相关产品推荐更多 >
万千商家帮你免费找货
0 人在求购买到急需产品
- 详细信息
- 文献和实验
- 技术资料
- 应用范围:
产品信息以Bioss网站为准
- 规格:
50ul/100ul/200ul
| 规格: | 50ul | 产品价格: | ¥1180.0 |
|---|---|---|---|
| 规格: | 100ul | 产品价格: | ¥1980.0 |
| 规格: | 200ul | 产品价格: | ¥2800.0 |
| 产品编号 | bs-11033R |
| 英文名称 | KIF1B Rabbit pAb |
| 中文名称 | 驱动蛋白家族成员1B抗体 |
| 英文别名 | Charcot Marie Tooth neuropathy 2A; CMT 2; CMT 2A; CMT 2A1; CMT2 A; CMT2 A1; CMT2; CMT2A 1; CMT2A; CMT2A1; D4Mil1e; HMSN II; HMSNII; HMSNII, hereditary motor sensory neuropathy II; KIF 1B; KIF1 B; KIF1B p130; KIF1B p204; KIF1Bp130; KIF1Bp204; kinesin family member 1B; Kinesin like protein KIF1B; Klp; KIF1B_HUMAN. |
| 产品应用 | IHC-P=1:100-500, IHC-F=1:100-500, IF=1:100-500 Not yet tested in other applications. |
| 交叉反应 | Rat (Human, Mouse, Sheep, Chicken, Dog, Pig) |
| 抗体来源 | Rabbit |
| 免疫原 | KLH conjugated synthetic peptide derived from human KIF1B |
| 亚型 | IgG |
| 性状 | Liquid |
| 纯化方法 | affinity purified by Protein A |
| 克隆类型 | Polyclonal |
| 理论分子量 | 204 kDa |
| 浓度 | 1mg/ml |
| 储存液 | 0.01M TBS (pH7.4) with 1% BSA, 0.02% Proclin300 and 50% Glycerol. |
| 研究领域 | Neuroscience > Cell Adhesion Proteins > Cytoskeletal Proteins > Regulation Neuroscience > Neurology process > Neurodegenerative disease > Amyotrophic lateral sclerosis Signal Transduction > Cytoskeleton / ECM > Cytoskeleton > Motor Proteins > Kinesin-like |
| 亚基 | Interacts (via C-terminus end of the kinesin-motor domain) with CHP1; the interaction occurs in a calcium-dependent manner (By similarity). Interacts with KBP. |
| 亚细胞定位 | Cytoplasmic vesicle (By similarity). Cytoplasm, cytoskeleton (By similarity). Mitochondrion. Note=Colocalizes with synaptophysin at synaptic cytoplasmic transport vesicles in the neurites of hippocampal neurons (By similarity). |
| 组织特异性 | Isoform 3 is abundant in the skeletal muscle. It is also expressed in fetal brain, lung and kidney, and adult heart, placenta, testis, ovary and small intestine. Isoform 2 is abundant in the brain and also expressed in fetal heart, lung, liver and kidney, and adult skeletal muscle, placenta, liver, kidney, heart, spleen, thymus, prostate, testis, ovary, small intestine, colon and pancreas. |
| 相似性 | Belongs to the kinesin-like protein family. Unc-104 subfamily. Contains 1 FHA domain. Contains 1 kinesin-motor domain. Contains 1 PH domain. |
| 功能 | Motor for anterograde transport of mitochondria. Has a microtubule plus end-directed motility. Isoform 2 is required for induction of neuronal apoptosis. |
| 保存条件 | Shipped at 4℃. Store at -20℃ for one year. Avoid repeated freeze/thaw cycles. |
| 注意事项 | This product as supplied is intended for research use only, not for use in human, therapeutic or diagnostic applications. |
| 背景资料 | KIF1B, or kinesin-like protein (Klp) functions as a motor for mitochondrial transport, and has a microtubule plus end-directed motility. The KIF1B beta isoform is abundant in brain, while the alpha isoform is abundant in skeletal muscle. Mutations in the KIF1B gene are the cause of Charcot-Marie-Tooth disease type 2A1, which is a primary peripheral axon neuropathy. The KIF1B beta isoform is down-regulated in sporadic amyotrophic lateral sclerosis (ALS). |
| 应用 | 推荐稀释比例 |
| {IHC-P} | {1:100-500} |
| {IHC-F} | {1:100-500} |
| {IF} | {1:100-500} |

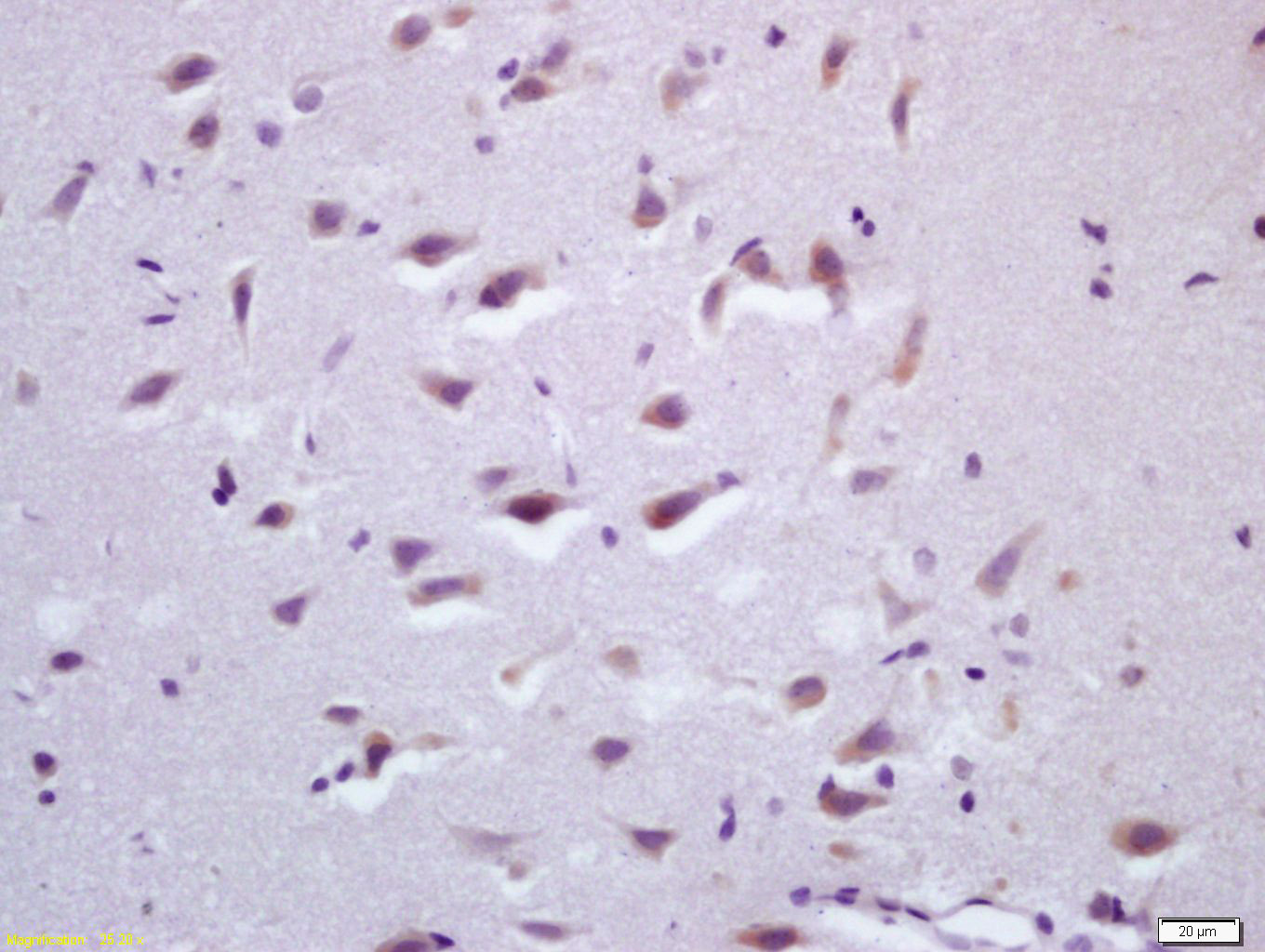
Antigen retrieval: citrate buffer ( 0.01M, pH 6.0 ), Boiling bathing for 15min; Block endogenous peroxidase by 3% Hydrogen peroxide for 30min; Blocking buffer (normal goat serum,C-0005) at 37℃ for 20 min;
Incubation: Anti-KIF1B Polyclonal Antibody, Unconjugated(bs-11033R) 1:200, overnight at 4°C, followed by conjugation to the secondary antibody(SP-0023) and DAB(C-0010) staining

Antigen retrieval: citrate buffer ( 0.01M, pH 6.0 ), Boiling bathing for 15min; Blocking buffer (normal goat serum,C-0005) at 37℃ for 20 min;
Incubation: Anti-KIF1B Polyclonal Antibody, FITC conjugated(bs-11033R-FITC) 1:200, at 1:200 dilution for 40 minutes at 37°C. DAPI(5ug/ml,blue,C-0033) was used to stain the cell nuclei
风险提示:丁香通仅作为第三方平台,为商家信息发布提供平台空间。用户咨询产品时请注意保护个人信息及财产安全,合理判断,谨慎选购商品,商家和用户对交易行为负责。对于医疗器械类产品,请先查证核实企业经营资质和医疗器械产品注册证情况。
文献和实验= NAL), appears to form upon oxidative cyclization of the nonfluorescent 2:1 lysine-HNE Michael adduct-Schiff base cross-link (Scheme 1). Polyclonal antibody (PAb) to the NAL-HNE fluorophore was raised in rabbit and found to be highly specific
GE Healthcare Benzamidine Sepharose™ 6B is p-aminobenzamidine covalently attached to Sepharose 6B by the epoxy coupling method. p-Aminobenzamidine (PAB), is a synthetic inhibitor of trypsin-like serine protease. Trypsin and trypsin
Nucleic Acid Programmable Protein Arrays: Versatile Tools for Array‐Based Functional Protein Studies
.g., Sigma) 50 mg/ml bis‐sulfosuccinimdylsuberate (BS3 ;Pierce, cat. no. PI 21580) in dimethylsulfoxide (DMSO) 5 mg/ml
技术资料暂无技术资料 索取技术资料









