相关产品推荐更多 >

Beta catenin Rabbit pAb, AP conjugated(bs-1165R-AP)-100ul
¥2980
Anti-human VEGFR2 / KDR / CD309 (Ramucirumab Biosimilar)(BIO0080SM)-1mg/5mg/20mg
¥3200
Optimedin Rabbit pAb, Biotin conjugated(bs-11061R-Bio)-100ul
¥2980
Plakophilin 2 Rabbit pAb(bs-11063R)-50ul/100ul/200ul
¥1180
RASD2 Rabbit pAb, AP conjugated(bs-7006R-AP)-100ul
¥2980
万千商家帮你免费找货
0 人在求购买到急需产品
- 详细信息
- 询价记录
- 文献和实验
- 技术资料
- 应用范围:
产品信息以Bioss网站为准
- 规格:
50ul/100ul/200ul
| 规格: | 50ul | 产品价格: | ¥1180.0 |
|---|---|---|---|
| 规格: | 100ul | 产品价格: | ¥1980.0 |
| 规格: | 200ul | 产品价格: | ¥2800.0 |
| 产品编号 | bs-17566R |
| 英文名称 | OTUD5/DUBA Rabbit pAb |
| 中文名称 | 去泛素酶A抗体 |
| 英文别名 | Deubiquinating enzyme A; Deubiquitinating enzyme A; DKFZp761A052; DUBA; MGC104871; OTTHUMP00000025821; OTU domain containing 5; OTU domain containing protein 5; OTU domain-containing protein 5; OTUD 5; otud5; OTUD5_HUMAN. |
| 产品应用 | IHC-P=1:100-500, IHC-F=1:100-500, IF=1:100-500 Not yet tested in other applications. |
| 交叉反应 | Human (Mouse, Rat, Chicken, Rabbit) |
| 抗体来源 | Rabbit |
| 免疫原 | KLH conjugated synthetic peptide derived from human OTUD5/DUBA |
| 亚型 | IgG |
| 性状 | Liquid |
| 纯化方法 | affinity purified by Protein A |
| 克隆类型 | Polyclonal |
| 理论分子量 | 61 kDa |
| 浓度 | 1mg/ml |
| 储存液 | 0.01M TBS (pH7.4) with 1% BSA, 0.02% Proclin300 and 50% Glycerol. |
| 研究领域 | Cell Biology > Proteolysis / Ubiquitin > Proteasome / Ubiquitin > Deubiquitination Cell Biology > Proteolysis / Ubiquitin > Proteolytic enzymes > Other proteases Epigenetics and Nuclear Signaling > Ubiquitin & Ubiquitin Like Modifiers > Deubiquitination |
| 亚基 | Interacts with TRAF3. |
| 组织特异性 | Expressed in various tissues, including the liver and placenta, as well as in peripheral blood leukocytes. |
| 翻译后修饰 | Phosphorylation at Ser-177 is required for deubiquitinating activity. |
| 相似性 | Belongs to the peptidase C85 family. Contains 1 OTU domain. |
| 功能 | Negative regulator of innate immune system. Has deubiquitinating activity that is directed towards 'Lys-63'-linked polyubiquitin chains. Acts via TRAF3 deubiquitination and subsequent suppression of type I interferon (IFN) production. |
| 保存条件 | Shipped at 4℃. Store at -20℃ for one year. Avoid repeated freeze/thaw cycles. |
| 注意事项 | This product as supplied is intended for research use only, not for use in human, therapeutic or diagnostic applications. |
| 背景资料 | This gene encodes a member of the OTU (ovarian tumor) domain-containing cysteine protease superfamily. The OTU domain confers deubiquitinase activity and the encoded protein has been shown to suppress the type I interferon-dependent innate immune response by cleaving the polyubiquitin chain from an essential type I interferon adaptor protein. Cleavage results in disassociation of the adaptor protein from a downstream signaling complex and disruption of the type I interferon signaling cascade. Alternatively spliced transcript variants encoding different isoforms have been described. [provided by RefSeq, Oct 2008] |
| 应用 | 推荐稀释比例 |
| {IHC-P} | {1:100-500} |
| {IHC-F} | {1:100-500} |
| {IF} | {1:100-500} |

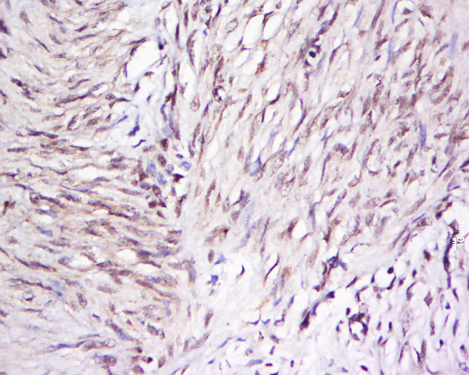
Antigen retrieval: citrate buffer ( 0.01M, pH 6.0 ), Boiling bathing for 15min; Block endogenous peroxidase by 3% Hydrogen peroxide for 30min; Blocking buffer (normal goat serum,C-0005) at 37℃ for 20 min;
Incubation: Anti-OTUD5 Polyclonal Antibody, Unconjugated(bs-17566R) 1:500, overnight at 4°C, followed by conjugation to the secondary antibody(SP-0023) and DAB(C-0010) staining
风险提示:丁香通仅作为第三方平台,为商家信息发布提供平台空间。用户咨询产品时请注意保护个人信息及财产安全,合理判断,谨慎选购商品,商家和用户对交易行为负责。对于医疗器械类产品,请先查证核实企业经营资质和医疗器械产品注册证情况。
- 作者
- 内容
- 询问日期
文献和实验= NAL), appears to form upon oxidative cyclization of the nonfluorescent 2:1 lysine-HNE Michael adduct-Schiff base cross-link (Scheme 1). Polyclonal antibody (PAb) to the NAL-HNE fluorophore was raised in rabbit and found to be highly specific
. Retrieved 2010-11-29. ^ Nielsen BS, Jørgensen S, Fog JU, Søkilde R, Christensen IJ, Hansen U, Brünner N, Baker A, Møller S, Nielsen HJ (October 2010). "High levels of microRNA-21 in the stroma of colorectal cancers predict short disease-free survival
+oieSKeKcgxGinlRPl7uja5iYeDdc+K3eZhXhIOHOy+p9cxrGU9WCTkVcT5iRR/BsR+N0IDPSu3x0pXo0IRAQiAhGBiEBE4ABCwPnwbu0wGmW8ULj7NRb20DLRYqFW1Up6ODBube+wknwaZ5w/y92bXLbV5K3CJ+hhzKwdSHCmVrada2Qy0eyxvi0r7Lkl99ukcaOkRe60Sj82E8qgnmxNtzHGRRyZQtf1g41GIMau5W7ITlqbiDRR0CA3tPhIsEdmP5hZ
技术资料暂无技术资料 索取技术资料






