相关产品推荐更多 >

CEA Mouse mAb(bsm-4792M)-50ul/100ul/200ul/200ug
¥1180
Integrin alpha 2 Rabbit pAb, AP conjugated(bs-10132R-AP)-100ul
¥2980
KAT3A / CBP Rabbit pAb, BF405 conjugated(bs-12395R-BF405)-100ul
¥2980
IL2RA/CD25 Rabbit pAb, BF555 conjugated(bs-0577R-BF555)-100ul
¥2980
THEMIS Rabbit pAb, Biotin conjugated(bs-12329R-Bio)-100ul
¥2980
万千商家帮你免费找货
0 人在求购买到急需产品
- 详细信息
- 文献和实验
- 技术资料
- 应用范围:
产品信息以Bioss网站为准
- 规格:
50ul/100ul/200ul
| 规格: | 50ul | 产品价格: | ¥1180.0 |
|---|---|---|---|
| 规格: | 100ul | 产品价格: | ¥1980.0 |
| 规格: | 200ul | 产品价格: | ¥2800.0 |
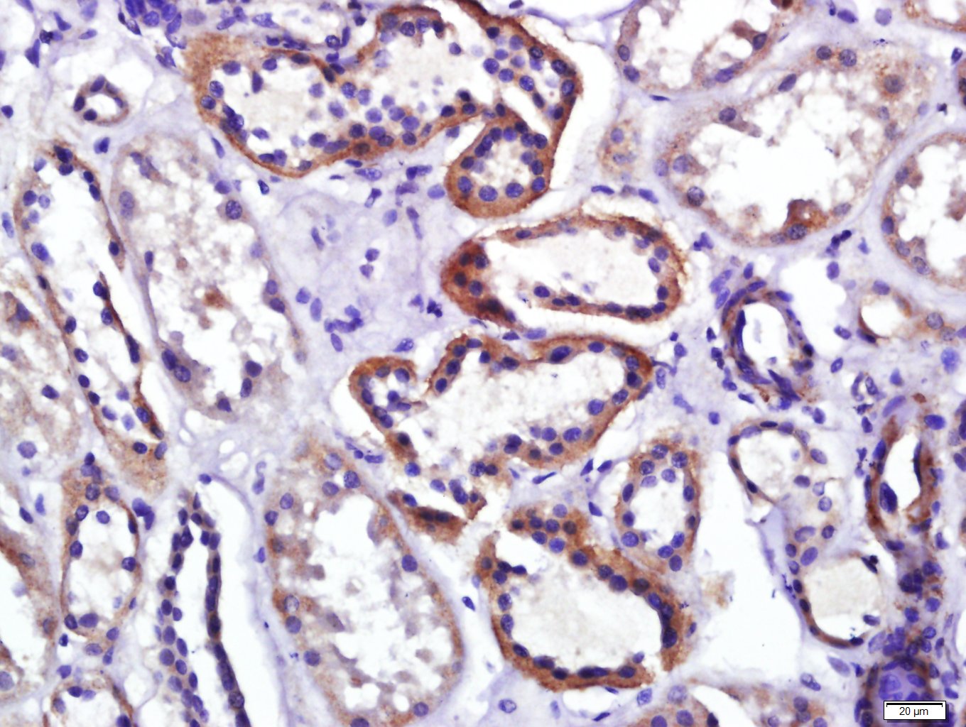
| 产品编号 | bs-13510R |
| 英文名称 | GPR100 Rabbit pAb |
| 中文名称 | G蛋白偶联受体100抗体 |
| 英文别名 | G protein coupled receptor 100; G-protein coupled receptor 100; G-protein coupled receptor GPCR142; GPCR142; Insulin-like peptide INSL5 receptor; Relaxin 3 receptor 2; Relaxin family peptide receptor 4; Relaxin-3 receptor 2; Relaxin/insulin like family peptide receptor 4; RL3R2_HUMAN; RLN3 receptor 2; RLN3R2; Rxfp4; RXFPR4; GPCR GPR100. |
| 产品应用 | IHC-P=1:100-500, IHC-F=1:100-500, IF=1:100-500, Flow-Cyt=3μg/Test Not yet tested in other applications. |
| 交叉反应 | Human (Mouse, Pig, Cow, Rabbit) |
| 抗体来源 | Rabbit |
| 免疫原 | KLH conjugated synthetic peptide derived from human GPR100 |
| 亚型 | IgG |
| 性状 | Liquid |
| 纯化方法 | affinity purified by Protein A |
| 克隆类型 | Polyclonal |
| 理论分子量 | 41 kDa |
| 浓度 | 1mg/ml |
| 储存液 | 0.01M TBS (pH7.4) with 1% BSA, 0.02% Proclin300 and 50% Glycerol. |
| 亚细胞定位 | Cell membrane. |
| 组织特异性 | Expressed in a broader range of tissues including brain, kidney, testis, thymus, placenta, prostate, salivary gland, thyroid and colon. |
| 相似性 | Belongs to the G-protein coupled receptor 1 family. |
| 功能 | High affinity receptor for INSL5. Also acts as receptor for RLN3/relaxin-3, as well as bradykinin and kallidin. Binding of the ligand inhibit cAMP accumulation. |
| 保存条件 | Shipped at 4℃. Store at -20℃ for one year. Avoid repeated freeze/thaw cycles. |
| 注意事项 | This product as supplied is intended for research use only, not for use in human, therapeutic or diagnostic applications. |
| 背景资料 | G protein-coupled receptors (GPRs) are a protein family of transmembrane receptors that transmit an extracellular signal (ligand binding) into an intracellular signal (G protein activation). GPR signaling is an evolutionarily ancient mechanism used by all eukaryotes to sense environmental stimuli and mediate cell-cell communication. All of the receptors have seven membrane-spanning domains and the extracellular parts of the receptor can be glycosylated. These extracellular loops also contain two highly conserved cysteine residues which create disulfide bonds to stabilize the receptor structure. Relaxin Receptor 4, also known as Relaxin/insulin-like family peptide receptor 4, RXFP4, RLN3R2, GPCR142 or GPR100, is a G protein-coupled receptor that binds Relaxin 3 and is specifically expressed in peripheral tissues, particularly in the colon. |
| 应用 | 推荐稀释比例 |
| {IHC-P} | {1:100-500} |
| {IHC-F} | {1:100-500} |
| {IF} | {1:100-500} |
| {Flow-Cyt} | {3μg/Test} |


Primary Antibody (green line): Rabbit Anti-GPR100 antibody (bs-13510),Dilution: 3μg /10^6 cells;
Isotype Control Antibody (orange line): Rabbit IgG .
Secondary Antibody (white blue line): Goat anti-rabbit IgG-PE,Dilution: 1μg /test.
风险提示:丁香通仅作为第三方平台,为商家信息发布提供平台空间。用户咨询产品时请注意保护个人信息及财产安全,合理判断,谨慎选购商品,商家和用户对交易行为负责。对于医疗器械类产品,请先查证核实企业经营资质和医疗器械产品注册证情况。
文献和实验家兔(Rabbit,Oryctolagus curiculus)
家兔(Rabbit,Oryctolagus curiculus) 一、生物学特性和解剖生理特点 1.家兔属于哺乳纲、啮齿目、兔科、草食性哺乳动性。 2.家兔体小力弱、胆小怕惊、怕热、怕潮,喜欢安静、清洁、干燥、凉爽的环境,不能忍受污秽的条件。 3.是食草类(Herbivorous)单胃动物。饲养原则是以青粗食米为主,精饲料为辅。喜欢独居,白天活动少,都处于假眠或休息状态,夜间活动大,吃食多。有啃木、扒土的习惯
家兔(Rabbit,Oryctolagus curiculus)--生物学特性和解剖生理特点
网络 第五节 家兔(Rabbit,Oryctolagus curiculus) 一、生物学特性和解剖生理特点 1.家兔属于哺乳纲、啮齿目、兔科、草食性哺乳动性。 2.家兔体小力弱、胆小怕惊、怕热、怕潮,喜欢安静、清洁、干燥、凉爽的环境,不能忍受污秽的条件。 3.是食草类(Herbivorous)单胃动物。饲养原则是以青粗食米为主
【信息】Rabbit anti-GAPDH(SF-PA005)(兔抗 GAPDH 多克隆 IgG 抗体)招代理
Rabbit anti-GAPDH(SF-PA005)(兔抗 GAPDH 多克隆 IgG 抗体) 背景 甘油醛 -3- 磷 酸脱氢酶( Glyceraldehyde 3-phosphate dehydrogenase,GAPDH)是糖酵解(glycolysis)过程中的关键酶,分子量为37kDa 左右。它催化甘油醛-3-磷酸的氧化磷酸化反应。GAPDH 作为看家基因 在同种细胞 或者组织中一般是恒定、高水平表达的,常用作 Western Blot 实验的内参照. 来源 兔抗
技术资料暂无技术资料 索取技术资料






