相关产品推荐更多 >

EZH2 Rabbit pAb, Cy3 conjugated(bs-3521R-Cy3)-100ul
¥2980
C2orf63 Rabbit pAb, Biotin conjugated(bs-16119R-Bio)-100ul
¥2980
STRA6 Rabbit pAb, APC conjugated(bs-12351R-APC)-100ul
¥2980
phospho-Beta catenin (Ser675) Rabbit pAb, Cy3 conjugated(bs-3087R-Cy3)-100ul
¥2980
Integrin Alpha V + Beta 1 Rabbit pAb, HRP conjugated(bs-2016R-HRP)-100ul
¥2980
万千商家帮你免费找货
0 人在求购买到急需产品
- 详细信息
- 文献和实验
- 技术资料
- 应用范围:
产品信息以Bioss网站为准
- 规格:
50ul/100ul/200ul
| 规格: | 50ul | 产品价格: | ¥1180.0 |
|---|---|---|---|
| 规格: | 100ul | 产品价格: | ¥1980.0 |
| 规格: | 200ul | 产品价格: | ¥2800.0 |
| 产品编号 | bs-1088R |
| 英文名称 | T Beta 10 Rabbit pAb |
| 中文名称 | 胸腺素β10抗体 |
| 英文别名 | MIG 12; MIG12; Migration inducing gene 12; Migration inducing protein 12; Ptmb10; TB 10; TB10; Thyb 10; Thyb10; Thymosin beta-10; Thymosin beta 10; TMSB10; TYB10_HUMAN |
| 产品应用 | IHC-P=1:100-500, IHC-F=1:100-500, IF=1:100-500 Not yet tested in other applications. |
| 交叉反应 | Mouse (Human, Rat, Chicken, Dog, Pig, Cow, Horse) |
| 抗体来源 | Rabbit |
| 免疫原 | KLH conjugated synthetic peptide derived from human T Beta 10 |
| 亚型 | IgG |
| 性状 | Liquid |
| 纯化方法 | affinity purified by Protein A |
| 克隆类型 | Polyclonal |
| 理论分子量 | 4.9 kDa |
| 浓度 | 1mg/ml |
| 储存液 | 0.01M TBS (pH7.4) with 1% BSA, 0.02% Proclin300 and 50% Glycerol. |
| 亚细胞定位 | Cytoplasm, cytoskeleton. |
| 相似性 | Belongs to the thymosin beta family. |
| 功能 | Plays an important role in the organization of the cytoskeleton. Binds to and sequesters actin monomers (G actin) and therefore inhibits actin polymerization. |
| 保存条件 | Shipped at 4℃. Store at -20℃ for one year. Avoid repeated freeze/thaw cycles. |
| 注意事项 | This product as supplied is intended for research use only, not for use in human, therapeutic or diagnostic applications. |
| 背景资料 | The beta thymosins are a family of related peptides, initially isolated from calf thymus but known to be present in a wide variety of mammalian and other vertebrate cells and tissues. Thymosin beta 4 was the first member of the family to be characterized. Although TMSB4 was initially proposed to be a thymic hormone acting at early stages of T cell maturation, the high concentration of the protein and its mRNA in a number of other tissues and cells, as well as the lack of an identifiable secretory signal sequence, suggested that it had a general function in many cell types. Thymosin beta 10 is closely related in sequence to TMSB4 and is also an actin sequestering protein. |
| 应用 | 推荐稀释比例 |
| {IHC-P} | {1:100-500} |
| {IHC-F} | {1:100-500} |
| {IF} | {1:100-500} |

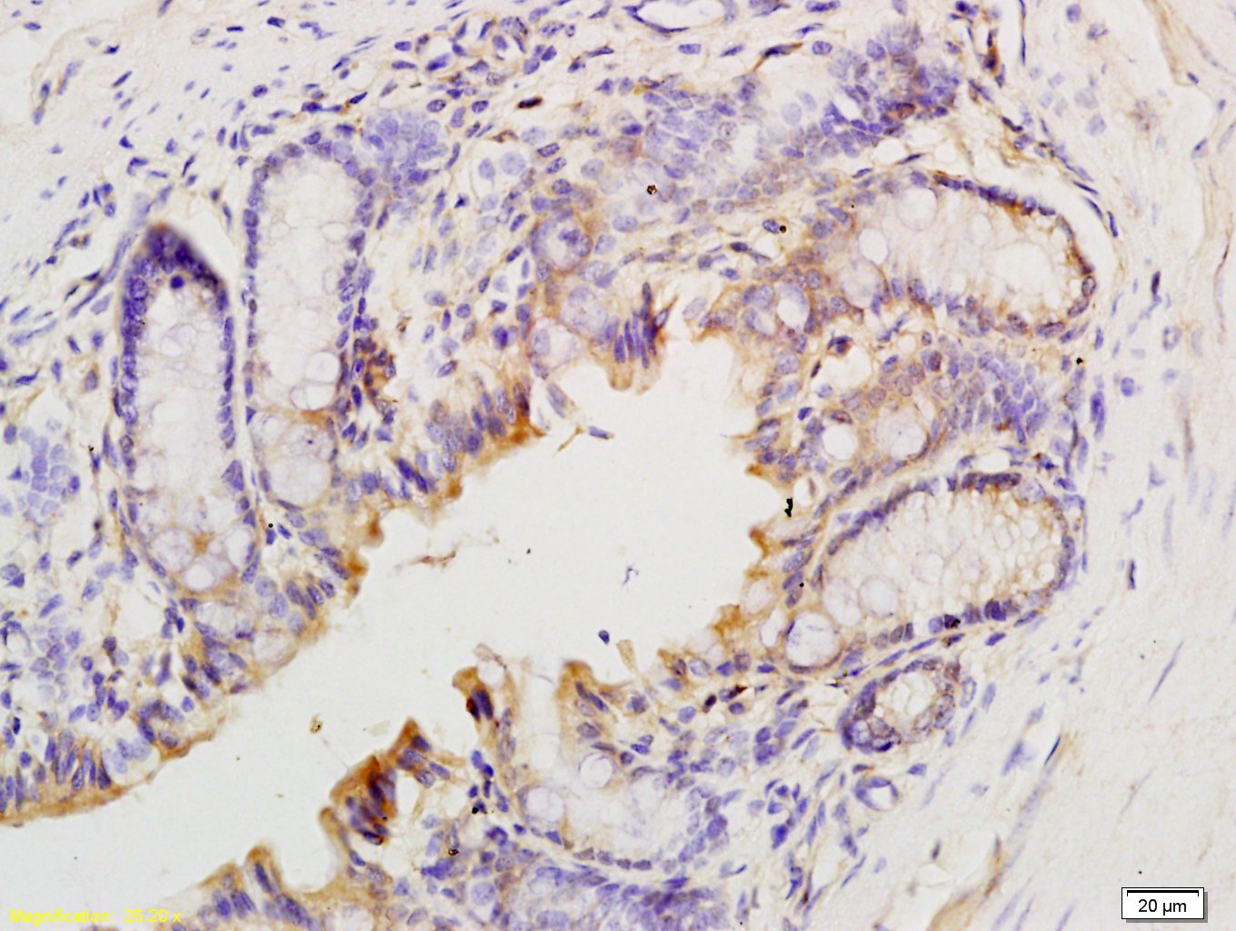
Antigen retrieval: citrate buffer ( 0.01M, pH 6.0 ), Boiling bathing for 15min; Block endogenous peroxidase by 3% Hydrogen peroxide for 30min; Blocking buffer (normal goat serum,C-0005) at 37℃ for 20 min;
Incubation: Anti-T-Beta-10 Polyclonal Antibody, Unconjugated(bs-R) 1:200, overnight at 4°C, followed by conjugation to the secondary antibody(SP-0023) and DAB(C-0010) staining
风险提示:丁香通仅作为第三方平台,为商家信息发布提供平台空间。用户咨询产品时请注意保护个人信息及财产安全,合理判断,谨慎选购商品,商家和用户对交易行为负责。对于医疗器械类产品,请先查证核实企业经营资质和医疗器械产品注册证情况。
文献和实验[IF={{ 5.6 }}] {Rong Tang. et al. Single-cell transcriptomics uncover hub genes and cell–cell crosstalk in patients with hypertensive nephropathy. INT IMMUNOPHARMACOL. 2023 Dec;125:111104} {IHC} {Human,Mouse}
fengtingting2010 小鼠T细胞中beta-Actin的含量是多少啊,我要算小鼠T细胞中Foxp3的含量,如何知道呢?还有Western blot的抗体最适的稀释度如何确定,是全部做完后,拍片才能确定吗?一般加的抗体的体积是固定的吗?是10ul吗? fengtingting2010 如果上样量是20ug,体积是10ul。一抗和二抗的稀释度和体积如何确定呢?如何知道目的蛋白的丰度?万一目的蛋白的量仅在ng级别
Beta-Gal staining in primary neurons
Beta-Gal staining in primary neurons Fix cells w/ 4 ml fix soln/10cm or 60 cm dish, 37 C, 5 min Fix soln.: for 100 ml (use w/i 1 wk) 5.4 ml 37 % formaldehyde (Final 2%) 800 ul 25% Glutaraldehyde (fin
Genotyping of Mutation in the Beta-Globin Gene Using DNA Microarrays
of probes that are specific for wild-type sequences or the mutated sequences, respectively. The method makes use of agarose film-coated glass slides, unmodified DNA probes, target preparation using T7 in vitro transcription, labeling of target using biotin
技术资料暂无技术资料 索取技术资料





