相关产品推荐更多 >
万千商家帮你免费找货
0 人在求购买到急需产品
- 详细信息
- 文献和实验
- 技术资料
- 应用范围:
产品信息以Bioss网站为准
- 规格:
50ul/100ul/200ul
| 规格: | 50ul | 产品价格: | ¥1180.0 |
|---|---|---|---|
| 规格: | 100ul | 产品价格: | ¥1980.0 |
| 规格: | 200ul | 产品价格: | ¥2800.0 |
| 产品编号 | bs-8347R |
| 英文名称 | UBE2I Rabbit pAb |
| 中文名称 | 泛素蛋白连接酶E2I抗体 |
| 英文别名 | p18; SUMO 1 protein ligase; SUMO conjugating enzyme UBC9; SUMO-1 conjugating enzyme; SUMO-1-protein ligase; SUMO-conjugating enzyme UBC9; SUMO-protein ligase; UBC9; UBC9_HUMAN; UBCE9; Ube2i; Ubiquitin carrier protein 9; Ubiquitin carrier protein; Ubiquitin carrier protein I; Ubiquitin conjugating enzyme 9; Ubiquitin conjugating enzyme UbcE2A; Ubiquitin like protein SUMO 1 conjugating enzyme; Ubiquitin protein ligase E2I; Ubiquitin-conjugating enzyme E2 I; Ubiquitin-protein ligase I. |
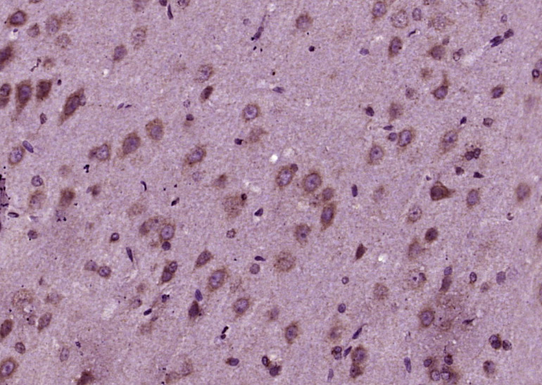
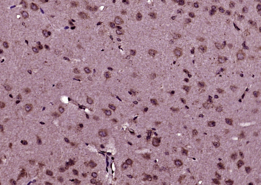
| 产品应用 | WB=1:500-2000, IHC-P=1:100-500, IHC-F=1:100-500, IF=1:100-500 Not yet tested in other applications. |
| 交叉反应 | Mouse, Rat (Human) |
| 抗体来源 | Rabbit |
| 免疫原 | KLH conjugated synthetic peptide derived from human UBE2I |
| 亚型 | IgG |
| 性状 | Liquid |
| 纯化方法 | affinity purified by Protein A |
| 克隆类型 | Polyclonal |
| 理论分子量 | 18 kDa |
| 浓度 | 1mg/ml |
| 储存液 | 0.01M TBS (pH7.4) with 1% BSA, 0.02% Proclin300 and 50% Glycerol. |
| 研究领域 | Cell Biology > Proteolysis / Ubiquitin > Proteasome / Ubiquitin > Sumo Cell Biology > Proteolysis / Ubiquitin > Proteasome / Ubiquitin > Ubiquitin E2 Enzymes Epigenetics and Nuclear Signaling > Ubiquitin & Ubiquitin Like Modifiers > Ubiquitin like Modifiers Metabolism > Types of disease > Obesity |
| 亚基 | Interacts with HIPK1, HIPK2, PPM1J, RASD2 and TCF3 Interacts with NR2C1; the interaction promotes its sumoylation (By similarity). Forms a tight complex with RANGAP1 and RANBP2. Interacts with SIAH1 and PARP. Interacts with various transcription factors such as TFAP2A, TFAP2B, TFAP2C, AR, ETS1 and SOX4. Interacts with RWDD3; the interaction enhances the sumoylation of a number of proteins such as HIF1A and I-kappa-B. Interacts with DNMT1. Interacts with FOXL2. Forms a complex with SENP6 and UBE2I in response to UV irradiation. Interacts with human herpesvirus 6 IE2. Interacts with human adenovirus early E1A protein; this interaction interferes with polysumoylation (Probable). Interacts with DNM1l (via its GTPase and B domains); the interaction promotes sumoylation of DNM1L, mainly in its B domain. Interacts with PML-RARA oncoprotein (via the coiled-colied domain); the interaction is required for sumoylation of the PML-RARA oncoprotein. Interacts with IPO13. Interacts with NFATC2IP; this inhibits formation of poly-SUMO chains. |
| 亚细胞定位 | Nucleus. Cytoplasm. Mainly nuclear. In spermatocytes, localizes in synaptonemal complexes. Recruited by BCL11A into the nuclear body. |
| 组织特异性 | Expressed in heart, skeletal muscle, pancreas, kidney, liver, lung, placenta and brain. Also expressed in testis and thymus. |
| 相似性 | Belongs to the ubiquitin-conjugating enzyme family. |
| 功能 | Accepts the ubiquitin-like proteins SUMO1, SUMO2, SUMO3 and SUMO4 from the UBLE1A-UBLE1B E1 complex and catalyzes their covalent attachment to other proteins with the help of an E3 ligase such as RANBP2 or CBX4. Can catalyze the formation of poly-SUMO chains. Necessary for sumoylation of FOXL2 and KAT5. Essential for nuclear architecture and chromosome segregation. |
| 保存条件 | Shipped at 4℃. Store at -20℃ for one year. Avoid repeated freeze/thaw cycles. |
| 注意事项 | This product as supplied is intended for research use only, not for use in human, therapeutic or diagnostic applications. |
| 背景资料 | The modification of proteins with ubiquitin is an important cellular mechanism for targeting abnormal or short-lived proteins for degradation. Ubiquitination involves at least three classes of enzymes: ubiquitin-activating enzymes, or E1s, ubiquitin-conjugating enzymes, or E2s, and ubiquitin-protein ligases, or E3s. This gene encodes a member of the E2 ubiquitin-conjugating enzyme family. Four alternatively spliced transcript variants encoding the same protein have been found for this gene. [provided by RefSeq, Jul 2008]. |
| 应用 | 推荐稀释比例 |
| {WB} | {1:500-2000} |
| {IHC-P} | {1:100-500} |
| {IHC-F} | {1:100-500} |
| {IF} | {1:100-500} |



NIH/3T3(Mouse) Cell Lysate at 30 ug
Primary: Anti-UBC9 (bs-8347R) at 1/1000 dilution
Secondary: IRDye800CW Goat Anti-Rabbit IgG at 1/20000 dilution
Predicted band size: 18 kD
Observed band size: 17 kD

Spleen (Mouse) Lysate at 40 ug
Primary: Anti-UBC9 (bs-8347R) at 1/1000 dilution
Secondary: IRDye800CW Goat Anti-Rabbit IgG at 1/20000 dilution
Predicted band size: 18 kD
Observed band size: 17 kD
风险提示:丁香通仅作为第三方平台,为商家信息发布提供平台空间。用户咨询产品时请注意保护个人信息及财产安全,合理判断,谨慎选购商品,商家和用户对交易行为负责。对于医疗器械类产品,请先查证核实企业经营资质和医疗器械产品注册证情况。
文献和实验= NAL), appears to form upon oxidative cyclization of the nonfluorescent 2:1 lysine-HNE Michael adduct-Schiff base cross-link (Scheme 1). Polyclonal antibody (PAb) to the NAL-HNE fluorophore was raised in rabbit and found to be highly specific
GE Healthcare Benzamidine Sepharose™ 6B is p-aminobenzamidine covalently attached to Sepharose 6B by the epoxy coupling method. p-Aminobenzamidine (PAB), is a synthetic inhibitor of trypsin-like serine protease. Trypsin and trypsin
Nucleic Acid Programmable Protein Arrays: Versatile Tools for Array‐Based Functional Protein Studies
.g., Sigma) 50 mg/ml bis‐sulfosuccinimdylsuberate (BS3 ;Pierce, cat. no. PI 21580) in dimethylsulfoxide (DMSO) 5 mg/ml
技术资料暂无技术资料 索取技术资料








