相关产品推荐更多 >

phospho-HSP70 (Tyr41) Rabbit pAb, PerCP-Cy5.5 conjugated(bs-10451R-PerCP-Cy5.5)-100ul
¥2980
LRFN4 Rabbit pAb, APC-Cy5.5 conjugated(bs-11089R-APC-Cy5.5)-100ul
¥2980
KCTD16 Rabbit pAb(bs-20315R)-50ul/100ul/200ul
¥1180
PAX6 Rabbit pAb, APC conjugated(bs-11204R-APC)-100ul
¥2980
IL-9 Rabbit pAb, Biotin conjugated(bs-10435R-Bio)-100ul
¥2980
万千商家帮你免费找货
0 人在求购买到急需产品
- 详细信息
- 文献和实验
- 技术资料
- 应用范围:
产品信息以Bioss网站为准
- 规格:
50ul/100ul/200ul
| 规格: | 50ul | 产品价格: | ¥1180.0 |
|---|---|---|---|
| 规格: | 100ul | 产品价格: | ¥1980.0 |
| 规格: | 200ul | 产品价格: | ¥2800.0 |
| 产品编号 | bs-2677R |
| 英文名称 | LRP1 Rabbit pAb |
| 中文名称 | 低密度脂蛋白受体相关蛋白1抗体 |
| 英文别名 | A2MR; alpha 2 macroglobulin receptor; alpha 2MR; APOER; Apolipoprotein E receptor; APR; CD 91; CD91; CD91 antigen; Low density lipoprotein receptor related protein 1; Low density lipoprotein related protein 1; LRP 1; LRP 515; LRP 85; LRP; LRP ICD; LRP1 protein; LRP515; LRP1_HUMAN. |
| 产品应用 | IHC-P=1:100-500, IHC-F=1:100-500, IF=1:100-500, Flow-Cyt=1μg /test Not yet tested in other applications. |
| 交叉反应 | Human, Mouse (Rat, Dog, Pig, Cow, Rabbit, Sheep) |
| 抗体来源 | Rabbit |
| 免疫原 | KLH conjugated synthetic peptide derived from human LRP1 |
| 亚型 | IgG |
| 性状 | Liquid |
| 纯化方法 | affinity purified by Protein A |
| 克隆类型 | Polyclonal |
| 理论分子量 | 85/515 kDa |
| 浓度 | 1mg/ml |
| 储存液 | 0.01M TBS (pH7.4) with 1% BSA, 0.02% Proclin300 and 50% Glycerol. |
| 研究领域 | Cancer > Cell Death > Apoptosis > Metabolism Cancer > Cell Death > Apoptosis > Phagocytosis Cardiovascular > Atherosclerosis > Lipoprotein metabolism Cardiovascular > Blood > Serum Proteins Cardiovascular > Lipids / Lipoproteins > Lipid Metabolism > Cholesterol Metabolism Cell Biology > Apoptosis > Phagocytosis Metabolism > Pathways and Processes > Metabolic signaling pathways > Lipid and lipoprotein metabolism > Cholesterol Metabolism Metabolism > Pathways and Processes > Metabolic signaling pathways > Lipid and lipoprotein metabolism > Lipoprotein metabolism Metabolism > Pathways and Processes > Metabolism processes > Apoptosis Metabolism > Types of disease > Cancer Metabolism > Types of disease > Heart disease Metabolism > Types of disease > Neurodegenerative disease Metabolism > Types of disease > Obesity Neuroscience > Neurology process > Neurodegenerative disease > Alzheimer's disease Signal Transduction > Metabolism > Lipid metabolism |
| 亚基 | Heterodimer of an 85-kDa membrane-bound carboxyl subunit and a non-covalently attached 515-kDa N-terminal subunit. Intracellular domain interacts with MAFB (By similarity). Found in a complex with PID1/PCLI1, LRP1 and CUBNI. Interacts with SNX17, PID1/PCLI1, PDGF and CUBN. The intracellular domain interacts with SHC1, GULP1 and DAB1. Interacts with LRPAP1. Interacts with bacterial exotoxins. |
| 亚细胞定位 | Cell membrane. Membrane, coated pit and Cytoplasm. Nucleus. After cleavage, the intracellular domain (LRPICD) is detected both in the cytoplasm and in the nucleus. |
| 组织特异性 | Most abundant in liver, brain and lung. |
| 翻译后修饰 | Cleaved into a 85 kDa membrane-spanning subunit (LRP-85) and a 515 kDa large extracellular domain (LRP-515) that remains non-covalently associated. Gamma-secretase-dependent cleavage of LRP-85 releases the intracellular domain from the membrane. The N-terminus is blocked. Phosphorylated on serine and threonine residues. Phosphorylated on tyrosine residues upon stimulation with PDGF. Tyrosine phosphorylation promotes interaction with SHC1. |
| 相似性 | Belongs to the LDLR family. Contains 22 EGF-like domains. Contains 31 LDL-receptor class A domains. Contains 34 LDL-receptor class B repeats. |
| 功能 | Endocytic receptor involved in endocytosis and in phagocytosis of apoptotic cells. Required for early embryonic development. Involved in cellular lipid homeostasis. Involved in the plasma clearance of chylomicron remnants and activated LRPAP1 (alpha 2-macroglobulin), as well as the local metabolism of complexes between plasminogen activators and their endogenous inhibitors. May modulate cellular events, such as APP metabolism, kinase-dependent intracellular signaling, neuronal calcium signaling as well as neurotransmission. Functions as a receptor for Pseudomonas aeruginosa exotoxin A. |
| 保存条件 | Shipped at 4℃. Store at -20℃ for one year. Avoid repeated freeze/thaw cycles. |
| 注意事项 | This product as supplied is intended for research use only, not for use in human, therapeutic or diagnostic applications. |
| 背景资料 | This gene encodes a member of the low-density lipoprotein receptor family of proteins. The encoded preproprotein is proteolytically processed by furin to generate 515 kDa and 85 kDa subunits that form the mature receptor (PMID: 8546712). This receptor is involved in several cellular processes, including intracellular signaling, lipid homeostasis, and clearance of apoptotic cells. In addition, the encoded protein is necessary for the alpha 2-macroglobulin-mediated clearance of secreted amyloid precursor protein and beta-amyloid, the main component of amyloid plaques found in Alzheimer patients. Expression of this gene decreases with age and has been found to be lower than controls in brain tissue from Alzheimer's disease patients. [provided by RefSeq, Oct 2015] |
| 应用 | 推荐稀释比例 |
| {IHC-P} | {1:100-500} |
| {IHC-F} | {1:100-500} |
| {IF} | {1:100-500} |
| {Flow-Cyt} | {1μg /test} |

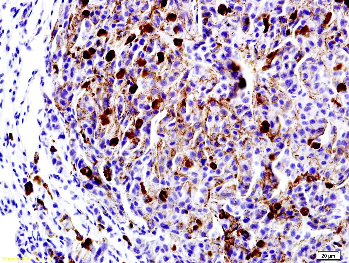
Antigen retrieval: citrate buffer ( 0.01M, pH 6.0 ), Boiling bathing for 15min; Block endogenous peroxidase by 3% Hydrogen peroxide for 30min; Blocking buffer (normal goat serum,C-0005) at 37℃ for 20 min;
Incubation: Anti-LRP1 Polyclonal Antibody, Unconjugated(bs-2677R) 1:200, overnight at 4°C, followed by conjugation to the secondary antibody(SP-0023) and DAB(C-0010) staining

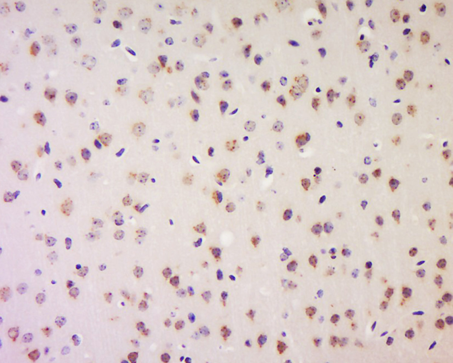
Antigen retrieval: citrate buffer ( 0.01M, pH 6.0 ), Boiling bathing for 15min; Block endogenous peroxidase by 3% Hydrogen peroxide for 30min; Blocking buffer (normal goat serum,C-0005) at 37℃ for 20 min;
Incubation: Anti-LRP1 Polyclonal Antibody, Unconjugated(bs-2677R) 1:200, overnight at 4°C, followed by conjugation to the secondary antibody(SP-0023) and DAB(C-0010) staining

Primary Antibody:Rabbit Anti-LRP1 antibody(bs-2677R), Dilution: 1μg in 100 μL 1X PBS containing 0.5% BSA;
Isotype Control Antibody: Rabbit IgG(orange) ,used under the same conditions );
Secondary Antibody: Goat anti-rabbit IgG-PE(white blue), Dilution: 1:200 in 1 X PBS containing 0.5% BSA.
风险提示:丁香通仅作为第三方平台,为商家信息发布提供平台空间。用户咨询产品时请注意保护个人信息及财产安全,合理判断,谨慎选购商品,商家和用户对交易行为负责。对于医疗器械类产品,请先查证核实企业经营资质和医疗器械产品注册证情况。
文献和实验[IF={{ 4.044 }}] {Tetsuya Shimokawa. et al. Prosaposin in the rat oviductal epithelial cells. 2020 Nov 26} {IF} {Rat}
[IF={{ 14.7 }}] {Xufei Bian. et al.Berberine-inspired ionizable lipid for self-structure stabilization and brain targeting delivery of nucleic acid therapeutics.nature communications.2025 Mar 10;16(1):2368.} {Western blot} {Mouse}
= NAL), appears to form upon oxidative cyclization of the nonfluorescent 2:1 lysine-HNE Michael adduct-Schiff base cross-link (Scheme 1). Polyclonal antibody (PAb) to the NAL-HNE fluorophore was raised in rabbit and found to be highly specific
GE Healthcare Benzamidine Sepharose™ 6B is p-aminobenzamidine covalently attached to Sepharose 6B by the epoxy coupling method. p-Aminobenzamidine (PAB), is a synthetic inhibitor of trypsin-like serine protease. Trypsin and trypsin
Nucleic Acid Programmable Protein Arrays: Versatile Tools for Array‐Based Functional Protein Studies
.g., Sigma) 50 mg/ml bis‐sulfosuccinimdylsuberate (BS3 ;Pierce, cat. no. PI 21580) in dimethylsulfoxide (DMSO) 5 mg/ml
技术资料暂无技术资料 索取技术资料






