相关产品推荐更多 >

Anti-human ERBB1 / EGFR / HER1 (Imgatuzumab Biosimilar)(BIO0570SM)-1mg/5mg/20mg
¥3200
FMNL3 Rabbit pAb, BF488 conjugated(bs-16151R-BF488)-100ul
¥2980
RERE Rabbit pAb(bs-7077R)-50ul/100ul/200ul
¥1180
HO-2 Rabbit pAb, PerCP-Cy5.5 conjugated(bs-1238R-PerCP-Cy5.5)-100ul
¥2980
phospho-TrkA (Tyr496) +TrkB(Tyr516) Rabbit pAb, BF594 conjugated(bs-3456R-BF594)-100ul
¥2980
万千商家帮你免费找货
0 人在求购买到急需产品
- 详细信息
- 文献和实验
- 技术资料
- 应用范围:
产品信息以Bioss网站为准
- 规格:
50ul/100ul/200ul
| 规格: | 50ul | 产品价格: | ¥1180.0 |
|---|---|---|---|
| 规格: | 100ul | 产品价格: | ¥1980.0 |
| 规格: | 200ul | 产品价格: | ¥2800.0 |
| 产品编号 | bs-9673R |
| 英文名称 | ZNF144 Rabbit pAb |
| 中文名称 | 锌指蛋白144抗体 |
| 英文别名 | DNA binding protein Mel 18; DNA-binding protein Mel-18; Mel 18; MEL-18; MGC10545; PCGF 2; PCGF2; PCGF2_HUMAN; Polycomb group ring finger 2; Polycomb group RING finger protein 2; Ring finger protein 110; RNF 110; RNF110; Zinc finger protein 144; ZNF 144; ZNF144. |
| 产品应用 | WB=1:500-2000, IHC-P=1:100-500, IHC-F=1:100-500, IF=1:100-500 Not yet tested in other applications. |
| 交叉反应 | Human, Rat (Mouse, Chicken, Dog, Pig, Cow, Horse) |
| 抗体来源 | Rabbit |
| 免疫原 | KLH conjugated synthetic peptide derived from human Mel18/ZNF144 |
| 亚型 | IgG |
| 性状 | Liquid |
| 纯化方法 | affinity purified by Protein A |
| 克隆类型 | Polyclonal |
| 理论分子量 | 38/60 kDa |
| 浓度 | 1mg/ml |
| 储存液 | 0.01M TBS (pH7.4) with 1% BSA, 0.02% Proclin300 and 50% Glycerol. |
| 研究领域 | Cell Biology > Proteolysis / Ubiquitin > Proteasome / Ubiquitin > Ubiquitin E3 Enzymes > RING Finger E3 Ligase Epigenetics and Nuclear Signaling > Chromatin Remodeling > Polycomb Silencing > PRC1 Epigenetics and Nuclear Signaling > Transcription > Cancer susceptibility > Tumor Suppressors Stem Cells > Hematopoietic Progenitors > Surface Molecules |
| 亚基 | Transcriptional repressor. Binds specifically to the DNA sequence 5'-GACTNGACT-3'. Has tumor suppressor activity. May play a role in control of cell proliferation and/or neural cell development. Regulates proliferation of early T progenitor cells by maintaining expression of HES1. Also plays a role in antero-posterior specification of the axial skeleton and negative regulation of the self-renewal activity of hematopoietic stem cells. Component of the Polycomb group (PcG) multiprotein PRC1 complex, a complex required to maintain the transcriptionally repressive state of many genes, including Hox genes, throughout development. PcG PRC1 complex acts via chromatin remodeling and modification of histones; it mediates monoubiquitination of histone H2A 'Lys-119', rendering chromatin heritably changed in its expressibility. |
| 亚细胞定位 | Nucleus. |
| 组织特异性 | Detected in all tissues examined with high expression found in placenta lung and kidney and low expression, in liver, pancreas and skeletal muscle. |
| 翻译后修饰 | Phosphorylated. Homodimer formation is regulated by phosphorylation state with unphosphorylated protein forming homodimers. |
| 相似性 | Contains 1 RING-type zinc finger. |
| 功能 | Transcriptional repressor. Binds specifically to the DNA sequence 5'-GACTNGACT-3'. Has tumor suppressor activity. May play a role in control of cell proliferation and/or neural cell development. Regulates proliferation of early T progenitor cells by maintaining expression of HES1. Also plays a role in antero-posterior specification of the axial skeleton and negative regulation of the self-renewal activity of hematopoietic stem cells. Component of a Polycomb group (PcG) multiprotein PRC1-like complex, a complex class required to maintain the transcriptionally repressive state of many genes, including Hox genes, throughout development. PcG PRC1 complex acts via chromatin remodeling and modification of histones; it mediates monoubiquitination of histone H2A 'Lys-119', rendering chromatin heritably changed in its expressibility. Is not functionally redundant with Bmi1; unlike Bmi1 does not stimulate the E3 ubiquitin-protein ligase activity in a reconstituted PRC1-like complex. |
| 保存条件 | Shipped at 4℃. Store at -20℃ for one year. Avoid repeated freeze/thaw cycles. |
| 注意事项 | This product as supplied is intended for research use only, not for use in human, therapeutic or diagnostic applications. |
| 背景资料 | The protein encoded by this gene contains a RING finger motif and is similar to the polycomb group (PcG) gene products. PcG gene products form complexes via protein-protein interaction and maintain the transcription repression of genes involved in embryogenesis, cell cycles, and tumorigenesis. This protein was shown to act as a negative regulator of transcription and has tumor suppressor activity. The expression of this gene was detected in various tumor cells, but is limited in neural organs in normal tissues. Knockout studies in mice suggested that this protein may negatively regulate the expression of different cytokines, chemokines, and chemokine receptors, and thus plays an important role in lymphocyte differentiation and migration, as well as in immune responses. [provided by RefSeq, Jul 2008] |
| 应用 | 推荐稀释比例 |
| {WB} | {1:500-2000} |
| {IHC-P} | {1:100-500} |
| {IHC-F} | {1:100-500} |
| {IF} | {1:100-500} |

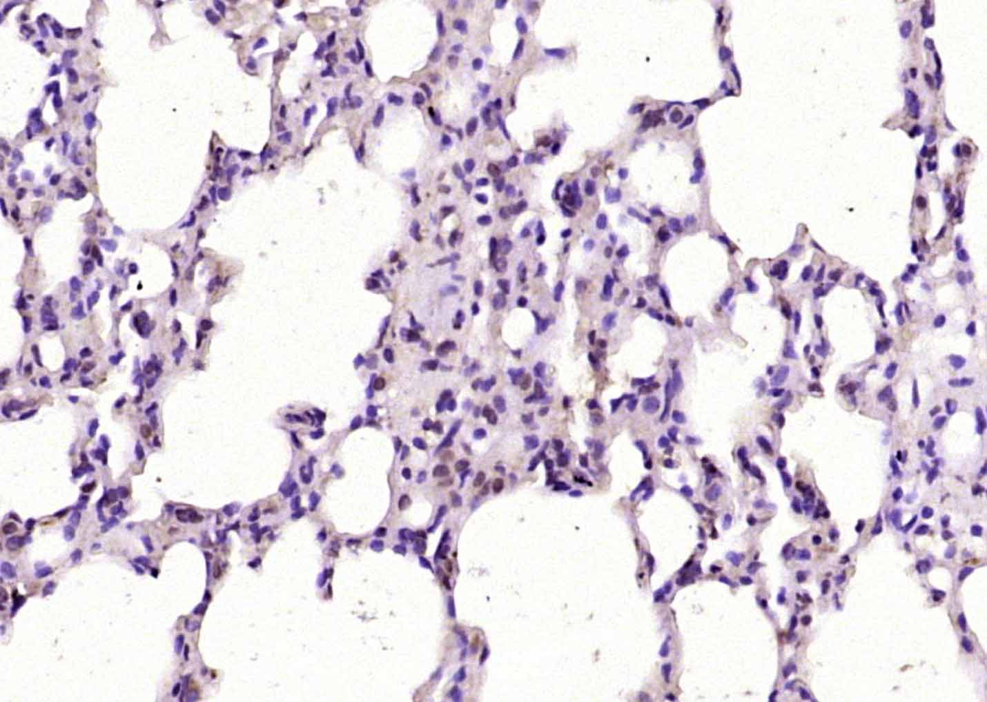
Antigen retrieval: citrate buffer ( 0.01M, pH 6.0 ), Boiling bathing for 15min; Block endogenous peroxidase by 3% Hydrogen peroxide for 30min; Blocking buffer (normal goat serum,C-0005) at 37℃ for 20 min;
Incubation: Anti-Mel18/ZNF144 Polyclonal Antibody, Unconjugated(bs-9673R) 1:200, overnight at 4°C, followed by conjugation to the secondary antibody(SP-0023) and DAB(C-0010) staining

Muscle (Rat) Lysate at 40 ug
Primary: Anti- ZNF144 (bs-9673R) at 1/1000 dilution
Secondary: IRDye800CW Goat Anti-Rabbit IgG at 1/20000 dilution
Predicted band size: 38/60 kD
Observed band size: 38 kD

风险提示:丁香通仅作为第三方平台,为商家信息发布提供平台空间。用户咨询产品时请注意保护个人信息及财产安全,合理判断,谨慎选购商品,商家和用户对交易行为负责。对于医疗器械类产品,请先查证核实企业经营资质和医疗器械产品注册证情况。
文献和实验说明书为准。 保存条件及有效期 纤维素 fitc流式ZNF286IHC、FACS、WB、E 1.试剂盒保存:;2-8℃。 2.有效期:6 个月 人一氧化氮(NO)酶联试剂盒说明书 2-甲氧乙基酯 fitc流式ZNF537IHC、FACS、WB、ELISA Rabbit polyclonal to ZNF537 antibody 乙二胺 fitc流式ZNF5IHC、FACS、WB、ELISA Rabbit
= NAL), appears to form upon oxidative cyclization of the nonfluorescent 2:1 lysine-HNE Michael adduct-Schiff base cross-link (Scheme 1). Polyclonal antibody (PAb) to the NAL-HNE fluorophore was raised in rabbit and found to be highly specific
细胞 2.大鼠类 BRL 肝细胞 LW-3 肝细胞 BRL 3A 肝细胞 NRK 肾细胞 L-6TG 肌母细胞 3.仓鼠类 BHK 幼仓鼠肾 V79 中国仓鼠肺细胞 CHL 中国仓鼠肺细胞 CHO 中国仓鼠卵巢细胞 R1610 中国仓鼠体细胞 *CHO/dhFr- 二氢叶酸还原酶缺陷型CHO 4.人类 2BS 胚肺 XJH B淋巴细胞 HLF 胚肺 L-02 肝细胞
技术资料暂无技术资料 索取技术资料





