相关产品推荐更多 >

SMARCB1 Rabbit pAb, Cy5 conjugated(bs-6109R-Cy5)-100ul
¥2980
PAR-2 Rabbit pAb(bs-1178R)-50ul/100ul/200ul
¥1180
SOSSC Rabbit pAb(bs-9491R)-50ul/100ul/200ul
¥1180
Anti-human TMPRSS2 (Regeneron patent Anti-TMPRSS2 Biosimilar)(BIO0332SM)-1mg/5mg/20mg
¥3200
Frizzled 8 Rabbit pAb, HRP conjugated(bs-13219R-HRP)-100ul
¥2980
万千商家帮你免费找货
0 人在求购买到急需产品
- 详细信息
- 文献和实验
- 技术资料
- 应用范围:
产品信息以Bioss网站为准
- 规格:
50ul/100ul/200ul
| 规格: | 50ul | 产品价格: | ¥1180.0 |
|---|---|---|---|
| 规格: | 100ul | 产品价格: | ¥1980.0 |
| 规格: | 200ul | 产品价格: | ¥2800.0 |
| 产品编号 | bs-5103R |
| 英文名称 | PTPMT1 Rabbit pAb |
| 中文名称 | 线粒体蛋白酪氨酸磷酸酶1/DUSP23抗体 |
| 英文别名 | DUSP23; FLJ46081; MOSP; NB4 apoptosis/differentiation related protein; Phosphatidylglycerophosphatase and protein-tyrosine phosphatase 1; phosphoinositide lipid phosphatase; PLIP; PNAS 129; protein tyrosine phosphatase mitochondrial 1; Protein-tyrosine phosphatase mitochondrial 1; pten like phosphatase; PTEN-like phosphatase; PTPM1_HUMAN; Ptpmt1. |
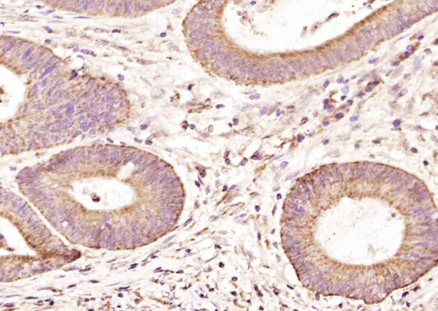
| 产品应用 | IHC-P=1:100-500, IHC-F=1:100-500, IF=1:100-500 Not yet tested in other applications. |
| 交叉反应 | Human (Mouse, Rat, Dog, Pig, Cow, Horse) |
| 抗体来源 | Rabbit |
| 免疫原 | KLH conjugated synthetic peptide derived from human PTPMT1 |
| 亚型 | IgG |
| 性状 | Liquid |
| 纯化方法 | affinity purified by Protein A |
| 克隆类型 | Polyclonal |
| 理论分子量 | 21 kDa |
| 浓度 | 1mg/ml |
| 储存液 | 0.01M TBS (pH7.4) with 1% BSA, 0.02% Proclin300 and 50% Glycerol. |
| 研究领域 | Signal Transduction > Protein Phosphorylation > Tyrosine Phosphatases Tags & Cell Markers > Subcellular Markers > Organelles > Mitochondria |
| 亚细胞定位 | Mitochondrion inner membrane. Note=Associated with the inner membrane. |
| 相似性 | Belongs to the protein-tyrosine phosphatase family. Non-receptor class dual specificity subfamily.
Contains 1 tyrosine-protein phosphatase domain. |
| 功能 | Lipid phosphatase which dephosphorylates phosphatidylglycerophosphate (PGP) to phosphatidylglycerol (PG). PGP is an essential intermediate in the biosynthetic pathway of cardiolipin, a mitochondrial-specific phospholipid regulating the membrane integrity and activities of the organelle. Has also been shown to display phosphatase activity toward phosphoprotein substrates, specifically mediates dephosphorylation of mitochondrial proteins, thereby playing an essential role in ATP production. Has probably a preference for proteins phosphorylated on Ser and/or Thr residues compared to proteins phosphorylated on Tyr residues. Probably involved in regulation of insulin secretion in pancreatic beta cells (By similarity). |
| 保存条件 | Shipped at 4℃. Store at -20℃ for one year. Avoid repeated freeze/thaw cycles. |
| 注意事项 | This product as supplied is intended for research use only, not for use in human, therapeutic or diagnostic applications. |
| 背景资料 | This protein phosphatase specifically mediates the dephosphorylation of mitochondrial proteins and consequently plays a central role in ATP production. It probably has a preference for proteins phosphorylated on Ser and/or Thr residues compared to phosphorylation on Tyr residues. It is likely to be involved in the regulation of insulin secretion in pancreatic beta cells. |
| 应用 | 推荐稀释比例 |
| {IHC-P} | {1:100-500} |
| {IHC-F} | {1:100-500} |
| {IF} | {1:100-500} |

风险提示:丁香通仅作为第三方平台,为商家信息发布提供平台空间。用户咨询产品时请注意保护个人信息及财产安全,合理判断,谨慎选购商品,商家和用户对交易行为负责。对于医疗器械类产品,请先查证核实企业经营资质和医疗器械产品注册证情况。
文献和实验= NAL), appears to form upon oxidative cyclization of the nonfluorescent 2:1 lysine-HNE Michael adduct-Schiff base cross-link (Scheme 1). Polyclonal antibody (PAb) to the NAL-HNE fluorophore was raised in rabbit and found to be highly specific
GE Healthcare Benzamidine Sepharose™ 6B is p-aminobenzamidine covalently attached to Sepharose 6B by the epoxy coupling method. p-Aminobenzamidine (PAB), is a synthetic inhibitor of trypsin-like serine protease. Trypsin and trypsin
Nucleic Acid Programmable Protein Arrays: Versatile Tools for Array‐Based Functional Protein Studies
.g., Sigma) 50 mg/ml bis‐sulfosuccinimdylsuberate (BS3 ;Pierce, cat. no. PI 21580) in dimethylsulfoxide (DMSO) 5 mg/ml
技术资料暂无技术资料 索取技术资料





