相关产品推荐更多 >

LIPT1 Rabbit pAb, Biotin conjugated(bs-18298R-Bio)-100ul
¥2980
IRS-2 Rabbit pAb, PE-Cy5.5 conjugated(bs-0173R-PE-Cy5.5)-100ul
¥2980
SCXA Rabbit pAb, Biotin conjugated(bs-12364R-Bio)-100ul
¥2980
TBX18 Rabbit pAb(bs-4748R)-50ul/100ul/200ul
¥1180
FABP3/H-FABP Rabbit pAb, Cy3 conjugated(bs-11283R-Cy3)-100ul
¥2980
万千商家帮你免费找货
0 人在求购买到急需产品
- 详细信息
- 文献和实验
- 技术资料
- 应用范围:
产品信息以Bioss网站为准
- 规格:
50ul/100ul/200ul
| 规格: | 50ul | 产品价格: | ¥1180.0 |
|---|---|---|---|
| 规格: | 100ul | 产品价格: | ¥1980.0 |
| 规格: | 200ul | 产品价格: | ¥2800.0 |
| 产品编号 | bs-4168R |
| 英文名称 | TNIK Rabbit pAb |
| 中文名称 | TRAF2和NCK激酶相互作用蛋白抗体 |
| 英文别名 | Traf2 and NCK interacting kinase; 1500031A17RIK; 4831440I19RIK; AI451411; C530008O15Rik; C630040K21RIK; KIAA0551; MGC189819; MGC189859; RGD1561817; TNIK; TNIK_HUMAN; TRAF2 and NCK-interacting protein kinase. |
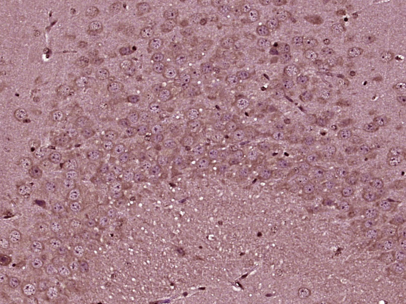
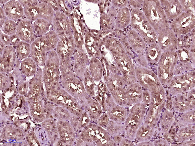
| 产品应用 | IHC-P=1:100-500, IHC-F=1:100-500, IF=1:100-500 Not yet tested in other applications. |
| 交叉反应 | Mouse, Rat (Human, Chicken, Pig, Cow, Horse, Rabbit) |
| 抗体来源 | Rabbit |
| 免疫原 | KLH conjugated synthetic peptide derived from human TNIK |
| 亚型 | IgG |
| 性状 | Liquid |
| 纯化方法 | affinity purified by Protein A |
| 克隆类型 | Polyclonal |
| 理论分子量 | 150 kDa |
| 浓度 | 1mg/ml |
| 储存液 | 0.01M TBS (pH7.4) with 1% BSA, 0.02% Proclin300 and 50% Glycerol. |
| 研究领域 | Signal Transduction > Cytoskeleton / ECM > Extracellular Matrix > ECM Enzymes > Other Enzymes Signal Transduction > Protein Phosphorylation > Ser / Thr Kinases > Other Kinases |
| 亚基 | Interacts (via the CNH domain) with RAP2A (GTP-bound form preferentially); the interaction is direct and required for the activation of TNIK by RAP2A. Interacts with NEDD4; recruits RAP2A to NEDD4. Interacts with TRAF2 and NCK. Interacts with TCF7L2/TCF4 and CTNNB1; the interaction is direct. Interacts with TANC1. |
| 亚细胞定位 | Nucleus. Cytoplasm. Recycling endosome. Cytoplasm, cytoskeleton. Note=Associated with recycling endosomes and the cytoskeletal fraction upon RAP2A overexpression. |
| 组织特异性 | Expressed ubiquitously. Highest levels observed in heart, brain and skeletal muscle. Expressed in normal colonic epithelia and colorectal cancer tissues. |
| 翻译后修饰 | Autophosphorylated. Autophosphorylation is activated by RAP2A and induces association to the cytoskeletal fraction. |
| 相似性 | Belongs to the protein kinase superfamily. STE Ser/Thr protein kinase family. STE20 subfamily. Contains 1 CNH domain. Contains 1 protein kinase domain. |
| 功能 | Serine/threonine kinase that acts as an essential activator of the Wnt signaling pathway. Recruited to promoters of Wnt target genes and required to activate their expression. May act by phosphorylating TCF4/TCF7L2. Appears to act upstream of the JUN N-terminal pathway. May play a role in the response to environmental stress. Part of a signaling complex composed of NEDD4, RAP2A and TNIK which regulates neuronal dendrite extension and arborization during development. More generally, it may play a role in cytoskeletal rearrangements and regulate cell spreading. Phosphorylates SMAD1 on Thr-322. |
| 保存条件 | Shipped at 4℃. Store at -20℃ for one year. Avoid repeated freeze/thaw cycles. |
| 注意事项 | This product as supplied is intended for research use only, not for use in human, therapeutic or diagnostic applications. |
| 背景资料 | TNIK is a MSN protein kinase that interacts with both TNF receptor-associated factor 2 (TRAF2) and the adapter protein NCK. The protein has been shown to activate the c-Jun N-terminal kinase pathway when over expressed in Phoenix-A cells. TNIK has been shown to phosphorylate gelsolin, the principal intracellular and extracellular actin-severing protein, in vitro. This and evidence from mutational studies suggest that TNIK functions in the regulation of the cytoskeleton. Northern analysis indicates TNIK expression in human heart, skeletal muscle, and brain, with lower levels of expression in kidney, liver, lung, and pancreas. ESTs have been isolated from human tissue libraries, including normal amnion, gallbladder and skin. |
| 应用 | 推荐稀释比例 |
| {IHC-P} | {1:100-500} |
| {IHC-F} | {1:100-500} |
| {IF} | {1:100-500} |


风险提示:丁香通仅作为第三方平台,为商家信息发布提供平台空间。用户咨询产品时请注意保护个人信息及财产安全,合理判断,谨慎选购商品,商家和用户对交易行为负责。对于医疗器械类产品,请先查证核实企业经营资质和医疗器械产品注册证情况。
文献和实验= NAL), appears to form upon oxidative cyclization of the nonfluorescent 2:1 lysine-HNE Michael adduct-Schiff base cross-link (Scheme 1). Polyclonal antibody (PAb) to the NAL-HNE fluorophore was raised in rabbit and found to be highly specific
Theoretical Aspects of the Quantitative Characterization of Ligand Binding
dependences of the binding function ( r ) upon free ligand concentration ( C S ) for various types of acceptor‐ligand interaction. Rectangular hyperbolic dependence (—) for an acceptor with two equivalent and independent sites ( K AS = K 1 = K 2 = K 3 = K
GE Healthcare Benzamidine Sepharose™ 6B is p-aminobenzamidine covalently attached to Sepharose 6B by the epoxy coupling method. p-Aminobenzamidine (PAB), is a synthetic inhibitor of trypsin-like serine protease. Trypsin and trypsin
技术资料暂无技术资料 索取技术资料






