相关产品推荐更多 >

SPDEF Rabbit pAb(bs-1866R)-50ul/100ul/200ul
¥1180
HPV16 E6 + HPV18 E6 Rabbit pAb, Cy7 conjugated(bs-1719R-Cy7)-100ul
¥2980
Synaptopodin Rabbit pAb, BF680 conjugated(bs-14026R-BF680)-100ul
¥2980
Tetanus Toxin heavy chain Rabbit pAb(bs-11772R)-50ul/100ul/200ul
¥1180
Collagen VI alpha 2 Rabbit pAb(bs-13963R)-50ul/100ul/200ul
¥1180
万千商家帮你免费找货
0 人在求购买到急需产品
- 详细信息
- 技术资料
- 应用范围:
产品信息以Bioss网站为准
- 规格:
50ul/100ul/200ul
| 规格: | 50ul | 产品价格: | ¥1180.0 |
|---|---|---|---|
| 规格: | 100ul | 产品价格: | ¥1980.0 |
| 规格: | 200ul | 产品价格: | ¥2800.0 |
| 产品编号 | bs-6799R |
| 英文名称 | Coronin 3 Rabbit pAb |
| 中文名称 | 肌动蛋白结合蛋白3抗体 |
| 英文别名 | CORO 1C; CORO1C; Coronin 1c; Coronin actin binding protein 1C; Coronin1c; Coronin3; CRNN 4; CRNN4; HCRNN 4; HCRNN4; COR1C_HUMAN. |
| 产品应用 | IHC-P=1:100-500, IHC-F=1:100-500, IF=1:100-500 Not yet tested in other applications. |
| 交叉反应 | Mouse (Human, Rat, Dog, Pig, Cow, Horse, Rabbit, Sheep) |
| 抗体来源 | Rabbit |
| 免疫原 | KLH conjugated synthetic peptide derived from human Coronin 3 |
| 亚型 | IgG |
| 性状 | Liquid |
| 纯化方法 | affinity purified by Protein A |
| 克隆类型 | Polyclonal |
| 理论分子量 | 53 kDa |
| 浓度 | 1mg/ml |
| 储存液 | 0.01M TBS (pH7.4) with 1% BSA, 0.02% Proclin300 and 50% Glycerol. |
| 研究领域 | Cell Biology > Apoptosis > Intracellular > Associated Proteins Signal Transduction > Adapters > Cytoplasmic Signal Transduction > Cytoskeleton / ECM > Cytoskeleton > Microfilaments > Actin etc > Actin Binding Proteins |
| 亚基 | Binds actin. |
| 组织特异性 | Ubiquitous. |
| 相似性 | Belongs to the WD repeat coronin family.
Contains 4 WD repeats. |
| 功能 | May be involved in cytokinesis, motility, and signal transduction (By similarity). |
| 保存条件 | Shipped at 4℃. Store at -20℃ for one year. Avoid repeated freeze/thaw cycles. |
| 注意事项 | This product as supplied is intended for research use only, not for use in human, therapeutic or diagnostic applications. |
| 背景资料 | Summary: This gene encodes a member of the WD repeat protein family. WD repeats are minimally conserved regions of approximately 40 amino acids typically bracketed by gly-his and trp-asp (GH-WD), which may facilitate formation of heterotrimeric or multiprotein complexes. Members of this family are involved in a variety of cellular processes, including cell cycle progression, signal transduction, apoptosis, and gene regulation. [provided by RefSeq, Jul 2008]. |
| 应用 | 推荐稀释比例 |
| {IHC-P} | {1:100-500} |
| {IHC-F} | {1:100-500} |
| {IF} | {1:100-500} |

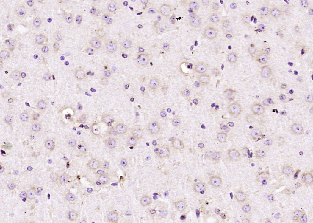
Paraformaldehyde-fixed, paraffin embedded (mouse brain); Antigen retrieval by boiling in sodium citrate buffer (pH6.0) for 15min; Block endogenous peroxidase by 3% hydrogen peroxide for 20 minutes; Blocking buffer (normal goat serum) at 37°C for 30min; Antibody incubation with (Coronin 3) Polyclonal Antibody, Unconjugated (bs-6799R) at 1:200 overnight at 4°C, followed by operating according to SP Kit(Rabbit) (sp-0023) instructionsand DAB staining.
风险提示:丁香通仅作为第三方平台,为商家信息发布提供平台空间。用户咨询产品时请注意保护个人信息及财产安全,合理判断,谨慎选购商品,商家和用户对交易行为负责。对于医疗器械类产品,请先查证核实企业经营资质和医疗器械产品注册证情况。
技术资料暂无技术资料 索取技术资料
Coronin 3 Rabbit pAb(bs-6799R)-50ul/100ul/200ul
¥1180 - 2800






