相关产品推荐更多 >

IFT20 Rabbit pAb, BF488 conjugated(bs-15561R-BF488)-100ul
¥2980
IFT20 Rabbit pAb, PE-Cy5 conjugated(bs-15561R-PE-Cy5)-100ul
¥2980
TNNC2 Rabbit pAb(bs-18156R)-50ul/100ul/200ul
¥1180
HMGA2 Rabbit pAb, AP conjugated(bs-0556R-AP)-100ul
¥2980
phospho-P70 S6 Kinase beta 2 (Ser370) Rabbit pAb(bs-3701R)-50ul/100ul/200ul
¥1180
万千商家帮你免费找货
0 人在求购买到急需产品
- 详细信息
- 文献和实验
- 技术资料
- 应用范围:
产品信息以Bioss网站为准
- 规格:
50ul/100ul
| 规格: | 50ul | 产品价格: | ¥1180.0 |
|---|---|---|---|
| 规格: | 100ul | 产品价格: | ¥1980.0 |
| 产品编号 | bsm-33056M |
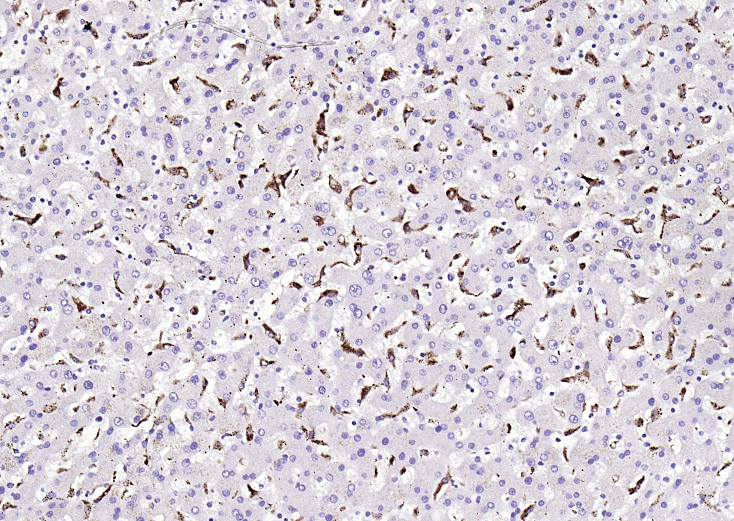
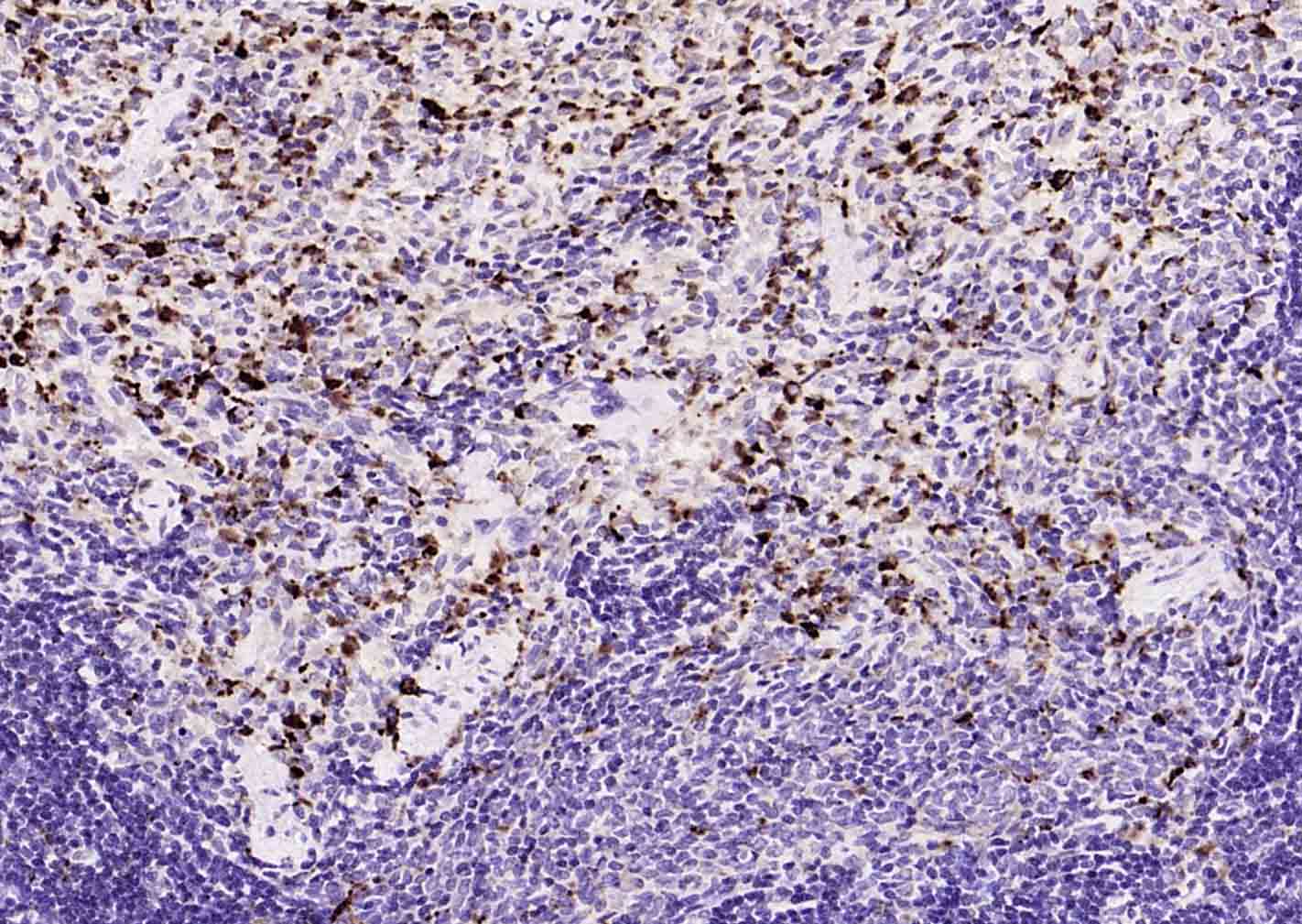
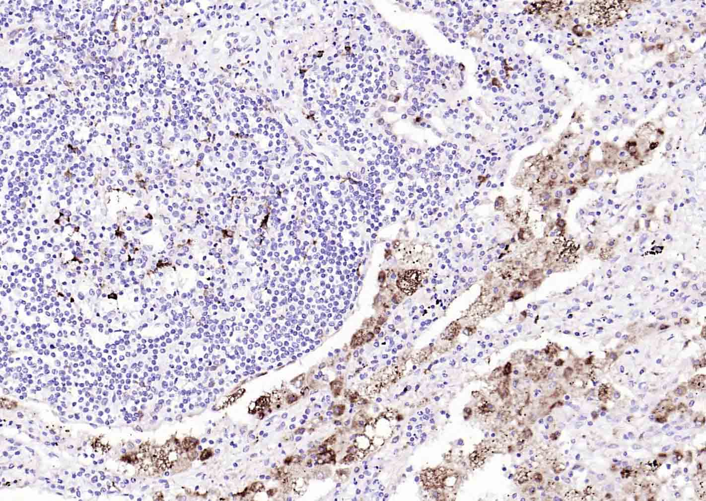
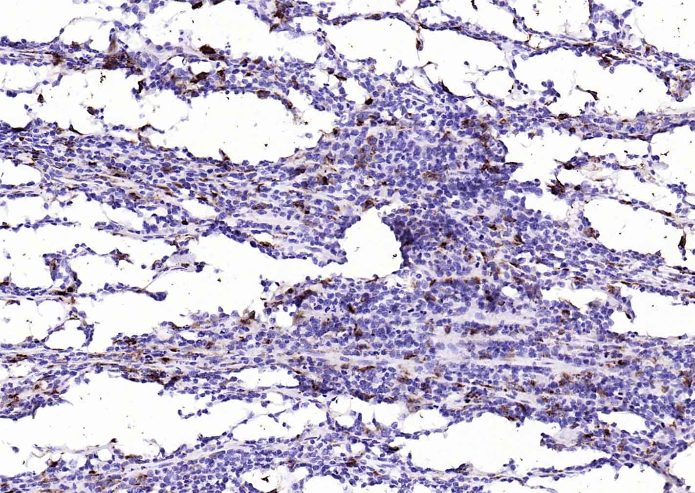
| 英文名称 | CD68 Mouse mAb |
| 中文名称 | CD68单克隆抗体 |
| 英文别名 | CD 68; CD68 antigen; CD68 molecule; DKFZp686M18236; GP110; Macrophage antigen CD68(microsialin); macrosialin; SCARD1; Scavenger receptor class D member 1; macrosialin isoform A precursor; CD68_MOUSE; Macrosialin; Gp110; scavenger receptor class D, member 1; macrophage antigen CD68; LAMP4. |
| 产品应用 | IHC-P=1:50-200, IHC-F=1:50-200, IF=1:50-200 Not yet tested in other applications. |
| 交叉反应 | Human, Rat, spleen, spleen, spleen, spleen, human lung carcinoma, human lung carcinoma, human lung carcinoma, human lung carcinoma, lymphoid, lymphoid, lymphoid, lymphoid, human tonsil, human tonsil, human tonsil, human tonsil, 肝, 肝, 肝, 肝, spleen, spleen, spleen, Human diffuse large B-cell lymphoma, Human diffuse large B-cell lymphoma, Human diffuse large B-cell lymphoma, Human diffuse large B-cell lymphoma |
| 抗体来源 | Mouse |
| 免疫原 | Recombinant human CD68 1-100/354aa |
| 亚型 | IgG |
| 性状 | Liquid |
| 纯化方法 | affinity purified by Protein G |
| 克隆类型 | Monoclonal |
| 理论分子量 | 37 kDa |
| 浓度 | 1mg/ml |
| 储存液 | 0.01M TBS (pH7.4) with 1% BSA, 0.02% Proclin300 and 50% Glycerol. |
| 研究领域 | Immunology > Cell Type Markers > CD > Myeloid Cells Microbiology > Organism > Virus > RNA Virus > ssRNA positive strand virus > SARS Coronavirus |
| 亚细胞定位 | Isoform Short: Cell membrane; Single-pass type I membrane protein. Isoform Long: Endosome membrane; Single-pass type I membrane protein. Lysosome membrane; Single-pass type I membrane protein. |
| 组织特异性 | Highly expressed by blood monocytes and tissue macrophages. Also expressed in lymphocytes, fibroblasts and endothelial cells. Expressed in many tumor cell lines which could allow them to attach to selectins on vascular endothelium, facilitating their dissemination to secondary sites. |
| 翻译后修饰 | N- and O-glycosylated |
| 相似性 | Belongs to the LAMP family. |
| 功能 | Could play a role in phagocytic activities of tissue macrophages, both in intracellular lysosomal metabolism and extracellular cell-cell and cell-pathogen interactions. Binds to tissue- and organ-specific lectins or selectins, allowing homing of macrophage subsets to particular sites. Rapid recirculation of CD68 from endosomes and lysosomes to the plasma membrane may allow macrophages to crawl over selectin-bearing substrates or other cells. |
| 保存条件 | Shipped at 4℃. Store at -20℃ for one year. Avoid repeated freeze/thaw cycles. |
| 注意事项 | This product as supplied is intended for research use only, not for use in human, therapeutic or diagnostic applications. |
| 背景资料 | This gene encodes a 110-kD transmembrane glycoprotein that is highly expressed by human monocytes and tissue macrophages. It is a member of the lysosomal/endosomal-associated membrane glycoprotein (LAMP) family. The protein primarily localizes to lysosomes and endosomes with a smaller fraction circulating to the cell surface. It is a type I integral membrane protein with a heavily glycosylated extracellular domain and binds to tissue- and organ-specific lectins or selectins. The protein is also a member of the scavenger receptor family. Scavenger receptors typically function to clear cellular debris, promote phagocytosis, and mediate the recruitment and activation of macrophages. Alternative splicing results in multiple transcripts encoding different isoforms. [provided by RefSeq, Jul 2008] |
| 应用 | 推荐稀释比例 |
| {IHC-P} | {1:50-200} |
| {IHC-F} | {1:50-200} |
| {IF} | {1:50-200} |







风险提示:丁香通仅作为第三方平台,为商家信息发布提供平台空间。用户咨询产品时请注意保护个人信息及财产安全,合理判断,谨慎选购商品,商家和用户对交易行为负责。对于医疗器械类产品,请先查证核实企业经营资质和医疗器械产品注册证情况。
文献和实验[IF={{ 8.025 }}] {Ningning Lei. et al. Research on essential performance of oxidized chitosan-crosslinked acellular porcine aorta modified with bioactive SCPP/DOPA for esophageal scaffold with enhanced mechanical strength, biocompatibility and anti-inflammatory. INT J BIOL MACROMOL. 2023 Jun;241:124522} {IHC} {Rat}
[IF={{ 7.59 }}] {Mengyue Hu. et al. Well-designed two-fold crosslinked biological valve leaflets with heparin-loaded hydrogel coating for enhancing anticoagulation, endothelialization, and anticalcification. BIOMATER SCI-UK. 2022 Aug;:} {IHC} {Rat}
[IF={{ 5.395 }}] {Xueyu Huang. et al. Hyaluronic Acid-Grafted Bioprosthetic Heart Valves Achieved by Copolymerization Exhibited Improved Anticalcification and Antithrombogenicity. ACS BIOMATER-SCI ENG. 2022;XXXX(XXX):XXX-XXX} {IHC} {Rabbit}
[IF={{ 4.855 }}] {Xueyu Huang. et al. Poly(2-methacryloyloxyethyl phosphorylcholine) Grafted Bioprosthetic Heart Valve Exhibited Improved Antithrombogenicity and Anticalcification Properties. ACS APPL POLYM MATER. 2022;4(11):8418–8428} {IHC} {Rat}
[IF={{ 3.7 }}] {Sun Xuri. et al. Exogenous NT-3 Promotes Phenotype Switch of Resident Macrophages and Improves Sciatic Nerve Injury through AMPK/NF-κB Signaling Pathway. NEUROCHEM RES. 2024 Jun;:1-15} {IF} {Rat}
T-Cell Activation Using mAb to CD3
One of the most common ways to assess T cell activation is to measure T cell proliferation upon in vitro stimulation of T cells via antigen or agonistic antibodies to TCR. This protocol is written as a starting point for examining in vitro proliferation of mouse
WHOLE MOUNT IN SITU HYBRIDIZATION. Mouse Embryos
. Use gloves and aerosol barrier tips. Linearize the plasmid and check the digest. Phenol extract. Extract twice with chloroform:isoamyl alcohol (24:1) Ethanol precipitate ( 1/2 vol 7.5 M NH4 OAc + 2.5 vol 100
Hybrid Resistance by Mouse NK Cells In Vitro
A purified NK cells to kill H2d target cells can be reversed by adding MAb reagents that bind to either Ly49A or H2-Dd . We and others have extended these early findings to the Ly49C and I subsets of NK cells, and have recently detected positive signaling
技术资料暂无技术资料 索取技术资料





