相关产品推荐更多 >

CD3 epsilon Recombinant Rabbit mAb(bsm-52386R)-50ul/100ul
¥1400
CKMT Rabbit pAb, APC-Cy5.5 conjugated(bs-6522R-APC-Cy5.5)-100ul
¥2980
Mimitin Rabbit pAb(bs-6551R)-50ul/100ul/200ul
¥1180
HLA-C Mouse mAb, BF405 conjugated(bsm-43093M-BF405)-100ul
¥2980
FUSIP1 Rabbit pAb, Biotin conjugated(bs-13229R-Bio)-100ul
¥2980
万千商家帮你免费找货
0 人在求购买到急需产品
- 详细信息
- 文献和实验
- 技术资料
- 应用范围:
产品信息以Bioss网站为准
- 规格:
50ul/100ul/200ul
| 规格: | 50ul | 产品价格: | ¥1180.0 |
|---|---|---|---|
| 规格: | 100ul | 产品价格: | ¥1980.0 |
| 规格: | 200ul | 产品价格: | ¥2800.0 |
| 产品编号 | bs-13614R |
| 英文名称 | MYCBPAP Rabbit pAb |
| 中文名称 | MYCBPAP抗体 |
| 英文别名 | AMAM-1; AMAP-1; AMAP1; AMY-1-binding protein 1; DKFZp434N1415; MYBPP_HUMAN; MYCBP-associated protein; Mycbpap. |
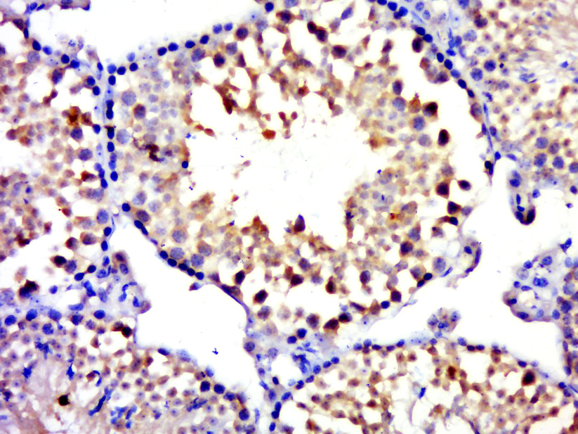
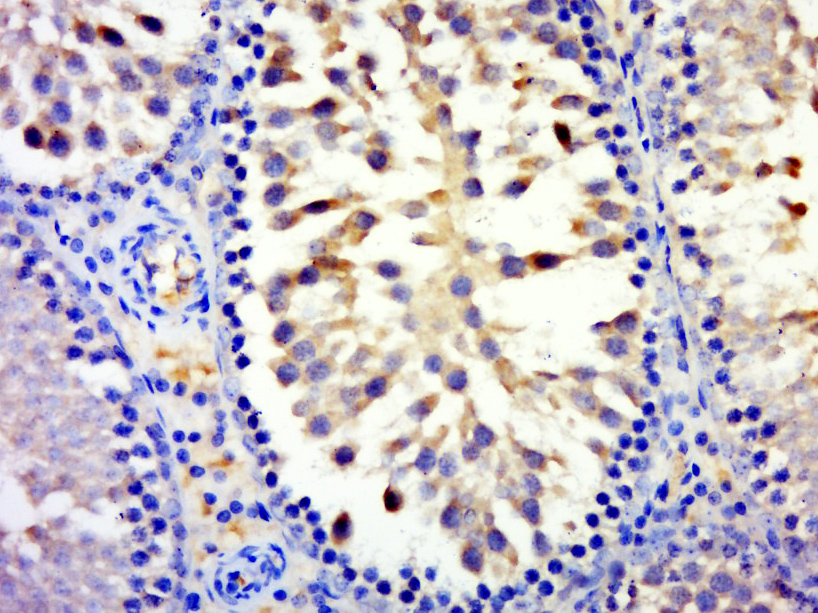
| 产品应用 | IHC-P=1:100-500, IHC-F=1:100-500, IF=1:100-500 Not yet tested in other applications. |
| 交叉反应 | Mouse, Rat (Human) |
| 抗体来源 | Rabbit |
| 免疫原 | KLH conjugated synthetic peptide derived from human MYCBPAP |
| 亚型 | IgG |
| 性状 | Liquid |
| 纯化方法 | affinity purified by Protein A |
| 克隆类型 | Polyclonal |
| 理论分子量 | 108 kDa |
| 浓度 | 1mg/ml |
| 储存液 | 0.01M TBS (pH7.4) with 1% BSA, 0.02% Proclin300 and 50% Glycerol. |
| 亚细胞定位 | Cytoplasm. Membrane. Colocalizes with MYCBP in the cytoplasm. |
| 组织特异性 | Expressed specifically in testis. |
| 功能 | May play a role in spermatogenesis. May be involved in synaptic processes. |
| 保存条件 | Shipped at 4℃. Store at -20℃ for one year. Avoid repeated freeze/thaw cycles. |
| 注意事项 | This product as supplied is intended for research use only, not for use in human, therapeutic or diagnostic applications. |
| 背景资料 | AMAP-1 (AMY-1-binding protein 1), also known as AMAM-1 or MYCBPAP (MYCBP associated protein), is a 947 amino acid protein that is expressed specifically in testis and is involved in spermatogenesis and synaptic processes. AMAP-1 colocalizes with MYCBP (AMY-1) in cytoplasm and also localizes to membrane. The gene encoding AMAP-1 maps to human chromosome 17, which comprises over 2.5% of the human genome and encodes over 1,200 genes. Two key tumor suppressor genes are associated with chromosome 17, namely, p53 and BRCA1. Tumor suppressor p53 is necessary for maintenance of cellular genetic integrity by moderating cell fate through DNA repair versus cell death. Malfunction or loss of p53 expression is associated with malignant cell growth and Li-Fraumeni syndrome. Like p53, BRCA1 is directly involved in DNA repair, though specifically it is recognized as a genetic determinant of early onset breast cancer and predisposition to cancers of the ovary, colon, prostate gland and fallopian tubes. |
| 应用 | 推荐稀释比例 |
| {IHC-P} | {1:100-500} |
| {IHC-F} | {1:100-500} |
| {IF} | {1:100-500} |


风险提示:丁香通仅作为第三方平台,为商家信息发布提供平台空间。用户咨询产品时请注意保护个人信息及财产安全,合理判断,谨慎选购商品,商家和用户对交易行为负责。对于医疗器械类产品,请先查证核实企业经营资质和医疗器械产品注册证情况。
文献和实验[IF={{ 2.8 }}] {Qiuyue Yan. et al. Exosome-shuttled MYCBPAP from bone marrow mesenchymal stem cells regulates synaptic remodeling and ameliorates ischemic stroke in rats. J CHEM NEUROANAT. 2023 Oct;132:102309} {ICC} {Rat}
= NAL), appears to form upon oxidative cyclization of the nonfluorescent 2:1 lysine-HNE Michael adduct-Schiff base cross-link (Scheme 1). Polyclonal antibody (PAb) to the NAL-HNE fluorophore was raised in rabbit and found to be highly specific
GE Healthcare Benzamidine Sepharose™ 6B is p-aminobenzamidine covalently attached to Sepharose 6B by the epoxy coupling method. p-Aminobenzamidine (PAB), is a synthetic inhibitor of trypsin-like serine protease. Trypsin and trypsin
Nucleic Acid Programmable Protein Arrays: Versatile Tools for Array‐Based Functional Protein Studies
.g., Sigma) 50 mg/ml bis‐sulfosuccinimdylsuberate (BS3 ;Pierce, cat. no. PI 21580) in dimethylsulfoxide (DMSO) 5 mg/ml
技术资料暂无技术资料 索取技术资料





