相关产品推荐更多 >
万千商家帮你免费找货
0 人在求购买到急需产品
- 详细信息
- 文献和实验
- 技术资料
- 应用范围:
产品信息以Bioss网站为准
- 规格:
50ul/100ul/200ul
| 规格: | 50ul | 产品价格: | ¥1180.0 |
|---|---|---|---|
| 规格: | 100ul | 产品价格: | ¥1980.0 |
| 规格: | 200ul | 产品价格: | ¥2800.0 |
| 产品编号 | bs-10397R |
| 英文名称 | Factor VIII B chain Rabbit pAb |
| 中文名称 | 凝血因子8/第八凝血因子/第八因子相关抗原抗体 |
| 英文别名 | coagulation factor VIII; Ahf; Antihemophilic factor; Coagulation factor VIII; Coagulation factor VIII associated protein b; Coagulation factor VIII isoform b; Coagulation factor VIII procoagulent component; Coagulation factor VIIIc; Dna segment on chromosome x unique 1253 expressed sequence; Dxs1253e; F8; F8 protein; F8b; F8c; Factor VIII F8b; FactorVIII; FVIII; Hema coagulation factor VIIIc procoagulent component; Hemophilia a; Hemophilia classic; OTTHUMP00000061446; Procoagulant component; FⅧ-Ag; Factor VIIIa heavy chain, 200 kDa isoform; Factor VIIIa heavy chain, 92 kDa isoform; Factor VIII B chain; AHF; DXS1253E; F8B; F8C; FVIII; HEMA; FA8_HUMAN. |
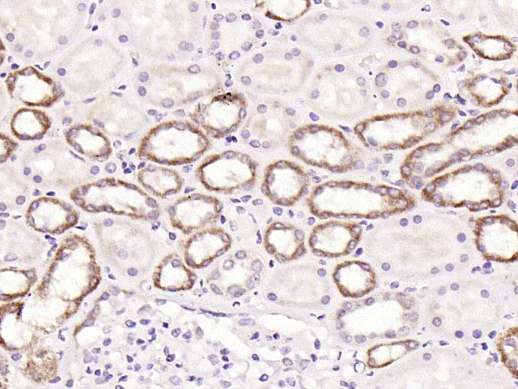
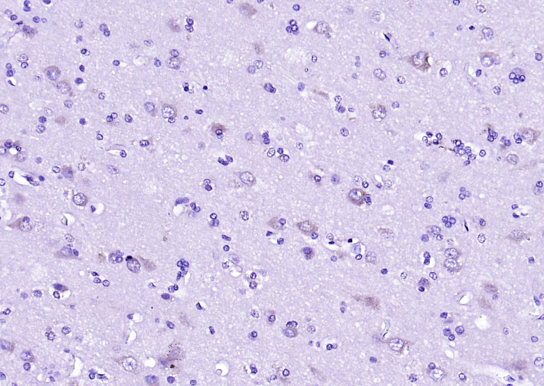
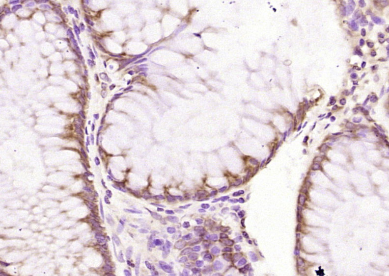
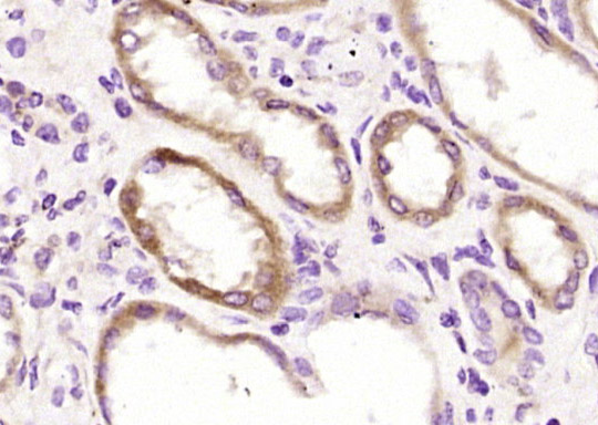
| 产品应用 | WB=1:500-2000, IHC-P=1:100-500, IHC-F=1:100-500, IF=1:100-500 Not yet tested in other applications. |
| 交叉反应 | Human |
| 抗体来源 | Rabbit |
| 免疫原 | KLH conjugated synthetic peptide derived from human Factor VIII B chain |
| 亚型 | IgG |
| 性状 | Liquid |
| 纯化方法 | affinity purified by Protein A |
| 克隆类型 | Polyclonal |
| 理论分子量 | 138 kDa |
| 浓度 | 1mg/ml |
| 储存液 | 0.01M TBS (pH7.4) with 1% BSA, 0.02% Proclin300 and 50% Glycerol. |
| 研究领域 | Cardiovascular > Blood > Coagulation > Intrinsic |
| 亚基 | Interacts with vWF. vWF binding is essential for the stabilization of F8 in circulation. |
| 亚细胞定位 | Secreted, extracellular space. |
| 翻译后修饰 | Sulfation on Tyr-1699 is essential for binding vWF. |
| 相似性 | Belongs to the multicopper oxidase family.
Contains 3 F5/8 type A domains. Contains 2 F5/8 type C domains. Contains 6 plastocyanin-like domains. |
| 功能 | Factor VIII, along with calcium and phospholipid, acts as a cofactor for factor IXa when it converts factor X to the activated form, factor Xa. |
| 保存条件 | Shipped at 4℃. Store at -20℃ for one year. Avoid repeated freeze/thaw cycles. |
| 注意事项 | This product as supplied is intended for research use only, not for use in human, therapeutic or diagnostic applications. |
| 背景资料 | This gene encodes coagulation factor VIII, which participates in the intrinsic pathway of blood coagulation; factor VIII is a cofactor for factor IXa which, in the presence of Ca+2 and phospholipids, converts factor X to the activated form Xa. This gene produces two alternatively spliced transcripts. Transcript variant 1 encodes a large glycoprotein, isoform a, which circulates in plasma and associates with von Willebrand factor in a noncovalent complex. This protein undergoes multiple cleavage events. Transcript variant 2 encodes a putative small protein, isoform b, which consists primarily of the phospholipid binding domain of factor VIIIc. This binding domain is essential for coagulant activity. Defects in this gene results in hemophilia A, a common recessive X-linked coagulation disorder. [provided by RefSeq, Jul 2008]. |
| 应用 | 推荐稀释比例 |
| {WB} | {1:500-2000} |
| {IHC-P} | {1:100-500} |
| {IHC-F} | {1:100-500} |
| {IF} | {1:100-500} |






Lane 1: Hela (Human) Cell Lysate at 30 ug
Lane 2: U87MG (Human) Cell Lysate at 30 ug
Primary: Anti-Factor VIII B chain (bs-10397R) at 1/1000 dilution
Secondary: IRDye800CW Goat Anti-Rabbit IgG at 1/20000 dilution
Predicted band size: 110 kD
Observed band size: 110 kD
风险提示:丁香通仅作为第三方平台,为商家信息发布提供平台空间。用户咨询产品时请注意保护个人信息及财产安全,合理判断,谨慎选购商品,商家和用户对交易行为负责。对于医疗器械类产品,请先查证核实企业经营资质和医疗器械产品注册证情况。
文献和实验Rinse with PSA 3x 0.3% hydrogen peroxide in PBS, 30min. Then rinse in PBS 3x 5% normal goad serum in PBS at RT for 1 hour. Rabbit anti-Human Factor VIII Related Antigen diluted to 1:500 with 1% NGS in PBS, incubated
Mapping Protein Distributions on Polytene Chromosomes by Immunostaining
in a humid chamber. viii. During secondary antibody incubation, mix the biotin solution and the avidin-HRP solution to allow the formation of complexes. Mix 40 µL of solution A and 40 µL of solution B (from the VECTASTAIN
【资源】全面归类网址:毕赤酵母表达各种来源蛋白(细菌,真菌,植物,人类等)
A, B and C neurotoxinI453Clostridium botulinum neurotoxin (BoNT) serotype A and BI, 78 mg/L[57]Clostridium botulinum neurotoxin, serotype AI, 450 mg/kg cells308Clostridium botulinum neurotoxin heavy chain fragment, serotype BI, 390 mg/g[58]Clostridium
技术资料暂无技术资料 索取技术资料









