相关产品推荐更多 >

Complement fragment 3c Rabbit pAb, Biotin conjugated(bs-6416R-Bio)-100ul
¥2980
EAAT1 Rabbit pAb, BF555 conjugated(bs-1003R-BF555)-100ul
¥2980
Lefty/TGF β4 Rabbit pAb(bs-11236R)-50ul/100ul/200ul
¥1180
phospho-MYPT1 (Thr696) Rabbit pAb, PE conjugated(bs-20264R-PE)-100ul
¥2980
CCL26 Rabbit pAb, PE conjugated(bs-15513R-PE)-100ul
¥2980
万千商家帮你免费找货
0 人在求购买到急需产品
- 详细信息
- 文献和实验
- 技术资料
- 应用范围:
产品信息以Bioss网站为准
- 规格:
50ul/100ul/200ul
| 规格: | 50ul | 产品价格: | ¥1180.0 |
|---|---|---|---|
| 规格: | 100ul | 产品价格: | ¥1980.0 |
| 规格: | 200ul | 产品价格: | ¥2800.0 |
| 产品编号 | bs-8212R |
| 英文名称 | TEF4 Rabbit pAb |
| 中文名称 | 转录增强因子TEF4抗体 |
| 英文别名 | Embryonic TEA domain containing factor; Etdf; ETEF 1; ETF; TEA domain family member 2; TEAD 2; TEAD-2; TEAD2; Tead2 protein(TEA domain family member 2(Mapped), isoform CRA_b); TEAD2_HUMAN; TEF 4; TEF4; Transcriptional enhancer factor 4; Transcriptional enhancer factor TEF 4; Transcriptional enhancer factor TEF-4. |
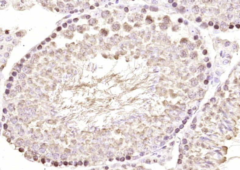
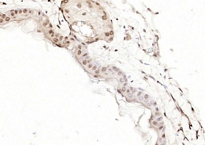
| 产品应用 | WB=1:500-2000, IHC-P=1:100-500, IHC-F=1:100-500, IF=1:100-500 Not yet tested in other applications. |
| 交叉反应 | Mouse, Rat (Human, Dog, Cow, Horse, Rabbit) |
| 抗体来源 | Rabbit |
| 免疫原 | KLH conjugated synthetic peptide derived from human TEA domain family member 2 |
| 亚型 | IgG |
| 性状 | Liquid |
| 纯化方法 | affinity purified by Protein A |
| 克隆类型 | Polyclonal |
| 理论分子量 | 49 kDa |
| 浓度 | 1mg/ml |
| 储存液 | 0.01M TBS (pH7.4) with 1% BSA, 0.02% Proclin300 and 50% Glycerol. |
| 研究领域 | Epigenetics and Nuclear Signaling > Transcription > Other factors Epigenetics and Nuclear Signaling > Transcription > Transcription Factors |
| 亚基 | Interacts with YAP1 and WWTR1/TAZ. |
| 亚细胞定位 | Nucleus. |
| 相似性 | Contains 1 TEA DNA-binding domain. |
| 功能 | Transcription factor which plays a key role in the Hippo signaling pathway, a pathway involved in organ size control and tumor suppression by restricting proliferation and promoting apoptosis. The core of this pathway is composed of a kinase cascade wherein MST1/MST2, in complex with its regulatory protein SAV1, phosphorylates and activates LATS1/2 in complex with its regulatory protein MOB1, which in turn phosphorylates and inactivates YAP1 oncoprotein and WWTR1/TAZ. Acts by mediating gene expression of YAP1 and WWTR1/TAZ, thereby regulating cell proliferation, migration and epithelial mesenchymal transition (EMT) induction. Binds to the SPH and GT-IIC 'enhansons' (5'-GTGGAATGT-3'). May be involved in the gene regulation of neural development. Binds to the M-CAT motif. |
| 保存条件 | Shipped at 4℃. Store at -20℃ for one year. Avoid repeated freeze/thaw cycles. |
| 注意事项 | This product as supplied is intended for research use only, not for use in human, therapeutic or diagnostic applications. |
| 背景资料 | TEF-4 is strongly coexpressed with TEF-1 in mouse mitotic neuroblasts and is also detected in the gut and the nephrogenic region of the kidney. TEF-4 associates with the powerful transcriptional coactivator YAP65 to mediate mitogenic signals. In addition, TEF-4 promotes the activation of the CTP:phosphocholine cytidylyltransferase (CCT) alpha protein, which is the rate-limiting enzyme of phosphatidylcholine biosynthesis, by enhancing the transcriptional activity of Ets-1. |
| 应用 | 推荐稀释比例 |
| {WB} | {1:500-2000} |
| {IHC-P} | {1:100-500} |
| {IHC-F} | {1:100-500} |
| {IF} | {1:100-500} |



Lane 1: Mouse Cerebrum tissue lysates
Lane 2: Rat Cerebrum tissue lysates
Primary: Anti-TEF4 (bs-8212R) at 1/1000 dilution
Secondary: IRDye800CW Goat Anti-Rabbit IgG at 1/20000 dilution
Predicted band size: 49 kDa
Observed band size: 49 kDa
风险提示:丁香通仅作为第三方平台,为商家信息发布提供平台空间。用户咨询产品时请注意保护个人信息及财产安全,合理判断,谨慎选购商品,商家和用户对交易行为负责。对于医疗器械类产品,请先查证核实企业经营资质和医疗器械产品注册证情况。
文献和实验= NAL), appears to form upon oxidative cyclization of the nonfluorescent 2:1 lysine-HNE Michael adduct-Schiff base cross-link (Scheme 1). Polyclonal antibody (PAb) to the NAL-HNE fluorophore was raised in rabbit and found to be highly specific
GE Healthcare Benzamidine Sepharose™ 6B is p-aminobenzamidine covalently attached to Sepharose 6B by the epoxy coupling method. p-Aminobenzamidine (PAB), is a synthetic inhibitor of trypsin-like serine protease. Trypsin and trypsin
Nucleic Acid Programmable Protein Arrays: Versatile Tools for Array‐Based Functional Protein Studies
.g., Sigma) 50 mg/ml bis‐sulfosuccinimdylsuberate (BS3 ;Pierce, cat. no. PI 21580) in dimethylsulfoxide (DMSO) 5 mg/ml
技术资料暂无技术资料 索取技术资料





