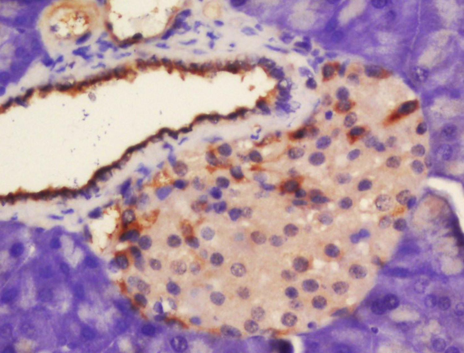
Tissue/cell: rat pancreas tissue; 4% Paraformaldehyde-fixed and paraffin-embedded;
Antigen retrieval: citrate buffer ( 0.01M, pH 6.0 ), Boiling bathing for 15min; Block endogenous peroxidase by 3% Hydrogen peroxide for 30min; Blocking buffer (normal goat serum,C-0005) at 37℃ for 20 min;
Incubation: Anti-Kv beta 2 Polyclonal Antibody, Unconjugated(bs-12182R) 1:200, overnight at 4°C, followed by conjugation to the secondary antibody(SP-0023) and DAB(C-0010) staining
相关产品推荐更多 >

HSP70 Rabbit pAb, BF405 conjugated(bs-0126R-BF405)-100ul
¥2980
phospho-CDKN1B (Ser10) Rabbit pAb, PE-Cy5 conjugated(bs-20074R-PE-Cy5)-100ul
¥2980
GLIS2 Rabbit pAb(bs-11566R)-50ul/100ul/200ul
¥1180
SIRT5 Rabbit pAb, Cy7 conjugated(bs-9456R-Cy7)-100ul
¥2980
CRLS1 Rabbit pAb, Biotin conjugated(bs-14063R-Bio)-100ul
¥2980
万千商家帮你免费找货
0 人在求购买到急需产品
- 详细信息
- 文献和实验
- 技术资料
- 应用范围:
产品信息以Bioss网站为准
- 规格:
50ul/100ul/200ul
| 规格: | 50ul | 产品价格: | ¥1180.0 |
|---|---|---|---|
| 规格: | 100ul | 产品价格: | ¥1980.0 |
| 规格: | 200ul | 产品价格: | ¥2800.0 |
| 产品编号 | bs-12182R |
| 英文名称 | Kv beta 2 Rabbit pAb |
| 中文名称 | 电压门控钾通道蛋白KVβ.2抗体 |
| 英文别名 | AKR6A5; HKv beta 2; HKvbeta 2; HKvbeta2.1; HKvbeta2.2; K(+) channel subunit beta 2; K+channel beta 2 subunit; KCNA2B; KCNAB 2; KCNAB2; KCNK2; Kv beta 2; Kvbeta2; MGC117289; Potassium channel shaker chain beta 2; Potassium voltage gated channel shaker related subfamily; Potassium voltage gated channel shaker related subfamily beta member 2; Voltage gated potassium channel beta 2 subunit; Voltage gated potassium channel subunit beta 2; KCAB2_HUMAN; Voltage-gated potassium channel subunit beta-2; AltName: Full=K(+) channel subunit beta-2; AltName: Full=Kv-beta-2; hKvbeta2. |
| 产品应用 | IHC-P=1:100-500, IHC-F=1:100-500, IF=1:100-500 Not yet tested in other applications. |
| 交叉反应 | Rat (Human, Mouse, Dog, Pig, Cow, Rabbit, Zebrafish, Sheep) |
| 抗体来源 | Rabbit |
| 免疫原 | KLH conjugated synthetic peptide derived from human KCNA2B/Kv beta 2 |
| 亚型 | IgG |
| 性状 | Liquid |
| 纯化方法 | affinity purified by Protein A |
| 克隆类型 | Polyclonal |
| 理论分子量 | 41 kDa |
| 浓度 | 1mg/ml |
| 储存液 | 0.01M TBS (pH7.4) with 1% BSA, 0.02% Proclin300 and 50% Glycerol. |
| 亚基 | Forms heteromultimeric complex with alpha subunits. Forms a ternary complex with SQSTM1 and PRKCZ (By similarity). |
| 亚细胞定位 | Cytoplasmic |
| 翻译后修饰 | Phosphorylated by PRKCZ; may be regulated by incorporation in a complex composed of PRKCZ and SQSTM1 (By similarity). |
| 相似性 | Belongs to the shaker potassium channel beta subunit family. |
| 功能 | Voltage gated potassium (Kv) channels represent the most complex class of voltage gated ion channels from both functional and structural standpoints. Their diverse functions include regulating neurotransmitter release, heart rate, insulin secretion, neuronal excitability, epithelial electrolyte transport, smooth muscle contraction, and cell volume. Four sequence related potassium channel genes: shaker, shaw, shab, and shal, have been identified in Drosophila, and each has been shown to have human homolog(s). This protein belongs to the potassium channel, voltage gated, shaker related subfamily and is one of the beta subunits, which are auxiliary proteins associating with functional Kv alpha subunits. This member alters functional properties of the KCNA4 gene product. Alternative splicing of this gene results in two transcript variants encoding distinct isoforms. |
| 保存条件 | Shipped at 4℃. Store at -20℃ for one year. Avoid repeated freeze/thaw cycles. |
| 注意事项 | This product as supplied is intended for research use only, not for use in human, therapeutic or diagnostic applications. |
| 背景资料 | Voltage-gated potassium (Kv) channels represent the most complex class of voltage-gated ion channels from both functional and structural standpoints. Their diverse functions include regulating neurotransmitter release, heart rate, insulin secretion, neuronal excitability, epithelial electrolyte transport, smooth muscle contraction, and cell volume. Four sequence-related potassium channel genes - shaker, shaw, shab, and shal - have been identified in Drosophila, and each has been shown to have human homolog(s). This gene encodes a member of the potassium channel, voltage-gated, shaker-related subfamily. This member is one of the beta subunits, which are auxiliary proteins associating with functional Kv-alpha subunits. This member alters functional properties of the KCNA4 gene product. Alternative splicing of this gene results in multiple transcript variants encoding distinct isoforms. [provided by RefSeq, Dec 2010] |
| 应用 | 推荐稀释比例 |
| {IHC-P} | {1:100-500} |
| {IHC-F} | {1:100-500} |
| {IF} | {1:100-500} |

风险提示:丁香通仅作为第三方平台,为商家信息发布提供平台空间。用户咨询产品时请注意保护个人信息及财产安全,合理判断,谨慎选购商品,商家和用户对交易行为负责。对于医疗器械类产品,请先查证核实企业经营资质和医疗器械产品注册证情况。
文献和实验该产品被引用文献
[IF={{ 3.4 }}] {Lin-ming Zhang. et al. Identification of key potassium channel genes of temporal lobe epilepsy by bioinformatics analyses and experimental verification. FRONT NEUROL. 2023; 14: 1175007} {IHC} {Mouse}
技术资料暂无技术资料 索取技术资料
文献支持
Kv beta 2 Rabbit pAb(bs-12182R)-50ul/100ul/200ul
¥1180 - 2800





