相关产品推荐更多 >
万千商家帮你免费找货
0 人在求购买到急需产品
- 详细信息
- 文献和实验
- 技术资料
- 应用范围:
产品信息以Bioss网站为准
- 规格:
50ul/100ul/200ul
| 规格: | 50ul | 产品价格: | ¥1180.0 |
|---|---|---|---|
| 规格: | 100ul | 产品价格: | ¥1980.0 |
| 规格: | 200ul | 产品价格: | ¥2800.0 |
| 产品编号 | bs-3832R |
| 英文名称 | RHEB Rabbit pAb |
| 中文名称 | Ras蛋白脑组织同源类似物RHEB蛋白抗体 |
| 英文别名 | GTP-binding protein Rheb; MGC111559; Ras homolog enriched in brain 2; Ras homolog enriched in brain; RHEB 2; RHEB-2 RHEB2; RHEB_HUMAN. |
| 产品应用 | IHC-P=1:100-500, IHC-F=1:100-500, IF=1:100-500 Not yet tested in other applications. |
| 交叉反应 | Mouse, Rat (Human, Chicken, Cow, Horse) |
| 抗体来源 | Rabbit |
| 免疫原 | KLH conjugated synthetic peptide derived from human RHEB |
| 亚型 | IgG |
| 性状 | Liquid |
| 纯化方法 | affinity purified by Protein A |
| 克隆类型 | Polyclonal |
| 理论分子量 | 20 kDa |
| 浓度 | 1mg/ml |
| 储存液 | 0.01M TBS (pH7.4) with 1% BSA, 0.02% Proclin300 and 50% Glycerol. |
| 研究领域 | Cancer > Signal transduction > G protein signaling > Small G proteins > Ras family Metabolism > Types of disease > Obesity Signal Transduction > Signaling Pathway > G Protein Signaling > Small G Proteins > Ras Family |
| 亚基 | Binds to mTORC1 in a guanyl nucleotide-independent manner. Interacts directly with MTOR, MLST8 and RPTOR. Interacts with TSC2. |
| 亚细胞定位 | Cell membrane; Lipid-anchor; Cytoplasmic side. |
| 组织特异性 | Ubiquitous. Highest levels observed in skeletal and cardiac muscle. |
| 翻译后修饰 | Farnesylation is important for efficiently activating mTORC1-mediated signaling. Phosphorylation by MAPKAPK5 impairs GTP-binding and inactivation (By similarity). |
| 相似性 | Belongs to the small GTPase superfamily. Rheb family. |
| 功能 | Stimulates the phosphorylation of S6K1 and EIF4EBP1 through activation of mTORC1 signaling. Activates the protein kinase activity of mTORC1. Has low intrinsic GTPase activity. |
| 保存条件 | Shipped at 4℃. Store at -20℃ for one year. Avoid repeated freeze/thaw cycles. |
| 注意事项 | This product as supplied is intended for research use only, not for use in human, therapeutic or diagnostic applications. |
| 背景资料 | Rheb (Ras homolog enriched in brain) is an evolutionarily conserved member of the Ras family of small GTP binding proteins originally found to be rapidly induced by synaptic activity in the hippocampus following seizure. While it is expressed at relatively high levels in the brain, Rheb is widely expressed in other tissues and may be induced by growth factor stimulation. Similar to other family members, Rheb triggers activation of the Raf-MEK-MAPK pathway. Biochemical and genetic studies demon-strate that Rheb has an important role in regulating the insulin/Target of rapamycin (TOR) signaling pathway. TOR is a serine/threonine protein kinase that acts as a sensor for ATP and amino acids, balancing the availability of nutrients with protein translation and cell growth. A dimeric protein complex termed TSC1/TSC2 indirectly inhibits TOR activity by inhibiting Rheb via the GAP activity of TSC2. |
| 应用 | 推荐稀释比例 |
| {IHC-P} | {1:100-500} |
| {IHC-F} | {1:100-500} |
| {IF} | {1:100-500} |

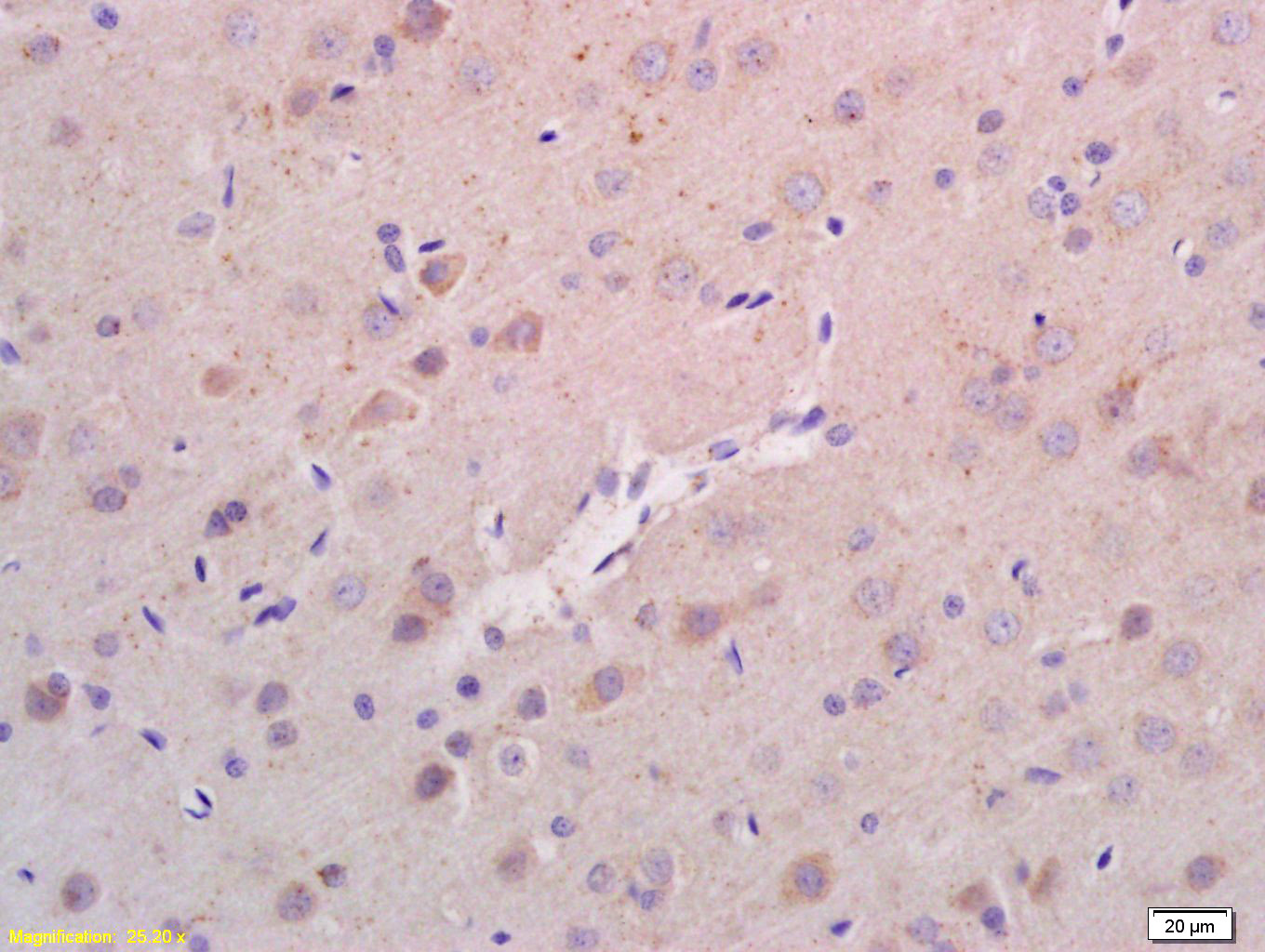
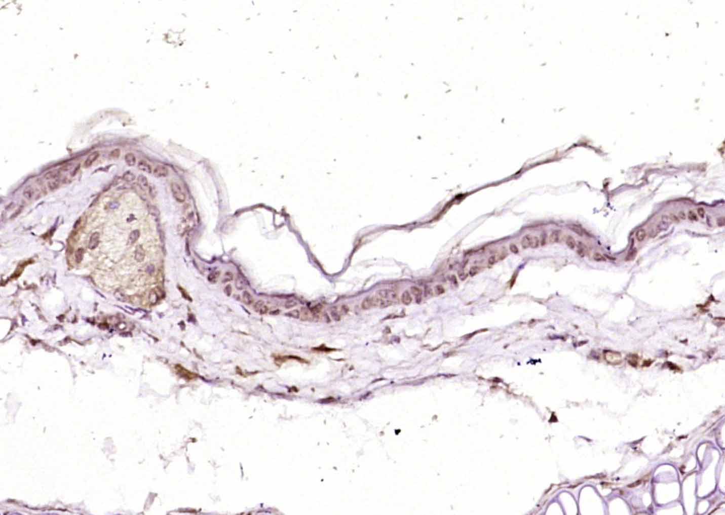
Antigen retrieval: citrate buffer ( 0.01M, pH 6.0 ), Boiling bathing for 15min; Block endogenous peroxidase by 3% Hydrogen peroxide for 30min; Blocking buffer (normal goat serum,C-0005) at 37℃ for 20 min;
Incubation: Anti-RHEB Polyclonal Antibody, Unconjugated(bs-3832R) 1:200, overnight at 4°C, followed by conjugation to the secondary antibody(SP-0023) and DAB(C-0010) staining

风险提示:丁香通仅作为第三方平台,为商家信息发布提供平台空间。用户咨询产品时请注意保护个人信息及财产安全,合理判断,谨慎选购商品,商家和用户对交易行为负责。对于医疗器械类产品,请先查证核实企业经营资质和医疗器械产品注册证情况。
文献和实验= NAL), appears to form upon oxidative cyclization of the nonfluorescent 2:1 lysine-HNE Michael adduct-Schiff base cross-link (Scheme 1). Polyclonal antibody (PAb) to the NAL-HNE fluorophore was raised in rabbit and found to be highly specific
GE Healthcare Benzamidine Sepharose™ 6B is p-aminobenzamidine covalently attached to Sepharose 6B by the epoxy coupling method. p-Aminobenzamidine (PAB), is a synthetic inhibitor of trypsin-like serine protease. Trypsin and trypsin
Nucleic Acid Programmable Protein Arrays: Versatile Tools for Array‐Based Functional Protein Studies
.g., Sigma) 50 mg/ml bis‐sulfosuccinimdylsuberate (BS3 ;Pierce, cat. no. PI 21580) in dimethylsulfoxide (DMSO) 5 mg/ml
技术资料暂无技术资料 索取技术资料










