相关产品推荐更多 >

phospho-VEGFR2 (Tyr1175) Rabbit pAb, Biotin conjugated(bs-3468R-Bio)-100ul
¥2980
LDB2 Rabbit pAb, AP conjugated(bs-18203R-AP)-100ul
¥2980
PDCD4 Rabbit pAb, AP conjugated(bs-1608R-AP)-100ul
¥2980
phospho-Ephexin-1 (Tyr179) Rabbit pAb, Biotin conjugated(bs-13084R-Bio)-100ul
¥2980
phospho-PLCG1 (Tyr775) Rabbit pAb(bs-5546R)-50ul/100ul/200ul
¥1180
万千商家帮你免费找货
0 人在求购买到急需产品
- 详细信息
- 文献和实验
- 技术资料
- 应用范围:
产品信息以Bioss网站为准
- 规格:
50ul/100ul/200ul
| 规格: | 50ul | 产品价格: | ¥1180.0 |
|---|---|---|---|
| 规格: | 100ul | 产品价格: | ¥1980.0 |
| 规格: | 200ul | 产品价格: | ¥2800.0 |
| 产品编号 | bs-13136R |
| 英文名称 | FAM134B Rabbit pAb |
| 中文名称 | FAM134B蛋白抗体 |
| 英文别名 | F134B_HUMAN; FAM134B; family with sequence similarity 134 member B; HSAN2B; JK 1; JK1; Protein FAM134B. |
| 产品应用 | IHC-P=1:100-500, IHC-F=1:100-500, IF=1:100-500, Flow-Cyt=0.2ug/test Not yet tested in other applications. |
| 交叉反应 | Human, Mouse, Rat (Cow, Rabbit) |
| 抗体来源 | Rabbit |
| 免疫原 | KLH conjugated synthetic peptide derived from human FAM134B |
| 亚型 | IgG |
| 性状 | Liquid |
| 纯化方法 | affinity purified by Protein A |
| 克隆类型 | Polyclonal |
| 理论分子量 | 55 kDa |
| 浓度 | 1mg/ml |
| 储存液 | 0.01M TBS (pH7.4) with 1% BSA, 0.02% Proclin300 and 50% Glycerol. |
| 亚细胞定位 | Golgi apparatus; cis-Golgi network membrane. |
| 相似性 | Belongs to the FAM134 family. |
| 功能 | Required for long-term survival of nociceptive and autonomic ganglion neurons. |
| 保存条件 | Shipped at 4℃. Store at -20℃ for one year. Avoid repeated freeze/thaw cycles. |
| 注意事项 | This product as supplied is intended for research use only, not for use in human, therapeutic or diagnostic applications. |
| 背景资料 | Required for long-term survival of nociceptive and autonomic ganglion neurons. |
| 应用 | 推荐稀释比例 |
| {IHC-P} | {1:100-500} |
| {IHC-F} | {1:100-500} |
| {IF} | {1:100-500} |
| {Flow-Cyt} | {0.2ug/test} |

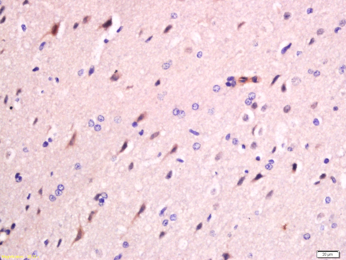
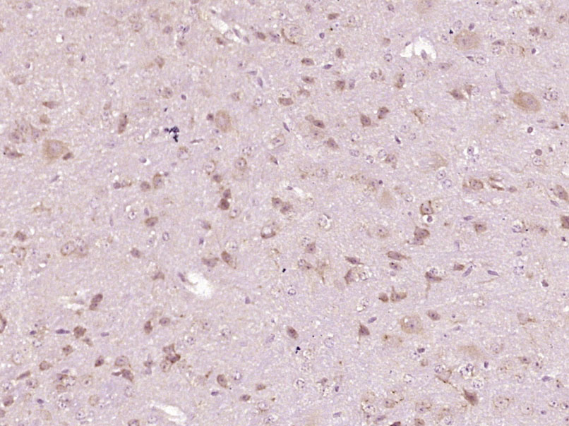
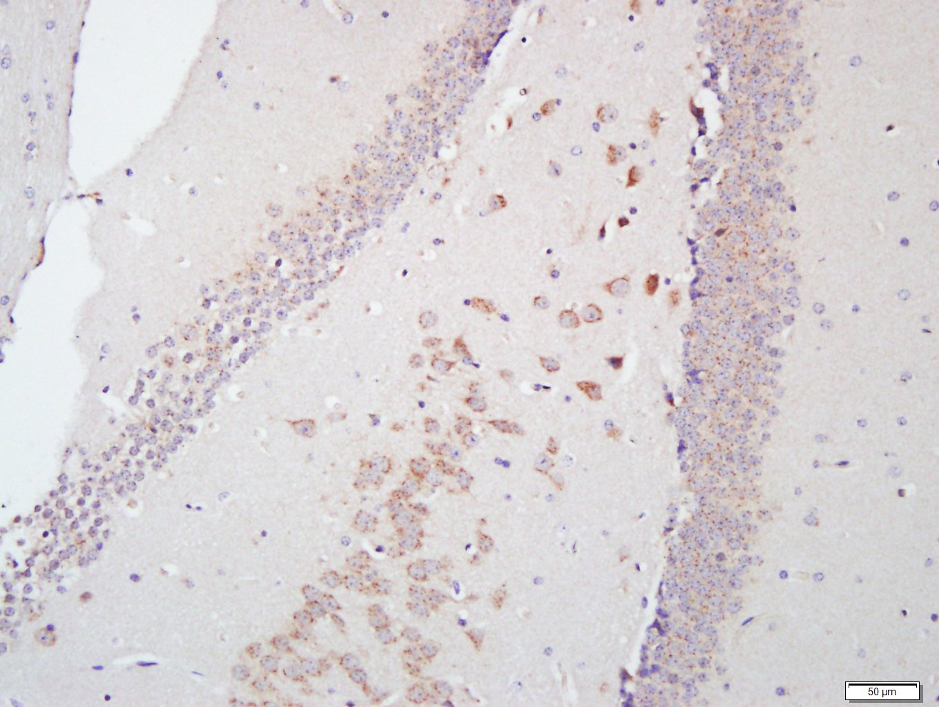
Antigen retrieval: citrate buffer ( 0.01M, pH 6.0 ), Boiling bathing for 15min; Block endogenous peroxidase by 3% Hydrogen peroxide for 30min; Blocking buffer (normal goat serum,C-0005) at 37℃ for 20 min;
Incubation: Anti-FAM134B Polyclonal Antibody, Unconjugated(bs-13136R) 1:200, overnight at 4°C, followed by conjugation to the secondary antibody(SP-0023) and DAB(C-0010) staining




风险提示:丁香通仅作为第三方平台,为商家信息发布提供平台空间。用户咨询产品时请注意保护个人信息及财产安全,合理判断,谨慎选购商品,商家和用户对交易行为负责。对于医疗器械类产品,请先查证核实企业经营资质和医疗器械产品注册证情况。
文献和实验[IF={{ 6.9 }}] {Zhu Yue-qin. et al. Acid-sensing ion channel 1a promotes alcohol-associated liver disease in mice via regulating endoplasmic reticulum autophagy. ACTA PHARMACOL SIN. 2024 Nov;:1-13} {IHC,IF} {Mouse}
[IF={{ 6.384 }}] {Yiyuan Yang. et al. Apelin-13/APJ induces cardiomyocyte hypertrophy by activating the Pannexin-1/P2X7 axis and FAM134B-dependent reticulophagy. 2022 Feb 06} {WB,IF} {Rat,Mouse}
= NAL), appears to form upon oxidative cyclization of the nonfluorescent 2:1 lysine-HNE Michael adduct-Schiff base cross-link (Scheme 1). Polyclonal antibody (PAb) to the NAL-HNE fluorophore was raised in rabbit and found to be highly specific
GE Healthcare Benzamidine Sepharose™ 6B is p-aminobenzamidine covalently attached to Sepharose 6B by the epoxy coupling method. p-Aminobenzamidine (PAB), is a synthetic inhibitor of trypsin-like serine protease. Trypsin and trypsin
Nucleic Acid Programmable Protein Arrays: Versatile Tools for Array‐Based Functional Protein Studies
.g., Sigma) 50 mg/ml bis‐sulfosuccinimdylsuberate (BS3 ;Pierce, cat. no. PI 21580) in dimethylsulfoxide (DMSO) 5 mg/ml
技术资料暂无技术资料 索取技术资料






