相关产品推荐更多 >
万千商家帮你免费找货
0 人在求购买到急需产品
- 详细信息
- 文献和实验
- 技术资料
- 供应商:
上海康朗生物科技有限公司
- 库存:
大量
- 目录编号:
kl-17566R
- 克隆性:
多克隆
- 抗原来源:
Rabbit
- 保质期:
12个月
- 抗体英文名:
OTUD5/DUBA antibody
- 抗体名:
去泛素酶A抗体
- 宿主:
Rabbit
- 适应物种:
Human, Mouse, Rat, Chicken, Rabbit,
- 免疫原:
KLH conjugated synthetic peptide derived from human OTUD5/DUBA :501-571/571
- 亚型:
IgG
- 形态:
冻干粉或液体
- 应用范围:
WB=1:500-2000 ELISA=1:500-1000 IHC-P=1:400-800 IHC-F=1:400-800 ICC=1:100-500 IF=1:100-500
- 浓度:
1mg/ml
- 保存条件:
-20 °C
- 规格:
100ul 200ul
| 中文名称 | 去泛素酶A抗体 |
| 别 名 | Deubiquinating enzyme A; Deubiquitinating enzyme A; DKFZp761A052; DUBA; MGC104871; OTTHUMP00000025821; OTU domain containing 5; OTU domain containing protein 5; OTU domain-containing protein 5; OTUD 5; otud5; OTUD5_HUMAN. |
| 规格价格 | 100ul/1380元 购买 200ul/2200元 购买 大包装/询价 |
| 说 明 书 | 100ul 200ul |
| 研究领域 | 细胞生物 转录调节因子 表观遗传学 泛素 |
| 抗体来源 | Rabbit |
| 克隆类型 | Polyclonal |
| 交叉反应 | Human, Mouse, Rat, Chicken, Rabbit, |
| 产品应用 | WB=1:500-2000 ELISA=1:500-1000 IHC-P=1:400-800 IHC-F=1:400-800 ICC=1:100-500 IF=1:100-500 (石蜡切片需做抗原修复) not yet tested in other applications. optimal dilutions/concentrations should be determined by the end user. |
| 分 子 量 | 61kDa |
| 细胞定位 | 细胞核 |
| 性 状 | Lyophilized or Liquid |
| 浓 度 | 1mg/ml |
| 免 疫 原 | KLH conjugated synthetic peptide derived from human OTUD5/DUBA :501-571/571 |
| 亚 型 | IgG |
| 纯化方法 | affinity purified by Protein A |
| 储 存 液 | 0.01M TBS(pH7.4) with 1% BSA, 0.03% Proclin300 and 50% Glycerol. |
| 保存条件 | Store at -20 °C for one year. Avoid repeated freeze/thaw cycles. The lyophilized antibody is stable at room temperature for at least one month and for greater than a year when kept at -20°C. When reconstituted in sterile pH 7.4 0.01M PBS or diluent of antibody the antibody is stable for at least two weeks at 2-4 °C. |
| PubMed | PubMed |
| 产品介绍 | background: This gene encodes a member of the OTU (ovarian tumor) domain-containing cysteine protease superfamily. The OTU domain confers deubiquitinase activity and the encoded protein has been shown to suppress the type I interferon-dependent innate immune response by cleaving the polyubiquitin chain from an essential type I interferon adaptor protein. Cleavage results in disassociation of the adaptor protein from a downstream signaling complex and disruption of the type I interferon signaling cascade. Alternatively spliced transcript variants encoding different isoforms have been described. [provided by RefSeq, Oct 2008] Function: Negative regulator of innate immune system. Has deubiquitinating activity that is directed towards 'Lys-63'-linked polyubiquitin chains. Acts via TRAF3 deubiquitination and subsequent suppression of type I interferon (IFN) production. Subunit: Interacts with TRAF3. Tissue Specificity: Expressed in various tissues, including the liver and placenta, as well as in peripheral blood leukocytes. Post-translational modifications: Phosphorylation at Ser-177 is required for deubiquitinating activity. Similarity: Belongs to the peptidase C85 family. Contains 1 OTU domain. SWISS: Q96G74 Gene ID: 55593 Database links: Entrez Gene: 55593 Human Entrez Gene: 54644 Mouse Entrez Gene: 363452 Rat Omim: 300713 Human SwissProt: Q96G74 Human SwissProt: Q3U2S4 Mouse SwissProt: Q2YDU3 Rat Unigene: 496098 Human Unigene: 142827 Mouse Unigene: 97794 Rat Important Note: This product as supplied is intended for research use only, not for use in human, therapeutic or diagnostic applications. |
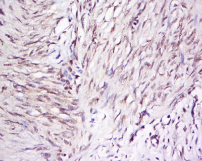
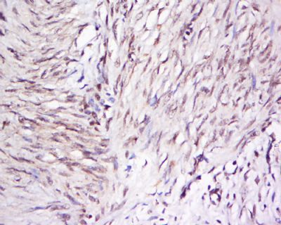
| 产品图片 | ![]() Tissue/cell: human cervical cancer; 4% Paraformaldehyde-fixed and paraffin-embedded; Antigen retrieval: citrate buffer ( 0.01M, pH 6.0 ), Boiling bathing for 15min; Block endogenous peroxidase by 3% Hydrogen peroxide for 30min; Blocking buffer (normal goat serum,C-0005) at 37℃ for 20 min; Incubation: Anti-OTUD5 Polyclonal Antibody, Unconjugated(bs-17566R) 1:500, overnight at 4°C, followed by conjugation to the secondary antibody(SP-0023) and DAB(C-0010) staining |
风险提示:丁香通仅作为第三方平台,为商家信息发布提供平台空间。用户咨询产品时请注意保护个人信息及财产安全,合理判断,谨慎选购商品,商家和用户对交易行为负责。对于医疗器械类产品,请先查证核实企业经营资质和医疗器械产品注册证情况。
文献和实验Generation of Antibody Molecules Through Antibody Engineering
been overcome to a large extent using genetic-engineering techniques to produce chimeric mouse/human and completely human antibodies. Such an approach is particularly suitable because of the domain structure of the antibody molecule ( 2 ), where functional
The importance of antibody molecules was first recognized in the 1890s, when it was shown that immunity to tetanus and diphtheria was caused by antibodies against the bacterial exotoxins (1 ). Around the same time, it was shown that antisera
General comments: Antibodies, like most proteins, do not like to be freeze-thawed. Avoid repetitive freezing of your solution. The best way to store your antibody is to keep a high protein concentration (>1 mg/ml), add some protease
技术资料暂无技术资料 索取技术资料










