相关产品推荐更多 >

Di-Methyl-Histone H3 (Lys4) Mouse mAb(bsm-60129M)-50ul/100ul
¥1580
phospho-IRS1 (Tyr1179) Rabbit pAb, AP conjugated(bs-8709R-AP)-100ul
¥2980
SEMA4B Rabbit pAb(bs-11477R)-50ul/100ul/200ul
¥1180
BNIP3 Rabbit pAb, Cy5.5 conjugated(bs-4239R-Cy5.5)-100ul
¥2980
E2F1 Rabbit pAb, Cy5 conjugated(bs-23185R-Cy5)-100ul
¥2980
万千商家帮你免费找货
0 人在求购买到急需产品
- 详细信息
- 文献和实验
- 技术资料
- 应用范围:
产品信息以Bioss网站为准
- 规格:
50ul/100ul/200ul
| 规格: | 50ul | 产品价格: | ¥1180.0 |
|---|---|---|---|
| 规格: | 100ul | 产品价格: | ¥1980.0 |
| 规格: | 200ul | 产品价格: | ¥2800.0 |
| 产品编号 | bs-17608R |
| 英文名称 | METTL14 Rabbit pAb |
| 中文名称 | 甲基转移酶样蛋白14抗体 |
| 英文别名 | KIAA1627; Methyltransferase like 14; Methyltransferase-like protein 14; METTL14; MET14_HUMAN; OTTHUMP00000219837. |
| 产品应用 | WB=1:500-2000, IHC-P=1:100-500, IHC-F=1:100-500, IF=1:100-500 Not yet tested in other applications. |
| 交叉反应 | Human, Mouse (Rat, Pig, Cow, Horse, Rabbit) |
| 抗体来源 | Rabbit |
| 免疫原 | KLH conjugated synthetic peptide derived from human METTL14 |
| 亚型 | IgG |
| 性状 | Liquid |
| 纯化方法 | affinity purified by Protein A |
| 克隆类型 | Polyclonal |
| 理论分子量 | 52 kDa |
| 浓度 | 1mg/ml |
| 储存液 | 0.01M TBS (pH7.4) with 1% BSA, 0.02% Proclin300 and 50% Glycerol. |
| 研究领域 | Cell Biology > Other Antibodies > Other Antibodies |
| 亚基 | Component of the WMM complex, a N6-methyltransferase complex composed of WTAP, METTL3 and METTL14. |
| 亚细胞定位 | Nucleus. |
| 相似性 | Belongs to the MT-A70-like family. |
| 功能 | Probable methyltransferase. |
| 保存条件 | Shipped at 4℃. Store at -20℃ for one year. Avoid repeated freeze/thaw cycles. |
| 注意事项 | This product as supplied is intended for research use only, not for use in human, therapeutic or diagnostic applications. |
| 应用 | 推荐稀释比例 |
| {WB} | {1:500-2000} |
| {IHC-P} | {1:100-500} |
| {IHC-F} | {1:100-500} |
| {IF} | {1:100-500} |

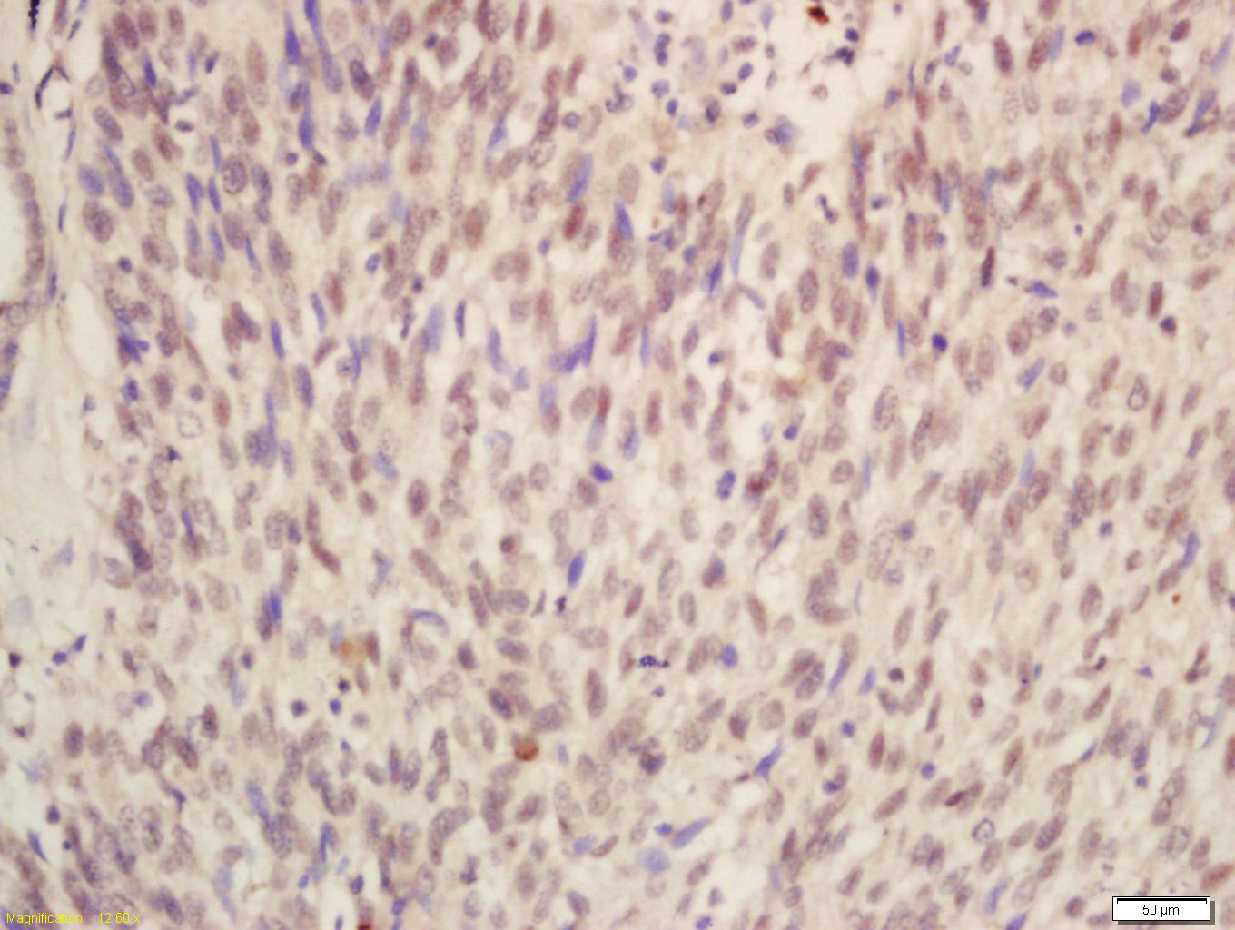
Antigen retrieval: citrate buffer ( 0.01M, pH 6.0 ), Boiling bathing for 15min; Block endogenous peroxidase by 3% Hydrogen peroxide for 30min; Blocking buffer (normal goat serum,C-0005) at 37℃ for 20 min;
Incubation: Anti-METTL14 Polyclonal Antibody, Unconjugated(bs-17608R) 1:200, overnight at 4°C, followed by conjugation to the secondary antibody(SP-0023) and DAB(C-0010) staining

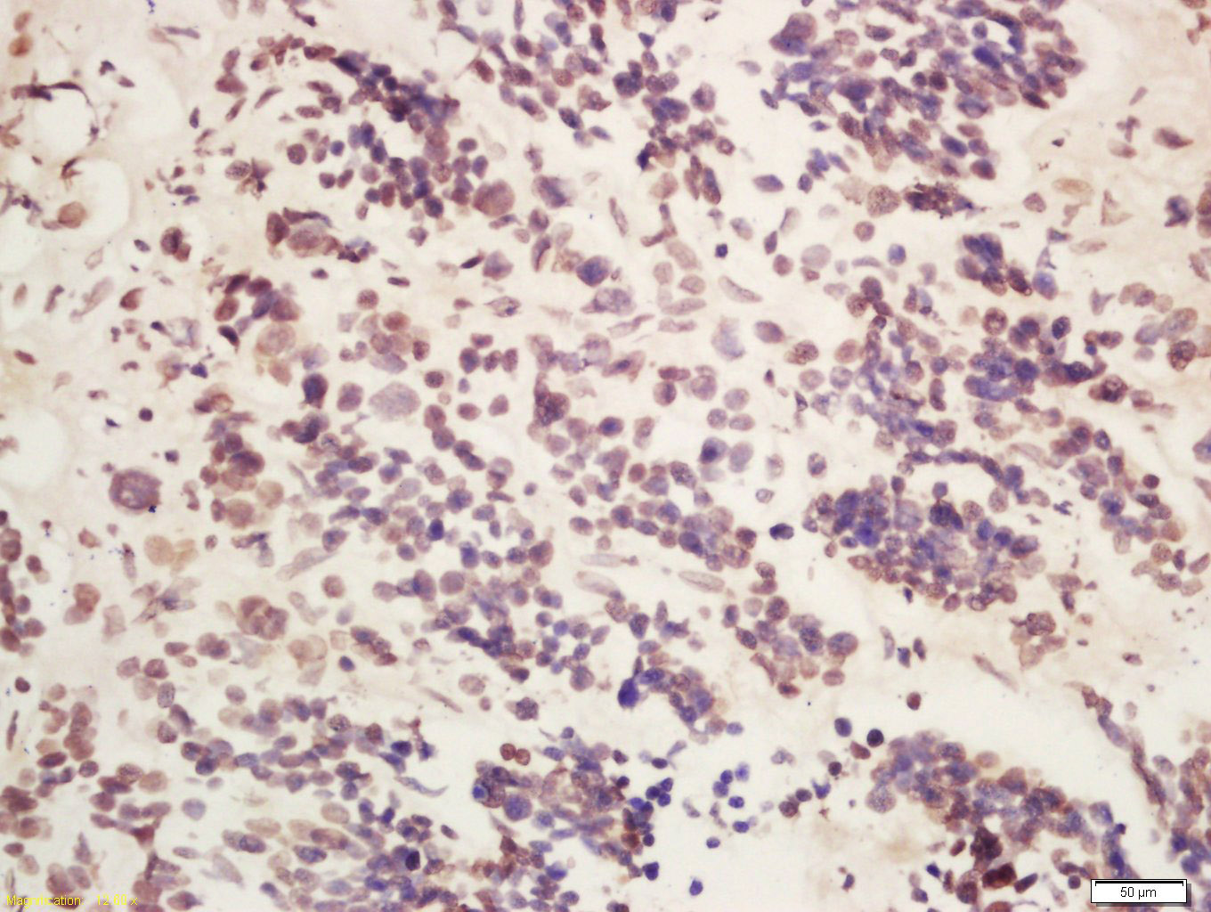
Antigen retrieval: citrate buffer ( 0.01M, pH 6.0 ), Boiling bathing for 15min; Block endogenous peroxidase by 3% Hydrogen peroxide for 30min; Blocking buffer (normal goat serum,C-0005) at 37℃ for 20 min;
Incubation: Anti-METTL14 Polyclonal Antibody, Unconjugated(bs-17608R) 1:200, overnight at 4°C, followed by conjugation to the secondary antibody(SP-0023) and DAB(C-0010) staining

Lane 1: Mouse Testis tissue lysates
Lane 2: Rat Testis tissue lysates
Primary: Anti-METTL14 (bs-17608R) at 1/200 dilution
Secondary: IRDye800CW Goat Anti-Rabbit IgG at 1/20000 dilution
Predicted band size: 52 kDa
Observed band size: 65 kDa
风险提示:丁香通仅作为第三方平台,为商家信息发布提供平台空间。用户咨询产品时请注意保护个人信息及财产安全,合理判断,谨慎选购商品,商家和用户对交易行为负责。对于医疗器械类产品,请先查证核实企业经营资质和医疗器械产品注册证情况。
文献和实验[IF={{ 8.2 }}] {Jian Jin. et al. METTL3 enhances E. coli F18 resistance by targeting IKBKG/NF-κB signaling via an m6A-YTHDF1–dependent manner in IPEC-J2 cells. INT J BIOL MACROMOL. 2024 Mar;262:130101} {WB} {Pig}
[IF={{ 7.1 }}] {Zheng Wang. et al. Vitamin D receptor regulates methyltransferase like 14 to mitigate colitis-associated colorectal cancer. J GENET GENOMICS. 2025 Jan;:} {IHC} {Mouse}
[IF={{ 5.682 }}] {Yunhong Zeng. et al. Integrated analysis of m6A mRNA methylation in rats with monocrotaline-induced pulmonary arterial hypertension. Aging-Us. 2021 Jul 31; 13(14): 18238–18256} {WB} {Rat}
[IF={{ 4.8 }}] {Jianan Yang. et al. METTL14 downregulates GLUT9 through m6A methylation and attenuates hyperuricemia-induced fibrosis in mouse renal tubular epithelial cells. INT IMMUNOPHARMACOL. 2024 Dec;143:113308} {WB} {Mouse}
[IF={{ 3.8 }}] {Chen Cheng. et al. OSGEP, A Negative Ferroptotic Regulator, Alleviates Cerebral Ischemia–Reperfusion Injury Through Modulating m6A Methylation of GPX4 mRNA. NEUROCHEM RES. 2025 Apr;50(2):1-29} {WB} {Mouse}
= NAL), appears to form upon oxidative cyclization of the nonfluorescent 2:1 lysine-HNE Michael adduct-Schiff base cross-link (Scheme 1). Polyclonal antibody (PAb) to the NAL-HNE fluorophore was raised in rabbit and found to be highly specific
GE Healthcare Benzamidine Sepharose™ 6B is p-aminobenzamidine covalently attached to Sepharose 6B by the epoxy coupling method. p-Aminobenzamidine (PAB), is a synthetic inhibitor of trypsin-like serine protease. Trypsin and trypsin
Nucleic Acid Programmable Protein Arrays: Versatile Tools for Array‐Based Functional Protein Studies
.g., Sigma) 50 mg/ml bis‐sulfosuccinimdylsuberate (BS3 ;Pierce, cat. no. PI 21580) in dimethylsulfoxide (DMSO) 5 mg/ml
技术资料暂无技术资料 索取技术资料






