteasome. Interacts with CCAR2. Interacts with FAM192A (via C-terminus); the interaction is direct and promotes the association of PSME3 with the 20S proteasome (PubMed:29934401). Interacts with COIL; the interaction is inhibited by FAM192A (PubMed:29934401). |
| 亚细胞定位 | Nucleus |
| 功能 | Subunit of the 11S REG-gamma (also called PA28-gamma) proteasome regulator, a doughnut-shaped homoheptamer which associates with the proteasome. 11S REG-gamma activates the trypsin-like catalytic subunit of the proteasome but inhibits the chymotrypsin-like and postglutamyl-preferring (PGPH) subunits. Facilitates the MDM2-p53/TP53 interaction which promotes ubiquitination- and MDM2-dependent proteasomal degradation of p53/TP53, limiting its accumulation and resulting in inhibited apoptosis after DNA damage. May also be involved in cell cycle regulation. Mediates CCAR2 and CHEK2-dependent SIRT1 inhibition (PubMed:25361978). |
| 保存条件 | Shipped at 4℃. Store at -20℃ for one year. Avoid repeated freeze/thaw cycles. |
| 注意事项 | This product as supplied is intended for research use only, not for use in human, therapeutic or diagnostic applications. |
| 背景资料 | Subunit of the 11S REG-gamma (also called PA28-gamma) proteasome regulator, a donut-shaped homoheptamer which associates with the proteasome. 11S REG-gamma activates the trypsin-like catalytic subunit of the proteasome but inhibits the chymotrypsin-like and postglutamyl-preferring (PGPH) subunits. Facilitates the MDM2-TP53/p53 interaction which promotes ubiquitination- and MDM2-dependent proteasomal degradation of TP53/p53, limiting its accumulation and resulting in inhibited apoptosis after DNA damage. May also be involved in cell cycle regulation. |
| 应用 | 推荐稀释比例 |
| {IHC-P} | {1:200-500} |
| {IHC-F} | {1:200-500} |
| {IF} | {1:200-500} |

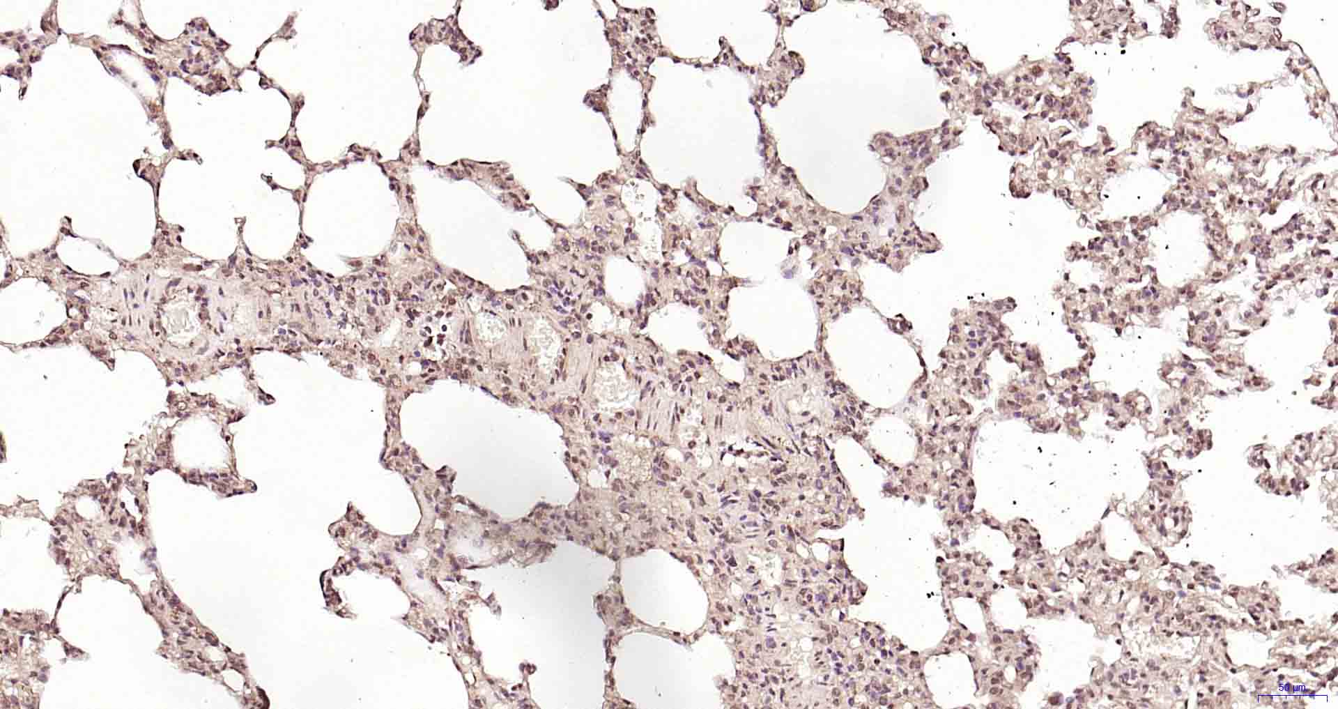
Paraformaldehyde-fixed, paraffin embedded Rat Lung; Antigen retrieval by boiling in sodium citrate buffer (pH6.0) for 15 min; Antibody incubation with PSME3 Polyclonal Antibody, Unconjugated (bs-4222R) at 1:200 overnight at 4°C, followed by conjugation to the SP Kit (Rabbit, SP-0023) and DAB (C-0010) staining.

Paraformaldehyde-fixed, paraffin embedded Mouse Lung; Antigen retrieval by boiling in sodium citrate buffer (pH6.0) for 15 min; Antibody incubation with PSME3 Polyclonal Antibody, Unconjugated (bs-4222R) at 1:200 overnight at 4°C, followed by conjugation to the SP Kit (Rabbit, SP-0023) and DAB (C-0010) staining.

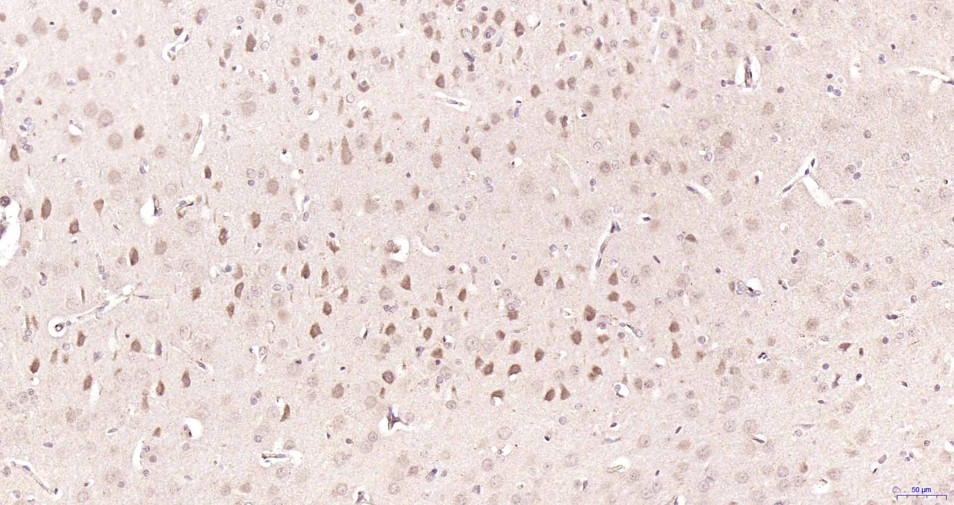
Paraformaldehyde-fixed, paraffin embedded Rat Cerebrum; Antigen retrieval by boiling in sodium citrate buffer (pH6.0) for 15 min; Antibody incubation with PSME3 Polyclonal Antibody, Unconjugated (bs-4222R) at 1:200 overnight at 4°C, followed by conjugation to the SP Kit (Rabbit, SP-0023) and DAB (C-0010) staining.

Paraformaldehyde-fixed, paraffin embedded Mouse Cerebrum; Antigen retrieval by boiling in sodium citrate buffer (pH6.0) for 15 min; Antibody incubation with PSME3 Polyclonal Antibody, Unconjugated (bs-4222R) at 1:200 overnight at 4°C, followed by conjugation to the SP Kit (Rabbit, SP-0023) and DAB (C-0010) staining.

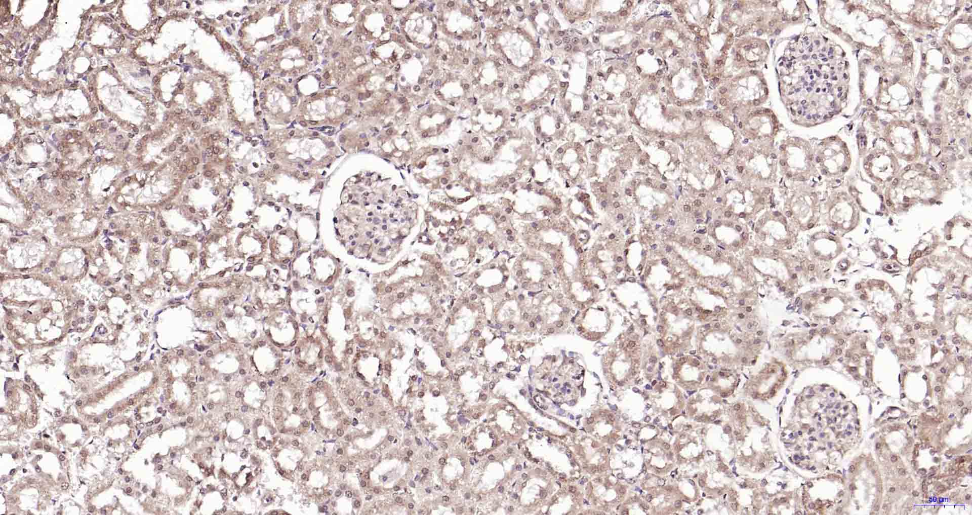
Paraformaldehyde-fixed, paraffin embedded Rat Kidney; Antigen retrieval by boiling in sodium citrate buffer (pH6.0) for 15 min; Antibody incubation with PSME3 Polyclonal Antibody, Unconjugated (bs-4222R) at 1:200 overnight at 4°C, followed by conjugation to the SP Kit (Rabbit, SP-0023) and DAB (C-0010) staining.

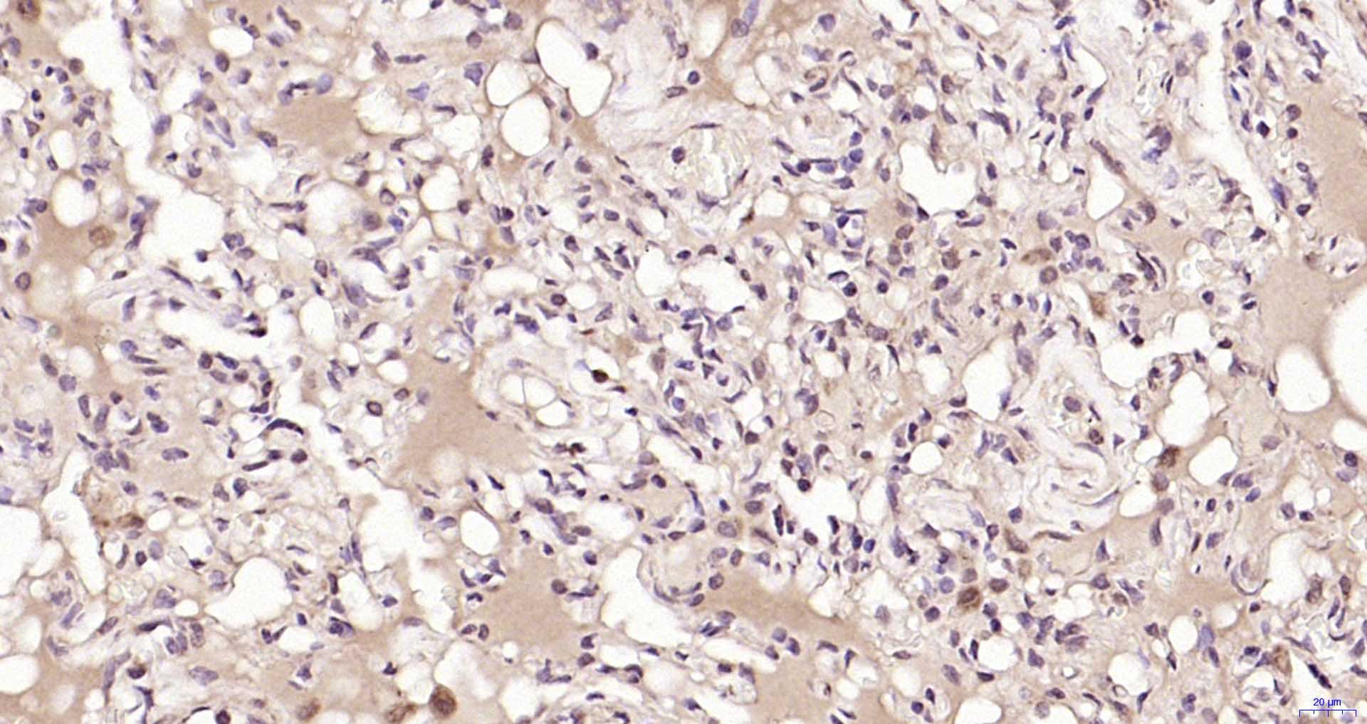
Paraformaldehyde-fixed, paraffin embedded Human Lung Cancer; Antigen retrieval by boiling in sodium citrate buffer (pH6.0) for 15 min; Antibody incubation with PSME3 Polyclonal Antibody, Unconjugated (bs-4222R) at 1:200 overnight at 4°C, followed by conjugation to the SP Kit (Rabbit, SP-0023) and DAB (C-0010) staining.

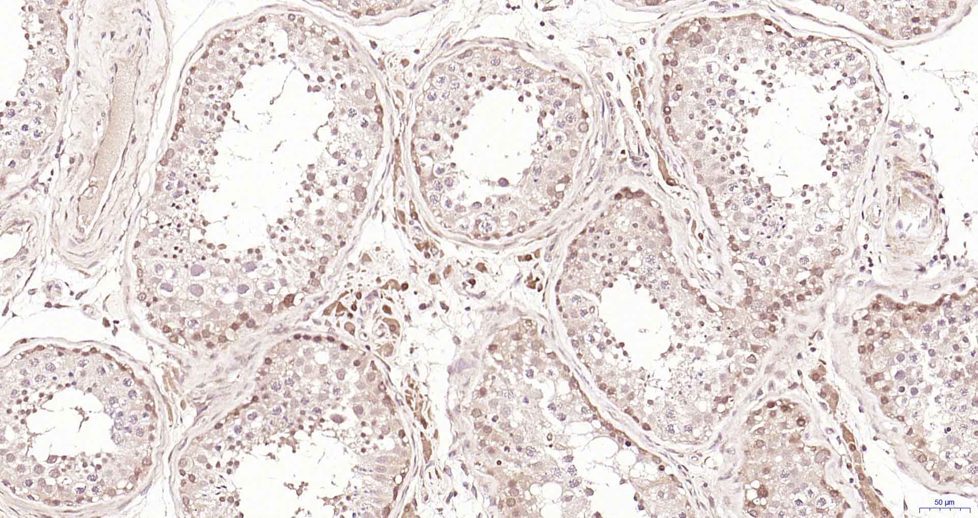
Paraformaldehyde-fixed, paraffin embedded Human Testicles; Antigen retrieval by boiling in sodium citrate buffer (pH6.0) for 15 min; Antibody incubation with PSME3 Polyclonal Antibody, Unconjugated (bs-4222R) at 1:200 overnight at 4°C, followed by conjugation to the SP Kit (Rabbit, SP-0023) and DAB (C-0010) staining.
风险提示:丁香通仅作为第三方平台,为商家信息发布提供平台空间。用户咨询产品时请注意保护个人信息及财产安全,合理判断,谨慎选购商品,商家和用户对交易行为负责。对于医疗器械类产品,请先查证核实企业经营资质和医疗器械产品注册证情况。
文献和实验该产品被引用文献
[IF={{ 3.471 }}] {Kaihui Xie. et al. miR-30d Inhibition Protects IPEC-J2 Cells Against Clostridium perfringens Beta2 Toxin-Induced Inflammatory Injury. FRONT VET SCI. 2022; 9: 909500} {WB} {Pig}
技术资料暂无技术资料 索取技术资料
文献支持
PSME3 Rabbit pAb(bs-4222R)-50ul/100ul/200ul
¥1180 - 2800





