相关产品推荐更多 >

PCDHA8 Rabbit pAb, Biotin conjugated(bs-11122R-Bio)-100ul
¥2980
PHD2 Rabbit pAb(bs-3686R)-50ul/100ul/200ul
¥1180
Glu-Glu Tag Rabbit pAb(bs-2115R)-50ul/100ul/500ul
¥680
phospho-HSP70 (Tyr41) Rabbit pAb, BF680 conjugated(bs-10451R-BF680)-100ul
¥2980
GALNTL6 Rabbit pAb, HRP conjugated(bs-16229R-HRP)-100ul
¥2980
万千商家帮你免费找货
0 人在求购买到急需产品
- 详细信息
- 文献和实验
- 技术资料
- 应用范围:
产品信息以Bioss网站为准
- 规格:
50ul/100ul/200ul
| 规格: | 50ul | 产品价格: | ¥1180.0 |
|---|---|---|---|
| 规格: | 100ul | 产品价格: | ¥1980.0 |
| 规格: | 200ul | 产品价格: | ¥2800.0 |
| 产品编号 | bs-20016R |
| 英文名称 | CARD12 Rabbit pAb |
| 中文名称 | 凋亡加强结构域蛋白12抗体 |
| 英文别名 | LRR; CARD 12; CARD; CARD LRR and NACHT containing protein 1; CARD LRR and NACHT containing protein; CARD12; Caspase recruitment domain containing protein 12; Caspase recruitment domain-containing protein 12; CLAN 1; CLAN A; CLAN; CLAN B; CLAN C; CLAN D; Clan protein; CLAN1; CLANA; CLANB; CLANC; CLAND; CLR 2.1; CLR2.1; ICE protease activating factor; Ice protease-activating factor; Ipaf; NLR family CARD domain containing 4; NLR family CARD domain-containing protein 4; NLRC 4; NLRC4; NLRC4_HUMAN; and NACHT-containing protein. |
| 产品应用 | IHC-P=1:100-500, IHC-F=1:100-500, IF=1:100-500 Not yet tested in other applications. |
| 交叉反应 | Rat (Human, Mouse) |
| 抗体来源 | Rabbit |
| 免疫原 | KLH conjugated synthetic peptide derived from human CARD12 |
| 亚型 | IgG |
| 性状 | Liquid |
| 纯化方法 | affinity purified by Protein A |
| 克隆类型 | Polyclonal |
| 理论分子量 | 116 kDa |
| 浓度 | 1mg/ml |
| 储存液 | 0.01M TBS (pH7.4) with 1% BSA, 0.02% Proclin300 and 50% Glycerol. |
| 研究领域 | Cancer > Cell Death > Apoptosis > Metabolism Cell Biology > Apoptosis > Intracellular > Caspases etc > CARD Family Epigenetics and Nuclear Signaling > Cell cycle > Apoptosis > Nuclear Immunology > Innate Immunity > Macrophage / Inflamm. Metabolism > Pathways and Processes > Metabolism processes > Apoptosis |
| 亚基 | Component of the NLRC4 inflammasome. Homooligomer. Interacts with ASC, pro-caspase-1, NOD2, BCL10 and NALP1 (NAC) by CARD-CARD interaction. Interacts with EIF2AK2/PKR. |
| 亚细胞定位 | Cytoplasm. Cytoplasm, cytosol. Note=Cytoplasmic filaments. |
| 组织特异性 | Isoform 2 is expressed ubiquitously, although highly expressed in lung and spleen. Isoform 1 is highly expressed in lung, followed by leukocytes especially monocytes, lymph node, colon, brain, prostate, placenta, spleen, bone marrow and fetal liver. Isoform 4 is only detected in brain. |
| 翻译后修饰 | Phosphorylated at Ser-533 following infection of macrophages with S.typhimurium (Salmonella). Phosphorylation is essential for NLRC4 inflammasome function to promote caspase-1 activation and pyroptosis. PRKCD phosphorylates Ser-533 in vitro. |
| 相似性 | Contains 1 CARD domain.
Contains 14 LRR (leucine-rich) repeats. Contains 1 NACHT domain. |
| 功能 | Key component of inflammasomes that indirectly senses specific proteins from pathogenic bacteria and fungi and responds by assembling an inflammasome complex that promotes caspase-1 activation, cytokine production and macrophage pyroptosis. |
| 保存条件 | Shipped at 4℃. Store at -20℃ for one year. Avoid repeated freeze/thaw cycles. |
| 注意事项 | This product as supplied is intended for research use only, not for use in human, therapeutic or diagnostic applications. |
| 背景资料 | NLR family CARD domain-containing protein 4 is a protein that in humans is encoded by the NLRC4 gene. NLRC4 is best associated with triggering formation of the inflammasome. Unlike NLRP3, certain inflammasome-dependent functions of NLRC4 may be carried out independently of the inflammasome scaffold ASC. Human Ced4 homologs include APAF1, NOD1 (CARD4), and NOD2 (CARD15). These proteins have at least 1 N-terminal CARD domain followed by a centrally located nucleotide-binding domain (NBD or NACHT) and a C-terminal regulatory domain, found only in mammals, that contains either WD40 repeats or leucine-rich repeats (LRRs). CARD12 is a member of the Ced4 family and can induce apoptosis. |
| 应用 | 推荐稀释比例 |
| {IHC-P} | {1:100-500} |
| {IHC-F} | {1:100-500} |
| {IF} | {1:100-500} |

风险提示:丁香通仅作为第三方平台,为商家信息发布提供平台空间。用户咨询产品时请注意保护个人信息及财产安全,合理判断,谨慎选购商品,商家和用户对交易行为负责。对于医疗器械类产品,请先查证核实企业经营资质和医疗器械产品注册证情况。
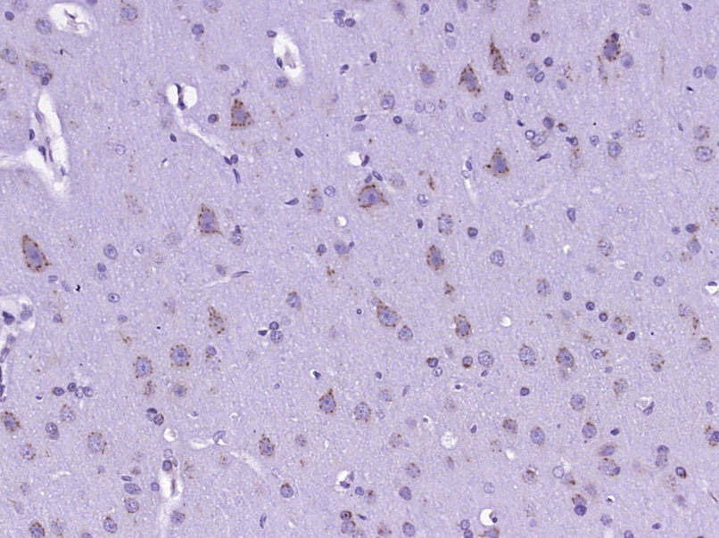
文献和实验[IF={{ 2.903 }}] {Xuling Zhang. et al. Effects of lysophosphatidic acid receptor 5 on NLRC4 inflammasome in brain tissues of transient cerebral ischemia/reperfusion rat:. Hum Exp Toxicol. 2022;():} {IF} {Rat}
[IF={{ 2.9 }}] {Ke Liang. et al. Expression and clinical value of NLRP1 and NLRC4 inflammasomes in prostate cancer. ONCOL LETT. 2023 Sep;26(3):1-9} {IHC} {Human}
[IF={{ 2 }}] {Fang He. et al.Exogenous L-Serine Alleviates Pasteurella multocida-Induced Inflammation by Reprogramming the Transcription and Metabolism of Macrophages.veterinary sciences.} {Western blot} {Mouse}
= NAL), appears to form upon oxidative cyclization of the nonfluorescent 2:1 lysine-HNE Michael adduct-Schiff base cross-link (Scheme 1). Polyclonal antibody (PAb) to the NAL-HNE fluorophore was raised in rabbit and found to be highly specific
GE Healthcare Benzamidine Sepharose™ 6B is p-aminobenzamidine covalently attached to Sepharose 6B by the epoxy coupling method. p-Aminobenzamidine (PAB), is a synthetic inhibitor of trypsin-like serine protease. Trypsin and trypsin
Nucleic Acid Programmable Protein Arrays: Versatile Tools for Array‐Based Functional Protein Studies
.g., Sigma) 50 mg/ml bis‐sulfosuccinimdylsuberate (BS3 ;Pierce, cat. no. PI 21580) in dimethylsulfoxide (DMSO) 5 mg/ml
技术资料暂无技术资料 索取技术资料






