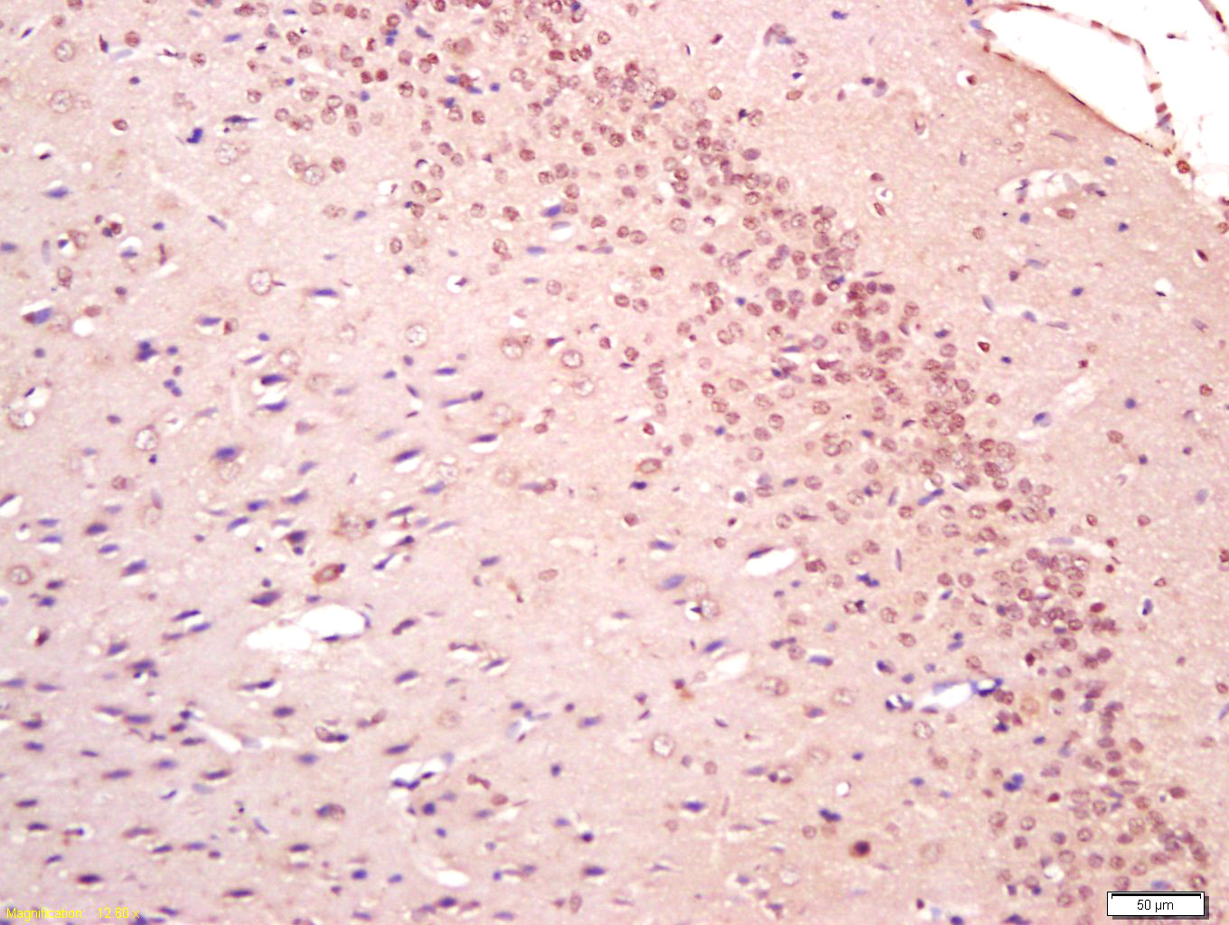
Tissue/cell: rat brain tissue; 4% Paraformaldehyde-fixed and paraffin-embedded;
Antigen retrieval: citrate buffer ( 0.01M, pH 6.0 ), Boiling bathing for 15min; Block endogenous peroxidase by 3% Hydrogen peroxide for 30min; Blocking buffer (normal goat serum,C-0005) at 37℃ for 20 min;
Incubation: Anti-MPP3 Polyclonal Antibody, Unconjugated(bs-11315R) 1:200, overnight at 4°C, followed by conjugation to the secondary antibody(SP-0023) and DAB(C-0010) staining
相关产品推荐更多 >

CRIM-1 Rabbit pAb(bs-21654R)-50ul/100ul/200ul
¥1180
FGF20 Rabbit pAb, HRP conjugated(bs-5772R-HRP)-100ul
¥2980
IL1RAPL1 Rabbit pAb, HRP conjugated(bs-0445R-HRP)-100ul
¥2980
phospho-RAF1 (Ser296) Rabbit pAb(bs-3376R)-50ul/100ul/200ul
¥1180
phospho-SMC3 (Ser1083) Rabbit pAb, Biotin conjugated(bs-19928R-Bio)-100ul
¥2980
万千商家帮你免费找货
0 人在求购买到急需产品
- 详细信息
- 技术资料
- 应用范围:
产品信息以Bioss网站为准
- 规格:
50ul/100ul/200ul
| 规格: | 50ul | 产品价格: | ¥1180.0 |
|---|---|---|---|
| 规格: | 100ul | 产品价格: | ¥1980.0 |
| 规格: | 200ul | 产品价格: | ¥2800.0 |
| 产品编号 | bs-11315R |
| 英文名称 | MPP3/SAP102 Rabbit pAb |
| 中文名称 | 突触相关蛋白102抗体 |
| 英文别名 | Discs large Drosophila homolog 3; Discs large homolog 3 neuroendocrine dlg Drosophila; Discs large homolog 3; Discs large homolog 3 Drosophila; Discs, large homolog 3(Drosophila); Disks large homolog 3; DLG 3; DLG3; DLG3_HUMAN; MPP3; MPP-3; KIAA1232; mKIAA1232; MRX 90; MRX; MRX90; NE Dlg; NEDLG; Neuroendocrine dlg; Neuroendocrine-DLG; OTTHUMP00000023475; OTTHUMP00000023476; OTTHUMP00000023477; SAP 102; SAP-102; SAP102; Synapse associated protein 102; Synapse-associated protein 102; XLMR; bA291O7.3; bA291O7.3 discs large Drosophila homolog 3 neuroendocrine dlg. |
| 产品应用 | IHC-P=1:100-500, IHC-F=1:100-500, IF=1:100-500 Not yet tested in other applications. |
| 交叉反应 | Rat (Human, Mouse, Chicken, Dog, Pig, Cow, Horse, Rabbit) |
| 抗体来源 | Rabbit |
| 免疫原 | KLH conjugated synthetic peptide derived from human SAP102 |
| 亚型 | IgG |
| 性状 | Liquid |
| 纯化方法 | affinity purified by Protein A |
| 克隆类型 | Polyclonal |
| 理论分子量 | 90 kDa |
| 浓度 | 1mg/ml |
| 储存液 | 0.01M TBS (pH7.4) with 1% BSA, 0.02% Proclin300 and 50% Glycerol. |
| 研究领域 | Neuroscience > Cell Type Marker > Neuron marker > Dendrite marker Neuroscience > Cell Type Marker > Neuron marker > Synapse marker Neuroscience > Neurotransmission > Intracellular Signaling > Adapters |
| 亚基 | Interacts through its PDZ domains with NETO1, GRIN2B and SYNGAP1. Interacts through its guanylate kinase-like domain with DLGAP1, DLGAP2, DLGAP3 and DLGAP4 (By similarity). Interacts through its PDZ domains with APC. Interacts through its first two PDZ domains with ERBB4. Interacts through its third PDZ domain with NLGN1, and probably with NLGN2 and NLGN3. Interacts with FRMPD4 (via C-terminus). Interacts with LRFN1, LRFN2 and LRFN4. |
| 相似性 | Belongs to the MAGUK family.
Contains 1 guanylate kinase-like domain. Contains 3 PDZ (DHR) domains. Contains 1 SH3 domain. |
| 功能 | Required for learning most likely through its role in synaptic plasticity following NMDA receptor signaling. |
| 保存条件 | Shipped at 4℃. Store at -20℃ for one year. Avoid repeated freeze/thaw cycles. |
| 注意事项 | This product as supplied is intended for research use only, not for use in human, therapeutic or diagnostic applications. |
| 背景资料 | MPP3, also known as Discs large homolog 3 (DLG3), is a 585 amino acid protein belonging to the MAGUK family. Proteins in the MAGUK family, including CASK, ZO-1, ZO-2, p55 and MPP2, are known to regulate cell proliferation, intracellular junctions and signaling pathways by interacting with the cytoskeleton. MPP3 contains one guanylate kinase-like domain, one PDZ domain, two L27 domains and one SH3 domain. Via the PDZ domain, MMP3 interacts with the C-terminus of TSLC1. MMP3 has also been found to interact with SR-2A and SR-4. |
| 应用 | 推荐稀释比例 |
| {IHC-P} | {1:100-500} |
| {IHC-F} | {1:100-500} |
| {IF} | {1:100-500} |

风险提示:丁香通仅作为第三方平台,为商家信息发布提供平台空间。用户咨询产品时请注意保护个人信息及财产安全,合理判断,谨慎选购商品,商家和用户对交易行为负责。对于医疗器械类产品,请先查证核实企业经营资质和医疗器械产品注册证情况。
技术资料暂无技术资料 索取技术资料
MPP3/SAP102 Rabbit pAb(bs-11315R)-50ul/100ul/200ul
¥1180 - 2800





