相关产品推荐更多 >

CGR19 Rabbit pAb(bs-6373R)-50ul/100ul/200ul
¥1180
phospho-IKB alpha (Ser32) Rabbit pAb, PE-Cy7 conjugated(bs-18128R-PE-Cy7)-100ul
¥2980
TAZ Rabbit pAb, BF405 conjugated(bs-12367R-BF405)-100ul
¥2980
phospho-TNK1 (Tyr277) Rabbit pAb(bs-3450R)-50ul/100ul/200ul
¥1180
MFF Rabbit pAb(bs-7628R)-50ul/100ul/200ul
¥1180
万千商家帮你免费找货
0 人在求购买到急需产品
- 详细信息
- 文献和实验
- 技术资料
- 应用范围:
产品信息以Bioss网站为准
- 规格:
50ul/100ul/200ul
| 规格: | 50ul | 产品价格: | ¥1180.0 |
|---|---|---|---|
| 规格: | 100ul | 产品价格: | ¥1980.0 |
| 规格: | 200ul | 产品价格: | ¥2800.0 |
| 产品编号 | bs-11670R |
| 英文名称 | SETDB1/KMT1E Rabbit pAb |
| 中文名称 | 组蛋白H3K9甲基转移酶4抗体 |
| 英文别名 | KMT1E/SETDB1; ERG-associated protein with SET domain; ESET; H3 K9 HMTase 4; H3 lysine 9 specific 4; H3-K9-HMTase 4; H3-K9-HMTase4; Histone H3 K9 methyltransferase 4; Histone H3-K9 methyltransferase 4; Histone lysine N methyltransferase; Histone-lysine N-methyltransferase SETDB1; KG1T; KIAA00067; KIAA0067; KMT1E; Lysine N-methyltransferase 1E; MGC90670; mKIAA0067; SET domain bifurcated 1; Set domain protein, bifurcated, 1; SETB; SETB1_HUMAN; SETDB1; Similar to DNA topoisomerase II. |
| 产品应用 | IHC-P=1:100-500, IHC-F=1:100-500, IF=1:100-500 Not yet tested in other applications. |
| 交叉反应 | Rat (Human, Mouse, Dog, Pig, Cow, Horse, Rabbit, Sheep) |
| 抗体来源 | Rabbit |
| 免疫原 | KLH conjugated synthetic peptide derived from human KMT1E |
| 亚型 | IgG |
| 性状 | Liquid |
| 纯化方法 | affinity purified by Protein A |
| 克隆类型 | Polyclonal |
| 理论分子量 | 143 kDa |
| 实际分子量 | 160-180kDa |
| 浓度 | 1mg/ml |
| 储存液 | 0.01M TBS (pH7.4) with 1% BSA, 0.02% Proclin300 and 50% Glycerol. |
| 研究领域 | Epigenetics and Nuclear Signaling > Chromatin Modifying Enzymes > Methylation Epigenetics and Nuclear Signaling > Chromatin Modifying Enzymes > Methylation > Lysine methylation |
| 亚基 | Interacts with MBD1; interaction is abolished when MBD1 is sumoylated. Interacts with ATF7IP and ATF7IP2; the interaction with ATF7IP is required to stimulate histone methyltransferase activity and facilitate the conversion of dimethylated to trimethylated H3 'Lys-9'. During DNA replication, it is recruited by SETDB1 to form a S phase-specific complex that facilitates methylation of H3 'Lys-9' during replication-coupled chromatin assembly and is at least composed of the CAF-1 subunit CHAF1A, MBD1 and SETDB1. Interacts with ERG, TRIM28/TIF1B, CBX1, CBX5, CHD7, DNMT3A, HDAC1, HDAC2, NLK, PPARG, SIN3A, SIN3B, DNMT3B and SUMO2. Interacts with MPHOSPH8. |
| 亚细胞定位 | Nucleus. Chromosome. Associated with non-pericentromeric regions of chromatin. Excluded from nucleoli and islands of condensed chromatin. |
| 组织特异性 | Widely expressed. High expression in testis. |
| 相似性 | Belongs to the histone-lysine methyltransferase family. Suvar3-9 subfamily.
Contains 1 MBD (methyl-CpG-binding) domain. Contains 1 post-SET domain. Contains 1 pre-SET domain. Contains 1 SET domain. Contains 2 Tudor domains. |
| 功能 | Histone methyltransferase that specifically trimethylates 'Lys-9' of histone H3. H3 'Lys-9' trimethylation represents a specific tag for epigenetic transcriptional repression by recruiting HP1 (CBX1, CBX3 and/or CBX5) proteins to methylated histones. Mainly functions in euchromatin regions, thereby playing a central role in the silencing of euchromatic genes. H3 'Lys-9' trimethylation is coordinated with DNA methylation. Probably forms a complex with MBD1 and ATF7IP that represses transcription and couples DNA methylation and histone 'Lys-9' trimethylation. Its activity is dependent on MBD1 and is heritably maintained through DNA replication by being recruited by CAF-1. SETDB1 is targeted to histone H3 by TRIM28/TIF1B, a factor recruited by KRAB zinc-finger proteins. |
| 保存条件 | Shipped at 4℃. Store at -20℃ for one year. Avoid repeated freeze/thaw cycles. |
| 注意事项 | This product as supplied is intended for research use only, not for use in human, therapeutic or diagnostic applications. |
| 背景资料 | This gene encodes a histone methyltransferase which regulates histone methylation, gene silencing, and transcriptional repression. This gene has been identified as a target for treatment in Huntington Disease, given that gene silencing and transcription dysfunction likely play a role in the disease pathogenesis. Alternatively spliced transcript variants of this gene have been described.[provided by RefSeq, Jun 2011] |
| 应用 | 推荐稀释比例 |
| {IHC-P} | {1:100-500} |
| {IHC-F} | {1:100-500} |
| {IF} | {1:100-500} |

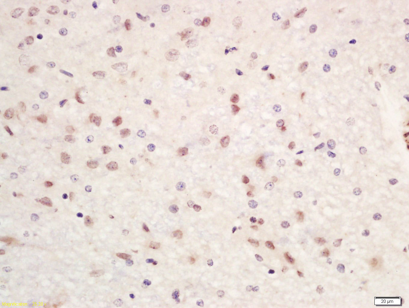
Antigen retrieval: citrate buffer ( 0.01M, pH 6.0 ), Boiling bathing for 15min; Block endogenous peroxidase by 3% Hydrogen peroxide for 30min; Blocking buffer (normal goat serum,C-0005) at 37℃ for 20 min;
Incubation: Anti-SETDB1 / KMT1E Polyclonal Antibody, Unconjugated(bs-11670R) 1:200, overnight at 4°C, followed by conjugation to the secondary antibody(SP-0023) and DAB(C-0010) staining
风险提示:丁香通仅作为第三方平台,为商家信息发布提供平台空间。用户咨询产品时请注意保护个人信息及财产安全,合理判断,谨慎选购商品,商家和用户对交易行为负责。对于医疗器械类产品,请先查证核实企业经营资质和医疗器械产品注册证情况。
文献和实验[IF={{ 8.1 }}] {Marco, Asaf, et al. "DNA CpG Methylation (5mC) and Its Derivative (5hmC) Alter Histone Post Translational Modifications at the Pomc Promoter, Affecting the Impact of Perinatal Diet on Leanness and Obesity of the Offspring." Diabetes (2016): db151608.} {WB,IP} {="Rat"}
[IF={{ 4.4 }}] {Yesim Bilmez. et al.Histone lysine methyltransferases and their specific methylation marks show significant changes in mouse testes from young to older ages.BIOGERONTOLOGY.2025 Jan 20;26(1):42.} {IHC} {Mouse}
[IF={{ 4.304 }}] {Bilmez, Yesim. et al. Expression of the histone lysine methyltransferases SETD1B, SETDB1, SETD2, and CFP1 exhibits significant changes in the oocytes and granulosa cells of aged mouse ovaries. HISTOCHEM CELL BIOL. 2022 Apr;:1-17} {IHC} {Mouse}
= NAL), appears to form upon oxidative cyclization of the nonfluorescent 2:1 lysine-HNE Michael adduct-Schiff base cross-link (Scheme 1). Polyclonal antibody (PAb) to the NAL-HNE fluorophore was raised in rabbit and found to be highly specific
2F+DwTquooTcizAj6Sh40arj1e+iWJ2ispgsbT801bWi9OaaVDQ0u7N9Rf22Q7je3ypEkT/aXtAx/4gHh20RbetchuWXizve3YY/3L0LGHHqt8Cva+97zf/vEfvyYb4imWXpTxLz8m4rvgjodswc3X26Xnn2o3LbjZPv/Fv5GGuGa33/ZzO2n2HD17NAEWeUXwmQh44uy32U+uutL+69e+6jjedfsddvSxx3m8xNNFQ67wipqQKHyESZ35
GE Healthcare Benzamidine Sepharose™ 6B is p-aminobenzamidine covalently attached to Sepharose 6B by the epoxy coupling method. p-Aminobenzamidine (PAB), is a synthetic inhibitor of trypsin-like serine protease. Trypsin and trypsin
技术资料暂无技术资料 索取技术资料






