相关产品推荐更多 >

human CD40 Mouse mAb, PE conjugated(bsm-30116M-PE)-25T/50T/100T
¥1080
KCNK9 Rabbit pAb, HRP conjugated(bs-5933R-HRP)-100ul
¥2980
LRRC48 Rabbit pAb(bs-18393R)-50ul/100ul/200ul
¥1180
mGluR5 Rabbit pAb, BF594 conjugated(bs-1247R-BF594)-100ul
¥2980
IGSF8 Rabbit pAb, BF750 conjugated(bs-2584R-BF750)-100ul
¥2980
万千商家帮你免费找货
0 人在求购买到急需产品
- 详细信息
- 文献和实验
- 技术资料
- 应用范围:
产品信息以Bioss网站为准
- 规格:
50ul/100ul/200ul
| 规格: | 50ul | 产品价格: | ¥1180.0 |
|---|---|---|---|
| 规格: | 100ul | 产品价格: | ¥1980.0 |
| 规格: | 200ul | 产品价格: | ¥2800.0 |
| 产品编号 | bs-13156R |
| 英文名称 | FHOD3 Rabbit pAb |
| 中文名称 | FHOD3蛋白抗体 |
| 英文别名 | FLJ22717; Formactin2; FH1/FH2 domain containing protein 3; FH1/FH2 domain-containing protein 3; Fhod3; FHOD3_HUMAN; FHOS2; FLJ22297; FLJ22717; Formactin-2; Formactin2; Formin homolog overexpressed in spleen 2; Formin homology 2 domain containing 3; hFHOS2; KIAA1695; mKIAA1695. |
| 产品应用 | IHC-P=1:100-500, IHC-F=1:100-500, IF=1:100-500 Not yet tested in other applications. |
| 交叉反应 | Rat (Human, Mouse, Chicken, Pig, Cow, Horse, Rabbit, Sheep) |
| 抗体来源 | Rabbit |
| 免疫原 | KLH conjugated synthetic peptide derived from human Supervillin |
| 亚型 | IgG |
| 性状 | Liquid |
| 纯化方法 | affinity purified by Protein A |
| 克隆类型 | Polyclonal |
| 理论分子量 | 159 kDa |
| 浓度 | 1mg/ml |
| 储存液 | 0.01M TBS (pH7.4) with 1% BSA, 0.02% Proclin300 and 50% Glycerol. |
| 研究领域 | Signal Transduction > Cytoskeleton / ECM > Cytoskeleton > Microfilaments > Actin etc > Actin Assembly |
| 亚基 | Interacts with nestin/NES-based interfilament (IF) (By similarity). Interacts with SQSTM1; isoform 4 threonine phosphorylation disrupts SQSTM1-binding. |
| 亚细胞定位 | Cytoplasm; cytoskeleton. Main part of the protein localizes to actin fibers and the remaining part displays filamentous staining. |
| 组织特异性 | Expressed in the heart, kidney and brain. |
| 相似性 | Belongs to the formin homology family. Contains 1 DAD (diaphanous autoregulatory) domain. Contains 1 FH1 (formin homology 1) domain. Contains 1 FH2 (formin homology 2) domain. Contains 1 GBD/FH3 (Rho GTPase-binding/formin homology 3) domain. |
| 功能 | Actin-organizing protein that may cause stress fiber formation together with cell elongation. |
| 保存条件 | Shipped at 4℃. Store at -20℃ for one year. Avoid repeated freeze/thaw cycles. |
| 注意事项 | This product as supplied is intended for research use only, not for use in human, therapeutic or diagnostic applications. |
| 背景资料 | FHOD3 (formin homology 2 domain containing 3), also known as FHOS2 or KIAA1695, is a 1,422 amino acid protein that localizes to both the cytoplasm and the cytoskeleton and contains one DAD domain, one FH1 domain, one FH2 domain and one GBD/FH3 domain. Expressed in brain, heart and kidney, FHOD3 interacts with intermediate filaments and functions as an Actin-organizing protein that is thought to promote the formation of stress fibers in conjunction with cellular elongation. Multiple isoforms of FHOD3 exist due to alternative splicing events. The gene encoding FHOD3 maps to human chromosome 18, which houses over 300 protein-coding genes and contains nearly 76 million bases. There are a variety of diseases associated with defects in chromosome 18-localized genes, some of which include Trisomy 18 (also known as Edwards syndrome), Niemann-Pick disease, hereditary hemorrhagic telangiectasia, erythropoietic protoporphyria and follicular lymphomas. |
| 应用 | 推荐稀释比例 |
| {IHC-P} | {1:100-500} |
| {IHC-F} | {1:100-500} |
| {IF} | {1:100-500} |

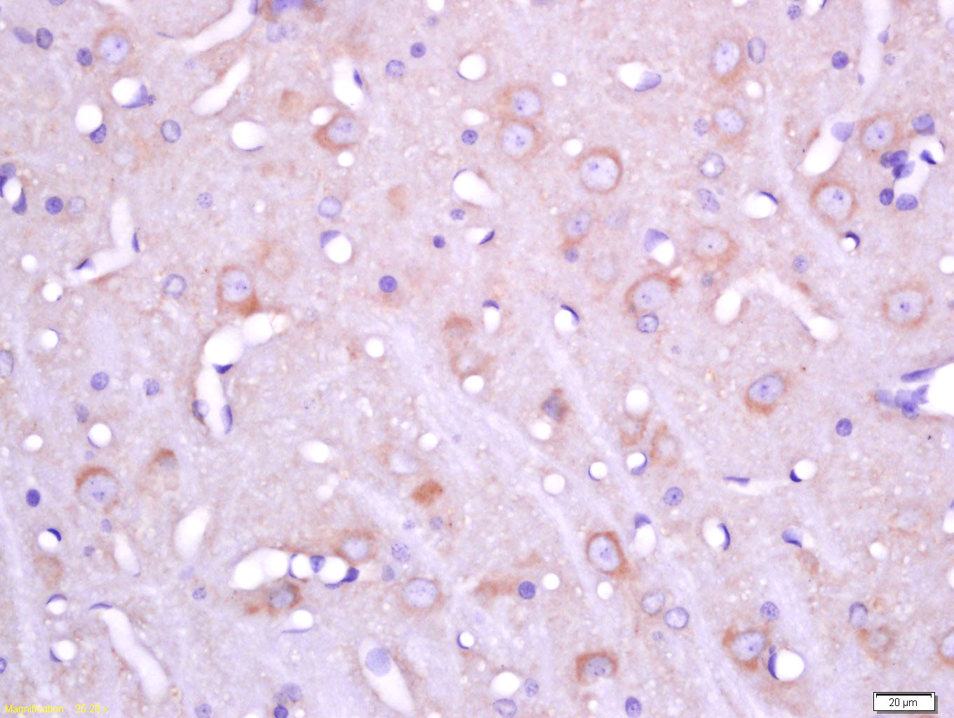
Antigen retrieval: citrate buffer ( 0.01M, pH 6.0 ), Boiling bathing for 15min; Block endogenous peroxidase by 3% Hydrogen peroxide for 30min; Blocking buffer (normal goat serum,C-0005) at 37℃ for 20 min;
Incubation: Anti-FHOD3 Polyclonal Antibody, Unconjugated(bs-13156R) 1:500, overnight at 4°C, followed by conjugation to the secondary antibody(SP-0023) and DAB(C-0010) staining

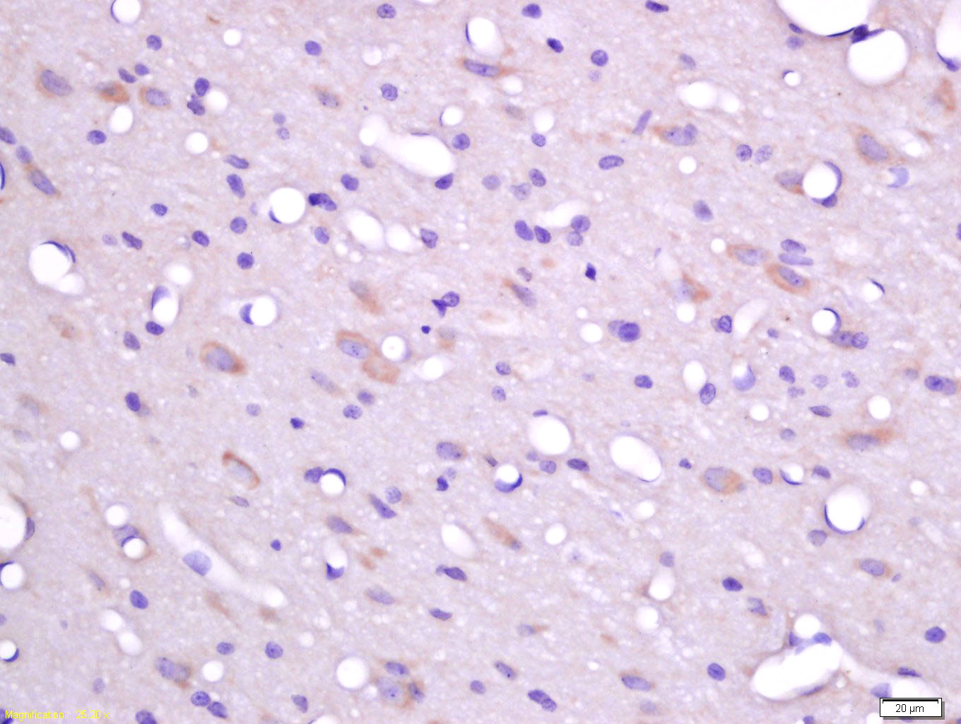
Antigen retrieval: citrate buffer ( 0.01M, pH 6.0 ), Boiling bathing for 15min; Block endogenous peroxidase by 3% Hydrogen peroxide for 30min; Blocking buffer (normal goat serum,C-0005) at 37℃ for 20 min;
Incubation: Anti-FHOD3 Polyclonal Antibody, Unconjugated(bs-13156R) 1:500, overnight at 4°C, followed by conjugation to the secondary antibody(SP-0023) and DAB(C-0010) staining

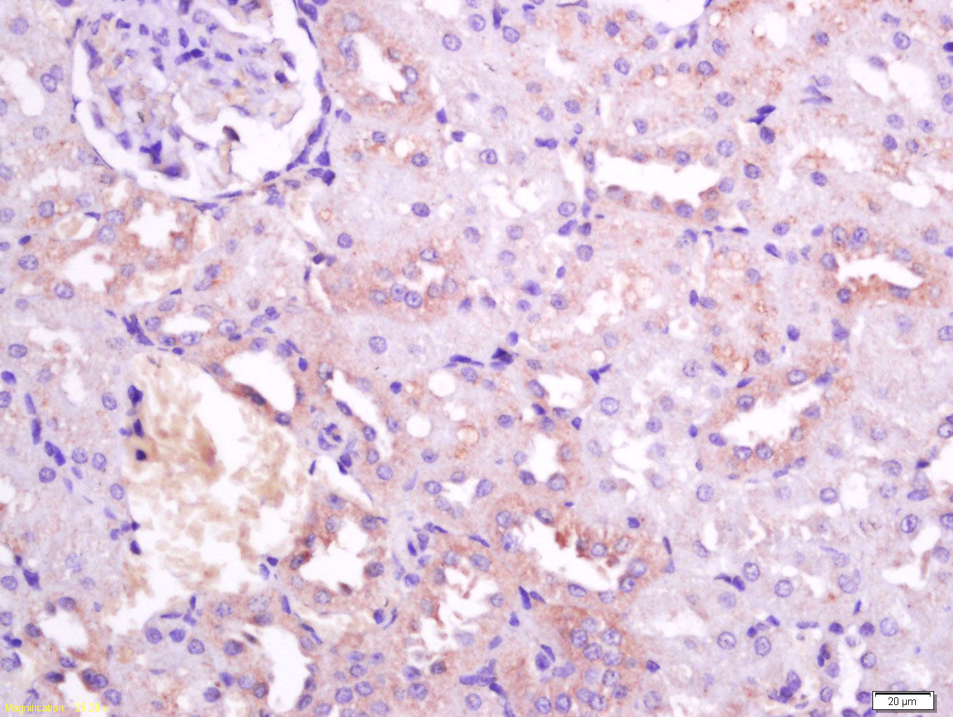
Antigen retrieval: citrate buffer ( 0.01M, pH 6.0 ), Boiling bathing for 15min; Block endogenous peroxidase by 3% Hydrogen peroxide for 30min; Blocking buffer (normal goat serum,C-0005) at 37℃ for 20 min;
Incubation: Anti-FHOD3 Polyclonal Antibody, Unconjugated(bs-13156R) 1:500, overnight at 4°C, followed by conjugation to the secondary antibody(SP-0023) and DAB(C-0010) staining
风险提示:丁香通仅作为第三方平台,为商家信息发布提供平台空间。用户咨询产品时请注意保护个人信息及财产安全,合理判断,谨慎选购商品,商家和用户对交易行为负责。对于医疗器械类产品,请先查证核实企业经营资质和医疗器械产品注册证情况。
文献和实验= NAL), appears to form upon oxidative cyclization of the nonfluorescent 2:1 lysine-HNE Michael adduct-Schiff base cross-link (Scheme 1). Polyclonal antibody (PAb) to the NAL-HNE fluorophore was raised in rabbit and found to be highly specific
GE Healthcare Benzamidine Sepharose™ 6B is p-aminobenzamidine covalently attached to Sepharose 6B by the epoxy coupling method. p-Aminobenzamidine (PAB), is a synthetic inhibitor of trypsin-like serine protease. Trypsin and trypsin
Nucleic Acid Programmable Protein Arrays: Versatile Tools for Array‐Based Functional Protein Studies
.g., Sigma) 50 mg/ml bis‐sulfosuccinimdylsuberate (BS3 ;Pierce, cat. no. PI 21580) in dimethylsulfoxide (DMSO) 5 mg/ml
技术资料暂无技术资料 索取技术资料






