相关产品推荐更多 >
万千商家帮你免费找货
0 人在求购买到急需产品
- 详细信息
- 文献和实验
- 技术资料
- 应用范围:
产品信息以Bioss网站为准
- 规格:
50ul/100ul/200ul
| 规格: | 50ul | 产品价格: | ¥1180.0 |
|---|---|---|---|
| 规格: | 100ul | 产品价格: | ¥1980.0 |
| 规格: | 200ul | 产品价格: | ¥2800.0 |
| 产品编号 | bs-7018R |
| 英文名称 | ITIH1 Rabbit pAb |
| 中文名称 | 衍生透明质酸相关蛋白抗体 |
| 英文别名 | ITIH; H1P; Inter alpha trypsin inhibitor heavy chain H1; Inter-alpha-inhibitor heavy chain 1; Inter-alpha-trypsin inhibitor complex component III; Inter-alpha-trypsin inhibitor heavy chain H1; ITI heavy chain H1; ITI-HC1; ITIH1; ITIH1_HUMAN; Serum-derived hyaluronan-associated protein; SHAP. |
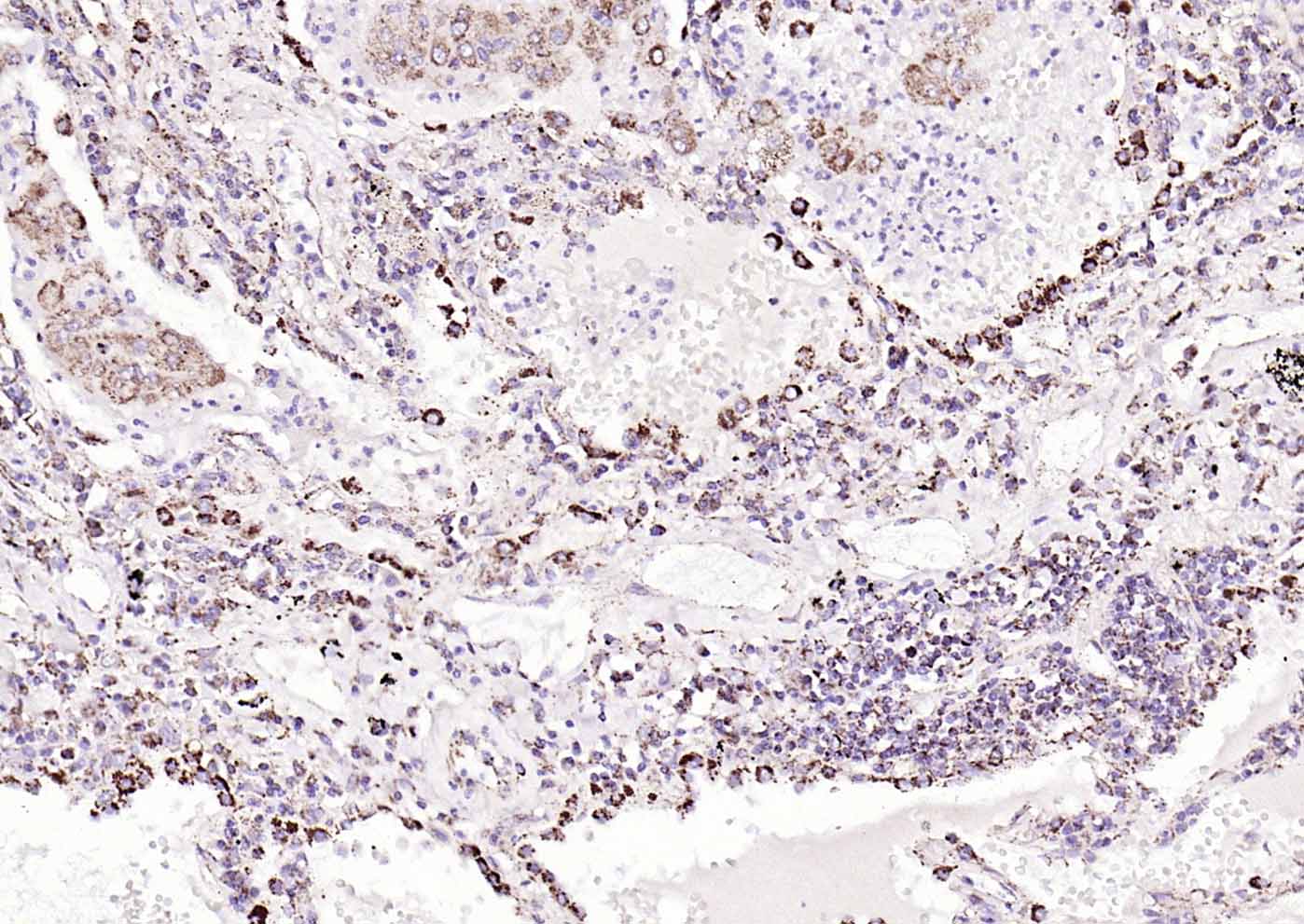
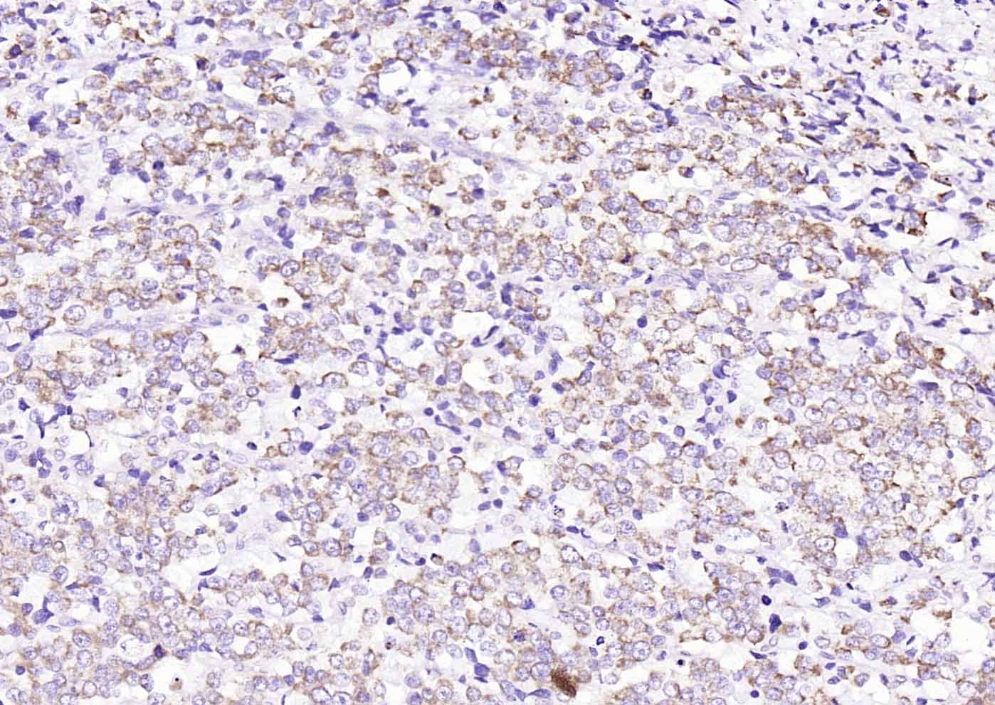
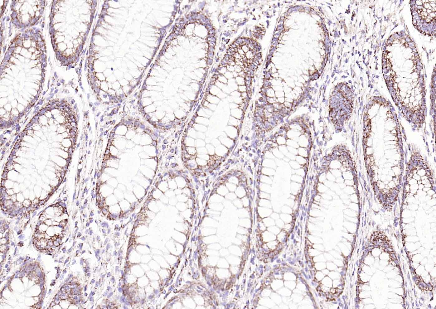
| 产品应用 | IHC-P=1:100-500, IHC-F=1:100-500, IF=1:100-500 Not yet tested in other applications. |
| 交叉反应 | Human, human lung carcinoma, human lung carcinoma, human lung carcinoma, colon, colon, colon, colon, human breast carcinoma, human breast carcinoma, human breast carcinoma, human breast carcinoma, Prostate Tumor, Prostate Tumor, Prostate Tumor, Prostate Tumor (Mouse, Rat) |
| 抗体来源 | Rabbit |
| 免疫原 | KLH conjugated synthetic peptide derived from human ITIH1 |
| 亚型 | IgG |
| 性状 | Liquid |
| 纯化方法 | affinity purified by Protein A |
| 克隆类型 | Polyclonal |
| 理论分子量 | 101 kDa |
| 浓度 | 1mg/ml |
| 储存液 | 0.01M TBS (pH7.4) with 1% BSA, 0.02% Proclin300 and 50% Glycerol. |
| 研究领域 | Cell Biology > Proteolysis / Ubiquitin > Protease inhibitors > Other protease inhibitors |
| 亚基 | I-alpha-I plasma protease inhibitors are assembled from one or two heavy chains (H1, H2 or H3) and one light chain, bikunin. Inter-alpha-inhibitor (I-alpha-I) is composed of H1, H2 and bikunin, inter-alpha-like inhibitor (I-alpha-LI) of H2 and bikunin, and pre-alpha-inhibitor (P-alpha-I) of H3 and bikunin. |
| 亚细胞定位 | Secreted. |
| 翻译后修饰 | Heavy chains are linked to bikunin via chondroitin 4-sulfate esterified to the alpha-carboxyl of the C-terminal aspartate after propeptide cleavage.
The S-linked glycan is composed of two 6-carbon sugars, possibly Glc or Gal. |
| 相似性 | Belongs to the ITIH family. Contains 1 VIT domain. Contains 1 VWFA domain. |
| 功能 | May act as a carrier of hyaluronan in serum or as a binding protein between hyaluronan and other matrix protein, including those on cell surfaces in tissues to regulate the localization, synthesis and degradation of hyaluronan which are essential to cells undergoing biological processes. |
| 保存条件 | Shipped at 4℃. Store at -20℃ for one year. Avoid repeated freeze/thaw cycles. |
| 注意事项 | This product as supplied is intended for research use only, not for use in human, therapeutic or diagnostic applications. |
| 背景资料 | May act as a carrier of hyaluronan in serum or as a binding protein between hyaluronan and other matrix protein, including those on cell surfaces in tissues to regulate the localization, synthesis and degradation of hyaluronan which are essential to cells undergoing biological processes. Contains a potential peptide which could stimulate a broad spectrum of phagocytotic cells. |
| 应用 | 推荐稀释比例 |
| {IHC-P} | {1:100-500} |
| {IHC-F} | {1:100-500} |
| {IF} | {1:100-500} |




风险提示:丁香通仅作为第三方平台,为商家信息发布提供平台空间。用户咨询产品时请注意保护个人信息及财产安全,合理判断,谨慎选购商品,商家和用户对交易行为负责。对于医疗器械类产品,请先查证核实企业经营资质和医疗器械产品注册证情况。
文献和实验= NAL), appears to form upon oxidative cyclization of the nonfluorescent 2:1 lysine-HNE Michael adduct-Schiff base cross-link (Scheme 1). Polyclonal antibody (PAb) to the NAL-HNE fluorophore was raised in rabbit and found to be highly specific
GE Healthcare Benzamidine Sepharose™ 6B is p-aminobenzamidine covalently attached to Sepharose 6B by the epoxy coupling method. p-Aminobenzamidine (PAB), is a synthetic inhibitor of trypsin-like serine protease. Trypsin and trypsin
Nucleic Acid Programmable Protein Arrays: Versatile Tools for Array‐Based Functional Protein Studies
.g., Sigma) 50 mg/ml bis‐sulfosuccinimdylsuberate (BS3 ;Pierce, cat. no. PI 21580) in dimethylsulfoxide (DMSO) 5 mg/ml
技术资料暂无技术资料 索取技术资料










