相关产品推荐更多 >

phospho-AKT (Thr308) Recombinant Rabbit mAb(bsm-60645R)-50ul/100ul/25ul
¥800
IGFBP2 Rabbit pAb, FITC conjugated(bs-1108R-FITC)-100ul
¥2980
phospho-HSP27 (Ser82) Rabbit pAb, APC-Cy7 conjugated(bs-3180R-APC-Cy7)-100ul
¥2980
phospho-CDKN1B (Ser10) Rabbit pAb, PerCP-Cy7 conjugated(bs-20074R-PerCP-Cy7)-100ul
¥2980
AFP Mouse mAb(bsm-43140M)-50ul/100ul/200ul/200ug
¥1180
万千商家帮你免费找货
0 人在求购买到急需产品
- 详细信息
- 文献和实验
- 技术资料
- 应用范围:
产品信息以Bioss网站为准
- 规格:
50ul/100ul/200ul
| 规格: | 50ul | 产品价格: | ¥1180.0 |
|---|---|---|---|
| 规格: | 100ul | 产品价格: | ¥1980.0 |
| 规格: | 200ul | 产品价格: | ¥2800.0 |
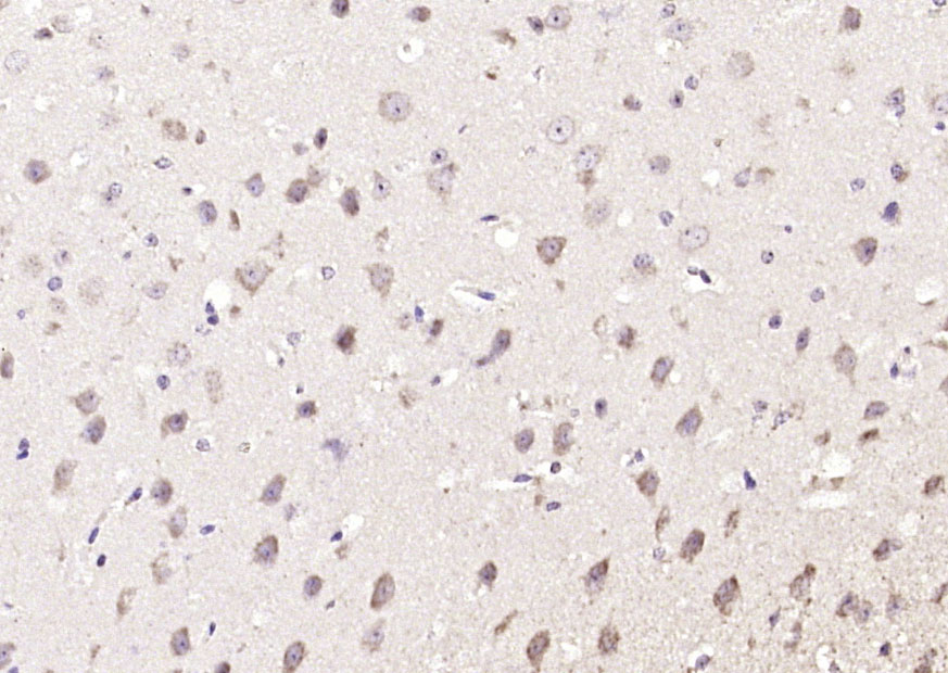
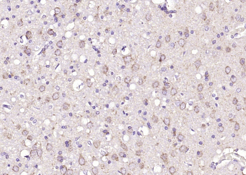
| 产品编号 | bs-8463R |
| 英文名称 | ZNF804A Rabbit pAb |
| 中文名称 | 锌指蛋白804A抗体 |
| 英文别名 | C2orf10; zinc finger protein 804A; Z804A_HUMAN; Zinc finger protein 804A. |
| 产品应用 | IHC-P=1:100-500, IHC-F=1:100-500, IF=1:100-500 Not yet tested in other applications. |
| 交叉反应 | Mouse, Rat (Human, Chicken, Dog, Cow, Horse) |
| 抗体来源 | Rabbit |
| 免疫原 | KLH conjugated synthetic peptide derived from human ZNF804A |
| 亚型 | IgG |
| 性状 | Liquid |
| 纯化方法 | affinity purified by Protein A |
| 克隆类型 | Polyclonal |
| 理论分子量 | 137 kDa |
| 浓度 | 1mg/ml |
| 储存液 | 0.01M TBS (pH7.4) with 1% BSA, 0.02% Proclin300 and 50% Glycerol. |
| 亚基 | Interacts with ATXN1. |
| 相似性 | Contains 1 C2H2-type zinc finger. |
| 保存条件 | Shipped at 4℃. Store at -20℃ for one year. Avoid repeated freeze/thaw cycles. |
| 注意事项 | This product as supplied is intended for research use only, not for use in human, therapeutic or diagnostic applications. |
| 背景资料 | Zinc-finger proteins contain DNA-binding domains and have a wide variety of functions, most of which encompass some form of transcriptional activation or repression. The majority of zinc-finger proteins contain a Krüppel-type DNA binding domain and a KRAB domain, which is thought to interact with KAP1, thereby recruiting histone modifying proteins. ZNF804A is a 1,209 amino acid protein that contains one C2H2-type zinc finger. ZNF804A interacts with Ataxin-1, a protein that is involved in RNA metabolism. The gene encoding ZNF804A maps to human chromosome 2, which consists of 237 million bases and encodes over 1,400 genes, making up approximately 8% of the human genome. A number of genetic diseases are linked to genes on chromosome 2. |
| 应用 | 推荐稀释比例 |
| {IHC-P} | {1:100-500} |
| {IHC-F} | {1:100-500} |
| {IF} | {1:100-500} |


风险提示:丁香通仅作为第三方平台,为商家信息发布提供平台空间。用户咨询产品时请注意保护个人信息及财产安全,合理判断,谨慎选购商品,商家和用户对交易行为负责。对于医疗器械类产品,请先查证核实企业经营资质和医疗器械产品注册证情况。
文献和实验说明书为准。 保存条件及有效期 纤维素 fitc流式ZNF286IHC、FACS、WB、E 1.试剂盒保存:;2-8℃。 2.有效期:6 个月 人一氧化氮(NO)酶联试剂盒说明书 2-甲氧乙基酯 fitc流式ZNF537IHC、FACS、WB、ELISA Rabbit polyclonal to ZNF537 antibody 乙二胺 fitc流式ZNF5IHC、FACS、WB、ELISA Rabbit
= NAL), appears to form upon oxidative cyclization of the nonfluorescent 2:1 lysine-HNE Michael adduct-Schiff base cross-link (Scheme 1). Polyclonal antibody (PAb) to the NAL-HNE fluorophore was raised in rabbit and found to be highly specific
GE Healthcare Benzamidine Sepharose™ 6B is p-aminobenzamidine covalently attached to Sepharose 6B by the epoxy coupling method. p-Aminobenzamidine (PAB), is a synthetic inhibitor of trypsin-like serine protease. Trypsin and trypsin
技术资料暂无技术资料 索取技术资料






