相关产品推荐更多 >

SET Rabbit pAb, APC conjugated(bs-5943R-APC)-100ul
¥2980
GPCR ORF4/GPCR GPR137 Rabbit pAb, APC conjugated(bs-16270R-APC)-100ul
¥2980
phospho-inaD (Thr666) Rabbit pAb(bs-16639R)-50ul/100ul/200ul
¥1180
ADM receptor Rabbit pAb(bs-22054R)-50ul/100ul/200ul
¥1180
PBOV1 Rabbit pAb(bs-5939R)-50ul/100ul/200ul
¥1180
万千商家帮你免费找货
0 人在求购买到急需产品
- 详细信息
- 文献和实验
- 技术资料
- 应用范围:
产品信息以Bioss网站为准
- 规格:
50ul/100ul/200ul
| 规格: | 50ul | 产品价格: | ¥1180.0 |
|---|---|---|---|
| 规格: | 100ul | 产品价格: | ¥1980.0 |
| 规格: | 200ul | 产品价格: | ¥2800.0 |
| 产品编号 | bs-8845R |
| 英文名称 | Synaptophysin Rabbit pAb |
| 中文名称 | 突触小泡蛋白P38抗体 |
| 英文别名 | Major synaptic vesicle protein P38; MRXSYP; Syn p38; SYP; SYPH; SYPH_HUMAN; SypI. |
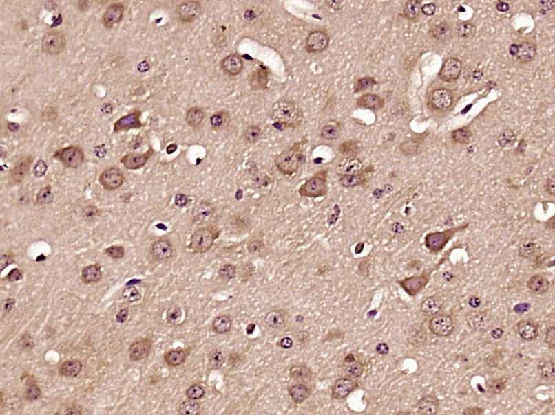
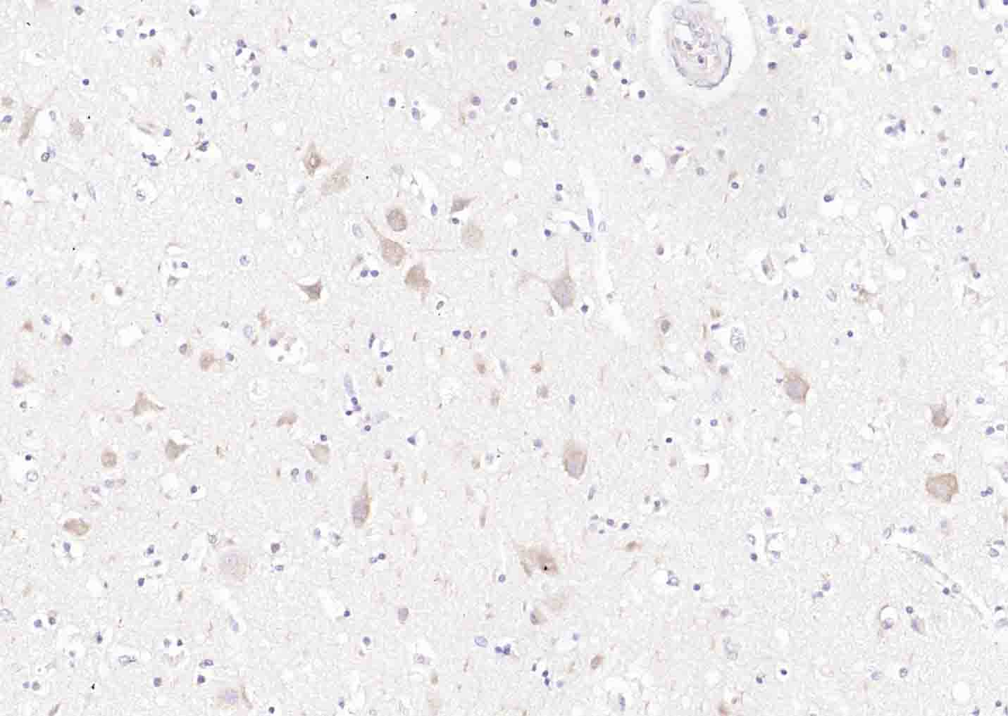
| 产品应用 | WB=1:500-2000, IHC-P=1:100-500, IHC-F=1:100-500, IF=1:100-500 Not yet tested in other applications. |
| 交叉反应 | Human, Mouse, Cerebrum, Cerebrum (Rat, Pig, Cow, Horse, Rabbit, Sheep) |
| 抗体来源 | Rabbit |
| 免疫原 | KLH conjugated synthetic peptide derived from human Synaptophysin |
| 亚型 | IgG |
| 性状 | Liquid |
| 纯化方法 | affinity purified by Protein A |
| 克隆类型 | Polyclonal |
| 理论分子量 | 34 kDa |
| 浓度 | 1mg/ml |
| 储存液 | 0.01M TBS (pH7.4) with 1% BSA, 0.02% Proclin300 and 50% Glycerol. |
| 研究领域 | Neuroscience > Cell Type Marker > Neuron marker > Synapse marker Neuroscience > Neurotransmission > Secretory Vesicles > SNAPs & SNAREs |
| 亚细胞定位 | Cytoplasmic vesicle > secretory vesicle > synaptic vesicle membrane. Cell junction > synapse > synaptosome. |
| 组织特异性 | Characteristic of a type of small (30-80 nm) neurosecretory vesicles, including presynaptic vesicles, but also vesicles of various neuroendocrine cells of both neuronal and epithelial phenotype. |
| 翻译后修饰 | Ubiquitinated; mediated by SIAH1 or SIAH2 and leading to its subsequent proteasomal degradation. |
| 相似性 | Belongs to the synaptophysin/synaptobrevin family. Contains 1 MARVEL domain. |
| 功能 | Possibly involved in structural functions as organizing other membrane components or in targeting the vesicles to the plasma membrane. Involved in the regulation of short-term and long-term synaptic plasticity. |
| 保存条件 | Shipped at 4℃. Store at -20℃ for one year. Avoid repeated freeze/thaw cycles. |
| 注意事项 | This product as supplied is intended for research use only, not for use in human, therapeutic or diagnostic applications. |
| 背景资料 | This gene encodes an integral membrane protein of small synaptic vesicles in brain and endocrine cells. The protein also binds cholesterol and is thought to direct targeting of vesicle-associated membrane protein 2 (synaptobrevin) to intracellular compartments. Mutations in this gene are associated with X-linked mental retardation (XLMR). [provided by RefSeq, Aug 2011] |
| 应用 | 推荐稀释比例 |
| {WB} | {1:500-2000} |
| {IHC-P} | {1:100-500} |
| {IHC-F} | {1:100-500} |
| {IF} | {1:100-500} |



Cerebrum (mouse) Lysate at 40 ug
Primary: Anti- Synaptophysin (bs-8845R) at 1/300 dilution
Secondary: IRDye800CW Goat Anti-Rabbit IgG at 1/20000 dilution
Predicted band size: 34 kD
Observed band size: 34 kD

风险提示:丁香通仅作为第三方平台,为商家信息发布提供平台空间。用户咨询产品时请注意保护个人信息及财产安全,合理判断,谨慎选购商品,商家和用户对交易行为负责。对于医疗器械类产品,请先查证核实企业经营资质和医疗器械产品注册证情况。
文献和实验[IF={{ 5.702 }}] {Yue-Ming Zhang. et al. Long-term environmental enrichment overcomes depression, learning, and memory impairment in elderly CD-1 mice with maternal sleep deprivation exposure. FRONT AGING NEUROSCI. 2023; 15: 1177250} {WB} {Mouse}
[IF={{ 3.6 }}] {Yue-Ming Zhang. et al. Resveratrol prevents cognitive deficits induced by sleep deprivation via modulating sirtuin 1 associated pathways in the hippocampus. J BIOCHEM MOL TOXIC. 2024 Mar;38(4):e23698} {WB} {Mouse}
[IF={{ 3.4 }}] {Ru-Meng Wei. et al. Melatonin attenuates intermittent hypoxia-induced cognitive impairment in aged mice: The role of inflammation and synaptic plasticity. PSYCHONEUROENDOCRINO. 2025 Jan;171:107210} {WB} {Mouse}
[IF={{ 3.3 }}] {Yue-Ming Zhang. et al. Sleep deprivation aggravates lipopolysaccharide-induced anxiety, depression and cognitive impairment: The role of pro-inflammatory cytokines and synaptic plasticity-associated proteins. J NEUROIMMUNOL. 2024 Jan;386:578252} {WB} {Mouse}
[IF={{ 3.1 }}] {Yue-Ming Zhang. et al. Melatonin improves maternal sleep deprivation-induced learning and memory impairment, inflammation, and synaptic dysfunction in murine male adult offspring. BRAIN BEHAV. 2024 May;14(5):e3515} {WB} {Mouse}
= NAL), appears to form upon oxidative cyclization of the nonfluorescent 2:1 lysine-HNE Michael adduct-Schiff base cross-link (Scheme 1). Polyclonal antibody (PAb) to the NAL-HNE fluorophore was raised in rabbit and found to be highly specific
Immunohistochemistry / Immunocytochemistry Procedures
of fixative for each antigen. However frozen sections give less morphological detail and resolution than other methods. Rabbit anti-alpha-internexin (Cat No. AB5354
All-in-One Kit for Immunohistochemical Staining for Tissues with Antibodies
, and Ki-67 antibodies), while the staining of many other antibodies may be enhanced by epitope retrieval protocol (e.g, S-100, cytokeratin, and synaptophysin antibodies). You may use any other epitope retrieval protocol recommended by the supplier
技术资料暂无技术资料 索取技术资料





