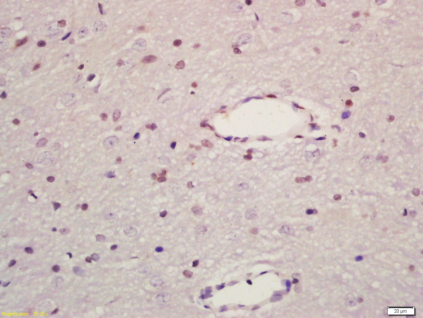
Tissue/cell: rat brain tissue; 4% Paraformaldehyde-fixed and paraffin-embedded;
Antigen retrieval: citrate buffer ( 0.01M, pH 6.0 ), Boiling bathing for 15min; Block endogenous peroxidase by 3% Hydrogen peroxide for 30min; Blocking buffer (normal goat serum,C-0005) at 37℃ for 20 min;
Incubation: Anti-MAPK8IP1 Polyclonal Antibody, Unconjugated(bs-6255R) 1:200, overnight at 4°C, followed by conjugation to the secondary antibody(SP-0023) and DAB(C-0010) staining
相关产品推荐更多 >
万千商家帮你免费找货
0 人在求购买到急需产品
- 详细信息
- 技术资料
- 应用范围:
产品信息以Bioss网站为准
- 规格:
50ul/100ul/200ul
| 规格: | 50ul | 产品价格: | ¥1180.0 |
|---|---|---|---|
| 规格: | 100ul | 产品价格: | ¥1980.0 |
| 规格: | 200ul | 产品价格: | ¥2800.0 |
| 产品编号 | bs-6255R |
| 英文名称 | JIP1/MAPK8IP1 Rabbit pAb |
| 中文名称 | 丝裂原活化蛋白激酶8相互作用蛋白1抗体 |
| 英文别名 | C jun amino terminal kinase interacting protein 1; IB 1; IB1; Islet brain 1; JIP 1; JNK interacting protein 1; JNK MAP kinase scaffold protein 1; MAPK8IP 1; MAPK8IP1; Mitogen activated protein kinase 8 interacting protein 1; PRKM8 interacting protein; PRKM8IP; JIP1_HUMAN. |
| 产品应用 | WB=1:500-2000, IHC-P=1:100-500, IHC-F=1:100-500, IF=1:100-500 Not yet tested in other applications. |
| 交叉反应 | Human, Rat (Mouse, Dog, Pig, Cow, Horse, Sheep) |
| 抗体来源 | Rabbit |
| 免疫原 | KLH conjugated synthetic peptide derived from human JIP1/MAPK8IP1 |
| 亚型 | IgG |
| 性状 | Liquid |
| 纯化方法 | affinity purified by Protein A |
| 克隆类型 | Polyclonal |
| 理论分子量 | 77 kDa |
| 浓度 | 1mg/ml |
| 储存液 | 0.01M TBS (pH7.4) with 1% BSA, 0.02% Proclin300 and 50% Glycerol. |
| 亚基 | Forms homo- or heterooligomeric complexes. Binds specific components of the JNK signaling pathway namely, MAPK8, MAPK9, MAPK10, MAPKK7, MLK2, MLK3, MAP3K12 and MAP3K13. Also binds the proline-rich domain-containing splice variant of apolipoprotein E receptor 2 (ApoER2). Interacts, via the PID domain, with ARHGEF28. Binds the cytoplasmic tails of LRP1 and LRP2 (Megalin). Binds the TPR motif-containing C-terminal of KNS2, then the pre-assembled MAPK8IP1 scaffolding complexes are transported as a cargo of kinesin, to the required subcellular location. Interacts with the cytoplasmic domain of APP. Interacts with DCLK2 (By similarity). Interacts with MAP3K7. Interacts with isoform 1 and isoform 2 of VRK2. |
| 亚细胞定位 | Cytoplasm (By similarity). Cytoplasm, perinuclear region (By similarity). Nucleus (By similarity). Endoplasmic reticulum membrane. Mitochondrion membrane. Note=Accumulates in cell surface projections. Under certain stress conditions, translocates to the perinuclear region of neurons. In insulin-secreting cells, detected in both the cytoplasm and nucleus |
| 组织特异性 | Highly expressed in brain. Expressed in neurons, localizing to neurite tips in differentiating cells. Also expressed in the pancreas, testis and prostate. Low levels in heart, ovary and small intestine. Decreased levels in pancreatic beta cells sensitize cells to IL-1-beta-induced apoptosis. |
| 翻译后修饰 | Phosphorylated by MAPK8, MAPK9 and MAPK10. Phosphorylation on Thr-103 is also necessary for the dissociation and activation of MAP3K12. Phosphorylated by isoform 1 and isoform 2 of VRK2. Ubiquitinated. Two preliminary events are required to prime for ubiquitination; phosphorylation and an increased in intracellular calcium concentration. Then, the calcium influx initiates ubiquitination and degradation by the ubiquitin-proteasome pathway. |
| 相似性 | Belongs to the JIP scaffold family. Contains 1 PID domain. Contains 1 SH3 domain. |
| 功能 | The JNK-interacting protein (JIP) group of scaffold proteins selectively mediates JNK signaling by aggregating specific components of the MAPK cascade to form a functional JNK signaling module and is required for JNK activation in response to excitotoxic stress. Cytoplasmic JIP1 causes inhibition of JNK-regulated activity by retaining JNK in the cytoplasm and inhibiting JNK phosphorylation of c-Jun. It may also participate in ApoER2-specific reelin signaling and directly, or indirectly, regulates GLUT2 gene expression and beta-cell function. It appears to have a role in cell signaling in mature and developing nerve terminals and may function as a regulator of vesicle transport, through interactions with the JNK-signaling components and motor proteins. It functions as an anti-apoptotic protein whose level seems to influence the beta-cell death or survival response. |
| 保存条件 | Shipped at 4℃. Store at -20℃ for one year. Avoid repeated freeze/thaw cycles. |
| 注意事项 | This product as supplied is intended for research use only, not for use in human, therapeutic or diagnostic applications. |
| 背景资料 | This gene encodes a regulator of the pancreatic beta-cell function. It is highly similar to JIP-1, a mouse protein known to be a regulator of c-Jun amino-terminal kinase (Mapk8). This protein has been shown to prevent MAPK8 mediated activation of transcription factors, and to decrease IL-1 beta and MAP kinase kinase 1 (MEKK1) induced apoptosis in pancreatic beta cells. This protein also functions as a DNA-binding transactivator of the glucose transporter GLUT2. RE1-silencing transcription factor (REST) is reported to repress the expression of this gene in insulin-secreting beta cells. This gene is found to be mutated in a type 2 diabetes family, and thus is thought to be a susceptibility gene for type 2 diabetes. |
| 应用 | 推荐稀释比例 |
| {WB} | {1:500-2000} |
| {IHC-P} | {1:100-500} |
| {IHC-F} | {1:100-500} |
| {IF} | {1:100-500} |


Sample: HepG2 cell (human) Lysate at 40 ug
Primary: Anti- JIP1/MAPK8IP1 (bs-6255R) at 1/300 dilution
Secondary: IRDye800CW Goat Anti-Rabbit IgG at 1/20000 dilution
Predicted band size: 77 kD
Observed band size: 77 kD
Primary: Anti- JIP1/MAPK8IP1 (bs-6255R) at 1/300 dilution
Secondary: IRDye800CW Goat Anti-Rabbit IgG at 1/20000 dilution
Predicted band size: 77 kD
Observed band size: 77 kD
风险提示:丁香通仅作为第三方平台,为商家信息发布提供平台空间。用户咨询产品时请注意保护个人信息及财产安全,合理判断,谨慎选购商品,商家和用户对交易行为负责。对于医疗器械类产品,请先查证核实企业经营资质和医疗器械产品注册证情况。
技术资料暂无技术资料 索取技术资料
JIP1/MAPK8IP1 Rabbit pAb(bs-6255R)-50ul/100ul/200ul
¥1180 - 2800







